Плеврит легких — что это такое, его причины, виды, симптомы и возможные варианты лечение
Плеврит легких — это ряд патологических состояний, характеризующихся воспалением серозной оболочки органов дыхания. Данное нарушение развивается на фоне острых или хронических заболеваний легких. Оно сопровождается выраженной симптоматикой и может приводить к появлению опасных осложнений.
Что такое плеврит
Вокруг легких присутствует особая серозная оболочка, состоящая из 2 лепестков: висцерального, т.е. внутреннего, и париетального, т.е. наружного. В норме между данными оболочками присутствует небольшое пространство, заполненное жидкостью, объем которой не превышает 25 мм. Она выступает в роли смазки.
Когда развивается плеврит легких, данный баланс нарушается. Воспалительное поражение плевральных листов приводит к тому, что жидкость перестает всасываться в кровеносные и лимфатические сосуды, накапливаясь между серозными оболочками.
Реже встречается сухой вариант течения болезни, при котором сосуды в пораженной воспалительным процессом плевре сохраняют функциональность и накопление жидкости не происходит. Кроме того, в результате воспаления плевра набухает, становится шероховатой. При совершении дыхательных движений появляется трение.
Симптомы и причины
Первичные проявления данного патологического состояния часто не вызывают беспокойства у больного, т.к. сходны с простудой. В дальнейшем при плеврите легких симптомы усугубляются. Многие специфические признаки зависят от формы и тяжести течения патологии, однако имеются и общие проявления:
- боль в груди;
- повышенная ночная потливость;
- ощущение давления в груди;
- невозможность сделать глубокий вдох;
- слабость;
- снижение работоспособности;
- бледность кожных покровов;
- озноб;
- нарушение АД;
- хрустящий звук при вдохе и т.д.
Крайне редко воспалительное поражение плевральных листов возникает как самостоятельная патология. Чаще данное нарушение развивается на фоне других заболеваний легких, и причины появления его могут крыться как в инфекционных, так и в неинфекционных патологиях.
Инфекционные причины
Спровоцировать развитие плеврита могут многие разновидности микроорганизмов, в т.ч. вирусы, бактерии, паразиты и грибки.
Часто данное нарушение развивается на фоне инфицирования организма стафилококками и стрептококками и другими распространенными бактериями. Патологические микроорганизмы могут заноситься в плевру как гематогенным, так и лимфогенным путем.
Часто развитие воспаление плевры наблюдается на фоне следующих инфекционных заболеваний:
- бронхит;
- пневмония;
- легионеллез;
- абсцессы в легких;
- туберкулез;
- гнойные кисты;
- микоплазмоз;
- туляремия;
- тиф;
- кандидоз;
- эхинококкоз;
- бруцеллез;
- сепсис и т.д.
Чем выше вирулентность микроорганизмов, тем выше риск плеврита. Можно выделить ряд патологий, которые снижают иммунитет и повышают риск развития плеврита. К ним относятся ВИЧ, склонность к аллергии, сахарный диабет, язвенная болезнь и т.д. Риск развития воспаления повышает прием иммуносупрессантов и некоторых других препаратов, а также злоупотребление алкоголем.
Неинфекционные причины
Плеврит может развиться на фоне гидроторакса, т.е. накопления жидкости в легких из-за прогрессирования ряда заболеваний неинфекционной этиологии:
- инфаркта миокарда;
- патологии почек;
- васкулита;
- красной волчанки;
- легочной эмболии;
- патологии печени;
- инфаркта легкого;
- панкреатита;
- геморрагического диатеза;
- лейкоза и т.д.
Нередко развивается плеврит легких при онкологии. Спровоцировать воспаление и накопление жидкости могут как опухоли, формирующиеся в органах дыхания, так и метастазы, проникшие в область плевральной полости.
Диагностика
Учитывая, что признаки плеврита могут длительное время носить неспецифический характер, для подтверждения диагноза сбора анамнеза недостаточно. Обязательно проводится пальпация, перкуссия и аускультация для выявления шумов.
Кроме того, выполняются следующие исследования:
В ряде случаев назначается проведение МРТ. Это исследование позволяет выявить изменения в плевре. Может потребоваться выполнение биопсии.
Классификация
Существует несколько подходов к классификации плеврита. В зависимости от особенностей распространения воспалительного процесса патология бывает осумкованной и диффузной.
По характеру течения она подразделяется на фиброзную и экссудативную. Воспаление может быть как односторонним, так и двусторонним.
Кроме того, разработана классификация, учитывающая этиологию воспалительного поражения плевры.
Сухой фиброзный плеврит легких
При сухом фиброзном плеврите симптомы появляются внезапно, а затем состояние больного быстро усугубляется. Со стороны, где развилось воспаление, возникает резкая боль и ощущение давления. Симптомы усиливаются при резких движениях, вдохах, чихании и кашле. Боли могут иррадиировать в плечо, верхнюю часть живота или в область лопаток.

При таком течении болезни также присутствует асимметричная ограниченность дыхательных экскурсий со стороны пораженного легкого. Для сухого плеврита характерно наличие сильного звука трения серозных оболочек. Часто данная форма патологии сопровождается сильными болями в голове, ломотой в суставах и мышцах. При таком течении плеврита быстро нарастают признаки интоксикации.
Экссудативный выпотной плеврит
Экссудативный плеврит — это часто встречающаяся форма данного патологического состояния. Боли и неприятные ощущения усиливаются по мере накопления жидкости между серозными оболочками. Появляется одышка и другие проявления дыхательной недостаточности. По мере рассасывания экссудата выраженность симптомов снижается.
Туберкулезный
Плеврит может развиться на фоне длительного неблагоприятного течения туберкулеза, когда микобактерии стремительно размножаются и могут быть занесены с кровью или лимфой в серозную оболочку.
Он может протекать как в сухой, так и в экссудативной форме. Интенсивными болевыми ощущениями и тахикардией. Часто симптомы исчезают так же внезапно.
Заболевание переходит в хроническую форму, отличающуюся смазанной симптоматикой.
Гнойный плеврит легких
При этой форме патологии между серозными оболочками легких начинает скапливаться не экссудат, а гной. При таком течении появляется сухой кашель и нарастает одышка.
Из-за сильнейшей боли пациент принимает вынужденное полусидячее положение. Возникают выраженные симптомы дыхательной недостаточности. Возможно отделение зловонной мокроты при кашле.
Наиболее тяжело данная форма патологии протекает в детском и пожилом возрасте.
Осумкованный плеврит
Осумкованный плеврит характеризуется воспалением ограниченного участка и накоплением в этой области экссудата. Степень выраженности симптомов зависит от размеров пораженного участка. Большинство пациентов жалуются на боли в груди, одышку и тахикардию.
Как лечить плеврит
Лечение плеврита легких требует учета этиологии и формы течения патологии. Пациентам необходима щадящая диета и постельный режим.
При бактериальном, вирусном, грибковом и паразитарном воспалении листков плевры терапия проводится медикаментозными средствами. Дополнительно назначаются физиотерапевтические процедуры.
Если проблема кроется в развитии злокачественной опухоли или инфаркте легкого, нередко требуется оперативное вмешательство.
Постельный режим и щадящая диета
Чтобы быстрее вылечить плеврит, пациенту требуется щадящий режим. Для снижения выраженности дыхательной недостаточности следует как можно больше времени проводить в постели. При этом каждый час нужно вставать и делать небольшие прогулки по помещению. Это снизит риск появления застойных процессов. Необходимо обеспечить приток воздуха в помещение.
На протяжении не менее 2 недель пациенту следует потреблять как можно больше теплого питья. В рацион следует вводить легкие для переваривания блюда. Основой рациона должны быть овощи, фрукты, отварные мясо и рыба.
Медикаментозная терапия
При инфекционных плевритах подбираются препараты для подавления патогенной микрофлоры. В зависимости от ее типа может потребоваться применение антибиотиков, противопаразитарных средств, противовирусных или противогрибковых медикаментов.
Кроме того, пациентам назначаются препараты, позволяющие устранить симптоматические проявления, в т.ч. жаропонижающие и нестероидные противовоспалительные средства.
Может потребоваться применение антигистаминных, противокашлевых, мочегонных препаратов. В ряде случаев назначаются медикаменты для поддержания работы сердечно-сосудистой системы, иммунностимуляторы и глюкокортикостероиды.
Рекомендован также прием пробиотиков и витаминов.
Физиотерапевтические процедуры
При терапии плеврита назначаются такие физиотерапевтические процедуры, как:
- УВЧ;
- УФО;
- лечебные ванны;
- электрофорез.
После стабилизации состояния пациенту рекомендуется выполнять дыхательную гимнастику. Желательно пройти лечение в санаторно-курортных условиях.
Оперативное вмешательство
Хирургическое лечение назначается в случаях, когда консервативная терапия не улучшает состояние.
Наиболее часто операции проводятся при:
- гнойной форме патологии;
- наличии больших сгустков фибрина;
- множественных очагах инфекции;
- раке легких и т.д.
При оперативном вмешательстве выполняется удаление гноя и экссудата. Может потребоваться устранение рубцов, части легкого и даже ребер.
Особенности лечения плеврита у пожилых людей
Лечение у пожилых людей выполняется с учетом имеющихся хронических заболеваний. Рекомендована госпитализация. Пациенту необходимо сохранять активность, чтобы избежать риска развития застойных процессов и отека легких.
https://youtube.com/watch?v=HV_FiByIzZY
Требуется комплексное лечение и общеукрепляющая терапия. Тщательно подбираются дозы антибиотиков и других лекарств, чтобы не допустить нарушений работы почек и печени.
Обязательно должны подбираться медикаменты для недопущения развития осложнений. Рекомендована подача кислорода через катетер или маску.
Медицинский персонал должен контролировать состояние пациента для раннего выявления осложнений и начала их терапии.
Лечение плеврита легких у детей
При терапии детей, страдающих плевритом, важно подбирать медикаменты с учетом возраста пациента. Дети дошкольного возраста подлежат госпитализации при этом заболевании. Методы терапии подбираются с учетом тяжести патологии.
Прогноз, профилактика и возможные осложнения
Инфекционный плеврит имеет благоприятный прогноз. При онкологических заболеваниях вероятность выздоровления зависит от стадии запущенности процесса.
Ухудшают прогноз такие осложнения, как:
- спаечный процесс;
- хроническая дыхательная недостаточность;
- ограничение подвижности диафрагмы;
- утолщение плевры;
- свищи.
Для снижения риска плеврита рекомендуется укреплять иммунитет, правильно питаясь, занимаясь спортом и принимая витамины. Нужно каждое утро делать дыхательные упражнения. Следует отказаться от курения и приема алкоголя. Периодически следует проходить плановые обследования для раннего выявления злокачественных опухолей и других патологий, способных стать причиной развития плеврита.
Что это такое — плевральные наслоения при флюорографии в легких и как выглядит здоровое легкое
Флюорография легких – это обследование органов грудной клетки при помощи рентгеновских лучей, которые проникают через ткань и переносят на пленку с помощью микроскопических флюоресцирующих частиц изображение легких. Выполняют это обследование лицам, возрастом старше 18 лет. Периодичность флюорографии – не более раза в год. Данное правило относится лишь к выполнению флюорографии здоровых легких, если не требуется дообследование.
Флюорография легких – это недостаточно информативное исследование, однако полученные при помощи нее данные помогают определить патологии в строении тканей легких и являются поводом для последующего более точного обследования.
Результаты флюорографии
Изменения на флюорограмме вызваны преимущественно изменениями плотности внутренних органов в грудной клетке.
Но в случае, если есть определенные отличия между плотностью структур, то врач может увидеть данные изменения.
Как правило, рентгенологические изменения вызываются появлением в легких соединительной ткани. С учетом локализации и формы, эти изменения могут описываться как:
- фиброз;
- склероз;
- лучистость;
- тяжистость;
- тени;
- рубцовые изменения;
- плевральные наслоения;
- спайки.
Все это можно заметить за счет повышенного содержания соединительной ткани.
Имея значительную прочность, соединительная ткань помогает защищать при гипертонической болезни сосуды или бронхи при астме от чрезмерных растяжений. В этом случае на снимке можно наблюдать утолщение сосудов или стенок бронхов.
На снимке характерный вид имеют полости в легких, тем более те, которые содержат жидкости. Также на снимке можно наблюдать круглые тени с уровнем жидкости, которая будет зависеть от расположения тела (каверна, киста, абсцесс). Очень часто жидкость определяется в синусах плевры и плевральной полости.
Явно выраженное отличие в плотности во время наличия в легких локальных уплотнений:
- эмфизематозные расширения;
- абсцесс;
- рак;
- киста;
- кальцинаты;
- инфильтраты.
Однако совершенно не все процессы патологии проходят с изменениями плотности органов.
К примеру, не всегда видно даже пневмонию, и лишь достигнув определенного этапа болезни, признаки будут заметны на снимке.
То есть, не всегда рентгенологические данные являются точным основанием для установления диагноза. Традиционно последнее слово остается за врачом, он, объединяя все данные, сможет правильно поставить диагноз.

При помощи флюорографии можно увидеть изменения в таких случаях:
- фиброз и склероз;
- поздние этапы воспаления;
- патологические полости (киста, абсцесс, каверна);
- опухоли;
- наличие в анатомических полостях воздуха или жидкости;
- посторонние предметы.
Самые частые заключения по данным флюорографии
В первую очередь необходимо отметить, что если, получив печать о выполненной флюорографии, вас отпустили домой, то врач не выявил ничего подозрительного.
Так как, согласно приказу ВОЗ, сотрудник кабинета флюорографии обязан оповестить участкового терапевта или вас о необходимости дообследования.
При каких-то сомнениях, врач для уточнения диагноза направляет в туберкулезный диспансер либо на обзорную рентгенографию.
Корни расширены и уплотнены
То, что называют корнями легких, в действительности является совокупностью структур, находящимися в воротах легких. Легочный корень формируют легочная вена и артерия, основной бронх, лимфатические узлы и сосуды, бронхиальные артерии.
Как правило, увеличение и уплотнение корней легких происходят одновременно. Обычно изолированное уплотнение указывает на хронический процесс, когда повышено количество соединительной ткани в корнях легких.
Корни бывают расширены и уплотнены за счет увеличения лимфоузлов, отека бронхов и крупных сосудов. Такие процессы могут проходить как одновременно, так и по отдельности и могут происходить при острых бронхитах и пневмониях.
Этот симптом описывают и при более серьезных заболеваниях, но в этом случае отмечаются другие типичные признаки. В данных ситуациях уплотнение корней легких преимущественно проходит за счет увеличения в размерах локальных групп лимфоузлов.
Причем даже на обзорном снимке (1:1) не все время можно отличить лимфоузлы от иных структур.
То есть, если в вашем заключении указано «корни уплотнены и расширены» и при этом вы почти здоровы, то, скорей всего, это говорит о воспалении легких, бронхите и т.д.
Но данный признак является очень частым у курильщиков, когда отмечается сильное уплотнение лимфоузлов и утолщение стенки бронхов, все время подвергающихся действию частиц дыма.
Причем курильщик не отмечает каких-то болезненных состояний.
Корни тяжисты
Этот рентгенологический симптом может проявляться при хроническом или остром процессе в легких.
Как правило, тяжистость легочного рисунка или корней легких отмечается при хронических бронхитах, тем более во время бронхита у курильщика.
Данный признак также в совокупности с остальными может отмечаться при онкологических заболеваниях, бронхоэктатической болезни, при профессиональных заболеваниях легких.
Когда в описании флюорографии, помимо тяжистости корней легких, нет больше ничего, то можно утверждать, что у врача нет никаких подозрений. Однако не исключено, что присутствует иной хронический процесс. Например, обструктивная болезнь легких или хронический бронхит. Данный признак вместе с расширением и уплотнением корней типичен также для бронхита курильщиков.
Потому при наличии жалоб со стороны дыхательных органов нелишним будет обратиться к врачу. Факт того, что некоторые болезни позволяют нормально вести повседневный образ жизни, не обозначает, что это нужно игнорировать. Как правило, именно хронические болезни являются причиной пускай не скоропостижного, но довольно прогнозированного летального исхода.
Фиброзная ткань, фиброз
На снимке признаки фиброзной ткани и фиброза говорят о перенесенной болезни легких. Зачастую это может быть инфекционный острый процесс (туберкулез, пневмония), хирургическое вмешательство, проникающая травма.
Фиброзная ткань – это вид соединительной ткани, который служит в организме замещением свободного пространства. То есть, фиброз в легких больше является положительным моментом, хоть и указывает на утраченный участок ткани легких.
Очаги, очаговая тень
Очаги или очаговые тени – это один из видов затемнений легочного поля. Очаги являются очень частым симптомом. По сочетанию очагов с остальными рентгенологическими признаками, их локализации, свойствам можно с определенной точностью поставить диагноз. В некоторых случаях лишь флюорография сможет дать точный ответ в пользу определенного заболевания.
Очагами называют тени диаметром до одного сантиметра. Как правило, месторасположение этих теней нижнего и среднего отдела легких указывает на наличие очаговой пневмонии.
Если эти тени выявлены и в заключении указано «неровные края», «соединение теней» и «увеличение легочного рисунка» – это явный признак активного процесса воспаления.
Когда же очаги более ровные и плотные – проходит затихание воспаления.
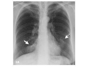
Плевральные наслоения и спайки
Говоря о спайках, имеется в виду состояние оболочки легких – плевры. Спайки – это соединительнотканные структуры, которые появляются после воспаления. Чаще всего, наличие спаек не нуждается ни в каком лечении или вмешательстве. Болевые ощущения при спаечном процессе наблюдаются только в определенных случаях, в этой ситуации, безусловно, нужно обратиться к врачу.
Плевральные наслоения – это утолщения плевры на верхушках легких, что указывает о перенесенном процессе воспаления в плевре (как правило, туберкулеза). И когда врача ничего не насторожило, то нет причин для беспокойства.
Синус запаян или свободен
Плевральные синусы – это полости, которые создаются складками плевры. Чаще всего в полном описании флюорографии, указывается и состояние синусов. В нормальном состоянии они свободны.
При определенных состояниях наблюдается выпот (концентрация в синусах жидкости), его наличие требует обязательного внимания. Когда же указано в описании, что синус запаян, то речь идет о плевральном наслоении, про которое мы говорили выше.
Как правило, запаянный синус является следствием травмы, перенесенного плеврита и т.д. При отсутствии иных признаков, это состояние неопасно.
Изменения диафрагмы
Также часто встречающейся патологией при расшифровке флюорографии является аномалия диафрагмы (уплощение купола диафрагмы, высокое расположение купола, релаксация купола и т.п.).
Причин для появления этого изменения много.
Сюда относятся ожирение, генетическая особенность строения диафрагмы, плеврит, деформация плевро-диафрагмальными спайками диафрагмы, заболевания пищевода и желудка, болезни кишечника, печени и иных органов брюшной полости.
Интерпретация такого признака проводится лишь в совокупности с остальными изменениями на флюорограмме и с данными остальных способов клинического обследования пациента. Невозможно установить диагноз лишь на основании изменений со стороны диафрагмы, определенных при флюорографии.
Тень средостения смещена и/или увеличена
Средостением называется пространство между легкими. Органами средостения являются аорта, сердце, пищевод, трахея, лимфатические сосуды и узлы, вилочковая железа. Увеличение тени средостения чаще всего происходит из-за расширения сердца. Это увеличение бывает, как правило, односторонним, что определяется расширением правых или левых отделов сердца.
Нужно понимать, что по снимкам флюорографии, никогда не нужно оценивать серьезно состояние сердца. В норме положение сердца может сильно колебаться, с учетом телосложения человека. Потому то, что кажется на флюорографии смещением сердца вправо, может являться нормой для полного и высокого человека.
При наличии гипертонии, в описании флюорограммы чаще всего указывают «смещение сердца влево», «смещение средостения влево» либо просто «смещение».
Очень редко отмечается равномерное увеличение средостения, это говорит о возможной сердечной недостаточности, наличии миокардита, или иных заболеваний.
Но нужно сказать, что для кардиологов не имеют значительного диагностического значения данные заключения.
На флюорограмме смещение средостения отмечается при увеличении давления с одной стороны.
Как правило, это происходит при асимметричном скоплении в плевральной полости воздуха или жидкости, при крупных новообразованиях в легочной ткани.
Это состояние нуждается максимально быстрой корректировке, поскольку сердце довольно чувствительно к грубым смещениям, то есть в этой ситуации требуется срочное обращение к врачу.
Заключение
Невзирая на довольно большую погрешность флюорографии, эффективность данного способа в диагностике рака легких и туберкулеза нельзя не признать.
И как бы многих ни раздражали иногда необъяснимые требования выполнения флюорографии в институте, на работе или где-то еще, отказываться от этого не нужно.
Зачастую лишь благодаря флюорографии, удается определить развитие туберкулеза, тем более что флюорография выполняется бесплатно.
В таких сегодняшних эпидемиологических неблагоприятных условиях все люди находятся в группе риска, но, в первую очередь, это люди с хроническими болезнями легких, иммунодефицитами, курильщики, а также, к сожалению, дети.
Помимо этого, занимая лидирующие позиции в мире по табакокурению, многие очень редко соотносят данный факт с туберкулезом, и очень зря.
Курение, безусловно, вносит определенный вклад в развитие и поддержку эпидемии туберкулеза, в первую очередь, ослабляя в организме дыхательную систему.
Подводя итоги, нужно еще раз сказать, что ежегодная флюорография сможет защитить вас от смертельно-опасных заболеваний. Поскольку своевременно выявленный рак легких или туберкулез – в некоторых случаях дает единственный шанс выжить при этих заболеваниях.
Апикальные наслоения в легком: особенности, лечение — Про Легкие
В основной массе ситуаций они никак не провоцируют каких-либо признаков и не приносят никаких неудобств. В этой статье мы расскажем, что такое плевральные наслоения в легких.
В каких условиях происходят плевральные наслоения
Эти текстуры соединяют и представлены результатом действия плевры при воспалении. Они выполняют роль изоляции тканей друг друга. Обычно напластования хранятся долго и после лечения больного.
Порой они имеют все шансы давать такие симптомы, как несильный кашель с преходящей одышкой и небольшой болью в груди. При определенных обстоятельствах они кальцинируются, и так их обнаружить легче.
Какой должен быть объем легких у взрослого человека
Как ведется диагностирование болезни
Плевральные напластования возможно выявить на флюорографии или рентгене. В том случае, если они мизерны, на флюорографии прослеживается слабенькое затемнение поля слева легких, а порой и вообще не видно никаких затемнений обеих сторон.
Плевральная стенка становится больше и на снимке, замечаются неровные рассеянные затемнения, наиболее усиленные в боковых отделах. Тем не менее подобная картина может отмечаться и при сколиозе грудного отделения хребта.
В данном случае несколько усложняется проверка плевральных напластований.
Когда нужно заниматься лечением
Обычно плевральные напластования проходят незаметно и необязательны какие-то действия. Однако при нарастающей эмпиеме они за короткое время уплотняются и не дают расправляться легкому. Тогда необходимо комплексное лечение, а именно противовоспалительные и заместительные препараты. Одновременно вводится дренаж в плевральную полость с непрерывной аспирацией экссудата.
Профилактика наслоений
Чтобы предотвратить образование в нижних отделах данных структур, первоначально все сходится на заблаговременной диагностике болезни и соответственном лечении, иначе могут обостриться формированием воспалительного хода. По потребности необходимо проводить вывод крови, воздуха и экссудата. Впоследствии операции на легких обязательны особые лечебные методы, содействующие скорому восстановлению легочной материи в послеоперационном этапе.
Нередко можно заметить патологию при просмотре рентгена/флюорографии, а именно отклонение диафрагмы. Факторов для появления отклонения немало. К ним причисляются следующие:
- чрезмерный вес;
- генетическая предрасположенность;
- плеврит;
- процесс, при котором деформируются плевродиафрагмальные спайки;
- болезни пищевого тракта и желудка;
- заболевания кишечного тракта, печени и других органов брюшной полости.
Разбор подобного показателя проводится только при совокупности с прочими преобразованиями флюорографии. Невозможно определить заключение только на основе перемен диафрагмы на снимке флюорографии.

Эффективность диагностики туберкулеза и легочных болезней невозможно не брать в счет.
И как бы ни раздражали порой непонятные условия выполнения флюорографии в учреждении, на службе либо где-то при других обстоятельствах, отказываться ни в коем случае нельзя.
Нередко только вследствие рентгена либо флюорографии получается установить формирование туберкулеза, тем более что данная мед. услуга производится даром.
Плевральные синусы – это полости, создались они при помощи складок плевры. Если в заключение рентгена или флюорографии пишется и указано состояние синусов, можно определить течение болезни. В состоянии спокойствия они расслаблены.
В определенной обстановке можно видеть выпот. Если в заключении врача написано – синус запаян, тогда это означает о наслоении плевры, про это написано выше. Запаянный синус – это в основном следствие травмы, переболевшего плеврита и т.
д.
Тяжистые корни
Если в изображении флюорографии, кроме тяжести корней грудной клетки, не имеется больше ничего, так можно заявить, что доктор точно и без сомнений поставил диагноз.
Тем не менее никак не исключается, что существует иной хронический процесс. К примеру, конструктивная болезнь простых либо затяжных болезней.
Этот показатель, совместно с расширением и уплотнением корней, стереотипен также для бронхита курильщиков.
В нынешних эпидемиологических негативных обстоятельствах человечество находятся в группе риска, однако в первую очередь это – люди с хроническими болезнями легких, иммунодефицитом, курильщики, а также дети. Табакокурение, бесспорно, вносит вредный вклад в формирование и поддержку эпидемии туберкулеза, в первую очередь ослабляя легкие.
Подводя результаты, необходимо еще единожды отметить, что ежегодные рентген/флюорография сумеют оградить вас от крайне опасных болезней. Потому как вовремя обнаруженный рак легких либо туберкулез в определенных вариантах предоставляет единственную возможность уцелеть при данных болезнях.
Результаты Флюорографии — что Означают Наиболее Распространенные
Согласно статистическим данным, каждый час в России от туберкулеза умирает один человек. Плановый осмотр, особенно если человек находится в группе риска, способен вовремя выявить заболевание, а значит, назначенная терапия может предотвратить осложнения.
Сегодня мы рассмотрим наиболее распространенные результаты флюорографии расшифровка которых позволит нам узнать, что они означают, на что следует обращать особенное внимание, получив на руки сведения о рентгене грудной клетки.
Медики пишут очень неразборчиво, некоторые люди считают, что это из-за того, чтобы пациент не понял, что у него за заболевание. Может быть и так, однако удивительно, что при этом они разбирают и понимают то, что написал их коллега.
Далее я напишу основные диагнозы рентгенологов, что они представляют из себя, насколько серьезно то или иное заключение.
Что такое флюорография
Флюорография — это исследование грудной клетки посредством облучения рентгеновскими лучами, с фиксированием результатов исследования на пленку. Методика уже несколько устаревшая, но все еще являющаяся наиболее дешевым способом проверить свои легкие на предмет наличия каких-либо патологий.
Принцип получения результатов
Врач-рентгенолог визуально отличает на фотопленке изменения в плотности тканей легких. Те места, где плотность выше, чем у здоровых легких, свидетельствуют о каких-то проблемах в тканях. Соединительная ткань, разрастаясь, замещает легочную ткань и на флюорографии выглядит более светлыми участками.
Многое в результатах зависит от квалификации и опыта врача. Был даже такой курьезный случай, когда молодой врач увидел затенение в левой половине легких, стал бить тревогу, а оказалось, что это сердце! Но, это, конечно, из разряда врачебных легенд.
Что можно увидеть на снимках
Различают спайки, фиброзы, наслоения, тени, склерозы, тяжистости, лучистости, рубцовые изменения. Все эти аномалии, если они присутствуют, видны на снимках легких.

Если человек болен астмой, то на снимке будет видно, что стенки бронхов у него утолщены, это связано с тем, что на них приходится более высокая нагрузка. Также на снимках можно идентифицировать кисту, абсцессы и каверны, кальцинаты, эмфиземы, рак.
Самые распространённые заключения после флюорографии
Обратите внимание, что если у вас действительно имеются какие-то серьезные проблемы в легких, то вам об этом сразу же скажут, когда вы придете забирать результаты. Если не направили в туберкулезный диспансер, или на рентгенографию, чтобы уточнить заболевание, то значит все более-менее хорошо. А теперь рассмотрим самые частые проблемы в легких.
Корни расширены, уплотнены
Корни легких — это главный бронх, бронхиальные артерии, легочная артерия и легочная вена. Это один из распространенных диагнозов, свидетельствует о каких-то хронических процессах, происходящих в легких. Хронический бронхит, отеки, пневмонии, воспаления легких.

Если у вас в заключении написано «корни уплотнены, расширены», то это говорит о том, что у вас идет хронический воспалительный процесс в легких. У курильщиков со стажем нередко встречается именно такой результат флюорографии.
Корни тяжисты
Это тоже часто встречающийся результат флюорографии. В его проявлении виноваты все те-же проблемы — хронические или острые процессы в легких.
Наиболее часто тяжистость легочного рисунка либо тяжистость корней легких выявляется у курильщиков, а также при бронхитах.
Также может свидетельствовать о профессиональном заболевании, связанном с нагрузками на легкие, например, при работе на вредных производствах.
Если в результатах написано только «тяжистость корней лёгких», не паникуйте, все в пределах допустимого, особенно если вас никуда при этом не направили. Но сигнал важно учесть и следить за состоянием своих легких, не допуская обострения хронических процессов.
Усиление сосудистого или лёгочного рисунка
Лёгочный рисунок это тени на флюорограмме, «отбрасываемые» венами и артериями, пронизывающими легкие. Его еще называют сосудистый рисунок. Если в результатах написан такой пункт, то это значит, что в каком-то отделе легких имеется область, в которую более интенсивно поступает кровь по артериям.
Фиксируется при каких-то острых воспалительных процессах, бронхитах, пневмониях, а также может свидетельствовать о пневмоните, и требует повторного снимка, чтобы убедиться, что нет онкологии.
Фиброзная ткань, фиброз
Это свидетельство какого-то перенесенного легочного заболевания. Это может быть свидетельством проведенной ранее операции, старой травме или перенесенной инфекцией. Фиброзная ткань относится к соединительной ткани и служит для замещения вышедших из строя легочных клеток. Фиброз в легких свидетельствует о том, что все зарубцевалось и угрозы нет.
Кальцинаты
Это изолированные клетки, пораженные туберкулезом или пневмонией. Организм как-бы облепляет проблемное место похожей на костную ткань материей. На снимке видны округлые тени. Если у человека много кальцинатов, то это говорит о том, что организм поборол инфекцию и заболевание не развилось. Поэтому, если у вас обнаружили в легких кальцинаты, то опасений быть не должно.
Другое дело — кальциноз аорты
Кальциноз — это постепенное накопление на стенках аорты — нерастворимых солей кальция.
Как правило, кальцинированные бляшки видны на флюорографии, это, в принципе, не легочная проблема, но она диагностируется по флюшке.
Сами по себе эти бляшки опасны и по причине того, что могут оторваться и закупорить сосуды, и еще по причине того, что сами сосуды становятся ломкими, как бы хрустальными.
Советую очень серьезно отнестись к данному диагнозу. Любое повышение давления может стать критическим. Необходима консультация специалиста и ограничение поступления кальция в организм. Если кальций откладывается на стенках сосудов, значит его поступает избыточное количество. кальций, откладывается в тканях и сосудах. Такое случается при переизбытке кальция в крови.
Очаговая тень — очаги
Очаговые тени, или очаги, это затемнения легочного поля, достаточно распространенный симптом. Размеры теней, как правило, до 1 см.

Если у вас или у вашего ребенка тени обнаруживают в средних, или нижних отделах легких, то это свидетельствует о наличии очаговой пневмонии.
Признаками активного воспаления могут быть неровные края, усиление лёгочного рисунка, слияние теней. Если у очаговых теней ровные и плотные контуры, то значит, что воспаление заканчивается. Но консультация у терапевта необходима. Вероятно, воспаление легких, перешедшее в пневмонию, «засело» в глубине легочной ткани.
Если очаговые тени обнаруживаются в верхних отделах легких, то это говорит о возможном туберкулезе, и требует уточнения.
Плевроапикальные наслоения, спайки
После воспаления могут возникнуть спайки, это тоже соединительные структуры, которые изолируют область воспалений от здоровой ткани. Если на снимке увидели спайки, то повода для беспокойства нет.
Плевроапикальные наслоения — это уплотнения плевры легочных верхушек. Наслоения могут говорить о каком-то воспалительном процессе, произошедшем относительно недавно. Чаще всего о туберкулезной инфекции. Однако, если врач не считает картину серьезной, то повода для волнений быть не должно.
Пневмосклероз
Это увеличение соединительной ткани в легких, может быть результатом заболеваний. Таких как бронхиты, пневмонии, туберкулезы, работа на пыльном производстве, курение.
Ткани теряют упругость, уплотняются. Может измениться структура бронхов, сама легочная ткань становится похожа на сухофрукт — уменьшается в размерах. Также относится к числу требующих наблюдения заболеваний.
Показано пребывание в сухом, разреженном горном воздухе. Курорты Кавказа очень рекомендованы. Например, в Теберде легочникам очень хорошо, я и сам бывал в этих краях.
Если есть возможность, то езжайте поживите там и летом и зимой можно.
Синус запаян или свободен
Синусы плевры — это полости, образованные плевральными складками. У здорового человека синусы свободны. А вот если существуют какие-то проблемы, то там скапливается жидкость. Если у вас «синус запаян», то это означает, что есть присутствие спаек, вероятно после плеврита. Повода для волнений нет.
Утолщение плевры легких что это
• серозно-фибринозный плеврит, представляющий собой следующую фазу серозного плеврита или отдельное заболевание;
• гнилостный плеврит, при котором воспаленная жидкость в плевре имеет специфический запах.
Как правило, такой вид плеврита возникает при гангрене легкого;
• гнойный плеврит, характеризуемый скоплением гноя в полости плевры;
• хилезный плеврит возникает вследствие разрыва молочного протока, что приводит к попаданию млечной жидкости в полость плевры;
• псевдохилезный плеврит формируется на основании гнойного, когда на поверхности жидкости появляются жировые вкрапления. Они представляют собой трансформировавшиеся гнойные клетки;
• геморрагический плеврит диагностируется при попадании в экссудат красных кровяных телец – эритроцитов;
• смешанный, включающий признаки сразу нескольких видов плевритов, носящих легочный характер.
• инфекционные специфические плевриты.
• плеврит реберной части (костальный), ограниченный участками реберной плевры;
• диафрагмальный, локализующийся в диафрагмальной плевре;
• междолевой плеврит, расположенный в междолевой борозде.
• лимфогенный, при котором возбудитель инфекции попадает в плевру по лимфатическим путям.
Причины болезни
2. Злокачественные образования (раковый тип): опухоли в области плевры или легких, саркома Капоши, первичный рак легкого, лейкоз, лимфома, мезотелиома.
3. Заболевания желудочно-кишечного тракта: панкреатиты, болезнь Уиппла, псевдокисты и абсцесс поджелудочной железы, внутрипеченочный или внутрибрюшной абсцесс.
4. Заболевания соединительной ткани: ревматоидный артрит, волчаночноподобный синдром, синдромы Шегрена и Черджа-Стросса, иммунобластная лимфаденотопия, семейная средиземноморская лихорадка.
5. Синдром Мейга, связанный с функцией яичников.
6. Синдром Дресслера, нарушающий работу сердца.
7. Поражения плевры, вызванные приемом некоторых лекарственных препаратов, так называемый посттравматический плеврит.
Диагностика и лечение
К инструментальным методам диагностики относят: — рентген, рентгенограмма, КТ, КТ с контрастированием, УЗИ, ЭКГ, тораскопия.
— Заболеваемость плевральным выпотом в индустриально развитых странах составляет 320 нанаселения в год. Это около 5-10% стационарных больных.
— В редких случаях плеврит поражает легкие кошек. Подобное заболевание регистрируется у животных лишь в 4% случаев от общего числа легочных болезней.

Инфекционная природа плеврита требует, чтобы в программу лечения были включены антибиотики. Основанием для выбора того или иного лекарства является результат бактериологического исследования.
После того, как острый период плеврита пройден, показан ручной и вибрационный массаж грудной клетки, курс лфк для детей и взрослых.
Народные методы лечения
Лечение плеврита в домашних условиях возможно только после консультации с лечащим врачом.
Плеврит легких — что это такое? Симптомы и лечение
Плеврит – воспаление плевры с образованием фиброзного налёта на её поверхности или выпота внутри нее. Появляется как сопровождающаяся патология или как следствие различных болезней.
Плеврит бывает самостоятельным заболеванием (первичный плеврит), но чаще всего это последствия острых и хронических воспалительных процессов в лёгких (вторичный плеврит). Разделяют на сухой, иначе называемый фибринозный, и выпотный (серозный, серозно-фибринозный, гнойный, геморрагический) плеврит.
Часто плеврит является одним из симптомов системных заболеваний (онкологии, ревматизма, туберкулеза). Однако яркие клинические проявления болезни зачастую заставляют врачей выставлять проявления плеврита на первый план, и уже по его наличию выяснять истинный диагноз. Плевриты могут возникать в любом возрасте, многие из них остаются не распознанными.
Причины
Почему возникает плеврит легких, что это такое, и как лечить? Плеврит — это заболевание дыхательной системы, при его развитии воспаляются висцеральный (легочный) и париетальный (пристеночный) листки плевры — соединительнотканной оболочки, которая покрывает легкие и внутреннюю поверхность грудной клетки.
Также при плеврите между листками плевры (в плевральной полости) могут откладываться жидкости, например кровь, гной, серозный или гнилостный экссудат. Причины плевритов условно можно разделить на инфекционные и асептические или воспалительные (неинфекционные).
Инфекционные причины плеврита легких включают в себя:
- бактериальные инфекции (пневмококк, стафилококк),
- грибковые поражения (бластомикоз, кандидоз),
- сифилис,
- брюшной тиф,
- туляремию,
- туберкулез,
- травмы грудной клетки,
- хирургические вмешательства.
Причины неинфекционного плеврита легких следующие:
- злокачественные опухоли плевральных листков,
- метастазирование в плевру (при раке молочной железы, легкого и др.),
- поражения соединительной ткани диффузного характера (системный васкулит, склеродермия, системная красная волчанка), инфаркт легкого,
- ТЭЛА.
Факторы, увеличивающие риск развития плевритов:
- стрессы и переутомления;
- переохлаждение;
- несбалансированное, бедное полезными веществами питание;
- гипокинезия;
- лекарственные аллергии.
Течение плеврита может быть:
- острое до 2-4 недель,
- подострое от 4 недель до 4-6 месяцев,
- хроническое, более 4-6 месяцев.
Попадают микроорганизмы в плевральную полость по-разному. Возбудители инфекции могут проникнуть контактным путем, через кровь или лимфу. Прямое же их попадание происходит при травмах и ранениях, при операциях.
Сухой плеврит
При сухом плеврите жидкость в плевре отсутствует, на её поверхности выступает фибрин. В основном, такая форма плеврита предваряет развитие экссудативного.
Сухой плеврит нередко является вторичным заболеванием при многих заболеваниях нижних дыхательных путей и внутригрудных лимфатических узлов, злокачественных новообразованиях, ревматизме, коллагенозах и некоторых вирусных инфекциях.
Туберкулезный плеврит
В последнее время повысилась заболеваемость туберкулезным плевритом, который встречается во всех формах: фиброзной, экссудативной и гнойной.
Почти в половине случаев наличие сухого плеврита указывает на то, что в организме в скрытой форме протекает туберкулезный процесс. Сам по себе туберкулез плевры встречается достаточно редко, по большей части фиброзный плеврит является ответной реакцией на туберкулез лимфатических узлов или легких.
Туберкулезный плеврит, в зависимости от течения болезни и её особенностей, подразделяется на три разновидности: перифокальный, аллергический и собственно туберкулез плевры.
Гнойный плеврит
Гнойный плеврит вызывают такие микроорганизмы как болезнетворные стафилококки, пневмококки, стрептококки. В редких случаях это протейные, эшерихийные палочки. Как правило, гнойный плеврит развивается после воздействия одного вида микроорганизмов, но случается, что заболевание вызывают целая ассоциация микробов.
Симптомы гнойного плеврита. Течение заболевания различается в зависимости от возраста. У младенцев первых трех месяцев жизни гнойный плеврит очень сложно распознать, так как он маскируется под общими симптомами, свойственными для пупочного сепсиса, пневмонии, вызванной стафилококками.
Со стороны заболевания грудная клетка становится выпуклой. Также происходит опущение плеча, недостаточная подвижность руки. У детей старшего возраста наблюдаются стандартные симптомы тотального плеврита. Можно отметить также сухой кашель с мокротой, иногда даже с гноем – при прорыве абсцесса плевры в бронхи.
Экссудативный плеврит
Отличается экссудативный плеврит наличием жидкости в полости плевры. Она может образоваться в результате травмы груди с кровотечением или кровоизлияния, излияния лимфы.
По характеру этой жидкости плевриты разделяют на серозно-фибринозный, геморрагический, хилезный и смешанный. Эту жидкость, часто неясного происхождения, называют выпотом, который тоже способен сдерживать движение легких и затруднять дыхание.
Симптомы плеврита
В случае возникновения плеврита симптомы могут различаться в зависимости от того, как протекает патологический процесс – с экссудатом или без него.
Сухой плеврит характеризуется следующими признаками:
- колющая боль в грудной клетке, особенно при кашле, глубоком дыхании и резких движениях,
- вынужденное положение на больном боку,
- поверхностное и щадящее дыхание, при этом пораженная сторона визуально отстает в дыхании,
- при выслушивании — шум трения плевры, ослабление дыхания в зоне фибриновых отложений,
- лихорадка, озноб и сильная потливость.
При экссудативном плеврите клинические проявления несколько отличаются:
- тупые боли в зоне поражения,
- сухой мучительный кашель,
- сильное отставание пораженного участка грудной клетки в дыхании,
- ощущение тяжести, одышка, выбухание промежутков между ребрами,
- слабость, повышение температуры, сильный озноб и профузный пот.
Наиболее тяжелое течение отмечается при гнойном плеврите:
- высокая температура тела;
- сильная боль в груди;
- озноб, ломота во всем теле;
- тахикардия;
- землистый оттенок кожи;
- потеря веса.
Если течение плеврита приобретает хронический характер, то в легком формируются рубцовые изменения в виде плевральных спаек, которые препятствуют полному расправлению легкого. Массивный пневмофиброз сопровождается уменьшением перфузионного объема легочной ткани, тем самым усугубляя симптомы дыхательной недостаточности.
Как лечить плеврит?
При появлении симптомов плеврита лечение должно быть комплексным и направлено прежде всего на ликвидацию основного процесса, приведшего к его развитию. Симптоматическое лечение имеет целью обезболить и ускорить рассасывание фибрина, предупредить образование обширных шварт и сращений в плевральной полости.
В домашних условиях лечению подлежат только больные с диагностированным сухим (фибринозным) плевритом, все остальные пациенты должны быть госпитализированы для проведения обследования и подбора индивидуальной схемы лечения плеврита легких.
Профильным отделением для такой категории пациентов является терапевтическое отделение, а больные гнойным плевритом и эмпиемой плевры нуждаются в специализированном лечении в условиях хирургического стационара. Каждая из форм плеврита имеет свои особенности терапии, но при любом типе плеврита показано этиотропное и патогенетическое направление в лечении.
Так, при сухом плеврите больному назначается:
- Для купирования болевого синдрома назначают обезболивающие препараты: анальгин, кетанов, трамадол при неэффективности этих средств, в условиях стационара возможно введение наркотических обезболивающих препаратов.
- Эффективны согревающие полуспиртовые или камфорные компрессы, горчичники, йодистая сетка.
- Назначают препараты, подавляющие кашель – синекод, коделак, либексин.
- Так как первопричиной чаще всего является туберкулез, после подтверждения диагноза туберкулезного плеврита в противотуберкулезном диспансере проводят специфическое лечение.
Если плеврит экссудативный с большим количеством выпота, делают плевральную пункцию для его эвакуации или дренирование. За один раз откачивают не более 1,5 л экссудата, дабы не спровоцировать сердечных осложнений.
При гнойных плевритах полость промывают антисептиками. Если процесс принял хронический характер, прибегают к плеврэктомии – хирургическому удалению части плевры с целью предотвращения рецидивов.
После рассасывания экссудата больным назначают физиотерапию, лечебную физкультуру, дыхательную гимнастику.

При остром туберкулезном плеврите в комплекс могут быть включены такие препараты, как изониазид, стрептомицин, этамбутол или рифампицин. Сам курс лечения туберкулеза занимает около года. При парапневомническом плеврите успех лечения зависит от подбора антибиотиков исходя из чувствительности к ним патологической микрофлоры. Параллельно назначается иммуностимулирующая терапия.



