Плодное яйцо без эмбриона. Может ли плодное яйцо быть без эмбриона?
Безусловно, одним из самых прекрасных жизненных отрезков женщины является вынашивание ребеночка и ожидание его рождения. Однако не всегда все бывает гладко.
В последнее время представительницам слабого пола все чаще приходится сталкиваться с различными проблемами, связанными с репродуктивной системой. Одна из ужаснейших ситуаций, с которой женщина может столкнуться в период беременности – это плодное яйцо без эмбриона.
Данная патология, как и любое другое заболевание, имеет свои причины, симптомы и различные методы проведения диагностики.
Такой дефект обязательно должен подвергаться медицинской коррекции, так как к рождению ребенка он не приведет, а разложение неразвивающегося плодного яйца в полости матки может привести к серьезным осложнениям и длительному лечению впоследствии.
С чего все начинается
Когда женщина планирует беременность, она и представить себе не может плодное яйцо без эмбриона. Однако нередко представительницам слабого пола приходится сталкиваться с этой проблемой.
В момент овуляции женская клетка покидает фолликул – место своего развития. Направляясь к маточной мышце по фаллопиевым трубам, она встречается с половой клеткой мужчины.
В этот момент происходит слияние сперматозоида с яйцеклеткой, вследствие чего образуется зигота. Непрерывно делясь и приумножаясь, клетки движутся в сторону матки, где прочно крепятся к стенкам на все последующие месяцы беременности.
При нормальном развитии и правильном росте эмбриона счастливая пара увидит своего малыша спустя сорок недель беременности.
Прикрепление плодного яйца может произойти как к передней стенке матки, так и к задней. На ход беременности и рождение малыша это никак не повлияет.
Возможные патологии
Во время беременности могут возникнуть различные ситуации, когда состояние эмбриона оказывается несовместимо с жизнью. Рассмотрим самые частые из них.
Например, если произошло прикрепление плодного яйца вне полости матки, то это называется внематочной беременностью. Это состояние может вызвать угрозу жизни женщины, поэтому должно быть как можно раньше диагностировано и откорректировано.
Также у женщины может произойти произвольный выкидыш по тем или иным причинам. В этом случае даме также необходимо оказание срочной медицинской помощи.
Еще одна патология – это плодное яйцо без эмбриона. Такое состояние возникает в последнее время довольно часто. Из тысячи беременных женщин сто не имеют эмбриона.
Анэмбриония
Такой диагноз может быть поставлен женщине, когда плодное яйцо по неделям развивается и растет, а эмбриона не имеет.
Под влиянием тех или иных факторов происходит остановка в делении клеток на определенном уровне, и эмбрион прекращает свой рост. В этом случае его размер настолько мал, что даже аппарат ультразвука не имеет возможности его зафиксировать. Тогда доктор и оглашает женщине этот страшный диагноз: плодное яйцо без эмбриона.
Также бывают случаи, когда эмбрион не просто прекратил свое развитие на самых начальных этапах, а вовсе отсутствовал. Тогда беременной также ставится диагноз анэмбриония. При таком виде патологии плодное яйцо по неделям может не соответствовать сроку либо развиваться и увеличиваться без содержимого.
Плодное яйцо без эмбриона: почему так происходит?
Причины развития анэмбрионии до сих пор не изучены до конца. Однако существует несколько предпосылок, которые могут спровоцировать гибель эмбриона на ранних сроках его роста.
Вредные привычки
К этому пункту можно отнести никотиновую зависимость, чрезмерное употребление алкогольной продукции, наркоманию и токсикоманию. Вредные губительные вещества попадают через кровь будущей матери к плоду и оказывают на него необратимое влияние, в результате чего прекращается развитие.

Генетические отклонения
Плодное яйцо без эмбриона может быть из-за начальных нарушений в делении клеток после оплодотворения. В этом случае женщина не в силах повлиять на ситуацию и как-то предостеречь себя от такой патологии. Также возможно развитие подобного дефекта, если оплодотворение произошло клетками кровного родственника.
Гормональные нарушения
При остановке развития беременности размеры плодного яйца обычно не соответствуют сроку. Причиной этому может быть недостаток или избыток тех или иных гормонов в женском организме. Выносить ребенка может только та представительница прекрасного пола, в организме которой выработка гормонов находится в полном порядке.
Плодное яйцо без эмбриона: признаки патологии
На начальном этапе развития патологии женщина не испытывает никакого дискомфорта. При развитии и росте плодного яйца у беременной вырабатывается определенный гормон.
Под его влиянием женщина испытывает все «прелести» беременности. Ее могут мучить утренняя тошнота, непереносимость некоторых запахов, желание съесть что-нибудь «эдакое». Отсутствие эмбриона в яйце никак не влияет на эти признаки.
Поэтому женщина может до последнего не подозревать об анэмбрионии.
У некоторых представительниц прекрасного пола все происходит наоборот. Организм, понимая, что состояние эмбриона не совместимо с жизнью, начинает отторгать плодное яйцо. В этот момент беременная может ощущать боли в нижнем сегменте живота, а также наблюдать красные или коричневые выделения из половых органов.
Диагностика патологии
Если женщину не беспокоят никакие симптомы, то об анэмбрионии она узнает на очередном осмотре при помощи ультразвукового датчика. Доктор обнаруживает, что размеры плодного яйца не соответствуют сроку.
Если же появились признаки начавшегося прерывания беременности, то обычно женщина сама обращается к специалисту.
Для начала врач акушер-гинеколог проводит физический осмотр на гинекологическом кресле и отмечает размер матки и состояние ее шейки. После этого пациентке назначается исследование ультразвуком.
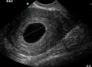
Доктор фиксирует на экране плодное яйцо — как выглядит оно, какие размеры имеет — и отмечает отсутствие эмбриона.
Если женщина сомневается в компетентности врача, то может пройти повторное обследование через несколько дней. При этом необходимо учитывать интенсивность выделений и исключить кровотечение. Если и повторная диагностика показывает плодное яйцо без эмбриона пустого кольца при этом видно на экране — то сомнения в предположении анэмбрионии нет.
После поставленного диагноза женщине обязательно необходима медицинская коррекция.
Лечение анэмбрионии
Существует два способа коррекции такой патологии.
Медикаментозное лечение
Если срок беременности не достиг шести недель, то пациентке может быть предложен медикаментозный аборт. В этом случае женщина выпивает необходимое лекарство под присмотром врача и ждет, когда начнутся схваткообразные боли. Содержимое матки отторгается и выходит наружу.
Пациентка должна находиться под присмотром доктора еще несколько дней, до окончательного завершения кровотечения. Далее женщину осматривает врач при помощи датчика ультразвука и определяет чистоту маточной мышцы.
Хирургическое вмешательство
В большинстве случаев медики выбирают именно этот способ лечения, так как во время его проведения можно тщательно очистить внутреннюю полость матки без развития осложнений.
Доктор вводит пациентку в состояние сна, используя общую анестезию, и начинает процедуру. Длится такая манипуляция от пяти до двадцати минут. При помощи специальных инструментов гинеколог выскабливает верхний маточный слой с патологическим плодным яйцом. Уже через несколько часов после проведения подобной манипуляции женщина может быть выписана.
После завершения кровянистых выделений необходимо провести УЗИ, чтобы убедиться, что в матке не осталось частей плодного яйца.
Уточнение причины патологии
Полученный после проведенной чистки материал всегда отправляется доктором на гистологическое исследование. Именно там и выясняют, был ли вообще эмбрион, на каком сроке он прекратил свое развитие, и что послужило этому причиной.
Восстановление
После проведенного лечения пациентке всегда назначается прием противовоспалительных, а также антибактериальных лекарств. При наличии гормональных проблем может быть рекомендован прием восстановительных препаратов.

Также доктор рекомендует курс приема успокоительных средств, так как потеря ребенка даже на таком раннем сроке всегда является для женщины сильнейшим стрессом.
Повторное планирование беременности рекомендуется не ранее чем через полгода, однако перед этим необходимо выяснить и устранить причины, которые заставили остановить развитие эмбриона.
Заключение
Во время беременности необходимо особо внимательно относиться к своему самочувствию. Узнайте, что такое плодное яйцо, как выглядит и для чего оно необходимо.
При любых симптомах отсутствия эмбриона в плодном яйце обращайтесь к доктору за консультацией. Берегите свое здоровье!
Плодное яйцо без эмбриона: что делать и почему это происходит?
Диагноз пустое плодное яйцо без эмбриона не редкость, он ставится в 5-10% случаев. Самым неприятным является то, что шансы выявить его причины минимальны. Чтобы запланированная беременность увенчалась успехом специалисты рекомендуют принимать мультивитаминные комплексы и вести здоровый образ жизни.
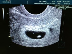
Так на УЗИ выглядит пустое плодное яйцо.
Почему это происходит?
Пустое плодное яйцо – это по сути беременность, которая не начала развиваться. Процесс развития прекратился еще до этапа формирования эмбриона. Причин такого нарушения достаточно много.
Любые негативные изменения в организме женщины могут его спровоцировать.
При постановке диагноза анэмбриония следует немедленно принять необходимые меры, так как это влечет за собой неизбежную гибель плода.
Среди основных причин пустого плодного яйца выделяют:
- Генетические нарушения.
- Инфекционные заболевания.
- Внешние факторы (состояние окружающей среды).
- Неправильный режим питания.
- Недостаток витаминов.
То есть в каждой конкретной ситуации определить причину образования пустого плодного яйца крайне сложно.
Генетические нарушения начинаются на первоначальном этапе деления клеток и влекут за собой последующие ошибки. Это может быть формирование лишних хромосом либо наоборот, их неполного набора.
В таком случае превращение яйца в эмбрион не происходит, организм женщины это понимает и начинает его отторгать.
По статистике из 100 женщин у 5-10 нет эмбриона в плодном яйце.
Как проявляется анэмбриония?
На первоначальном этапе пустая беременность заметна не будет. Ее невозможно определить даже с помощью гинекологического осмотра.
Нарушения становятся видимыми уже на самой крайней стадии, когда организм начинает отторгать плод.
На данном этапе наблюдаются боли внизу живота, коричневые выделения из влагалища и резкий запах — и это уже признаки плодного яйца без эмбриона который организм начал отвергать.
Как меняется ХГЧ при пустом плодном яйце?
Контроль динамики показателя ХГЧ – один из способов определения пустого плодного яйца. Значения ХГЧ будут меняться, но значительно меньше, чем при нормальном течении беременности. Также возможен вариант, когда значения показателя ХГЧ стоят на месте – это основной признак существования проблем с развитием плода.
Обязательно посмотрите это полезное видео:
Симптомы пустой беременности не отличаются от обычной: это задержка менструации, проявления токсикоза, постоянное чувство усталости.
На ранних сроках крайне сложно выявить пустое плодное яйцо. Так как размеры эмбриона очень малы и его можно просто не заметить. Только по прошествии 5 недель, появляется возможность определить отсутствие плода.
Узи диагностика
Только на шестой неделе беременности пустое плодное яйцо можно диагностировать с помощью УЗИ. Оно проводится в любом случае, чтобы определить месторасположение плода, а также исключить внематочную беременность.
Такой страшный диагноз, как анэмбриония женщина может услышать даже если чувствует себя хорошо и у нее нет никаких симптомов.
Первый триместр беременности это наиболее важное время формирования плода, на данном этапе будущей маме стоит особо тщательно следить за своим здоровьем, так как угроза выкидыша очень высока.

В этом видео показано УЗИ пустого плодного яйца:
Если у женщины обнаружено пустое плодное яйцо без эмбриона потребуется сделать медицинскую коррекцию (очищение матки).
Что делать при анэмбрионии?
Если был поставлен такой неутешительный диагноз, нужно будет сделать коррекцию. Медицинская коррекция возможна с помощью двух способов.
Хирургический метод
Это наиболее распространенный вариант коррекции. Такой способ позволяет почистить полость матки без последствий. При хирургическом вмешательстве используется общая анестезия. Операция проходит очень быстро от 10 до 25 минут. Доктор должен выскоблить маточный слой и пустое плодное яйцо. Уже через пару часов женщина может отправляться домой.
Медикаментозный аборт
Аборт с применением специальных препаратов может быть использован, если срок беременности составляет меньше 6 недель. Женщина принимает лекарство и ждет когда начнутся схватки. Это больно. Вся процедура происходит в больнице под контролем врача. После того, как из матки выйдет все лишнее, женщина должна провести в больнице пару дней до того, как закончится кровотечение.
Чтобы уточнить причину нарушения развития беременности материал, полученный из матки в процессе чистки, отправляют на гистологическое исследование. Такое исследование должно выяснить причины прекращения развития эмбриона и когда именно он прекратил свое развитие.
После аборта нужно делать УЗИ.
При завершении любого из двух методов аборта нужно сделать УЗИ. Таким образом, можно удостовериться, что матка чистая и в ней не остались частички плодного яйца.
Профилактика
Проблему лучше предотвратить, чем решать ее последствия. Если обнаружено пустое плодное яйцо, то принимаются уже крайние меры. Но если при планировании беременности руководствоваться некоторыми рекомендациями, то можно снизить вероятность развития патологий.
Уменьшить риск формирования пустого плодного яйца можно следующими способами:
- обоим супругам пройти полное медицинское обследование (сделать анализы, УЗИ, проконсультироваться с гинекологом и терапевтом, чтобы исключить хронические заболевания, также рекомендуется посетить узких специалистов);
- по рекомендации специалиста начать прием мультивитаминов, в том числе фолиевой кислоты. Курс витаминов следует начать принимать за 2-3 месяца до зачатия;
- при подготовке к беременности следует отказаться от вредных привычек: употребления алкоголя, курения. Пересмотреть свой режим питания, рацион: наполнить его продуктами богатыми витаминами и минералами.
Краткий итог
Стоит заранее договориться с акушером-гинекологом, который будет вас консультировать на протяжении всей беременности. Важно понимать, что единичный случай пустого плодного яйца – это еще не приговор.
Это абсолютно не означает, что у кого-то из партнеров существуют нарушения в репродуктивной системе.
Главное не расстраиваться и продолжать попытки забеременеть (после анэмбрионии за продолжение рода можно браться через полгода), тогда все обязательно получится.
Не забывайте писать комментарии. Расскажите о своем опыте, задавайте вопросы. Делитесь этой статьей в своих социальных сетях. Не забывайте ставить оценку. Спасибо за посещение.
Пустое плодное яйцо (анэмбриония) при беременности: причины, признаки
Сегодня всё чаще встречается такая патология как анэмбриония (анэмбрионическая беременность) или пустое плодное яйцо. Анэмбриония — это отсутствие эмбриона в плодном яйце. Есть плодные оболочки, амнион (водная оболочка), хорион (ворсинчатая оболочка), а будущего ребёнка (эмбриона) нет.
Часть таких беременностей прерывается на самой ранней стадии до имплантации в стенку матки — так организм избавляется от дефектного зародыша. Но если плодному яйцу удалось прикрепиться к стенке матки, то его хорион начинает вырабатывает ХГЧ, как и при обычной беременности (см. «ХГЧ при беременности»).
Поэтому при анэмбрионии у женщины наблюдается задержка менструации, могут присутствовать такие признаки беременности, как тошнота, изменение вкуса, усталость, набухание груди. Так как тесты на беременность основаны на определении ХГЧ, они будут положительными.
Тем не менее анэмбрионическая беременность не может развиваться нормально и всегда заканчивается выкидышем в первом триместре. Часто выкидыш происходит ещё до того, как женщина узнает, что она беременна или в первые дни после задержки менструации.
Пустое плодное яйцо (анэмбриония) причины
Основной причиной появления анэмбрионии или пустого плодного яйца являются хромосомные и генетические аномалии. Чаще всего они возникают спонтанно в момент деления клеток, то есть в первые дни после оплодотворения. Во время деления клеток, отвечающих за формирование эмбриона, происходит сбой и эмбрион не образуется, а другие клетки продолжают развиваться и создают пустое плодное яйцо.

Бывает и другая ситуация, когда эмбрион формируется, но погибает на раннем сроке беременности и он настолько маленький, что по УЗИ его не видно.
Признаки анэмбрионии
Беременность при пустом плодном яйце может иметь такие же признаки, как и обычная беременность. Тем не менее при анэмбрионии часто наблюдаются мажущие кровянистые выделения, так как матка пытается избавиться от дефектного плодного яйца.
Определить пустое плодное яйцо можно только с помощью ультразвукового исследования. Однако всем подряд женщинам не рекомендуется делать УЗИ на ранних сроках, такое обследование нужно проводить только по показаниям, например, при наличии кровянистых выделений или сильных болей в животе.
УЗИ, проведённое слишком рано, может дать ошибочный результат и внести в жизнь беременной ненужный стресс. Нередки случаи, когда диагноз «анэмбриония» оказывается ложным. Очень рано провели УЗИ или срок беременности оказался меньше, чем предполагается, и маленький эмбрион просто не увидели.
Определить анэмбрионию по УЗИ можно не ранее 5-6 недель беременности, но и на этом сроке могут быть ошибки.
Анэмбриония: что делать
При подозрении на анэмбрионию нельзя спешить с прерыванием беременности. Во-первых, диагноз может оказаться ложным. Обязательно нужно провести ещё одно ультразвуковое исследование примерно через 7-10 дней.
Во-вторых, если диагноз подтверждается, рекомендуется подождать 2-3 недели. Чистка требуется в очень редких случаях, чаще всего пустое плодное яйцо выходит из полости матки самостоятельно. В основном самопроизвольное прерывание беременности при пустом плодном яйце происходит до 8 недель.
Только в некоторых случаях может понадобиться инструментальное удаление плодного яйца. Возможно также медикаментозное прерывание анэмбрионической беременности, когда женщина принимает определённые препараты и плодное яйцо выходит самостоятельно.
Хуже, когда при появлении кровянистых выделений врач назначает прогестерон и другие препараты для сохранения беременности и это препятствует эвакуации дефектного плодного яйца. В таких случаях вероятность хирургического прерывания беременности (чистки) возрастает.
После прерывания беременности с пустым плодным яйцом врач может порекомендовать подождать от одного до трёх менструальных циклов, прежде чем попытаться снова зачать ребёнка.
Беременность после анэмбрионии
В большинстве случаев анэмбриония возникает случайно из-за дефектного зачатия и больше не повторяется. Если пустое плодное яйцо повторяется более двух раз подряд, паре необходимо обследование. Женщине нужно начать с обследования щитовидной железы. Щитовидная железа может вырабатывать антитела, которые проникают к эмбриону и приводят к его гибели.
Повторяющаяся анэмбриония может возникать из-за патологических сперматозоидов, поэтому мужчине обязательно нужно сделать спермограмму. После трёх потерь беременности паре рекомендуется также пройти генетическое консультирование.
Важно понимать, что вы ни в чём не виноваты и ничего не смогли бы сделать, чтобы не допустить эту потерю. Пустое плодное яйцо возникает спонтанно из-за неправильного деления клеток или некачественной яйцеклетки или сперматозоида. У такой беременности нет будущего, поэтому ваш организм отторгает её.
Предотвратить анэмбрионию невозможно. Анэмбриония может возникать в любом возрасте у совершенно здоровых женщин. Если не вмешиваться в естественный ход событий, не принимать препараты, сохраняющие беременность, то анэмбриония в большинстве случаев заканчивается самопроизвольным прерыванием на ранних сроках и не оказывает влияния на последующие беременности.
Вы потеряли желанного малыша из-за анэмбрионии? Вам тяжело справиться с душевной болью? Рекомендуем прочитать статью «Как пережить выкидыш или замершую беременность«, а также вы можете сохранить память о своём ребёнке, посетив «Страничку Памяти«.
В плодном яйце нет эмбриона
Беременность — это самое необыкновенное и прекрасное событие, которое может случиться с организмом женщины за всю ее жизнь. Данное состояние дарит жизнь развивающемуся ребенку, вселяет уверенность в светлое и счастливое будущее в доме, наполненном детским смехом.
Однако, случаются и патологические состояния во время беременности. К одним из данных состояний можно отнести состояние, при котором нет эмбриона в плодном яйце.
Этот патологический процесс в гинекологических кругах называется анэмбрионией, когда в плодном яйце не видно эмбриона.
Когда возникает плодное яйцо без эмбриона, причины могут быть совершенно различные.
Плодное яйцо есть, а эмбриона нет: почему?
Данная патология не является большой редкостью и составляет около 20% среди случаев потери беременности у женщин. Пятая часть от всех репродуктивных потерь — это довольно внушительный показатель.
Анэмбриония относится к одной группе к замершей беременности. Вторым вариантом данной патологии является гибель эмбриона. В случае же анэмбрионии эмбриона просто нет, а плодное яйцо развивается самостоятельно.
Конечно же, плодное яйцо не может достигать слишком больших размеров при отсутствии своевременной диагностики.
Отсутствие эмбриона в плодном яйце: причины
Анэмбриония является полиэтиологическим заболеванием. Данная патология в развитии эмбриона имеет много факторов.
Пустое плодное яйцо или отсутствие эмбриона: причины.
- Наиболее частым этиологическим фактором среди выявленных анэмбрионий являются генетические аномалии. Грубые перестройки, которые несовместимы с жизнью, прерываются самим женским организмом, как нежизнеспособные. 80% угроз прерывания беременности, которые фиксируются в гинекологических отделениях — это причины генетических трансформаций. Женщины должны писать расписку, о том, что в случае их настояния на вынашивании беременности до 8 недель, они ознакомлены с высокими рисками возникновения генетических аномалий у эмбриона, а в последующем у плода.
- Второй лидирующей причиной среди возникновения пустого плодного яйца является воздействие на вынашивание беременности вирусных агентов. TORCH-инфекции могут обернуться для беременности фатальными последствиями. Влияние токсоплазмоза, цитомегаловируса, краснухи других возбудителей инфекционных заболеваний могут как вызывать замершую беременность, так и анэмбрионию. Если же данные вирусы не подействовали губительно на организм развивающегося крохи, то они могут вызывать грубые пороки развития, которые, порой, к сожалению, не совместимы с жизнью.
- Также губительно на эмбрион могут действовать некоторые лекарственные средства, химические вещества, которые вызывают остановку развития бластомеров. Именно поэтому все врачи рекомендуют до конца первого триместра максимально ограничить потребление каких-либо препаратов.
- Влияние ионизирующего излучения так, такого, как рентгенологическое, также может повлиять на остановку развития эмбриона.
Клиника
Клиническая картина данной патологии беременности не обладает специфичностью. По каким-либо признакам диагностировать анэмбрионию просто невозможно.
Единственными фактами, по которым косвенно можно предположить неблагоприятное развитие беременности — это наличие угрозы прерывания беременности, которая проявляется в виде боли внизу живота различного характера, мажущих кровянистых либо обильных выделений из половых путей.
Также на неблагоприятную картину беременности может указывать наличие в анамнезе острых респираторных вирусных инфекций, при их манифестации либо обострении, например, герпетической инфекции.
Диагностика
Диагностических критериев для идентификации анэмбрионии довольно немного. Достоверным признаком отсутствия развивающегося эмбриона в плодном яйце является визуализация при помощи ультразвукового исследования.
Конечно же, бывают случаи, что беременность в плодном яйце есть, но не видно эмбриона. Эта ситуация относится к малым срокам.
Однако, если нет эмбриона в плодном яйце 6 недель или нет эмбриона в плодном яйце 7 недель, то тут стоит говорить о патологии.
Явным признаком неблагоприятного развития беременности, которые указывают на такую патологию, как анэмбриония, является отсутствие желточного мешка при размере плодного яйца 18,25 мм, а при его размере свыше данных показателей — отсутствия самого эмбриона. Если плодное яйцо 5 недель, то эмбриона не видно, но если нет эмбриона в плодном яйце 8 недель, то в этом случае можно смело говорить о наличии такой патологии. Предположить о неразвивающейся беременности можно косвенно по значениям уровня хорионического гонадотропина человека. Конечно же, ХГЧ будет иметь тенденцию к росту. Этим и отличаются анэмбриония и замершая беременность, при которой уровень ХГЧ будет стремительно падать вниз.
При отсутствии эмбриона в плодном яйце ХГЧ будет нарастать, однако без необходимой динамики. Эти показатели могут регистрироваться на нижней границе нормы. Это должно насторожить лечащего врача и быть поводом для назначения ультразвуковой диагностики.
Достоверно поставить диагноз возможно на 7-8 неделе беременности.
Состояние при беременности в виде отсутствия эмбриона также классифицируются на 3 типа.
Первый тип — отсутствие эмбриона. Это состояние, при котором его остатки вообще не фиксируются аппаратом ультразвуковой диагностики, размеры плодного яйца не соответствует сроку беременности.

Анэмбриония второго типа характеризуется также отсутствием каких-либо элементов эмбриона, однако, матка полностью соответствует срокам беременности.

Анэмбриония второго плодного яйца. Регистрируются и такие ситуации, когда происходит резорбция одного эмбриона. В одном плодном яйце можно визуализировать нормально развивающийся эмбрион, в другом полное отсутствие его элементов. Конечно же, главным диагностическим критерием анэмбрионии является ультразвуковая диагностика.
Лечение
При выявлении такого диагноза, как анэмбриония, терапия направлена на удаление плодного яйца, которое не имеет содержимого, из полости матки. Его эвакуацию возможно провести при помощи трех способов.
Первый способ это медикаментозный аборт. В этом случае используется препараты, увеличивающие сократительную способность миометрия, провоцирующие экспульсия плодного яйца.
При удачном проведении данной процедуры хирургическое вмешательство не показано.
После удаления плодного яйца необходимо проведение контрольного ультразвукового исследования для того, чтобы удостовериться в отсутствии остатков в матке.
Вакуум экскохлеация. Использование вакуум аспиратора для удаления остатков плодного яйца. Данный вид является более щадящей процедурой, нежели медицинский аборт в виде острова кюретажа, так как нет травмирующего воздействия и характера на шейку матки, как при последнем.
Удаление плодного яйца из матки путем острого кюретажа — расширение цервикального канала и выскабливание полости матки острой кюреткой. Это наиболее грубый способ удаления беременности, который может приводить к нежелательным последствиям для репродуктивной функции женщины.
После удаления плодного яйца возможно проведение комплексного исследования полученного материала для того, чтобы определить причину образования такого состояния, как анэмбриония. Возможно проведение генетического анализа, определения инфекционных агентов, которые могли вызвать такие преобразования эмбриона. Однако, эти методики используются редко в силу их высокой стоимости.
Для того, чтобы предотвратить развитие такой патологии, необходимо проходить довольно качественную прегравидарную подготовку. Необходимо как мужчине, так и женщине пройти медицинское обследование, которое позволяет выявить инфекционные агенты, соматические заболевания, которые могут препятствовать нормальному развитию эмбриона. Возможно, будет необходимо медико-генетическое консультирование для выявления рисков возникновения генетических аномалий у зачатого ребенка.
Пустое плодное яйцо или отсутствие эмбриона
Акушерская патология является важным аспектом современной медицины. А среди всех заболеваний особое место принадлежит невынашиванию беременности. Для женщин, надеявшихся на благополучное зачатие и дальнейшее развитие ребенка, это становится тяжелым ударом.
Подобная ситуация может произойти на раннем сроке, когда встречается неразвивающаяся беременность по типу анэмбрионии, что говорит об отсутствии в плодном яйце зародыша. Почему так происходит и какие действия следует предпринимать – вопросы, ответы на которые даст врач.
А женщине следует придерживаться его рекомендаций.
Причины и механизмы
Причины неразвивающейся беременности многообразны и комплексны. Трудно выделить какой-то один фактор, имеющий наибольшее влияние на организм женщины до зачатия и после него. Чаще всего речь идет об ассоциации нескольких причин. Из них важное значение имеют следующие:
Чувствительность эмбриона к внешним неблагоприятным факторам наибольшая в раннем сроке. Существуют критические периоды во время беременности, когда риск патологии существенно выше. В основном это наблюдается на 7–12 сутки после зачатия, при имплантации плодного яйца в слизистую оболочку матки, и с 3 по 8 неделю гестации, что связано с активными процессами эмбриогенеза.

Среди механизмов развития анэмбрионии основная роль принадлежит нарушению процессов жизнеобеспечения зародыша, что приводит к его гибели.
Это происходит на фоне прекращения хорионального кровотока, инволюции ворсинчатой оболочки и эксудативно-фиброзной реакции эндометрия. Последний на смену децидуальной трансформации приобретает признаки железисто-кистозной гиперплазии.
Если беременность не отторгается, то плодное яйцо без эмбриона может еще длительное время персистировать в матке, повышая риск осложнений.
Анэмбриония является разновидностью неразвивающейся беременности. А ее причины включают внешние и внутренние факторы, оказывающие неблагоприятное воздействие на плод на ранних сроках гестации.
Симптомы
Плодное яйцо без эмбриона не имеет яркой симптоматики. Но несмотря на это, в клинической картине можно выделить определенные особенности, дающие возможность заподозрить акушерскую патологию. Как правило, речь идет о таких проявлениях:
- Размеры матки не соответствуют гестационному сроку.
- Постепенно исчезают признаки беременности.
- Маточный тонус снижен.
- Появляются скудные кровянистые выделения из влагалища.
При динамическом гинекологическом осмотре размеры матки не растут, как это положено в норме, а наоборот, уменьшаются. Исчезает цианоз слизистой оболочки шейки и влагалища. Ректальная температура также снижается.
Если неразвивающийся эмбрион длительно задерживается в полости матки, то возникает вероятность осложнений. Прежде всего речь идет о нарушении свертывания крови (коагулопатия или ДВС-синдром).
В этом случае возникает повышенная кровоточивость из различных участков тела и внутренних органов, которую сложно остановить.
Вторая опасность заключается в инфицировании мумифицированного плодного яйца и развитии эндометрита.
Дополнительная диагностика
Решающее значение в диагностике анэмбрионии принадлежит дополнительным методам. И основную роль в этом играет ультразвуковое исследование матки. По его результатам определяют следующие признаки патологии:
Если врач сказал, что у женщины по УЗИ нет эмбриона, а клинически беременность протекает нормально, то исследование нужно повторить через 7 дней. При отсутствии патологических изменений плод вырастет, и его станет не только видно, но и слышно (на 8 неделе сердцебиение уже обязано быть). Поэтому не стоит спешить с выводами и ориентироваться лишь на результаты однократной процедуры.
Согласно данных УЗИ, выделяют два типа анэмбрионии. Первый характеризуется тем, что диаметр плодного яйца не превышает 25 мм, размеры матки соответствуют 5–7 неделе беременности, но отстают от реального срока. При втором типе яйцо растет с нормальной скоростью и к 2,5 месяцам достигает 50 мм, однако не визуализируется ворсинчатый хорион.
Помимо инструментального исследования, диагностика включает определение гормонального спектра и биохимических показателей крови. Об анэмбрионии могут свидетельствовать такие показатели:
- Низкий уровень хорионического гонадотропина (ХГЧ), отсутствие его пиковой концентрации в 10–11 недель.
- Снижение пролактина, прогестерона, эстрадиола, кортизола.
- Падение уровня трофобластического β1-глобулина.
- Уменьшение концентрации плацентоспецифического α1-микроглобулина.
Нужно сказать, что увеличившийся ХГЧ, равно как и другие биохимические маркеры, говорят о нормальном течении беременности. И если даже на УЗИ эмбриона еще не видно – такое бывает вплоть до 6–7 недель – то женщине переживать не стоит. Возможно, это связано с ее индивидуальными особенностями или несовершенством аппарата.
Чтобы выяснить, почему может отсутствовать плодное яйцо, назначается исследование иммунного статуса (иммуноглобулины, волчаночный антикоагулянт, кардилипиновые и антифосфолипидные антитела), проводится генетический анализ (кариотипирование). Для раннего выявления осложнений необходим анализ коагулограммы (время свертывания, протромбиновый индекс, фибриноген).
Подтвердить анэмбрионию можно лишь инструментально-лабораторными методами. Но даже их результаты следует рассматривать в контексте клинической картины и индивидуальных особенностей организма.
Лечение
Если плодное яйцо без эмбриона задерживается в полости матки, то существует реальная угроза для здоровья женщины и ее жизни. Поэтому патология требует активной лечебной тактики. После установления диагноза неразвивающейся беременности она прерывается одним из способов:
- Вакуумная аспирация.
- Выскабливание (кюретаж).
- Медикаментозный аборт.
После того, как плодное яйцо устранено, женщине показана противовоспалительная терапия, иммуностимулирующие и общеукрепляющие препараты.
Если же развилось осложнение в виде кровотечения, то применяют гемостатики и плазмозаменители.
При эндокринных нарушениях необходима соответствующая гормонотерапия, а аутоиммунные нарушения требуют использования глюкокортикоидов. Для нормализации психофизиологического состояния показаны седативные средства.

Последующая беременность рекомендуется только после устранения всех факторов, участвующих в развитии патологии. Женщине показано медико-генетическое консультирование и тщательный подход к планированию зачатия. Не помешает вести здоровый образ жизни и эмоционально настраиваться на благоприятное вынашивание ребенка.
Анэмбриония – довольно распространенная акушерская патология, о которой становится известно по результатам УЗИ.
Немаловажное значение в диагностике также имеют лабораторные методы, позволяющие выявить системные расстройства и предположить, может ли последующая беременность завершиться благополучно.
А для реализации положительного сценария необходимо во всем придерживаться врачебных рекомендаций.
Анэмбриония – причины пустого плодного яйца и возможности нормальной беременности
Одной из возможных причин прерывания беременности является анэмбриония. Данным термином обозначают ситуацию, при которой в плодном яйце полностью отсутствует зародыш либо размеры его настолько малы, что он становится неразличимым при УЗИ.
Анэмбриония – что это?
Когда при проведении УЗИ по поводу беременности врач говорит, что плодное яйцо пустое, что это значит – женщина может до конца и не понимать.
Многие будущие мамы поначалу сомневаются, размышляя: может ли плодное яйцо быть пустым или это врачебная ошибка? Подобная патология имеет место.
Она характеризуется отсутствием зародыша внутри сформировавших оболочек. При этом зачатки будущего малыша очень малы.
Нередко анэмбрионию рассматривают как разновидность замершей или неразвивающейся беременности. Подобный диагноз выставляется до 6-й недели гестации. Распространена анэмбриония при ЭКО, когда после оплодотворения яйцеклетка не развивается дальше. Стоит отметить, что при патологии данного рода зачастую возможны ошибки диагностики.
Когда сроки беременности установлены неточно, в момент проведения обследования зародыш может быть недостаточного размера, поэтому он неопределим с помощью стандартных датчиков УЗИ. Врач при этом ошибочно диагностирует анэмбрионию. Чтобы исключить ошибку, при подозрении на патологию обследование проводится повторно через несколько недель.
Пустое плодное яйцо или отсутствие эмбриона – причины
Из-за чего возникает анэмбриония, причины данного нарушения врачам не удается назвать до сих пор. Большинство медиков склоняются к теории генетических нарушений. Хромосомные аномалии в генетическом материале одного из родителей нередко становится причиной замирания плода: на одном из этапов зародыш перестает расти и развиваться.
Когда у женщины обнаруживается пустое плодное яйцо причины этого явления врачи связывают со следующими факторами:
- Острые вирусные или бактериальные инфекции на ранней стадии беременности. Под их воздействием происходит нарушение процесса развития плода.
- Влияние радиации или токсических веществ на организм матери.
- Гормональные сбои в организме будущей мамы (недостаток прогестерона).
- Вредные привычки (курение, употребление алкоголя).
- Прием определенного ряда медикаментов с выраженным эмбриотоксическим действием.
- Чрезмерные физические нагрузки, стрессовые ситуации, переживания.
Анэмбриония – симптомы
Признаки анэмбрионии на ранних сроках не имеют специфического характера. Это объясняет частое случайное обнаружение патологии при проведении планового УЗИ при начавшейся беременности. Появляющиеся при патологии признаки имеют непрерывную связь с процессом имплантации или угрозой выкидыша.
Среди симптомов, требующих проведения обследования врачи выделяют следующие возможные признаки анэмбрионии:
- схваткообразные боли в нижней части живота;
- кровянистые выделения из полости влагалища;
- явления токсикоза (тошнота, повышенная утомляемость, головная боль, обморочное состояние);
- увеличение размеров матки;
- отсутствие очередных месячных;
- повышение температуры тела до 37–37,5 градусов.
ХГЧ при анэмбрионии
Чтобы определить возможное наличие патологии и своевременно обратиться к врачу, женщины нередко интересуются у гинеколога, растет ли ХГЧ при анэмбрионии. Хорионический гонадотропин является гормоном, который синтезируется хорионом – плодными оболочками, которые формируются с началом гестации.

Анэмбриония также сопровождается их формированием, поэтому ХГЧ при нарушении данного типа присутствует в кровяном русле. Однако при динамическом наблюдении за концентрацией этого соединения в кровяном русле можно заметить патологическую закономерность. Уровень ХГЧ не повышается через каждые два дня, как при нормальной физиологической беременности.



