Пневмония и туберкулез, как лечить — пневмония или туберкулез, как различить
Туберкулез – заболевание инфекционной природы, при котором поражаются в первую очередь органы дыхания. Болезнь существует на протяжении тысячелетий, ее симптомы и клиническая картина достаточно хорошо изучены.
Но, тем не менее, нередко эту болезнь путают с другими воспалительными процессами в легких и бронхах.
Пневмония и туберкулез действительно схожи по своим признакам, клинические проявления этих заболеваний легких легко спутать.
Более того, нередко эти две патологии развиваются параллельно. Но лечение требуется различное, потому так важно корректно и грамотно провести дифференциальную диагностику и исключить другие заболевания. Иначе могут развиться необратимые изменения в легких, а в случае, если не была вовремя оказана адекватная медицинская помощь, может наступить смерть пациента.
Кратко о заболеваниях
Туберкулез – инфекционная болезнь, для которой характерно поражение легких, а также других органов человека особой бактерией. Называют ее микобактерией туберкулеза или палочкой Коха.
Воспаление легких или пневмония – это собирательный термин, под которым подразумевают самые разные формы воспалительного процесса в легких, вызванного различными возбудителями.
Хотя процесс при обоих заболеваниях локализуется в первую очередь в легких, подход к диагностике и лечению требуется разный.
Причины возникновения и возбудители
Туберкулез вызывается одним из штаммов микобактерий туберкулеза – человеческого, бычьего либо промежуточного типа. В то время как у пневмонии возбудителей несколько:
- палочка Афанасьева-Пфеффера;
- бактерия Легионелла пневмонии;
- любые виды кокков.
Известна также форма пневмонии, вызванная различными видами вирусов. Как правило, пневмония возникает как осложнение после некачественно пролеченного бронхита, тонзиллита, насморка, гриппа. Также причинами заболевания могут стать:
- любые дркгие инфекции;
- ослабление иммунитета;
- длительные и повторяющиеся курсы химиотерапии;
- лучевая болезнь;
- застой в легких при любых состояниях, приводящих к неподвижности, например, паралич или кома.
Социально-бытовые условия оказывают на развитие пневмонии незначительное влияние. Туберкулез же часто провоцируется длительным пребыванием в темных, сырых помещениях, тяжелой работой в неблагоприятных условиях, недостаточным питанием и другими бытовыми факторами.
Признаки и симптомы (сходства и отличия)
Итак, можно ли спутать пневмонию с туберкулезом? Да, несомненно. Именно по этой причине всего лишь сто лет назад пациенты часто погибали от неправильного лечения. Да и сегодня врачебные ошибки случаются. Тем не менее, отличить туберкулез от пневмонии можно по ряду признаков и симптомов.
Симптомы и особенности течения пневмонии:
- Бурное начало с ярко выраженными признаками интоксикации организма.
- Высокая температура – до 40 градусов и выше.
- Сильный кашель, при этом отходит мокрота слизистого характера, часто с примесью гноя.
- Одышка даже в состоянии покоя, на вдохе.
- Упадок сил, вялость, полное отсутствие аппетита.
Проявления воспалительного процесса при пневмонии имеют более выраженный характер, чем при туберкулезе. Наличие высокой температуры, кашля, общей слабости отмечается с первых суток.
И в этом одно из главных отличий клинической картины и течения заболеваний.
Туберкулез долгое время может вообще никак не проявляться. В инкубационный период его не всегда можно выявить даже с помощью анализов крови. А на начальной стадии – только посредством рентгенограммы.
Хотя в некоторых случаях, если у человека очень сильно ослаблен иммунитет, туберкулезная инфекция проявляется выражено спустя 1-2 недели после инфицирования.
Стремительное прогрессирование отмечается у маленьких детей с еще не сформировавшимся иммунитетом.
Характерные симптомы туберкулезного поражения:
- Мучительный кашель, беспокоящий в течение 3-4 месяцев.
- Одышка и боли в груди.
- Отхождение гнойной мокроты, как правило, с примесью крови.
- Потеря веса при снижении аппетита.
Хотя это не обязательно, в половине случаев аппетит у туберкулезных больных сохраняется.
- Типичный чахоточный лихорадочный румянец и блеск глаз.
Особенность в том, что проявления туберкулеза носят циклический характер.
Они то проявляются ярко, то исчезают сами по себе. Температура остается субфебрильной и очень редко на начальной стадии поднимается выше 37,5 градусов.
До 38-39 градусов температура тела повышается, только, если к туберкулезной инфекции присоединяется вирусная инфекция, когда, например, человек простужается. Или же начинает развиваться туберкулезная пневмония.

Основное отличие при сопоставлении симптомов у пневмонии и туберкулеза в скорости их появления у больного и исчезновения при надлежащем лечении.
Методы обследования
Помимо сбора анамнеза заболевания, врачу помогают следующие методы диагностики.
Физикальное обследование больного
Основной метод — аускультация или прослушивание органов дыхания.
На развитие пневмонии указывают:
- крепитация – характерные скрипы, слышимые на окончании вдоха;
- затрудненное дыхание, влажные, мелкопузырчатые хрипы.
При туберкулезе дыхание почти всегда соответствует норме – это так называемое везикулярное дыхание. Влажные хрипы могут тоже присутствовать, но они едва различимы и слышны не всегда.
В обоих случаях отмечается кашель с мокротой. Но кашель при туберкулезной инфекции носит постоянный характер, сухой, надрывный. При пневмонии наблюдается смена характера кашля с сухого на влажный по мере прогрессирования заболевания.
При пневмонии изменения происходят чаще в обоих легких. Микобактерии поражают одно легкое.
При опросе больной может отмечать наличие родственников, больных туберкулезом, так как шанс заболеть туберкулезом при тесном контакте выше. При пневмонии такой закономерности нет.
Лабораторные методы диагностики
При подозрении на любое из заболеваний в первую очередь выполняются лабораторные исследования крови, мочи. Они покажут:
- Увеличение скорости, с которой оседают эритроциты – в случае обоих заболеваний.
- Повышение количества лейкоцитов – при пневмонии значительное, при туберкулезе умеренное.
- Увеличение лимфоцитов и моноцитов в значительной степени – только при туберкулезной инфекции.
- Понижение гемоглобина – чаще при длительно развивающемся туберкулезе.
Также будет проведена туберкулиновая проба — Манту или Диаскинтест. Основной метод выявления туберкулеза — реакция Манту позволяет определить, был ли контакт с микобактериями. А Диаскинтест выявит более точно их количество и активность. Если Диаскинтест дает положительный результат, то почти стопроцентно пациент инфицирован туберкулезной палочкой.
Если есть сомнения в характере воспаления в легких, делается анализ мокроты. Он помогает выявить возбудителя. Мокрота при туберкулезе покажет наличие активных микобактерий, при пневмонии – бактерий возбудителей. Чтобы исключить все сомнения, окончательно подтвердить или опровергнуть диагноз, делается 2-3 посева на с небольшими промежутками времени.
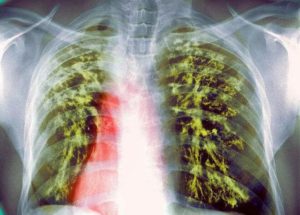
Рентген признаки при туберкулезе и пневмонии
Основной метод выявления туберкулеза – это флюорография. Но в некоторых случаях проводится и рентген легких. При пневмонии врачи предпочитают рентгеноскопию.
На снимке можно четко определить, в какой степени поражены легкие при туберкулезе и пневмонии, где локализуются очаги.
Этот инструментальный метод диагностики подходит не только для взрослого пациента, но и для детей, которым до 15 лет делать флюорографию не рекомендуется.
Признаки на рентгене:
- При воспалении легких чаще поражается нижняя часть обоих легких. Тени, показывающие наличие очага при туберкулезе, расположены, как правило, в одном легком в верхнем или среднем сегменте.
- Очертания очагов поражений. Для пневмонии характерны размытые тени, пораженные легкие словно задымлены на определенных участках. При туберкулезе границы очагов очерчены, они имеют четкий контур на рентгеновских снимках.
На основании полученных результатов всех исследований врач определяет, чем же болен пациент, на какой стадии находится болезнь, с какой формой приходится иметь дело, и только тогда подбирает соответствующие препараты и лечебные процедуры.
Возможные осложнения туберкулеза и пневмонии
Плеврит, пневмоторакс – наиболее распространенное осложнение, вызванное туберкулезом или пневмонией. В первом случае воспаляется пленка, покрывающая внутренние полости грудной клетки и легкие – плевра. Под ней скапливаются жидкость, гной и кровь.
Во втором случае происходит разрыв полостей в легких и кровоизлияние. Если пациенту немедленно не оказать помощь, может наступить смерть от удушья. Абсцессы легких возможны как при пневмонии, так и при кавернозной форме туберкулеза.
В легких образуются полости с гноем, требующие оперативного лечения.
Может ли пневмония со временем перейти в туберкулез
И наоборот, какова частота появления туберкулеза после пневмонии – немаловажные вопросы. Теоретически пневмония превратиться в туберкулез не может, так как возбудители патологий разные.
Но, если воспаление легких не лечится или лечится неправильно, иммунитет пациента обязательно снижается.
А это – провоцирующий туберкулез фактор, поэтому чаще пневмония становится осложнением туберкулезной инфекции, особенно, если развивается плеврит.
Лечение
Медикаментозное лечение обоих заболеваний всегда подразумевает использование антибактериальных препаратов. Каких именно – определяется возбудителем заболевания и степенью его тяжести.
Но отличия есть и здесь. Пневмония обычно излечивается одним антибактериальным препаратом.
Если он правильно подобран, а рекомендованная врачом дозировка четко соблюдается, заметные улучшения наступают уже на 2-3 дней.
Чтобы вылечить туберкулез, требуется схема с применением 3-4 антибактериальных препаратов различного действия. Полный курс лечения длится несколько месяцев. При этом, если микобактерии проявляют устойчивость к антибиотикам, состояние пациента в процессе лечения может снова ухудшаться.
Дополнительные методы лечения при пневмонии:
- средства, расширяющие бронхи;
- лекарства для разжижения и выведения мокроты;
- ингаляции;
- вибромассаж;
- лечебная физкультура, в частности, дыхательная гимнастика.
При туберкулезе часто требуется и хирургическая операция.
Профилактика
Поскольку пневмонию или туберкулез вызывают постоянно меняющиеся во внешней среде бактерии и вирусы, защититься от них полностью только с помощью прививок невозможно. Но можно укрепить иммунитет, чтобы при встрече с опасной инфекцией организм смог сам себя обезопасить.
Основные меры профилактики такие:
- отказ от вредных привычек;
- закаливание, занятия спортом;
- нормальные условия жизни и труда;
- полноценное питание и регулярный отдых в ночное время и в выходные.
Симптоматика пневмонии и туберкулеза очень схожа, но анамнез и этиология,а также скорость развития различны. Независимо от того, пневмония развивается или туберкулез, такие состояния больного крайне опасны и при отсутствии лечения могут привести к летальному исходу. Потому необходимо четко дифференцировать эти заболевания и определить максимально эффективную схему лечения.
Если лечение врачей не помогает полностью избавиться от туберкулеза. Таблеток приходится пить все больше. К туберкулезу присоединились осложнения от антибиотиков, а результата нет. Узнайте, как наши читатели победили туберкулез… Читать статью >>
Полезное
Лучший подарок для мужчин на 23 февраля это приманка(активатор клёва) для рыбалки Fish Drive. Прочтите отзыв Андрея Захарова известного эксперта в спортивной рыбалке. Читать далее
Поспелова Ирина
Как отличить пневмонию от туберкулеза легких
Туберкулез и пневмония обладают сходными симптомами, из-за чего могут возникнуть проблемы при диагностике. Отличить пневмонию от туберкулеза можно, т.к. туберкулезная инфекция вызывается исключительно микобактериями Mycobacterium tuberculosis, пневмония же – различными вирусами, бактериями, грибками.
Причины одинаковые или разные
Провоцируются пневмония и туберкулез заражением через респираторные органы. Воспаление легких – это самостоятельное заболевание, которое поражает только дыхательную систему.
Свое название болезнь получила по имени самого распространенного возбудителя этого заболевания Streptococcus pneumonia или пневмококка. На долю пневмококковых инфекций приходится до 70% всех легочных инфекций.
Туберкулез – это заболевание, возникающее при заражении микобактериями, способное поразить любой орган тела, исключая ногти и волосы. В большинстве случаев поражаются легкие.
Болезнь может протекать скрытно, переходя при снижении иммунитета в активную форму. По данным ВОЗ микобактерией заражено более 30% человечества, но проявляется болезнь только у 10% из инфицированных.
Различают туберкулезную инфекцию:
- легочную (развивается только в легких);
- внелегочную (поражает другие органы тела).
Первично микобактерии расселяются в легких. После выздоровления могут остаться неактивные закрытые очаги.
Возможно ли одновременное течение
Заболевания не могут протекать одновременно. У пневмококковой инфекции инкубационный период составляет 1-3 дня, из-за чего признаки заражения появляются почти сразу после контакта с больным человеком.
При первичном заражении туберкулезной палочкой между инфицированием и появлением симптомов проходит период от 1 месяца до 3 лет.
Одной из форм туберкулеза является казеозная пневмония.
Это тяжелое состояние развивается при заражении M. tuberculosis, характеризуется тяжелым протеканием, сопровождается ознобом, головной болью, отсутствием аппетита. Проявляется казеозная пневмония при туберкулезе кашлем, одышкой, проливным ночным потом, нарушением сна.
Симптомы и признаки
Острая форма легочного воспаления отличается бурным началом, и ее не спутать с начальной формой туберкулеза, характер протекания которого отличается постепенным нарастанием симптомов. Но есть виды туберкулезного инфицирования, которые определенными симптомами сходны с пневмонией.
Похож проявлениями на бактериальное поражение легких туберкулез:
- Диссеминированный. Начинается с резкого подъема температуры, одышки, головной боли, иногда отмечается увеличение печени, селезенки.
- Инфильтративный. Развивается на фоне ОРЗ, сопровождается лихорадкой, появлением крови в мокроте.
К симптомам туберкулеза на первых стадиях болезни относятся:
- кашель с мокротой;
- одышка;
- ухудшение аппетита;
- потеря веса;
- одышка;
- боль за грудиной, отдающая в спину и ребра;
- потеря веса даже при сохранении аппетита;
- повышение температуры до субфебрильных значений (37,5- 38°C);
- блеск глаз.
Отличается пневмония от туберкулеза интенсивностью нарастания проявлений. Туберкулезная инфекция развивается долго, и кашель появляется не сразу.
При пневмококковом воспалении кашель возникает сразу после ухудшения самочувствия. Воспаление протекает в острой (крупозной или очаговой) и затяжной форме.
Крупозное воспаление характеризуется бурным началом;
- жаром;
- резкой болью в груди;
- кашлем;
- кровохарканьем;
- одышкой;
- иногда – спутанностью сознания;
- отсутствием аппетита.
Очаговое воспаление легких часто развивается как осложнение ОРЗ или гриппа. На начало болезни указывает появление боли в груди, одышки при физической нагрузке, появление ночных потов, снижение веса.
Затяжная пневмония отмечается у людей с ослабленным иммунитетом. Ее можно перепутать с туберкулезом легких. Заболевание сложно отличить от туберкулезного заражения даже современными способами диагностики.
Особенности анамнеза
В анамнезе пневмонии отмечается предшествующие ей эпизоды переохлаждения, злоупотребления алкоголем, вирусной инфекции или гриппа. Частые легочные инфекции преследуют курильщиков.
К предрасполагающим факторам инфицирования палочкой Коха относятся плохое питание, проживание в сыром, холодном климате.
Если в окружении на работе или дома окажется туберкулезный больной, то человек также попадает в группу риска.
Туберкулез проявляется:
- впалостью подключичных и надключичных ямок, что вызвано недостаточным питанием;
- отечностью лица;
- атрофией дыхательной мускулатуры;
- уменьшением объема легких;
- отставанием пораженной стороны груди при дыхании;
- сужением межреберных промежутков;
- деформацией пальцев в виде «барабанных палочек» с расширенными концевыми фалангами;
- выпуклой формой ногтей («часовое стекло»).
Осматривая больного, врач определяет состояние лимфатических узлов. При туберкулезе легких могут воспаляться шейные, подмышечные, грудные узлы.
Для туберкулезного заболевания характерно непостоянство температуры. Отличие пневмонии от туберкулеза в том, что повышение температуры при туберкулезном инфицировании умеренное, не превышающее +38°C, а при воспалении легких развивается сильный жар.
Различие по физикальной диагностике
Отличие, которое выявляется при дифференциальной диагностике пневмонии и туберкулеза, относится к возбудителю. У инфицированного микобактерией человека в мокроте выявляются Mycobacterium tuberculosis.
Воспалительное поражение легких вызывают стрептококки, стафилококки, синегнойная палочка, легионеллы, хламидии, микоплазмы, цитомегаловирус и другие патогенные микроорганизмы.
Аускультативные признаки
Дифференциальный диагноз основан на выслушивании легких фонендоскопом, лабораторных исследованиях крови и мокроты, данных рентгенограммы.

Аускультацией при воспалительных заболеваниях легких выявляют, что:
- притуплен перкуторный звук над пораженным легким;
- дыхание жесткое;
- ое дрожание усилено;
- прослушиваются влажные или сухие хрипы;
- отмечается крепитация (хруст, появляющийся при разлипании альвеол);
- возникает шум трения плевры.
На начальной стадии туберкулеза выслушивание легких фонендоскопом может оказаться полностью безрезультатным. Но по мере разрушения легочной ткани появляются изменения в бронхах.
Разница между патологиями в том, что признаки бронхита при воспалениях легких наблюдаются с первого дня. При туберкулезном процессе разрушение идет с паренхимы, распространяясь на бронхи.
Рентген
Опасным воспалением при туберкулезе или пневмонии считается верхнедолевой очаг поражения, который чаще всего поражается микобактериями.
При пневмонии обнаруживаются на рентгене изменения, позволяющие отличить ее от туберкулеза:
- Уплотнение (инфильтрация) участка легких с неявными, размытыми очертаниями или в виде дымки (характерно для снимков при острой форме).
- Усиление легочного рисунка (при интерстициальной форме).
При верхнедолевой левосторонней пневмонии поражается до 5 долей легкого. Заболевания этого органа протекают тяжелее, чем правосторонняя пневмония, при которой поражается 1-3 участка.
Флюорографией при пневмонии чаще выявляется поражение нижних и средних частей с изменениями корня легкого.
При туберкулезном инфицировании изменения отмечаются в верхней части легкого, отличаются четкими очертаниями, без видимых изменений корня.
На рентгенограмме обнаруживается при туберкулезе:
- Диссеминированном. Множество мелких, хорошо очерченных, или более крупных пятен, есть каверны.
- Очаговом. Уплотнение находится не ниже 2 ребра, вокруг могут быть фиброзные тяжи, усилен легочный рисунок.
- Инфильтративном. Уплотнения правильной округлой формы на рентгеновском снимке в верхней легочной доле.
- Казеозной пневмонии. Множество полостей распада с неровными краями, очагами отсева, смещением средостения в больную сторону груди.
Лабораторные данные
В лейкоцитарной формуле при пневмонии наблюдается:
- сдвиг формулы влево, характеризующийся увеличением в крови количества молодых форм лейкоцитов;
- увеличение лейкоцитов, нейтрофилов;
- повышение СОЭ;
- повышение C-реактивного белка.
В мокроте обнаруживается повышенное количество нейтрофилов. При туберкулезном инфицировании в мокроте выявляется микобактерия.
На начальной стадии туберкулеза в анализе крови также обнаруживается сдвиг лейкоцитарной формулы влево, повышение СОЭ и C-реактивного белка, лейкоцитоз и нейтрофилез, но в меньшей степени, чем при пневмонии.
В начале болезни СОЭ возрастает до 25-30 мм/час, лейкоциты повышены незначительно или даже в пределах нормы.
По мере прогрессирования туберкулезного инфицирования эти показатели возрастают, но на ранних этапах определить, пневмония или туберкулез, по анализу крови невозможно.
Предположить туберкулез можно при этих показателях можно, если повышенному СОЭ и лейкоцитам сопутствует анемия, моноцитоз, лимфопения.
Разница в лечении
Микобактерия, вызывающая туберкулез, отличается повышенной устойчивостью к антибактериальным препаратам. Для подавления ее активности требуются назначение продолжительного курса лечения таких мощных антибиотиков, как Рифампицин, Изониазид. Курс лечения может продолжаться 2-6 месяцев.
Пневмония вызывается преимущественно пневмококками, стрептококками, стафилококками, и другими представителями бактерий, чувствительных к действию аминогликозидов, цефалоспоринов, пенициллинов.
Стандартный курс, который выбирают, чтобы лечить пневмонию, составляет 10-14 дней. При пневмонии улучшение наблюдается через 3-5 суток.
Когда применение Азитромицина, Хемомицина, Ипанема и других антибиотиков, эффективных при бактериальном воспалении, не дает улучшения, лечащий фтизиатр может назначить более сильные лекарства.
Может ли пневмония перейти в туберкулез
Воспаление в легких не может перерасти в туберкулезную инфекцию. Когда туберкулез определяют после легочного воспаления, то, скорее всего, изначально был поставлен неверный диагноз пневмонии.

Если человек болен пневмонией, иммунитет снижается, что создает условия для инфицирования палочкой Коха, попадающей в организм от больных. Но инкубационный период микобактерий длительный, во время болезни легких туберкулезное инфицирование не успеет развиться.
Задуматься о том, не может ли развиться туберкулез после пневмонии, стоит тем, кто ранее переболел туберкулезной инфекцией. Существует опасность переходящей в туберкулез верхнедолевой пневмонии, когда в организме уже присутствуют туберкулезные микобактерии.
Пневмония или туберкулез? Как отличить болезни
Любые воспалительные процессы в дыхательной системе способны привести к тяжелым последствиям. Наиболее опасными считаются пневмония и туберкулез, входящие в группу респираторных инфекций.
Оба этих заболевания имеют не только общие предметные и объективные показатели, но и отличительные признаки.
Течение и симптоматика туберкулеза и пневмонии одинаково тяжело протекает у пациентов любого пола и возраста, а поздняя диагностика и несвоевременная терапия могут привести к тяжелейшим осложнениям вплоть до летального исхода больного.
Краткая характеристика туберкулеза и пневмонии
Туберкулез – это высоко-контагиозное инфекционное заболевание с характерным поражением палочкой Коха (микобактерией туберкулеза) не только легких, но и всех органов человека.
Пневмония (воспаление легких) – протекает с развитием различных форм воспалительного процесса в легочной ткани, обусловленных бактериями, вирусами, грибами и клебсиеллой. В отличие от туберкулеза пневмония менее заразна и поражает легочную систему. Кроме того, при пневмонии воспалительный процесс более выражен.
Несмотря на то, что локализацией воспалительного процесса при пневмонии и туберкулезе (легочная форма составляет около 90% от всех случаев) являются легкие, диагностические мероприятия и тактика лечения этих заболеваний требует разного подхода.
Отличительные признаки
Несмотря на то, что туберкулез и пневмония обладают схожими субъективными и объективными показателями, которые провоцируют развитие инфекционного процесса, существует ряд отличительных признаков, позволяющих облегчить диагностику и назначить адекватную терапию.
По анамнезу
Туберкулез наиболее часто возникает у пациентов, входящих в группу риска (наркоманы, хронические алкоголики, люди без определенного места жительства, ВИЧ–инфицированные и т.д.).
При подозрении на туберкулез следует выяснить контакты пациента, так как туберкулез чаще всего развивается в местах большой скученности народа при отсутствии хороших санитарных условий и питания, например, в местах лишения свободы.
Пневмонии могут развиться как следствие неправильного лечения (или его отсутствия) простудных заболеваний верхних дыхательных путей. Причинами такого состояния могут быть общее переохлаждение, бронхиты, ангины и частая заболеваемость ОРВИ, ослабляющих иммунную систему.
По клинической симптоматике
Симптоматическая картина пневмонии сопровождается острым началом и характеризуется гипертермией (до 39 градусов), которая может смениться критическим падением (до 35–36 градусов), что провоцирует резкую слабость, потливость и апатичность пациента. Это заболевание сопровождается появлением боли в грудной клетке на вдохе, что указывает на вовлечение плевры в воспалительный процесс, одышкой и кашлем с выделением «стекловидной» мокроты.
В отличие от воспаления легких, туберкулез характеризуется латентным течением с постепенным нарастанием симптоматики. Кашель с отделяемой слизисто-гнойной мокротой, которая затем преобразуется в кровохарканье, может держаться в течение 4–5 месяцев. Характерной особенностью туберкулеза является быстрая потеря веса, температура не превышает 39 градусов и преобладает циклический характер.
По внешним признакам
При длительном течении туберкулеза у пациента отмечается побледнение кожных покровов с желтушным оттенком. В глазах появляется блеск, а на щеках румянец. Для детей характерны «глаза Виолетты» (блестящие глаза и длинные пушистые ресницы).
Воспаление при пневмонии характеризуется более выраженной симптоматикой в сравнении с туберкулезом. В этом случае присутствует гипертермия (до 39 – 40 градусов), общая слабость и кашель могут появиться с первых дней болезни.
Подозрение на пневмонию может возникнуть при совокупности всех вышеперечисленных симптомов с добавлением покалывающих болей в груди во время глубокого вдоха или кашля.
При пневмонии пациенты вялые, наблюдается повышенное потоотделение, бледность кожных покровов, возможен цианоз носогубного треугольника и немотивированная слабость.
Аускультативно
Характерной особенностью активности палочки Коха является локализация воспалительного процесса в верхних отделах легкого. Аускультативно определяется отсутствие хрипов (патологических шумов) в этих зонах.
При развитии воспалительного процесса в легочных тканях, обусловленного стрептококками, пневмококками, гемофильной палочкой и стафилококками, которые провоцируют развитие пневмонии, очаг воспаления локализуется в нижнем отделе легкого или у его корня. Аускультационно выявляется присутствие шумов (крепитации) и хрипов (влажных и сухих).
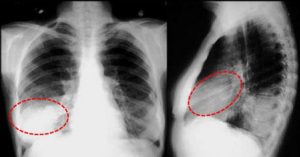
Рентгенологическая картина
При пневмонии предпочтительно выполнение рентгеноскопии, на снимке которой определяется стадия поражения легких с локализацией очага воспаления. Тени на снимке достаточно размыты, а пораженный участок легкого как будто задымлен.
Основным способом определения туберкулеза является флюорография и крайне редко рентгенография легких. На рентгеновском снимке границы очага воспаления четко очерчены, а тени расположены преимущественно в одном легком (средней или в верхней доле).
Лабораторная диагностика
Для уточнения заболевания и определения наиболее подходящей тактики лечения выполняется ряд лабораторных анализов (крови и мочи):
- лейкоциты при пневмонии значительно выше в сравнении с туберкулезом;
- в обоих случаях наблюдается повышение СОЭ;
- при туберкулезе отмечается повышение моноцитов и лимфоцитов;
- при длительном течении туберкулеза в крови значительно снижается гемоглобин.
При сомнительном диагнозе может быть назначен анализ мокроты, направленный на определение возбудителя. При туберкулезе в анализе выявляются активные микобактерии, а при пневмонии посев определяет конкретные виды возбудителя заболевания. Для исключения ошибочного диагноза назначается не менее 2 посевов мокроты на бактериальный анализ.
Основным способом определения туберкулезного инфицирования является реакция Манту, результат которой выявляет возможные контакты с микобактериями. Для более точного определения их активности и количества назначается Диаскинтест. При его положительном результате инфицирование палочкой Коха 100% подтверждено.
Сочетание двух болезней у одного больного
Существует распространенное мнение о том, что пневмония способна преобразоваться в туберкулез. Это в корне неправильно, так как возбудителями этих заболеваний являются совершенно разные микроорганизмы.
Иногда вполне возможно одновременное развитие туберкулеза и пневмонии (в результате осложнений туберкулеза). Кроме того, на фоне снижения иммунной защиты у одного пациента может встречаться туберкулез с вирусной (грибковой или бактериальной) пневмонией.
В этом случае их симптоматика взаимно осложняется, что способно привести к следующим осложнениям:
- развитие кровотечений в легочных сосудах;
- распад легочной ткани;
- появление признаков острой дыхательной недостаточности;
- инфекционный шок и т.д.
Наиболее тяжелое течение туберкулеза наблюдается на фоне развития вирусной пневмонии (на фоне гриппа). Подобное состояние нередко приводит к гибели пациента.
Можно ли спутать туберкулез с пневмонией?
В некоторых случаях, при атипичном течении пневмонии, а также в запущенных случаях достаточно сложно отличить ее от туберкулезной симптоматики, так как они тесно переплетаются друг с другом.
Подобное состояние требует дополнительной дифференциальной диагностики (ДИФ), позволяющей подобрать наиболее эффективную терапию. Несмотря на схожесть проявлений пневмонии, и туберкулеза, этиология, анамнез и скорость развития негативной симптоматики у них различны.
Вне зависимости от того, с каким из этих заболеваний пациент обратился к врачу, требуется серьезный подход к их лечению. Промедление и затягивание процесса может привести к необратимым последствиям вплоть до летального исхода. В то же время своевременное лечение, в том числе с применением антибиотиков, позволяют держать эти процессы под контролем.
Пневмония или туберкулез легких: как определить и их отличия на снимках
Туберкулез и пневмония являются весьма распространенными заболеванием в России. Они сходны в проявлениях, а также имеют инфекционную природу. Возбудителем первого всегда является один из видов микобактерий, провоцирующих типичную клиническую картину «чахотки».
А термин «пневмония» считается обобщающим, подразумевая под собой недуг, причиной которого могут быть кокки, палочка Афанасьева-Пфейффера, Legionella pneumophila, другие бактерии и даже вирусы.
Клиническая картина
Смертность от туберкулеза в России насчитывает 25 000 человек в год. Нередки случаи, когда, подозревая у себя воспаление легких, больные занимаются самолечением. Улучшения клинической картины не наступает, и на поздней стадии болезни при обращении к врачу вырисовывается совершенно другой диагноз: туберкулез легких.
Тяжелые последствия заболевания вплоть до летального исхода обусловлены несвоевременным его обнаружением.

В то время как при правильной постановке диагноза в начале развития болезни прогноз значительно более благоприятный, и лечение осложняется меньшим количеством побочным эффектов.
Туберкулез и пневмония имеют принципиально разные подходы к лечению. Именно поэтому эти заболевания необходимо четко различать.
В большинстве случаев, верно предположить туберкулез или пневмонию можно по симптоматике. Пневмония начинается острым периодом и развивается бурно.
Чаще всего она становится осложнением не пролеченного вовремя насморка, бронхита, вызванного гриппом или иной вирусной, а, возможно, и бактериальной инфекцией дыхательных путей.
Причиной может стать ослабление иммунитета после химио- или лучевой терапии.
Болезнь сопровождается высокой температурой, сильным кашлем с отхождением мокроты гнойно-слизистого или слизистого характера. Подъемы температуры чередуются со спадами, в результате пациент чувствует,
- упадок сил,
- слабость,
- вялость,
- боль в груди,,
- усиливающаяся при вдохе одышка.
Течение туберкулеза на ранней стадии обычно протекает незаметно для больного, и поражение легких можно выявить только на рентгене.
Позже недуг дает о себе знать кашлем, не проходящим по 3-4 месяца со слизистой, гнойно-слизистой мокротой и кровью. Температура держится в диапазоне 37,1-38 градусов, сопровождается потерей аппетита, снижением веса.
Щеки приобретают румянец, а глаза – нездоровый блек. Симптомы проявляются волнообразно, носят циклический характер.
Иногда туберкулез развивается быстро, подобно пневмонии. В таких случаях постановку диагноза определят анализы и рентгенография.
Еще в начале 20-го века было выведено «золотое правило» отличия методом аускультации. При прослушивании стетоскопом легких больного пневмонией слышны:
- разнообразные хрипы, в том числе влажные мелкопузырчатые,
- бронхиальное дыхание,
- множественные щелчки, возникающие в конце вдоха (крепитация).
При туберкулезе дыхание может соответствовать здоровому состоянию (везикулярное дыхание), влажные хрипы присутствуют в небольшом количестве или отсутствуют вовсе.
Специфика диагностики и лечения
Если клиническая картина заболеваний при физикальном обследовании не всегда дает возможность сразу различить заболевания, то современные лабораторные и инструментальные методы позволяют это сделать безошибочно. Лабораторная диагностика
Чтобы отличить заболевания, существуют следующие анализы:
-
Общий анализа крови. В обоих случаях наблюдается увеличение скорости оседания эритроцитов. Но для пневмонии характерно значительное повышение лейкоцитов, в то время как при туберкулезе, лейкоцитоз выражен умеренно, повышены моноциты и низок уровень лимфоцитов.
При длительном течении болезни показатель гемоглобина опускается ниже отметки в 100 грамм-процентов.
- Туберкулиновые пробы. Реакция Манту позволяет сделать вывод о сопротивлении иммунитета против атаки микобактерий, а Диаскинтест является дополнительным исследованием, позволяющим оценить активность бактерий.
- Высевание микобактерий в мокроте является самым достоверным анализом. Необходимо делать 2-3 посева. При положительном результате сомнений для диагноза «туберкулез» не остается.
Терапия
Основа лечения всех видов пневмонии – антибиотики. Выбор лекарства определяется родом бактерий, вызвавших заболевание. При правильном выборе средства на 3-й день болезни должно наступить улучшение состояния и нормализация температуры.
В терапии применяются также разжижающие мокроту и расширяющие бронхи препараты, как внутрь, так и ингаляционно. Частью лечения является физиотерапия в виде лечебной физкультуры и вибромассажа.
Лечение туберкулеза – процедура значительно более длительная, включающая пребывание в стационаре 3-4 месяца и несколько месяцев амбулаторного наблюдения. Антибиотики часто бессильны против микобактерий, поэтому используются 4 и 5-е схемы лечения химиотерапией. В редких случаях запущенное заболевания требует хирургического вмешательства.
Своевременное обращение к врачу и правильная постановка диагноза, будь то туберкулез или форма пневмонии, ускорит выздоровление и позволит избежать тяжелых последствий.
Загрузка…



