Что такое гиперпластический полип толстой кишки и нужно ли его удалять
Гиперпластический полип толстой кишки – это такое патологическое образование, имеющее чаще всего доброкачественную природу. При заболевании слизистая органа разрастается в полость.
Особенности
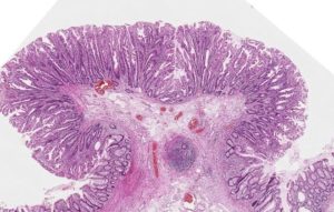
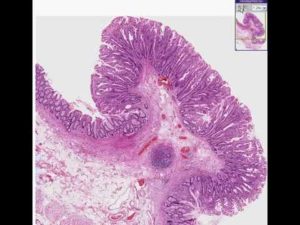
Размер образований достигает трех сантиметров. Образование полипов выделяется четкой структурой. Нарост имеет тело, основание и ножку. При отсутствии ножки становится плоским. Основание называется стромой. Структура слизистой оболочки изменена. Клеточное восстановление нарушено.
Здоровая ткань не подвержена образованию полипа. Основу образования составляет нарушение целостности слизистой. Происходит в силу различных действий. Гиперпластический полип – частая патология. Риск заключается в малигнизации клеток образования. Нарост может приобрести онкологический характер. Констатируется наличие атипичных клеток.
Классификация
Выделяют два основных критерия. Количество новообразований и форма изменений, которым подвержена слизистый слой толстого кишечника.
Образования разрастаются преимущественно в трех направлениях:
- Ограниченное или локализованное пространство.
- Множественные.
- Диффузный семейный полипоз.
В первом случае диагностируется в просвете прямой кишки до двух-трех наростов. Во втором случае образований может быть от трех и выше. Если определены множественные очаговые наросты, то врач констатирует полипы прямой кишки.
В третьем случае количество образований настолько велико, что ими становится покрыта вся полость органа. Размер новообразований варьируется от десятых миллиметра до нескольких сантиметров. Форма заболевания часто наследственная.
В некоторых случаях диффузный полипоз толстого кишечника может быть подтвержден у детей младенческого возраста. Результат аутоиммунных заболеваний. Риск возрастает при присутствии в анамнезе родителей семейных полипов.
Форма гиперпластических образований может быть:
- Аденоматозная. По статистике, эта форма чаще других становится патологией, которая перерастает в злокачественные опухоли толстой кишки. Тубулярные очаги имеют плотную структуру, розоватый оттенок и сглаженную поверхность. Ворсинчатым образованиям характерно разветвление. На вид похожи на ворсинки. Имеют множественную сосудистую сетку. Смешанный тип, тубулярно-ворсинчатые, имеет гипертрофированную слизистую с наличием обоих видов наростов. Чаще такие наросты приходится удалять. Рекомендована операция.
- Гамартромные гиперпластические образования. Имеют характер доброкачественного лимфоидного полипа толстой кишки. Образуются на условно здоровой поверхности слизистой. Причиной становится неравномерное созревание, в дальнейшем развитие какой-либо структуры слизистой оболочки толстого кишечника.
- Воспалительная. Слизистая изменена в результате воспалительного процесса, который носит хронический характер.
- Гиперплазиогенная. При визуализации напоминают цветную капусту. Опухоль патологическая. Основным местом расположения становится желудок. Усилена регенеративная способность клеток. Если анамнестические данные не отягощены раковыми образованиями, то указанная гиперплазия становится доброкачественной.
Трубочки, составляющие структуру эпителия, удлинены. Обнаруживается повышенная тенденция к кистозному разрастанию. Полипы гиперпластического типа могут трансформироваться и расти.
Наросты можно обнаружить в сигмовидной кишке. В ней происходит основной этап всасывания и распределения питательных веществ и микроэлементов. При поглощении жидкости и витаминов начинает сформировываться кал. При появлении наростов просвет становится шире. Наступает дисфункция части органа.
По статистике, новообразования указанного отдела кишечника носят доброкачественный характер. Месторасположение – нетипичное. В большинстве случаев констатируется одиночный нарост.
Проявления
Для определения характера патологии необходимо пройти процедуру биопсии с дальнейшем гистологическим исследование взятого образца ткани. Основу лечения составляет структура нароста. Чтобы определить клиническую картину лечения гиперпластических полипов, необходимо учитывать структуру образования, плотность полипа, особенности составляющие нароста.

Гиперпластический полип отличает разветвленная удлиненная и в высокой степени искривленная ямочная структура. Внутреннюю часть их составляет фовеолярный эпителий. В основании пучки расположены хаотично в мышечной структуре. При этом фиксируется воспалительный процесс в активной фазе.
Причины
Основная причина возникновения гиперпластических полипов толстой кишки не ясна. Факторами выступает комплекс, способный спровоцировать патологические процессы в кишечнике.
Могут быть врожденными или приобретенными:
- Рацион, основную часть которого составляет неправильное питание и присутствие вредных привычек. Особенно отчетливо прослеживается негативное влияние на слизистую алкоголя. Употребление коктейлей и пива приводит к нарушению микрофлоры. Холестерин, который образуется в организме, повышает риск развития патологических образований.
- Наличие иных заболеваний желудочно-кишечного тракта. Наросты образуются, когда ткань становится измененной по структуре. Это может быть язва, эрозивные проявления, наличие колитов, болезнь Крона. Новообразования становятся осложнением и принимают вторичный характер.
- Генетическая предрасположенность. В младенческом возрасте полипы диагностируются в случае, когда родители уже имеют указанное заболевание. Некоторые внутриутробные мутации способны привести к развитию наростов злокачественного характера. В некоторых случаях возникает мутация кишечника. Деление клеток нарушается.
- Запоры, наличие проблем со стулом. Самостоятельные попытки избавления от запоров могут привести к нарушению микрофлоры. Слизистая органа изменяется. Выделение секрета нарушено. Ткань атрофируется. Патологически измененная ткань разрастается.
Повышенный риск развития наростов фиксируется:
- У людей с лишним весом.
- У пациентов с гормональными изменениями.
- У больных, чья аутоиммунная система подвержена изменения в функционировании.
Возраст человека также считается фактором повышенного риска. У пожилых людей наличие полипов в толстой кишке констатируется чаще. Пренебрежения физической активностью, использование нетрадиционных видов интимной близости, игнорирование предписаний врача в период лечения или восстановления становятся факторами, способствующими развитию образований.
Симптомы
Зачастую больной не ощущает никаких клинических симптомов полипов. Дискомфорт начинает ощущаться только при чрезмерном разрастании очага полипов. Возникает ощущение боли при акте дефекации.
Пациент обнаруживает постоянное нарушение стула, от которого избавиться самостоятельно достаточно проблематично. В каловых массах могут присутствовать вкрапления слизи и крови. При больших очагах полипов возможно выделение гноя.
Человек ощущает зуд в области анального отверстия. Анус может мокнуть. При внутреннем кровотечении отмечается анемия.
Признаки основные схожи с проявлением парапроктита. Для установления верного и точного диагноза особенно важно произвести комплексную диагностику системы пищеварения.
Диагностика
Врач может испытывать некоторые затруднения при первичной постановке диагноза. Необходимо использовать различные методы диагностики. При исследовании важно исключить обострение геморроя, эндометриоз кишечника, паразитарные инфекции, парапроктит. При помощи ректоскопа проводится визуализация патологии.
Больной сдает общий анализ крови и мочи. При обнаружении слизистых выделений они подлежат клиническому исследованию. Необходима пальпация органа и ректальный осмотр.
Для уточнения диагноза больной проходит ирригоскопию, колоноскопию, компьютерную томографию, исследование ультразвуком.
Лечение
Эффективный способ избавление – удаление полипов, в том числе и из прямой кишки. Присутствие инородных образований в органе повышает риск перерождения клеток в злокачественную опухоль толстого кишечника. В период восстановления необходимо изменить рацион питания, чтобы предотвратить последствия и осложнения. По согласованию с врачом можно применять методы народной медицины.

Информация на нашем сайте предоставлена квалифицированными врачами и носит исключительно ознакомительный характер. Не занимайтесь самолечением! Обязательно обратитесь к специалисту!
Румянцев В. Г. Стаж 34 года.
Гастроэнтеролог, профессор, доктор медицинских наук. Назначает диагностику и проводит лечение. Эксперт группы по изучению воспалительных заболеваний. Автор более 300 научных работ.
Задайте вопрос врачу Рекомендуем: Недорогие и эффективные свечи при проктите
Особенности гиперпластических полипов
Большая часть доброкачественных опухолей толстой кишки являются случайными находками.
Среди них основную массу составляют гиперпластические полипы, которые возникают обычно в результате хронического воспалительного процесса.
Они чаще всего характеризуются строением «на ножке», что приводит к выпадению из анального канала во время дефекации, отличая их от истинных аденом, которые клинически проявляются только при значительном распространении.
Под гиперпластическим полипом следует понимать исключительно доброкачественное новообразование, локализованное на слизистой оболочке толстой кишки.
Среди аденом они встречаются достаточно часто, обычно являясь следствием хронического воспалительного процесса, поэтому фактически ее нельзя отнести к истинным опухолям.
В этой статье вы сможете узнать, что такое гиперпластический полип толстой кишки, особенности его клинической картины и лечения.
Гиперплазия – это процесс увеличения количества тканевых структурных элементов в результате их усиленного размножения и/или гипертрофии.
Она может быть абсолютно физиологической или свидетельствовать о патологии. Большая часть полипов толстого кишечника представлена именно гиперпластическими разрастаниями. Они редко малигнизируются (озлокачествляются), но это не исключает вероятность одновременного развития аденом другого тканевого происхождения или вида.
Размеры гиперпластического полипа обычно не превышают 2 см в диаметре. При этом образование имеет достаточно постоянную структуру – основание, ножка и тело. Гистологически оно не должно отличаться от клеточного строения слизистой оболочки с признаками нарушения регенерации.
В некоторых случаях этот полип имеет более широкое основание без «ножки», тогда его называют плоским.
Близким по природе и строению к нему — гиперплазиогенный полип, который является опухолевидным новообразованием. Макроскопически (визуально) можно найти сходство с цветной капустой. Такой характер роста указывает на нарушение клеточной регенерации слизистой оболочки.
Виды
Полипы гиперпластического типа могут отличаться локализацией и распространенностью в желудочно-кишечном тракте, поэтому для постановки точного диагноза необходимо уточнить все симптомы заболевания.
В зависимости от степени пораженности толстого кишечника различают следующие виды гиперпластических полипов:
- Локализованные или одиночные. На слизистой оболочке обнаруживают не более нескольких полипов, чаще ограниченных пределами одного отдела толстой кишки;
- Множественные (групповые, рассеянные). Более десятка патологических новообразований определяются по всей протяженности толстого кишечника;
- Диффузный семейный полипоз/аденоматоз. Гиперпластические полипы, находящиеся среди новообразований другого типа, в количестве более сотен и даже тысяч поражают весь кишечник.
Семейный полипоз в практически всегда является наследственной патологией, группа риска включает в себя людей всех возрастов, в том числе детей младше 14 лет. Поэтому при наличии подобного заболевания рекомендуют проведение регулярного скрининга.
Кроме полипов в конечных отделах желудочно-кишечного тракта следует выделяют такие виды опухолевидных поражений:
- Глубокий кистозный колит;
- Ворсинчатая аденома (полип);
- Доброкачественная форма лимфоидных полипов;
- Гетеротопии;
- Гамартомы (старческий полипоз и аденомы Пейтца-Егерса).
В заключении врача по возможности отражают локализацию полипоза, если новообразования находятся в пределах одного отдела толстого кишечника, поэтому их также классифицируют следующим образом:
- Полип заднего прохода и ануса;
- Полип прямой кишки;
- Полип, расположенный в ректосигмоидном сочленении;
- Полип ободочной кишки неуточненного генеза;
- Полип сигмовидной кишки;
- Полипы различных частей ободочной кишки, верифицированных морфологически;
- Полип слепой кишки.
Полипы прямой кишки выявляют раньше ввиду особенностей локализации. При увеличении в размерах они могут выпадать из анального канала, что и приводит людей к врачу, помимо других неспецифических симптомов.

Гиперпластические полипы сигмовидной кишки всегда доброкачественные, однако подобное расположение для них крайне нетипично. В большинстве случаев этот отдел поражается сочетано с другими, реже – изолировано.
Клинические проявления и диагноз
Чтобы поставить правильный диагноз, врачу недостаточно осмотра и лабораторно-инструментальных методов. По современным представлениям, любые новообразования должны быть исследованы гистологами. Это позволяет не только выяснить тканевую принадлежность полипа, но и прогноз для человека.
Аденоматозные полипы больше других склонны к малигнизации, поэтому при их появлении наряду с иными гистологическими видами возникает необходимость в хирургическом вмешательстве.
Практически всегда полипоз протекает абсолютно бессимптомно. Человек может даже не подозревать о такой проблеме, поэтому часто полипы обнаруживают случайно при проведении обследования по поводу другой патологии ЖКТ. При этом не стоит исключать одновременное наличие нескольких заболеваний.
В диагностике заболевания врач учитывает такие аспекты:
- Данные анамнеза. Можно установить причинно-значимые факторы развития патологии, включая хронические заболевания ЖКТ, злоупотребление спиртным, прогрешности в питании, отягощенную наследственность;
- Физикальный осмотр. Обычно определяют полипы прямой кишки и заднего прохода. Также учитывается общее состояние больного, которое может быть отягощено симптомами осложнений, например, бледность кожных покровов и слизистых оболочек при постгеморрагической анемии;
- Пальцевое исследование заднего прохода и прямой кишки. Учитывают тонус анальных сфинктеров, болевые ощущения, возможные дефекты слизистой оболочки. Так находят различные объемные новообразования этой локализации;
- Ректоромано- или колоноскопия. При эндоскопическом исследовании можно не только визуализировать полипы, но провести биопсию (забор материла для дальнейшего изучения гистологами) или даже удалить их на месте, если позволяет ситуация.
Если имеются препятствия для проведения эндоскопических методов исследования, в качестве альтернативы выполняют ирригографию или направляют больного на УЗИ/КТ/МРТ.
Конечно, пациентам назначается выполнение различных диагностических мероприятий, которые будут зависеть от особенностей его организма, возраста и финансовых возможностей.
При прогрессировании патологического процесса у больного появляются следующие симптомы:
- Нарушение стула в виде запора или поноса;
- После опорожнения кишечника остается чувство неудовлетворенности/незавершенности;
- В каловых массах можно визуально заметить наличие примесей типа прожилок крови или слизи. Бывает, что только при пальцевом исследовании врач обнаруживает признаки кишечного кровотечения;
- Боли в животе, локализованные чаще в нижних частях.
Больные, имеющие семейные формы полипоза, также склонны иметь различную внекишечную патологию, по поводу которой обычно и происходит первичное обращение в лечебное учреждение.
Особенности лечения
Гиперпластические полипы подлежат исключительно хирургическому лечению. При размере более 0,5 см выполняют обязательное удаление, после которого проводят гистологическое исследование биопрепарата. Это необходимо для исключения других видов доброкачественных новообразований, имеющих высокий риск малигнизации.
Методы консервативной терапии обычно не применяются ввиду их нецелесообразности.
Однако в качестве общих мероприятий показано соблюдение полупостельного режима, диеты (в соответствии с преобладающим расстройством пищеварения), а также прием лекарственных препаратов, показанных в качестве предоперационной подготовки или профилактике осложнений после вмешательства.
Для доброкачественной аденомы, сформированной из слизистой оболочки толстой кишки, показано выполнение операции, следуя таким направлениям:
- Изолированная полипэктомия. Проводится удаление новообразования с помощью электроножа при колоноскопии;
- Лапароскопические методики. Используют в случае труднодоступной локализации гиперпластического полипа;
- Радикальная операция. Выполняется удаление толстой кишки чаще при диффузном полипозе или высокой вероятности трансформации в злокачественную опухоль;
- Трансанальные методики иссечения. Применяют при локализации полипов в области прямой кишки и/или анального канала.
Тактика ведения отличается в зависимости от индивидуальных особенностей организма пациента. Если же полипы не превышают 2-3 см в диаметре, возможно отсрочить операцию на неопределенный срок. Однако стоит помнить, что воздействие факторов риска провоцирует их рост и развитие.

Методы консервативной терапии обычно не применяются ввиду их нецелесообразности. Однако в качестве общих мероприятий показано соблюдение полупостельного режима, диеты (в соответствии с преобладающим расстройством пищеварения), а также прием лекарственных препаратов, показанных для предоперационной подготовки или профилактике осложнений после вмешательства.
Гиперплазия кишечника: что это такое, основные симптомы, причины возникновения, диагностика, лечение
Гиперплазия кишечника диагностируется не так часто, как другие патологические состояния желудочно-кишечного тракта. Это объясняется тем, что данное заболевание часто протекает бессимптомно, самостоятельно проходит.
Однако при прогрессировании гиперплазия вызывает серьезные осложнения, которые даже представляют смертельную опасность для пациента, поэтому при возникновении первых клинических проявлений необходимо срочно обратиться к специалисту.
Что это такое
Гиперплазия – противоестественный процесс, характеризующийся избыточной выработкой клеток лимфоидной тканевой структуры кишечника, разрастанием ткани в слизистой оболочке, подслизистом слое. Вследствие этого увеличивается масса и нарушается функциональность органа.
Заболеванию в равной степени подвергаются представители обоих полов любых возрастных категорий. При этом на появление гиперплазии никак не влияет пристрастие к определенным продуктам питания или место проживания.
Патология способна возникать во всем желудочно-кишечном тракте, но чаще всего страдает тонкий кишечник из-за постоянного контакта данного отдела с патогенными микроорганизмами, вирусами, аутоиммунными агентами.
Часто развивается очаговая гиперплазия, отличающаяся возникновением лимфоидных разрастаний с четкими границами. Иногда такое состояние считается нормальным вариантом.
В некоторых случаях на протяжении всей жизни у пациента не ухудшается качество жизни, не нарушается функционирование желудочно-кишечного тракта. Однако при прогрессировании процесса разрастания постепенно проявляются выраженные симптомы патологического процесса.
В итоге лимфоидные клетки аномально делятся, образуя целые колонии, которые необходимо постоянно наблюдать из-за вероятности злокачественного перерождения.
Клинические проявления
Симптомы гиперплазии зависят от пораженной части кишечника. При прогрессировании патологии больной страдает от слабости, ухудшения общего состояния организма, периодической лихорадки, спастического болевого синдрома в животе.
Нарушение функциональности органа вызывает продолжительную диарею с кровянистыми, слизистыми выделениями, метеоризм, вздутие, урчание в левом подреберье. В запущенных случаях у больного резко и интенсивно снижается вес.
Может ли перерасти в рак
Несмотря на то что часто гиперплазия кишечника не доставляет больному никакого дискомфорта и самостоятельно исчезает, иногда такое состояние считается предраковым. Риск злокачественного перерождения зависит от структуры клеток, которые интенсивно делятся.
Конечно, вероятность трансформации заболевания в раковую опухоль низкая, но при появлении симптомов важно своевременно обратиться к специалисту, провести полную диагностику, чтобы избежать серьезных последствий.
Вероятные осложнения
Клинические признаки гиперплазии кишечника появляются при объединении лимфоидных клеток в крупные конгломераты. Вследствие этого развивается гиперемия слизистой органа.
Оболочка постепенно истончается, покрывается эрозиями. Прогрессирование такого состояния разрушает слизистую, чревато желудочно-кишечным кровотечением. Данное осложнение требует незамедлительного устранения, так как смертельно опасно для больного.
https://youtube.com/watch?v=qUNWkMqjRf8
Продолжительное протекание патологии нередко вызывает истощение организма, резкое и существенное снижение массы тела, ухудшает эмоциональное состояние человека, вызывает депрессию, постоянное раздражение.
Пациенты теряют концентрацию, работоспособность, становятся апатичными. Крайне редко гиперплазия кишечника перерождается в злокачественное образование, которое стремительно прогрессирует, вызывает метастазы и заканчивается летальным исходом.
Профилактика
Из-за частого бессимптомного протекания патологии рекомендуется регулярно проходить профилактический осмотр, чтобы обнаружить проблему на начальной стадии.
Для защиты от лимфофолликулярной гиперплазии следует правильно питаться, соблюдать режим ночного отдыха, вести активный образ жизни, избегать нервных перенапряжений, стрессов, отказаться от курения, употребления спиртных напитков.
Выраженные симптомы проявляются на поздних стадиях, поэтому противопоказано самолечение лекарственными веществами, народными средствами.
Прогноз
Степень благоприятности прогноза зависит от времени диагностирования заболевания. Если гиперплазия была выявлена во время профилактического исследования на ранней стадии, то подобранное комплексное лечение позволяет эффективно избавиться от патологического процесса, защитить от серьезных последствий.
Однако чаще всего пациенты обращаются за помощью, когда страдают от яркой симптоматики на последних этапах развития болезни. Если гиперплазия злокачественно трансформировалась, то прогноз резко ухудшается, так как рак кишечника склонен к стремительному прогрессированию.
Гиперплазия кишечника характеризуется интенсивным делением клеток, разрастанием ткани слизистой оболочки. Иногда такое явление считается вариантом нормы и самостоятельно проходит, но появление тревожных признаков говорит о прогрессировании заболевания, высоком риске развития опасных для жизни осложнений.
Поэтому рекомендуется ежегодно проходить профилактический осмотр и сразу обращаться за помощью при возникновении первых симптомов.
Нужно ли удалять гиперпластический полип толстой кишки
Гиперпластический полип толстой кишки — что это такое, симптомы и причины заболевания каковы, нужно знать каждому человеку, т.к. патология может спровоцировать опасные последствия. Существует ряд разновидностей новообразования, большинство из них считается предраковым состоянием.
Особенности патологии, классификация и виды
Образование полипа сопряжено с разрастанием эпителиальных клеток. Такие новообразования кишечника могут достигать 3 см в диаметре, они состоят из тела, ножки и основания. Чаще всего полип формируется на воспаленной слизистой оболочке, поэтому нередко сопровождает другие патологические процессы.
Подобные новообразования имеют доброкачественную форму, но при благоприятных условиях существуют риски малигнизации.
По численности
Выделяют множественные и единичные новообразования.
Первые характеризуются небольшими размерами и располагаются чаще всего в прямой кишке, занимая практически всю поверхность слизистой оболочки.
Единичные полипы достигают 2-3 см в диаметре и могут формироваться практически в любом отделе органа.
По форме новообразования
Выделяют такие формы новообразований:
- Аденоматозные. Подразделяются еще на 3 дополнительных вида. Первый — тубулярный. Новообразования, располагающиеся на поверхности слизистой оболочки, плоские и плотные по структуре, имеют розоватый оттенок и склонны к злокачественному перерождению. Второй вид — ворсинчатые полипы толстой кишки, состоят из множественных разрастаний и сосудов. Третий подтип — тубулярно-ворсинчатый. Характеризуется гипертрофированной слизистой с наличием признаков вышеуказанных подвидов. Такая форма считается смешанной.
- Гамартромные — возникают на фоне аномалий развития слизистой оболочки органа.
- Воспалительные — такая форма часто возникает при длительном течении заболеваний, которые переходят в хроническую стадию.
- Гиперлазиогенные — похожи на цветную капусту, чаще встречаются на слизистой желудка.
Гиперпластические полипы сигмовидной кишки
Подобные новообразования препятствуют нормальной работе сигмовидной кишки, которая выполняет несколько функций: участвует в процессах всасывания витаминов и способствует первичному формированию каловых масс. Полип способствует расширению просвета органа, часто имеет доброкачественный характер и не превышает 1-2 см в диаметре.
Механизмы развития и причины
Причиной возникновения подобных новообразований является ряд факторов: врожденных и приобретенных. В группу риска входят люди, у которых ближайшие родственники имели полипы кишечника.
Провоцирующие факторы:
- Злоупотребление вредной пищей. Люди, предпочитающие фастфуд, жирные, жареные блюда, маринады и обилие приправ, входят в группу риска. Повышают вероятность возникновения новообразований кишечника алкогольные напитки.
- Хронические патологии ЖКТ. Наличие гастрита, панкреатита, воспаления кишечника, болезни Крона, язвенного колита, холецистита и гепатита повышает риск возникновения новообразований и опухолей, в т.ч. злокачественного характера.
- Нарушения стула. Спровоцировать подобного рода патологические процессы могут частые запоры, которые способствуют интоксикации организма.
- Эмоциональная нестабильность и большое количество стрессов. Люди, подверженные тревожным расстройствам, чаще других сталкиваются с заболеваниями толстого кишечника, т.к. страдает иммунная система человека.
В группу риска также входят:
- люди с ожирением;
- курящие;
- работники вредного производства.
Полипозом нередко страдают люди, практикующие нетрадиционные виды секса, провоцирующие механическое травмирование прямой кишки.
Клинические проявления и методы исследования
Наросты на толстой кишке хоть и таят в себе угрозу трансформации в злокачественную опухоль, часто протекают бессимптомно. По мере разрастания возникают боли во время акта дефекации, нарушение стула: могут чередоваться поносы и запоры. Из прямой кишки нередко появляются выделения разного характера, они могут быть слизистыми, кровяными, гнойными.
Часто человек жалуется на зуд в области ануса и слабость, которая сопряжена с развитием анемии, связанной с внутренними кровотечениями. Ткани доброкачественной опухоли могут разрастаться, в результате чего возникает механическая непроходимость.
В выявлении полипоза важна дифференциальная диагностика, которая дает возможность отличить доброкачественное новообразование от ряда других заболеваний, аналогичных по клинической картине, например парапроктита, сигмоидита, язвенного колита. Главным способом исследования является применение колоноскопа (трансанальной диагностики). При этом через анальное отверстие вводится эндоскоп, благодаря которому можно визуализировать состояние слизистых оболочек всех отделов кишечника.
С помощью колоноскопа на начальных стадиях можно определить признаки дисплазии, при необходимости есть возможность произвести биопсию — забор тканей с пораженного участка для исключения наличия атипичных клеток.
В зону исследования входят части ободочной кишки и сигмовидного отдела.
Дополнительно также применяют:
- Ирригоскопию. Процедура основана на введении в прямую кишку бариевой взвеси для дальнейшей диагностики с помощью рентгена. Такой способ исследования уступает колоноскопии в информативности.
- КТ. Компьютерная томография дает возможность определить размер новообразования и дополнительные патологические изменения.
- Анализ кала. Позволяет выявить скрытую кровь, присутствие гноя и слизи.
- Анализ крови. Используется для определения общего состояния организма, при этом нередко опускается уровень гемоглобина, возрастает количество лейкоцитов.
- УЗИ с помощью ректального датчика. Позволяет выявить первичные изменения в структуре слизистой оболочки.
Тактика лечения и восстановительный период
Медикаменты для устранения полипов неэффективны, основной способ лечения — операция. При этом используют современные методы лапароскопии, которые позволяют быстро и безопасно удалить нарост.
В ходе вмешательства нередко используют колоноскоп, который дает возможность провести операцию без проколов и разрезов.
После удаления нароста рану прижигают лазером или коагулируют током для предотвращения кровотечения.
В период восстановления показана строгая диета, слабительные медикаменты и антибактериальная терапия. Для устранения болей после операции назначают спазмолитики.
Особенности питания и народные методы лечения
При наличии проблемы важно отказаться от продуктов, способствующих развитию запоров. Для этого из меню исключают макароны, хлеб и жирные блюда. Рацион обогащают вегетарианскими супами, киселями, кашами, тушеными овощами. Питание должно быть щадящим, не менее 4 раз в день, не допускаются большие порции.
Из народных средств полезны противовоспалительные отвары на основе ромашки, душицы, календулы и зверобоя. Во время лечения можно принимать настой прополиса, а также овсяный кисель.
Нужно ли удалять гиперпластический полип толстой кишки Ссылка на основную публикацию
Эндоскопическая диагностика полипов толстой кишки
Слово «полип» произошло от древнегреческого слова polypus, что в переводе означает «многоногий». Существует несколько сходных определений термина полип. В.С.
Савельев считает, что это понятие объединяет регенераторные, воспалительные и опухолевидные изменения слизистой оболочки, а также разнообразные неэпителиальные образования и выбухания на ней [4]. Практически аналогичное определение дает А.С. Балалыкин [1]. Более краткое, но близкое по смыслу определение и у J. D.
Waye [16], термин полип он относит ко всем патологическим выступам на поверхности слизистой оболочки. Необходимо помнить о том, что термин полип далеко не всегда обозначает аденому.
Клиническое значение
В настоящее время доказанным считается факт связи неопластических полипов с развитием колоректального рака. Считается, что до 95 % злокачественных опухолей развиваются из доброкачественных аденом [8].
Теория многоступенчатого канцерогенеза при раке толстой кишки по Fearon, Vogelstein доказывает, что образование карциномы толстой кишки обязательно проходит стадию аденоматозного полипа [9] (хотя не все авторы с этим согласны).
Последовательные мутации, ведущие к потере гетерозиготности, вызывают гиперпролиферацию с формированием ранней, а затем промежуточной и поздней аденомы и карциномы, как конечного результата. Опухолевый рост в толстой кишке полностью соответствует типичной последовательности канцерогенеза.
На первой стадии под действием канцерогена происходит накопление критической массы мутированных генов, на второй стадии происходит разрастание клонов мутировавших клеток с формированием доброкачественной опухоли. Без каких-либо дополнительных воздействий опухоль способна сохранять свою доброкачественность, но при дополнительном воздействии она трансформируется в злокачественную и приобретает способность к инвазивному росту и метастазированию.
Образование аденом в толстой кишке носит обратимый характер, небольшие аденоматозные полипы могут исчезать без лечения, но даже такие аденомы в настоящее время считаются динамической стадией развития неоплазий толстой кишки. С этими взглядами полостью согласен В.Т.
Ивашкин утверждающий, что непосредственным предшественником рака толстой кишки является аденоматозный полип, выявление полипа является прескринингом злокачественного заболевания, а его удаление — средство предупреждения рака [2].
При анализе наблюдавшихся нами случаев раннего рака толстой кишки остаточную доброкачественную опухоль морфологически удалось выявить в 67,3 % случаев, что тоже косвенно подтверждает наличие аденомы в качестве предшественника по крайней мере у большей части пациентов.
Дифференциальная диагностика
Несколько факторов должно быть оценено при решении вопроса о природе полиповидного образования (неопластическая или не неопластическая) и оценке возможности его злокачественного характера. Кроме того, необходимо дифференцировать эпителиальные и подслизистые опухоли толстой кишки.
Аденомы могут располагаться как на ножке, так и широком основании.
Ножку обычно формирую медленно растущие аденомы, расположенные на активно перестальтирующих участках толстой кишки [14]. Ножка при доброкачественных аденомах чаще всего достаточно тонкая, головка округлой формы красного цвета.
Аденома может иметь дольчатое строение, что, однако не указывает на ее злокачественный характер. Рак в аденоме ограниченный слизистой практически не меняет ее внешний вид.
Микроскопически тубулярная аденома на более чем 80 % состоит из извитых железистых трубочек с многочисленными разветвлениями.

Ножка имеет гистологическое строение соответствующее нормальной слизистой т.к. образуется в результате тянущего воздействия полипа на слизистую в области его основания.
Дифференциальная диагностика аденом с далеко зашедшими опухолями толстой кишки трудностей не вызывает. Ранний инвазивный рак может напоминать доброкачественную опухоль, но имеет ряд характерных признаков. Т.к.
инвазия рака в подслизистый слой идет через ножку полипа, то с увеличением объема инвазии она постепенно утолщается и укорачивается (в конце концов, образование на ножке ее теряет и располагается на широком основании). Одновременный распад опухоли в области головки приводит к ее деформации и эрозированию (эрозия является характерным признаком инвазивного рака).
Другой характерной их чертой является выраженная контактная травматичность. Втяжение или «площадка» на поверхности образования также может свидетельствовать об инвазивной карциноме [14].
Ворсинчатая аденома
Чаще располагается на широком основании и имеет белесую окраску. При близком рассмотрении (рис. 3) легко обнаружить ворсинчатые разрастания на ее поверхности.
Опухоль так же может быть дольчатой. При морфологическом исследовании выявляются множественные разрастания соединительной ткани собственной пластинки слизистой покрытые эпителием.
Железисто-ворсинчатая аденома
В отличие от железистых аденом содержат больше ворсин (более 20 %, но менее 80 %).
Зазубренные (serrated) аденомы
Достаточно недавно выделенный тип аденом.
В среде морфологов отсутствует единый взгляд на вопрос, возникает ли она на фоне гиперпластического полипа приобретающего признаки дисплазии или является самостоятельно развивающейся формой морфологических изменений.
Однако возможность их прогрессии в рак сомнений не вызывает. Эпителий выстилающий края крипт имеет конфигурацию напоминающую зубья пилы за счет фестончатых складок эпителия [15].
Ювенильные полипы и полипы Пейтца-Егерса
Ювенильные полипы встречаются преимущественно у детей и подростков. Чаще они одиночные, на ножке и с головкой сферической формы, имеют ярко-красный цвет и иногда эрозированную верхушку. Дольчатыми ювенильные полипы не бывают.
В среде морфологов существуют противоречия в вопросе о природе таких полипов, ряд авторов рассматривает их как гамартромные, другие указывают на их близость к аденоматозным полипам. Морфологически выявляются железы неправильной формы с кистозными расширениями, содержащими муцин, высланные кубическим эпителием.
Строма таких полипов отечна, содержит расширенные сосуды и воспалительные клетки. Считается, что ювенильные полипы не малигнезируется.
Полипы Пейтца-Егерса могут, как иметь ножку, так и располагаться на широком основании, часто дольчатые и имеют белесоватую окраску. Их отличительной морфологической чертой является наличие исходящих из мышечной пластинки слизистой ветвящихся гладкомышечных пучков.
Гиперпластические полипы
Такие полипы представляют собой очаг гиперплазии слизистой оболочки. Их окраска близка к цвету нормальной слизистой.
Они в большинстве случаев не превышают размером 5 мм и располагаются на широком основании, могут быть одиночные или множественные.
При микроскопическом исследовании удлиненные крипты таких полипов за счет многочисленных эпителиальных выступов имею «звездчатую» или «в виде зубьев пилы» картину.
Воспалительные полипы
Представляют собой очаг воспаления. Часто имеют место при неспецифическом язвенном колите.
Их размеры и внешний вид могут широко варьировать. Мы наблюдали образование воспалительного полипа в области маточно-кишечного и кишечно-пузырного свищей. Они могут образовываться в области наложения кишечных анастомозов.
Большое их количество при воспалительных заболеваниях кишечника может создать трудности в дифференциальной диагностике с диффузным семейным полипозом.
Морфологически образование представлено различным сочетанием грануляционной ткани и регенераторным эпителием.
Лимфатический полип
Возникает при выраженной лимфойдной гиперплазии. Они чаще множественные, не превышают 0,3-0,4 см. Морфологически такой полип представляет собой один или несколько лимфатических фолликулов с четко выраженным центром размножения. Слизистая, выстилающая фолликулы, нормальна или с признаками атрофии.
Подслизистые опухоли
Подслизистые опухоли располагаются на широком основании, хотя в редких случаях и имеют ножку. Все они покрыты нормальной слизистой (с сохраненным нормальным сосудистым рисунком).
Дополнительные методы дифференциальной диагностики полипов толстой кишки
Как было сказано выше дифференциальная диагностика неопластических и неопластических полипов, а также ранних случаев карциномы достаточно сложна, особенно при маленьких размерах образования. Для улучшения такой диагностики S. Kudo et al.
предложил методику эндоскопической диагностики возможного морфологического строения опухоли на основе рисунка ямок желез [11]. Выделяют 5 типов картины ямок желез (рис.
8), с явной корреляцией между ними и морфологической структурой образования [11].
Первый тип, характеризующийся круглыми, правильно расположенными ямками практически одинакового размера является признаком неизмененной слизистой оболочки. Второй тип (регулярно расположенные ямки больших размеров и «звездчатой» или «луковичной» формы) в 69, 4 % случаев встречается при гиперпластических, а в 30, 5 % аденоматозных полипах.
Третий тип (S) — компактно расположенные маленькие округлые ямки в 86, 3 это аденомы, а 12, 3 % карциномы. Третий тип (L) — большие, вытянутые ямки — аденомы в 92, 7 % и карциномы в 4, 2 %. Четвертый тип — ямки по типу ветвей или извилин — в 74, 9 % наблюдений это аденомы (чаще железисто-ворсинчатые), а в остальных карциномы.
Пятый тип — с частичным или полным нарушением структуры ямок — карцинома в 93,3 % случаев и аденома в 6,7 %.
Эту картину можно наблюдать при выполнении стандартной колоноскопии, но колоноскопия с увеличением дает более точную степень диагностики. Konishi K. et al сравнил диагностическую ценность обычной колоноскопии и колоноскопии с увеличением на основании 630 колоноскопий (330 с увеличением и 330 без него) [10].
Оценка рисунка железистых ямок проводилась после орошения образования 0,2 % раствором индиго кармина, согласно вышеуказанной классификации. Точность эндоскопической диагностики затем проверялась при морфологическом исследовании. В эту работу были включены только пациенты с образованием размером не более 10 мм.
Успешно отличить неопластические от неопластических поражений удалось в 92 % случаев колоноскопии с увеличением и только 68 % случаев при обычной колоноскопии.



