Гингивит: причины, симптомы, диагностика и лечение в Москве
Гингивит — воспаление дёсен, при котором не происходит нарушение целостности околозубных тканей. Без адекватного лечения гингивит переходит в пародонтит и грозит потерей зубов.
Причины
Возбудителями гингивита являются различные микроорганизмы — бактерии, вирусы и грибки. Чаще всего при гингивите выявляют бактерии Bacteroides gingivalis, Streptococcus oralis, Actinomycetes comitans и Porphyromonas gingivalis.
Возбудители заболевания часто находятся в ротовой полости здоровых людей, но высокий иммунитет помогает организму предотвратить развитие воспалительного процесса. Когда общий или местный иммунитет снижается, начинается гингивит.
Причины гингивита:
- недостаточная гигиена полости рта;
- отсутствие адекватного лечения заболеваний зубов;
- сахарный диабет;
- неполноценное питание (особенно с нехватка витамина С);
- снижение иммунитета;
- бактериальные, грибковые и вирусные заболевания дыхательных путей;
- курение;
- беременность;
- затруднённое дыхание носом;
- некачественные зубные протезы и брекеты.
Многие врачи считают гингивит не отдельным заболеванием, а скорее результатом других заболеваний полости рта и организма в целом. Для них гингивит является сигналом снижения иммунитета.
Заболеть гингивитом может любой человек, ведь его возбудителями являются довольно распространённые бактерии. Замечено, что дети в возрасте до 6 лет чаще болеют гингивитом, чем подростки и взрослые. Активное прорезывание зубов травмирует ткани, а желание детей попробовать всё на вкус идёт вразрез с требованиями гигиены.
Замечено также, что мужчины заболевают чаще женщин. Это объясняют особенностями эндокринной и иммунной систем и меньшим вниманием к состоянию зубов.
Люди, носящие зубные протезы и брекеты, травмирующие ткани полости рта, тоже попадают в группу риска. Стоматологи рекомендуют им с особой тщательностью очищать полость рта после еды, следить за состоянием протезов и брекетов и чаще посещать стоматолога для профилактического осмотра.
В отдельную группу риска относят людей, не имеющих возможности получать качественную медицинскую помощь. Регулярные осмотры у стоматолога, лечение и профилактика заболеваний зубов, удаление отложений снижают вероятность гингивита. Длительный кариес, оставленный без профессионального лечения, приводит к распространению бактерий на другие участки полости рта, в том числе и на дёсны.
Симптомы гингивита
Стоматологи выделяют несколько видов гингивита, их симптомы различны, но в целом можно описать такую симптоматическую картину:
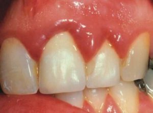
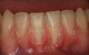
- покраснение дёсен и слизистой оболочки рта;
- отёчность дёсен;
- кровоточивость дёсен, особенно во время чистки зубов;
- болезненность дёсен;
- чувствительность зубов и дёсен к горячей и холодной пище;
- неприятный запах изо рта;
- набухание десневых сосочков;
- зубной камень;
- обильный налёт на зубах;
- выделение гноя из дёсен;
- жжение дёсен;
- язвочки на дёснах;
- некроз межзубных сосочков и десневых тканей.
Тяжесть симптомов гингивита зависит от общего состояния организма, своевременности медицинской помощи и качества гигиены полости рта.
При обширном инфекционном поражении полости рта наблюдается также небольшое повышение температуры, слабость, сонливость, возможно нарушение пищеварения.
Высокая температура говорит о том, что гингивит не является первичным заболеванием, а возник на фоне более серьёзных инфекционных процессов. Даже острый гингивит сам по себе не вызывает значительного повышения температуры тела.
Виды гингивита
Различают несколько видов гингивита.
1. Хронический гингивит появляется из-за отсутствия необходимой гигиены, большого количества отложений на зубах и выражается следующим образом:
- нет выраженных болевых ощущений и явного воспаления тканей;
- десневые карманы незначительно изменяются в размере;
- дёсны слегка кровоточат во время чистки зубов;
- ткань дёсен разрастается и частично покрывает коронки зубов.
2. Острый гингивит имеет более явные симптомы и подразделяется на катаральный, язвенный, гипертрофический, атрофический и язвенно-некротический типы.

Катаральный гингивит вызывается острой бактериальной или грибковой инфекцией и сопровождается такими симптомами:
- ярко выраженным покраснением десны;
- острой болью;
- отёком десны;
- зудом в ротовой полости;
- небольшим повышением температуры тела;
- общей слабостью.
Язвенный гингивит сопровождается образованием язвочек на дёснах, кроме того, наблюдается:
- сильное жжение и зуд в полости рта;
- кровоточивость дёсен;
- боль, особенно во время приёма пищи и выполнения гигиенических процедур.
Гипертрофический гингивит связан с гормональными изменениями в организме и зачастую отмечается у подростков, беременных женщин, людей с эндокринными заболеваниями. Также этот вид гингивит может встречаться на фоне приема гормональных контрацептивов. Симптомами гипертрофического гингивита являются:
- гиперплазия десны с набуханием десневых сосочков;
- кровоточивость десны;
- выделение гноя;
- неприятный запах изо рта;
- обильный зубной налёт;
- синеватый цвет десны.
Атрофический гингивит можно назвать противоположностью гипертрофического гингивита. При атрофическом гингивите дёсна уменьшаются в объёме, десневые карманы углубляются, корни зубов оголяются. Это заболевание чревато потерей зубов.
Язвенно-некротический гингивит характеризуется некрозом межзубных сосочков. Другими симптомами являются:
- воспаление слизистой оболочки ротовой полости;
- неприятный запах изо рта;
- кровоточивость дёсен.
Наиболее распространённый вариант гингивита — катаральный. Хронический вариант тоже встречается часто, но здесь клиническая картина смазана, и он у многих остаётся без лечения.
По локализации воспаления различают локализованный и генерализованный гингивит. При локализованном варианте поражается несколько дёсен, при генерализованном — все дёсны и даже иногда соседние ткани.
Диагностика гингивита
Диагностикой гингивита занимается стоматолог. Сложность диагностики зависит от степени заболевания и его вида. Так, хронический гингивит может выявить только врач на осмотре, а острый, особенно катаральный и язвенный, легко диагностировать самому пациенту по острой боли, обильному покраснению десен или образованию язвочек на слизистой оболочке.
Диагностика гингивита начинается с визуального осмотра. Далее идёт инструментальный осмотр. Важно определить стадию заболевания и его локализацию — в некоторых случаях этого бывает достаточно. В тяжёлых случаях важно оценить общее состояние организма и точно выявить возбудителя. Стоматолог назначает общий анализ крови и микробиологическое исследование отделяемого полости рта.
При гипертрофическом гингивите может потребоваться консультация эндокринолога. Гингивит в этом случае может стать симптомом более серьёзного эндокринного заболевания. Для эффективного лечения гингивита требуется коррекция гормонального фона. Если заболевание началось на фоне приёма гормональных препаратов, их следует отменить или заменить на другие.
При катаральном и язвенном гингивите может потребоваться консультация иммунолога. Серьёзное воспаление дёсен показывает, что организм не справляется с инфекцией. Иммунолог должен определить иммунный статус пациента, найти причину местного и общего иммунодефицита и подсказать способы повышения иммунитета.
Гингивит у детей необходимо лечить совместно с педиатрами. Прорезывание и рост зубов травмирует дёсны и вызывает их воспаление. Малыши активно познают мир и тянут в рот различные предметы, чтобы попробовать их на вкус.
Вместе с игрушками и пальцами в рот попадают микробы, которые и становятся причиной гингивита. Педиатр подскажет оптимальную гигиену полости рта для детей разного возраста и подберет наиболее щадящие методы лечения.
Лечение гингивита
Лечение гингивита подбирается индивидуально в зависимости от вида заболевания, его тяжести и локализации.
Важнейшим моментом при лечении гингивита становится ликвидация воспалительного процесса, особенно при катаральном типе заболевания. Для этого прибегают к противомикробным и противогрибковым препаратам.
При локализованном воспалении используются местные средства — полоскания, пастилки, кремы, гели.
При генерализованном гингивите, осложнённом высокой температурой, слабостью и распространением инфекции, рекомендуется системный прием антибиотиков.
При сильной боли, которой порой сопровождается острый катаральный гингивит, врачи-пародонтологи рекомендуют местные обезболивающие препараты — гели и мази. Возможен также приём обезболивающих препаратов в виде таблеток и капсул.

Вторым важным этапом лечения становится удаление зубного налёта и зубного камня. Затвердевший налёт невозможно удалить обычной зубной щёткой, поэтому чистка зубов проводится профессиональным оборудованием в стоматологическом кабинете. Рекомендуется ультразвуковая чистка для удаления отложений, так как механическая будет чрезвычайно болезненной при воспалении.
Ультразвук бережно удаляет мягкий налёт, зубной камень, загрязнения и потемнения эмали. Ультразвуковую чистку часто совмещают с чисткой системой Air Flow. Струи воды и воздуха очищают межзубное пространство, десневые карманы, выемки и трещины на зубах. Эти процедуры обычно безболезненные, но при остром гингивите пациент может чувствовать боль и дискомфорт.
После удаления зубного налёта и зубного камня приступают к лечению зубов. Статистика показывает, что гингивит редко протекает без кариеса или пульпита. Эти зубные болезни часто прячутся под толстым слоем отложений. Если зубы не вылечить, дёсны будут воспаляться постоянно.
Детям рекомендуется провести герметизацию фиссур — это процедура при которой бороздки на жевательной поверхности зубов заполняются специальным составом. Поверхность зуба становится гладкой и не пропускает инфекцию внутрь.
Герметизация фиссур признана надёжной профилактикой заболеваний зубов у детей, что благотворно сказывается и на состоянии дёсен.
В случае некротического гингивита часто требуется хирургическое вмешательство. Отмершие участки десны не восстанавливаются, поэтому они требуют удаления. Хирургическое лечение требуется и при гнойном гингивите. Капсулы с гноем вскрываются, полости промываются антисептическим раствором. Помощь хирурга требуется и при гипертрофическом гингивите.
Разросшиеся дёсны необходимо уменьшить до нормальных размеров. Опасность разросшихся дёсен заключается в том, что зубная эмаль под ними не очищается должным образом, и велика вероятность развития пришеечного кариеса. Гипертрофический гингивит портит и внешний вид зубов, поэтому нуждается в хирургическом лечении и ради эстетического эффекта.
Осложнения
Гингивит может давать осложнения, если вовремя не проводится лечение этого заболевания. Основными осложнениями является:
- пародонтит;
- потеря зуба;
- распространение инфекции на глубокие слои тканей, в том числе кости;
- распространение инфекции на другие органы и системы.
Особенно опасен гингивит для людей с серьёзным иммунодефицитом. Иммунная система не способна локализовать инфекцию, и она распространяется всё дальше. В этом случае особенно важна своевременная диагностика и эффективное лечение.
Постоянная кровоточивость дёсен может привести к заражению крови, если язвочки не обрабатываются должным образом, в десневые карманы попадают кусочки пищи, не соблюдается гигиена. Нарушение свёртываемости крови приводит к усилению кровоточивости дёсен.
Профилактика
Гингивит — серьёзный недуг, и его проще предотвратить, чем вылечить.
В основе профилактики лежит качественная и регулярная гигиена зубов. Зубы следует чистить как минимум 2 раза в день, а после каждого приёма пищи следует полоскать рот тёплой водой.
Зубную щётку следует регулярно менять. Электрические щётки доказали большую эффективность по сравнению с обычными.
Они качественнее удаляют зубной налёт, а также лучше массируют дёсна, повышая плотность тканей и улучшая их кровоснабжение.
Следует чистить не только сами зубы, но и дёсны, язык, внутренние поверхности щёк. Для чистки языка советуют использовать специальный скребок. Кроме того, важно очищать и межзубное пространство. Для этого следует пользоваться зубными нитями. Полезно и активное полоскание. А вот зубочистки лучше не использовать. Острые края травмируют дёсны и царапают зубную эмаль.
Людям, склонным к воспалениям дёсен, следует полоскать рот специальными бальзамами с противовоспалительными компонентами. Можно пользоваться готовыми аптечными средствами или готовить отвары трав. После острой пищи следует полоскать рот содовым раствором, он нормализует кислотность и предотвращает разъедание тканей кислотами.

Раз в полгода следует посещать стоматолога для профессиональной гигиены зубов. Рекомендуется ультразвуковая чистка, комбинированная с системой Air Flow.
Необходимость в профессиональной чистке зубов доказана многочисленными клиническими исследованиями. Во время гигиены врач может выявить заболевания зубов и рекомендовать лечение. Затягивать с лечением не рекомендуется.
Поверхностный кариес вылечить проще, чем глубокий кариес или пульпит.
Для профилактики гингивита рекомендуется полноценное, богатое витаминами питание. Особенно важен витамин С. Стоматологи рекомендуют кушать больше фруктов и овощей. В них содержится много витаминов. К тому же, они имеют довольно плотную структуру и хорошо очищают поверхность зубов от налёта.
Поддержать здоровье зубов поможет также пища, богатая кальцием. Кальций усваивается только вместе с витамином D, поэтому следует чаще гулять, принимать солнечные ванны или употреблять синтетический витамин D в каплях.
Это особенно актуально для жителей северных районов, где солнечный день короткий, и остро ощущается нехватка витамина D.
Курение и алкоголь снижают местный иммунитет, портят зубную эмаль и вызывают воспаление дёсен. Часто у курильщиков наблюдается хронический, язвенный и язвенно-некротический гингивит. Следует отказаться от этих вредных привычек ради здоровья зубов и всего организма в целом.
Факторы которые могут провоцировать воспаление десны
Воспаление десны – крайне опасный симптом. Если не проявите к нему должного внимания, то можете потерять все зубы во рту. О том, как такое возможно, вам и поведает сегодня редакция портала UltraSmile.ru. Читайте материал далее, и узнаете, какие причины провоцируют заболевание и порой делают жизнь человека очень дискомфортной.
Воспаление десны – крайне опасный симптом
О том, почему воспаление десен очень опасно
Заметили, что десны стали кровоточить при пережевывании пищи или при очищении зубов, чувствительных к любому механическому воздействию, опухли и зудят? Это повод для немедленного обращения к врачу.
Чем быстрее будут приняты меры, тем успешнее пройдет лечение, а это поможет сохранить красоту улыбки и избежать более серьезных проблем: появления плохого запаха изо рта, рецессии десен, расшатывания и выпадения зубов, образования гнойных процессов.
Все перечисленные выше симптомы могут быть свидетельством неприятных заболеваний десен:
- гингивит: этому заболеванию подвержены абсолютно все жители планеты — возраст не играет особой роли, им страдают и дети, и взрослые. Здесь речь идет только о воспалении слизистой, и пациент, в общем-то, достаточно быстро может справиться с проблемой. Но, естественно, только при условии своевременного обращения к врачу и следования всем его рекомендациям,
- пародонтит: для тех, кто игнорировал проявления гингивита, будет полезно узнать, что бактерии, провоцирующие воспаление слизистой, активно продолжают свою работу и перестают «довольствоваться» лишь локализацией на слизистых, проникая на верхушку корня зуба и в ткани пародонта. Заболевание может проявляться остро и переходить в хроническую стадию, распространяться как на один или несколько зубов (локализованная форма), так и «захватывать» весь зубной ряд. Как следствие, происходит убыль десны. Воспаление десны около зуба, как на фото, может говорить об образовании гнойных процессов, разрастании кист или гранулем с гнойным содержимым. Становятся чувствительными к внешним раздражителям уже не только десны, но и зубы, появляется их небольшая подвижность,
На фото изображена киста зуба
- пародонтоз: это заболевание может развиться как следствие запущенной стадии пародонтита. Опасность кроется в том, что заболевание затрагивает глубокие ткани, нарушая их полноценное питание и функционирование, разрушая связки костной ткани, за счет которых зуб прочно удерживался в лунке. Зубы становятся подвижными, а это грозит их скорой потерей. И если в первых двух случаях консервативное лечение будет достаточно эффективным и принесет положительный эффект, то при пародонтозе часто даже комплекс лечебных мероприятий не приносит должного результата, и приходится прибегать к удалению подвижных зубов. После чего придется искать клиники, где можно будет быстро восстановить улыбку при помощи методик экспесс-имплантации.
А теперь, как и обещали, рассказываем, по каким причинам приходится сталкиваться с подобными проблемами.
1. Недостаточная гигиена полости рта
Заметили воспаление на десне? Первое, о чем нужно задуматься в таком случае – это о том, как часто вы проводите гигиену полости рта, правильно ли выполняете комплекс гигиенических процедур, есть ли в арсенале зубная нить и ирригатор, ополаскиватель.

Гигиена полости рта поможет избежать проблемы
Интересный эксперимент провели ученые.
Они выяснили, что всего трех недель отказа от гигиены полости рта достаточно для того, чтобы возникли первичные воспаления на десне вследствие скопления большого количества налета.
Эксперимент проводился среди людей, которые до этого ежедневно тщательно выполняли все гигиенические процедуры и совершенно не имели стоматологических проблем.
2. Зубной налет и камень
В полости рта присутствует огромное количество разных бактерий, как полезных, так и вредоносных, а скапливаются и размножаются они на налете, который является следствием употребления продуктов питания.
Налет этот бывает как мягким, который образуется на зубах и слизистой сразу после перекуса, так и твердым – если вы пренебрегаете очищением эмали и даже иногда делаете это реже нескольких раз в день.
Образовавшийся зубной камень – прекрасная среда для развития патогенных микроорганизмов, а нарушение или дисбаланс соотношения вредных и полезных бактерий и приводит к воспалительным процессам.
Профессиональная чистка полости рта
Имейте в виду, удалить твердый налет в домашних условиях невозможно, поможет только стоматолог на профессиональной гигиене полости рта.
Если проводить ее несколько раз в год, то можно решить сразу целый комплекс проблем не только с деснами, но и с зубами: вернуть им естественный оттенок, укрепить эмаль и восстановить целостность ее структуры (речь о трещинках и неровностях). Все это является отличной профилактикой заболеваний зубов и десен.
Но не забудьте о том, что результат нужно поддерживать при помощи ежедневного ухода, специализированных зубных паст, очищения межзубных промежутков флоссом и своевременной замены щеток с щетинками средней жесткости (один раз в несколько месяцев).
3. Стоматологические неприятности
А как часто вы посещаете стоматолога? Надеемся, что делаете это несколько раз в год с целью профилактических осмотров, а также вовремя лечите кариес и пульпит, из-за которых может запросто возникнуть воспаление нижней или верхней десны.
Обратите внимание, что и другие проблемы, которые вы не решаете на приеме у стоматолога, могут провоцировать воспалительные процессы:
- режется зуб: у детей это может быть, например, постоянный зуб, пришедший на смену молочному. У взрослых — зуб мудрости, а если он при этом ретинированный или дистопированный, то его частичное прорезывание в большинстве случаев могут сопровождать и воспалительные процессы на слизистой,
- неправильная установка коронки, пломбы или протеза: в данном случае слизистую может постоянно натирать и травмировать нависающий край конструкции,
- неправильный прикус: неправильно расположенные, кривые, изогнутые зубы также могут негативно воздействовать на слизистую,
- наличие ортодонтических устройств: если лечитесь, например, брекетами, то можно связать воспаление десен и с их ношением.
Воспаление от ношения брекетов
Травмировать десну с легкостью можно и бытовым путем, например, при воздействии слишком горячей или холодной пищи, путем получения химических ожогов, или просто прикусив ее.
4. Заболевания организма
Практически любая болезнь может спровоцировать воспаление слизистой, ведь в данном случае страдает иммунитет, а организм становится слабым, и не в силах качественно защитить себя без дополнительной медикаментозной поддержки.
В период простуд и других заболеваний не забывайте принимать комплекс витаминов и правильно питайтесь. В рационе обязательно должны быть продукты с повышенным содержанием витамина С. Рыбу, зелень и кисломолочные продукты нужно употреблять с целью укрепления костной ткани и для более быстрой регенерации клеток слизистой.
Различные заболевания организма могут давать осложнения на десны
Часто воспаление десен может стать свидетельством или следствием куда более опасных заболеваний, таких как диабет, заболевания желудочно-кишечного тракта1 (гастрит и дуоденит), лейкемия, туберкулез. Дело в том, что в результате данных болезней нарушается кровоснабжение слизистой, и возникают патологии в костных тканях.
5. Во всем виноваты гормоны
Давайте подумаем, в какие периоды жизни у нас может возникать «буйство» гормонов? У женщин это, несомненно, дни менструаций, периоды беременности и грудного вскармливания, климакс. У мужчин подростковый и пожилой возраст.
В эти моменты наш организм становится особенно восприимчивым к любому воздействию негативных факторов, а десны под воздействием гормонов становятся рыхлыми и отечными, поэтому бактерии, обитающие во рту, пользуются прекрасной возможностью для «захвата» окружающей территории.
«Я мама двоих детей, и не понаслышке знаю о том, что такое воспаленные десны. Когда готовилась к рождению первого, не учла этот момент, и сильно настрадалась в дальнейшем.
В период беременности, даже когда десны болели и кровоточили, старалась обойтись без стоматолога, думала, что вредно для ребенка будет. Это потом уже узнала, что лучше даже в беременность лечить десны, чем мучить себя и кроху.
Долго лечила последствия такой безалаберности потом: делала полоскания, инъекции, профгигиену, лечилась аппаратом «Вариус». Теперь знаю, что тянуть нельзя с заболеванием».
Варвара Дмитриева, из переписки на форумах
6. Курение – враг десен
Давайте не будем забывать о наличии вредных привычек. Если вы курите, то отдавайте себе отчет и в том, что курильщики в несколько раз больше остальных подвержены воспалительным процессам в деснах, развитию гингивита, пародонтита и пародонтоза. Они по этой же причине гораздо чаще сталкиваются с потерей зубов.

Одной из причин заболевания десен является курение
7. Инфекционная природа заболевания
Не думайте, что такие заболевания как глоссит или стоматит пройдут бесследно для десен. Вирус герпеса, между прочим, который дремлет практически в каждом из нас с рождения, тоже нередко провоцирует воспаления на слизистой.
Несвоевременное лечение данных заболеваний, а также использование лишь народных методов, коих существует великое множество в интернете, может стать причиной, по которой в некоторых случаях приходится столкнуться с потерей зубов.
8. Все дело в слюне
Вы знаете, что слюна – защитник полости рта от бактерий? Если организм работает как часы, ферменты, которые содержатся в ней, препятствуют образованию патогенной микрофлоры. Если же состав слюны нарушается вследствие приема антибиотиков или других лекарственных препаратов, заболеваний организма, то она перестает выполнять свое предназначение.
У детей, например, слюна и вовсе не обладает необходимым химическим составом для того, чтобы препятствовать атаке бактерий. А сухость во рту, независимо от возраста, и недостаточный прием жидкости, речь только о воде в чистом виде, препятствуют естественному увлажнению слизистой. Как результат – распространение вредных микроорганизмов.
Как видите, нашу тонкую слизистую буквально при любых жизненных обстоятельствах могут преследовать бактерии, но если заботиться о ней и знать о причинах воспаления десен, то можно поддерживать ее здоровье, а также сохранять красоту улыбки. И зубы при этом все останутся на месте.
(5 5,00 из 5)
Загрузка… болезни десен
Лечение воспаления десны около зуба
Слизистая оболочка ротовой полости подвержена воздействиям патогенных микроорганизмов, вызывающих воспалительные процессы мягких тканей. Это приводит к покраснениям, отечности и болезненности десен, отрицательно влияет на физическое состояние и портит эстетический вид улыбки.
Причины воспаления десны около зуба
Воспаление десны возле зуба появляется вследствие множества причин. Они спровоцированы местными и системными факторами. К местным факторам относят:
- механическое повреждение десен во время гигиенических процедур;
- наличие зубного камня;
- прорезывание третьих моляров;
- кариес и пульпит;
- некачественная гигиена ротовой полости;
- протезирование зубов;
- воспаление десны после лечения зуба.
Болезненность десны под зубом может возникнуть из-за зубного корня, пораженного кариесом или пульпитом. Причиной того, что после лечения зуба воспалилась десна, может быть некачественная пломбировка и повреждение каналов.
Провокаторы системного характера:
- сахарный диабет;
- болезни желудочно-кишечного тракта;
- сбои в работе гормональной системы;
- реакция на прием лекарственных препаратов;
- сниженный иммунитет.
Воспаление десны около зуба развивается также из-за аллергических реакций или неправильно подобранных средств по уходу за ротовой полостью.
Симптомы воспаления десны
Симптомы воспалившейся десны носят выраженный характер и проявляются в зависимости от факторов, спровоцировавших патологический процесс.
Общая симптоматика проявляется отёчностью и гиперемией мягких тканей, болезненностью при пережевывании пищи.
К другим симптомам относят:
- появление неприятного запаха из полости рта;
- кровоточивость;
- нарушение целостности зуба;
- наличие гнойного процесса над зубом;
- повышение температуры тела;
- появление белого налета на деснах;
- повышенная чувствительность зубов.
Локализация очагов повреждения разнообразна. При стоматологических патологиях наблюдается воспаление нижней десны в области передних зубов или за передними верхними зубами, а также в области моляров.

Отсутствие терапии поврежденной слизистой межу зубами может привести к образованию глубоких десневых карманов, что ведет к рискам обнажения шейки зуба и его потере.
Виды воспалительных заболеваний десен
Воспаление десен провоцируют различные патологические процессы ротовой полости, которые по этиологическому принципу разделяют на группы:
- Поражение мягких тканей травматического характера, вызванные механическими, физическими или химическими травмами.
- Заболевания слизистой оболочки рта инфекционного или грибкового характера:
- пародонтит;
- гингивит;
- стоматит;
- периостит.
Гингивит
- Болезни ротовой полости, вызванные специфическими инфекциями.
- Поражение слизистых оболочек рта, обусловленные аллергическими реакциями.
Что делать при воспалении десны в домашних условиях?
Что делать в домашних условиях, когда воспалилась десна около зуба? Прибегнуть к использованию подручных средств: аптечных мазей и гелей, растворов для полоскания, рецептов народной медицины.
Полоскания десен
Если воспалились десна между передними зубами или же в другом сегменте зубного ряда, первым действенным методом лечения в домашних условиях считается применение полосканий. Наиболее популярные средства для снятия отека и боли при различных стоматологических заболеваниях в домашних условиях:
- Хлоргексидин – средство в виде раствора для полоскания. Применяется для дезинфекции ротовой полости от вредоносных бактерий. Для борьбы с воспалением мягких тканей ополаскивать рот нужно 4-6 раз в сутки.
- Фурацилин – антибактериальный препарат в форме таблеток, применяемых для приготовления раствора. Для достижения необходимого эффекта нужно развести одну таблетку фурацилина в 200 мл горячей воды и дождаться ее полного растворения. Полоскать полость рта каждые 2-3 часа.
- Ротокан – средство на основе растительных компонентов с противовоспалительным и антимикробным действием. Для приготовления раствора 1 ст. л. концентрированного вещества разводят в 1 стакане воды и ополаскивают десна 3 раза в сутки.
- Стоматофит – препарат, созданный на основе концентратов лекарственных растений. Чтобы снять воспаление десен в домашних условиях, нужно ополаскивать их приготовленным раствором в соотношении 2 ст. л. препарата на 50 мл воды. Ополаскивать полость рта 4 раза в сутки.
Мази и гели
Лечить воспаление десен в домашних условиях можно с помощью стоматологических гелей и мазей.
| Пародонтоцид | Содержит в составе эфирные масла лекарственных растений. Наносится на десна тонким слоем или применяется в качестве аппликаций 2–3 раза в сутки в течение 7–10 дней. |
| Холисал | Гель снимает отечность и покраснение, уменьшает боль.Применяется 2–3 раза в сутки в течение 5–7 дней. |
| Метрогил дента | Противомикробное действие препарата достигается благодаря наличию в составе Метронидазола и Хлоргексидина. При домашнем лечении воспаленных тканей гель наносят тонким слоем на слизистые 2 раза в сутки в течение 7–10 дней. |
Мази создаются на жирной основе, в отличие от гелей, имеющих основу водную, поэтому хуже всасываются в ткани и характеризуются замедленным действием. В связи с этим мазь рекомендовано применять в качестве аппликаций.
Наиболее популярны при домашнем лечении стоматологических патологий следующие мази:
- Траумель С – многокомпонентный гомеопатический препарат, имеющий в составе экстракты календулы и эхинацеи. Мазь применяется 2 раза в сутки. Длительность лечения составляет 3–4 недели.
- Гепариновая мазь – комбинированный препарат с противовоспалительным действием. Мазь снимает отечность десен и выступает в роли анестетика. Для достижения эффекта средство втирают в мягкие ткани 2 раза в сутки.
Лечебные зубные пасты
Лечение воспаления десен вокруг зуба в домашних условиях осуществляется также с помощью правильно подобранной зубной пасты с противовоспалительным эффектом.

Наибольшее количество положительных отзывов после применения получили следующие зубные пасты:
- Lacalut active – имеет в составе хлоргексидин, аллантоин и бисабол, которые уменьшают отек и обладают антисептическими свойствами.
- Parodontax – состоит из растительных компонентов и минеральных солей. Применение пасты способствует уменьшению отечности и воспаления.
- President Exclusive – содержит антисептик гексетидин, экстракты тимьяна и прополиса. Пасту рекомендовано применять в течение 2 недель до исчезновения основных симптомов болезни.
Рецепты народной медицины
Чем лечить воспаление слизистой в домашних условиях, помимо применения лекарственных средств? Использовать рецепты народной медицины. Наиболее эффективными при домашнем лечении считаются:
- Полоскание раствором ромашки.
1 ст. л. сухих цветков растения залить 1 стаканом воды. Поставить раствор на медленный огонь и прокипятить в течение 10 мин. Полученную жидкость процедить и ополаскивать полость рта 3 раза в сутки ежедневно.
- Раствор из зверобоя для полосканий.
2 ст. л. сухой измельченной травы залить 2 стаканами горячей воды и прокипятить в течение 10 мин. Раствор процедить и ополаскивать десна 2–3 раза в день.
Несколько листиков алое измельчить в кашицу. Полученную смесь наложить на стерильный бинт и прикладывать к воспаленным участкам десен утром и вечером.
- Полоскания раствором из соды и соли.
Соединить в одинаковых пропорциях соль и соду. Добавить в стакан с водой. Ополаскивать десна 3–5 раз в день.
Витамины
Лечение воспаления десен зубов в домашних условиях необходимо дополнять приемом витаминных комплексов, поддерживающих состояние полости рта и восполняющие недостающие в организме компоненты.
Воспаление мягких тканей может быть спровоцировано нехваткой витаминов А, D, PP и микроэлементов – фосфора и кальция, поэтому к употреблению рекомендованы комплексы, имеющие в составе данные элементы. А именно:
- Комплекс Асепта;
- Calcium Osteoporosis;
- Кальцинова;
- Аскорбиновая кислота.
Массаж десен
Когда воспаляются десна, в домашних условиях можно применять различные техники массажа для ускорения кровообращения и питания тканей.
Выделяют такие виды массажа десен:
- массаж с помощью зубной щетки;
- массаж пальцами.
Массаж зубной щеткой нужно проводить во время чистки зубов. Движения на нижней челюсти осуществляется снизу-вверх, на верхней – сверху-вниз, затрагивая также края десны.
При массаже с помощью рук задействованы большой и указательный пальцы. Начинать движение нужно от крайних жевательных моляров и постепенно продвигать пальцы к передним резцам. Движения осуществляются с помощью 4 способов, которые необходимо чередовать:
- поглаживание;
- растирание;
- выжимание;
- сдавливание.
Повторять массаж следует ежедневно в утреннее или вечернее время.
Лечение воспаления десен в стоматологии
В условиях стоматологической клиники для лечения воспаления десны вокруг зуба врач подберет лечение с использованием медикаментозной терапии или хирургического вмешательства.
Медикаментозные средства
Если воспалилась десна, назначают антибиотики для остановки развития интоксикации организма. В стоматологии применяются:
- Флемоклав;
- Амоксиклав;
- Ципрофлоксоцин;
- Линкомицин;
- Метронидазол;
Чем снять воспаление десны около зуба, помимо антибиотиков? Применяются нестероидные противовоспалительные препараты, выступающие в роли анальгетиков. К ним относят:
- Кетопрофен;
- Нимесулид;
- Ибупрофен;
- Метамизол-натрий;
- Кеторолак.
Хирургическое лечение
Основным показанием для проведения хирургического лечения является обнажение шейки зуба, ставшее следствием длительного воспаления мягких тканей. Операция позволит закрыть прикорневую часть зуба, очистить десневые карманы и остановить процессы гниения в случае их наличия.

В стоматологической практике используют методы хирургического лечения:
- Лоскутная операция проводится при запущенных формах пародонтита, когда появляются риски потери зубов. Методика заключается в отсечении пораженных участков тканей, что дает возможность удалить бактериальные отложения в пародонтальном кармане, обеспечивая плотное прилегание десны к зубу в дальнейшем.
- Иссечения капюшона применяется при затруднительном прорезывании зубов мудрости, которое провоцирует воспаление тканей. В ходе операции область десны растущего зуба надрезают, что приводит к облегчению прорезывания и устранения болевых ощущений.
- Метод открытого кюретажа применяют при лечении пародонтита. Он осуществляется путем глубокой чистки пародонтальных карманов. Операция позволяет очистить пораженные участки от грануляций, вредоносных бактерий, отложений зубного камня.
Прогноз и осложнения
При условии соблюдения всех рекомендаций стоматолога и применения медикаментозной терапии, заболевания полости рта имеют благоприятный прогноз.
Длительный воспалительный процесс без своевременного лечения приводит к развитию осложнений:
- расшатывание и потеря зубов;
- развитие гнойного процесса;
- риск инфицирования зубных корней.
Профилактика воспалительных заболеваний десен
Для профилактики болезней ротовой полости достаточно придерживаться рекомендаций по уходу за состоянием ротовой полости:
- регулярная гигиена полости рта с применением зубных нитей и щетки;
- своевременная санация ротовой полости;
- ведение здорового образа жизни;
- полноценный рацион питания;
- прием витаминных комплексов для поддержания организма.
Воспалительные процессы мягких тканей являются следствием ослабленного иммунитета и нарушения правил гигиены по уходу за полостью рта. Применение средств по устранению отека и боли в домашних условиях облегчат состояние и ослабят симптомы, но не гарантирует решение проблемы. Грамотное лечение назначается стоматологом в условиях клиники.
- Дмитриева Л.А. — Современные аспекты клинической пародонтологии, М., 2001.
- Грошиков М.И., Патриков В.К. — Учебное пособие по терапевтической стоматологии, М. 1992.
- Gaurav, Solanki and Renu Solanki — Dental Plaque Forming Bacteria’s Characterization and Stress Responses — М.: LAP Lambert Academic Publishing, 2012.
- Лукиных Л.М. – Заболевания слизистой оболочки полости рта, Н. Новгород: Издательство Нижегородской Государственной Медицинской Академии, 2000.
- Пахомов Г.Н. — Первичная профилактика в стоматологии, М., Медицина, 1982.
- Курякина Н.В. — Терапевтическая стоматология детского возраста, – Медицина, 2004.
- Т. Г. Робустова, В. В. Афанасьев [и другие] — Хирургическая стоматология / 4—е изд., М. : Медицина, 2010.
- Г. М. Барер, Е. В. Зорян. — Рациональная фармакотерапия в стоматологии, М. : Литтерра, 2006.
Может ли подняться температура от зубной боли
Покраснение мягких тканей, в области соединения зуба с ними
Предупреждение со стороны нашего организма в виде простейшего процесса реагирования на раздражение может сопровождаться повышением температуры. А когда речь идет о ротовой полости, вы ощущаете, что болит зуб поднялась температура, значит, активировалось воспаление внутри мягких тканей.
Если речь идет о начальном развитии кариеса, и он только начал разрушать жевательную поверхность, то температура при зубной боли не повыситься.
Чтобы появилась температура при зубной боли у взрослого должно пройти длительное время, за которое произойдет реакция в структурах вокруг корня. Есть симптомы: болит зуб и температура что делать, в таких ситуациях, чтобы узнать причину неприятного реагирования? Ведь есть и другие причины реакции. Нужно исключить заболевания, вызванные инфекцией.
- простуда;
- или переохлаждение.
Что происходит внутри структур за долгое время, если болит зуб
Может ли подняться температура от зубной боли? Продолжительное время разрушительный процесс в жевательной поверхности неблагоприятно воздействует не только на твердое образование. Проникновение живущих кариозных бактерий внутрь окружающие зуб структуры постепенно вызывают там воспаление. Что сопровождается температурой.
Для этого должен быть проложен путь:
- внутри каналов к доступу к этой зоне;
- или через место соединения коронки с тканями из-за болезней десен.
В результате, появляются симптомы: болит зуб и температура повышается до 38 градусов.
Как прокладывается путь инфицирования
Что может стать условием начала поступления нежелательных микроорганизмов в закрытую область (у основания корня)? И может ли быть температура при зубной боли?
Первоначально происходит длительное и постепенно увеличивающее развитие кариеса. Поражение происходит не заметно, но не останавливается на одном уровне, а прогрессирует. В потемневшей полости обнаруживаются живые бактерии, они и прокладывают себе путь к верхушке корня.
Разрушение, повреждение, трещины на жевательной поверхности, обнажение шейки твердого элемента, плохие пломбы, не герметично закрытый канал – все это хорошие условия для жизнеспособности бактерий. Их длительное присутствие внутри мягких структур возле основания корня, дает в будущем такую реакцию, как зубная боль и температура.
Затемнение над основанием корня на рентген-снимке
Болезни, которые это вызывают:
- пульпит может давать состояние, при котором болит зуб и температура 38;
- воспаления нервов, надкостницы (периостит и флюс);
- появление образования, заполненного жидкостью у верхушки корня (киста), при длительном формировании, будет ощущаться, что болит зуб температура 37 повышается ближе к вечеру или при ослаблении иммунитета;
- простудные заболевания;
- одонтогенный гайморит (не типичное течение воспалительного процесса в верхнем зубном ряде).
Фактически областью реагирования становятся определенные зоны: альвеолярная часть челюсти, ткани, удерживающие минеральный элемент, надкостница и кость. Тогда и повышается на фоне такого симптома, как ощущаемая зубная боль температура. На рентген-исследовании будет заметно изменение области проекции снимка. Поэтому если болит зуб температура повышается, стоит задуматься о том, что активируется реакция на воспаление. Если ничего не предпринимать, осложнения неизбежны!
Что делать с признаками воспаления такими, как болит зуб высокая температура
Характерный признак реакции на проблему в области жевательных элементов это боль. Но когда происходящее переходит в мягкие структуры, удерживающие минеральные образования возникает повышение температуры.
Какая может быть температура при зубной боли
Чаще всего показатели доходят до 38 градусов, при остром или хроническом пульпите. При продолжительном патологическом течении проблемы цифры градусника будут 37 или 38Сº. Возникающую реакцию нельзя пускать на самотек.
Воспалительный характер процесса это серьезный повод, чтобы обратиться к врачу. Повышение температуры это реакция на изменение внутреннего состояния структур ротовой полости.
Когда есть зубная боль и температура что делать в таких случаях, чтобы прекратить признак недуга? Защитная реакция не всегда срабатывает, иногда иммунной системе не хватает сил.
И самостоятельно предотвратить распространение инфекции у организма не получается.

Тогда и формируются осложнения. Процесс воспаления может идти дальше по мягким тканям или иметь другое течение. Затягивать не стоит, так как возможно появление припухлости щеки и тканей вокруг зуба. А дальше может формироваться киста. Выход: нужно только идти к врачу.



