Как отличить фиброаденому молочной железы от рака
Фиброаденома – это патологическое состояние, характеризующееся формированием опухоли в молочных железах, на ранних стадиях своего развития относится к доброкачественным.
Формируется в железистых тканях молочной железы, локализуется всегда в верхней ее части.
Обладает ровными и четкими границами, благодаря чему с помощью инструментальных методов диагностики удается выявить развивающееся новообразование.
Может ли перейти фиброаденома молочной железы в рак
Фиброаденома не представляет опасности жизни и здоровью женщины, однако были выявлены некоторые ее формы, обладающие повышенной онкогенностью. Помимо этого, активное разрастание опухоли провоцирует следующие неприятные явления:
- Ухудшение состояния молочных желез. При разрастании тканей они передавливают лимфатические и кровеносные сосуды, это нарушает питание мягких тканей, что неблагоприятно сказывается на состоянии груди.
- Возникновение чувства дискомфорта и болезненных ощущений. Формирования, достигшие больших размеров, могут затрагивать нервные окончания, что доставляет неприятные ощущения и боли.
- Увеличение размера одной груди, асимметрия. Как правило, такие изменения откладывают негативный отпечаток на психологическом состоянии представительницы прекрасного пола, поэтому требует хирургической коррекции.
При выявлении доброкачественного новообразования женщин больше всего заботит вопрос, может ли фиброаденома перерасти в злокачественную опухоль. Такая вероятность есть, но встречается это крайне редко. По статистике перерождение фиброаденомы молочной железы в рак происходит при развитии ее листовидной формы.
Во время беременности фиброаденома также представляет опасность, поскольку в результате изменения гормонального фона активизируется ее рост и, возможна, трансформация в злокачественный процесс.
Чтобы исключить все риски и спокойно вынашивать ребенка, гинекологи и маммологи настоятельно рекомендуют еще на этапе планирования беременности пройти тщательное медицинское обследование. При обнаружении фиброаденомы ее требуется удалять оперативным путем.
Удаление фиброаденомы не исключает вероятности рецидивов, особенно если не был устранен провоцирующий фактор. Поэтому важно лечить опухоль и патологические состояния, провоцирующие гормональный дисбаланс.
Перерождение листовидной формы фиброаденомы в рак сопровождается следующей клинической картиной:
- появление болезненных ощущений в области подмышечной впадины;
- видимая асимметрия и деформация грудной железы;
- формирование подкожного слоя, который визуально напоминает целлюлит;
- шелушение кожных покровов, появление эрозий на сосках;
- в месте расположения опухоли может воспаляться верхний слой эпидермиса;
- выделение секрета с кровянистыми вкраплениями из сосков.
При выявлении одного или нескольких симптомов требуется незамедлительно обратиться к лечащему врачу. Бездействие может привести к необратимым последствиям и усложнить лечение.
Отличие фиброаденомы от рака
Фиброаденому можно распознать самостоятельно во время самообследования, которое должна регулярно проводить каждая женщина в разные периоды менструального цикла. Формирование имеет форму шарика и при пальпации перекатывается, чего нельзя сказать о злокачественных новообразованиях. Обусловлено это тем, что опухоль не прикрепляется к кожному покрову.
Фиброаденома представляет собой доброкачественное формирование, которому подвержены все возрастные группы. В большинстве случаев для ее удаления требуется оперативное вмешательство с частичным иссечением молочной железы. Опухоль растет и на поздних стадиях своего развития ее размеры могут достигать нескольких сантиметров.
Фиброаденому и рак можно перепутать, но такая вероятность маловероятна из-за очевидных отличий между ними. Отличие доброкачественного новообразования от онкологии включает в себя следующие характеристики:
- Продолжительное время опухоль не изменяет своих размеров. Как правило, динамика роста отмечается во время беременности и по завершении менструального цикла.
- Отсутствие дискомфорта и болезненных ощущений.
- Клиническая картина не прогрессирует, физическое и эмоциональное состояние пациентки не ухудшается.
- Если доброкачественное новообразование находится в области около соска, на ореоле могут образовываться небольшие язвы, в редких случаях из сосков в небольшом количестве выделяется секрет.
- Лимфатические узлы, расположенные в подмышечных впадинах не увеличиваются.
- Перед менструацией формирования становятся более явными ввиду чрезмерной выработки эстрогена.
- С течением времени новообразование не рассасывается.
На начальных этапах развития фиброаденомы имеют настолько незначительные размеры, что маммография, ультразвуковое исследование (УЗИ) и пальпация неинформативны. Отличить доброкачественное образование от рака может маммолог или онколог после биопсии – взятия образца опухоли на цитологию.
Лечение и профилактика
Если в ходе медицинского обследования была выявлена фиброаденома и ее размеры не превышают нескольких миллиметров, прямые показания к проведению оперативного вмешательства отсутствуют, женщине достаточно быть под постоянным наблюдением для отслеживания динамики опухоли. Однако, если узловое формирование доставляет чувство дискомфорта или боли, увеличивается в размерах и сопровождается рядом других неблагоприятных симптомов, оперативного вмешательства вряд ли удастся избежать.

Показания к проведению операции по удалению фиброаденомы в молочной железе:
- планирование беременности;
- подозрение на формирование атипичных (раковых) клеток или же любого другого онкологического образования;
- стремительное увеличение размеров узлового формирования;
- подозрение на филлоидную опухоль.
Оперативное вмешательство может проводиться одним из нескольких способов:
- Секторальная резекция назначается при большой вероятности перерастания доброкачественного новообразования в онкологию. В ходе проведения осуществляется полное или частичное удаление очага, а также рядом расположенных мягких тканей. Как правило, после нее всегда остается косметический дефект, полностью скрыть его практически невозможно.
Может ли фиброаденома молочной железы перерасти в рак
Женщина подвержена множеству патологий. Фиброаденома признана подобным заболеванием. Молочные железы представляют деликатный орган, требующий тщательного внимания. Характер болезни доброкачественный. Поэтому отдельные женщины считают, что лечить фиброаденому не стоит. Но это убеждение опасно. Избранные виды патологии часто способны перерождаться в злокачественный вид – фибросаркому.
Характеристика заболевания
Фиброаденома (от лат. fibra – волокно и аденома) представляет образование, развивающееся в молочной железе. В образовании участвует ткань двух типов – железистого и соединительного. Узловая мастопатия считается близкой по признакам протекания болезни.
Патология может возникать как единичное образование либо состоять из нескольких узлов. Развивается медленно – от 3 месяцев до нескольких лет. Самостоятельно установить форму новообразования нельзя. Нужно обратиться к врачу.
Только при подробном обследовании удастся выяснить форму болезни. Опухоль нужно лечить: клетки могут перерождаться в опасный вид. Особенно это опасно во время беременности – клетки начинают активно делиться и перерождаться.
Страдают женщины в возрасте 20 – 50 лет. Возможно одностороннее развитие и двустороннее поражение молочных желёз.
Причины развития болезни
Причина, провоцирующая развитие фиброаденомы, врачам неизвестна. Выделяют следующие факторы, способные вызвать болезнь:
- Гормональное нарушение в организме;
- Болезни эндокринной системы – сахарный диабет, нарушения в работе поджелудочной железы;
- Лишний вес;
- Систематические тяжёлые физические нагрузки;
- Стрессовая ситуация;
- Наследственная предрасположенность;
- Приём оральных контрацептивов, содержащих гормоны.
Признаки заболевания и диагностика
Новообразование выявить сразу невозможно. На начальных этапах развития болезнь не проявляется. Она прощупывается уже на поздних сроках, когда принимает крупные размеры. При пальпации узелки заметно смещаются, что отличает болезнь от других заболеваний.
При подозрении на опухоль в молочной железе пациентку отправляют к маммологу. Также дополнительно проводится сложная диагностика организма:
- Ткани молочной железы изучают на УЗИ;
- Проводится пункция для биологического образца, который отправляют в лабораторию на биопсию;
- После удаления биологический материал изучается при помощи гистологии, выявляя злокачественность клеток и степень поражения;
- Маммография с рентгенографией установит точные размеры и место расположения фиброаденомы.
Результаты обследования позволяют определить точный диагноз и назначить правильное лечение.
Чем отличается киста от фиброаденомы
Кисту можно перепутать с данным заболеванием. Есть примеры, когда врачи по ошибке поставили неправильный диагноз. Есть ряд симптомов, по которым можно быстро узнать кисту.

Киста с густым содержимым отличается от фиброаденомы следующими признаками:
- Киста по плотности отличается мягкостью и эластичностью;
- Сопровождается болевыми ощущениями;
- На УЗИ просматривается гиперэхогенная структура кисты;
- Диагностируются серьёзные гормональные изменения.
Причиной развития кисты считаются искусственное прерывание беременности, патологии эндокринной системы и вынашивание ребёнка. Нужно непременно установить правильный диагноз до проведения операции.
Отличие фиброаденомы от фиброаденоматоза
Отдельные врачи считают фиброаденоматоз с фиброаденомой схожими патологиями. Данные болезни признаны полностью противоположными заболеваниями. Фиброаденоматоз не относится к опухолевым патологиям. Это фиброзно-кистозное заболевание. Относится к доброкачественным болезням, поражающим молочные железы. Развивается у женщин после 30 лет. Отличается от фиброаденомы:
- Обладает чёткими границами;
- При ультразвуковом исследовании определяется зернистая дольчатая структура;
- Поражает железистую ткань груди;
- Присутствуют выраженные болевые ощущения, особенно перед началом менструального цикла;
- Визуализируются множественные образования.
Причиной развития может стать заболевание в половой системе – патология яичников, матки. Также спровоцировать болезнь способны нарушения в работе щитовидной железы и печени.
Фиброаденоматоз в отличие от фиброаденомы крайне опасен – образование перерастает в злокачественную патологию!
Отличие рака груди от фиброаденомы
Рак груди на начальной стадии развития выглядит небольшим уплотнением, поэтому доброкачественное новообразование часто путают с раком. Выделяют определённые различия, по которым можно отличить фиброаденому от рака груди:
- Присутствует выраженный признак деформации органа;
- Область сосков шелушится, есть эрозийные поражения;
- Соски выделяют жидкость с примесью крови;
- Отмечаются покраснения кожных покровов;
- Структура подкожного слоя приобретает целлюлитный рисунок;
- В области подмышек отмечаются выраженные болевые ощущения в районе лимфоузла.
Самостоятельно отличить злокачественное образование сложно. Рекомендуется пройти диагностику под присмотром врача.
Виды фиброаденомы
Фиброаденома не способна перерасти в рак на начальной стадии развития. На протяжении длительного времени доброкачественное новообразование развивается в области молочной железы, не доставляя женщине дискомфорта и болезненных ощущений. Учёные выделяют типы патологии:
- Периканаликулярная форма отличается плотной субстанцией, не прикрепляется к тканям;
- Интраканаликулярный вид имеет рыхлую структуру с размытыми контурами;
- Филлоидная или листовидная встречается редко, считается самой опасной, так как может быть злокачественной.
Именно филлоидная форма перерождается в злокачественную опухоль молочной железы. Происходит это не всегда, но примеры в медицинской практике есть. Узел в подобной ситуации увеличивается в размерах быстро, достигая порой 100 мм в диаметре. Поэтому врачи проводят тщательную диагностику патологии с использованием ряда методик, чтобы исключить возможные болезни и поставить правильный диагноз.
Фиброаденома молочной железы
Может ли произойти трансформация в злокачественное новообразование
Перерождение чаще происходит при наличии листовидной формы заболевания или его может спровоцировать отсутствие лечения. В медицинской практике нет примеров, чтобы переросла фиброаденома других видов в злокачественное образование при проведении терапии. Лечение болезни не даёт возможности клеткам трансформироваться в раковые.
Онкология развивается при филлоидной форме патологии. Данный вид отличается стремительным ростом по сравнению с другими. В структуре опухоли содержится большой объём атипичных геномов.
При перерождении новообразования в раковую болезнь присутствует опасный симптом:
- Самочувствие пациентки начинает резко ухудшаться;
- Из соска появляются характерные выделения мутного оттенка с примесью крови;
- Ореольная зона груди начинает трескаться и покрываться болезненными язвами;
- Присутствуют болевые ощущения в поражённой зоне при нажатии или прикосновении.
При появлении подобных признаков нужно срочно обратиться к врачу. Чтобы предотвратить опасный процесс трансформации, врачи удаляют опухоль.

Удаление возможно провести несколькими методами. Зависит от степени поражения и вида патологии. Операция проводится под общим наркозом или с применением местной анестезии. При подозрении ракового образования иссечение возможно с захватом здоровых тканей до 30 мм.
Для предотвращения опасного развития заболевания врачи советуют ежегодно проходить подробное обследование в поликлинике и придерживаться здорового образа жизни.
Может ли фиброаденома перерасти в рак груди и чем еще опасна для женщин данная патология молочной железы
Фиброаденома молочной железы – это очень распространенное доброкачественное заболевание груди.
Диагностируется данная патология преимущественно в репродуктивном возрасте женщины, но иногда она может возникать и в период климакса.
Длительное время фиброаденома может никак не беспокоить женщину, и, если женщина не осматривает грудную железу самостоятельно и нерегулярно посещает маммолога, патология может диагностироваться не сразу.
Такое халатное отношения к собственному здоровью опасно тем, что запущенная фиброаденома может привести к различным осложнениям, включая развитие онкологии.
Сущность патологии
Здоровье молочной железы напрямую зависит от баланса гормонов. При нарушении баланса эстрогенов, прогестерона и пролактина ткани железы начинают патологически разрастаться. Такое явление приводит к формированию уплотнений и узлов.
Фиброаденома – это вариант узловой формы мастопатии, при котором в тканях железы образуется опухоль доброкачественного характера.
Опухоль покрыта плотной капсулой и не прикрепляется к кожному покрову.
Размеры новообразования могут варьировать от нескольких мм до нескольких см. Если образование множественное, то размеры фиброаденомы будут маленькими, крупные опухоли чаще всего единичные.
Фиброаденомы классифицируются следующим образом:
- интраканаликулярная – опухоль располагается внутри млечных протоков;
- периканаликулярная – опухоль располагается вокруг млечных протоков;
- смешанная – имеет признаки двух предыдущих форм;
- листовидная – быстро пролиферирующая крупная опухоль, которая имеет неоднородную структуру и состоит из нескольких узловых образований.
Сопутствующие симптомы
При самостоятельном осмотре грудной железы женщина может обнаружить множественное или единичное уплотнение в верхней части железы.
Данное новообразование имеет характерную структуру и форму. Одиночная опухоль – это шарообразное эластичное уплотнение с гладкой поверхностью. Новообразование легко меняет свое положение, поскольку с другими тканями у нее связи нет.
Клиническая картина, как правило, выражена не ярко, и косвенными признаками заболевания являются:
- потеря веса при нормальном аппетите;
- увеличение массы тела;
- проблемы со зрением;
- сбои в менструальном цикле.
Такие признаки могут иметь различные гормональные нарушения, которые являются причинами формирования фиброаденомы.
Что касается листовидной формы патологии, она имеет более выраженные признаки:
- размеры молочной железы увеличиваются;
- меняется форма груди;
- возможны болевые ощущения, которые усиливаются перед началом менструации.
Причины возникновения
Как уже говорилось, причины формирования фиброаденомы связаны с нарушением гормонального фона женщины.
Также спровоцировать заболевание могут следующие факторы:
- частые аборты;
- прием оральных контрацептивов;
- отсутствие беременностей и родов у женщины репродуктивного периода;
- патологии щитовидной железы, яичников или нарушения в работе гипофиза.
В группе риска женщины от 14 до 30 лет.
В чем опасность новообразований?
Сама по себе фиброаденома не опасна для здоровья и жизни женщины. Однако, это касается не всех ее форм.
Кроме того, активный рост новообразования может приводить к увеличению размеров грудной железы, что, в свою очередь, спровоцирует:
- увеличение размера грудной железы и ее асимметрию. Такое явление накладывает негативный отпечаток на психологическое состояние женщины, поэтому требует хирургической коррекции;
- возникновение болевых симптомов в грудине. Крупные новообразования могут давить на нервные окончания, что приведет к боли и дискомфортным ощущениям;
- ухудшение состояния молочных желез. Пережимая кровеносные и лимфатические сосуды, фиброаденома может способствовать нарушение питания тканей молочных желез, что негативно отразится на здоровье груди.
Однако самой большой опасностью фиброаденомы является ее возможное перерождение в онкологию.
К счастью, такое случается нечасто, но полностью сбрасывать со счетов эту возможность нельзя. Чаще всего малигнизируется листовидная форма патологии, поэтому такую фиброаденому удаляют сразу же после диагностики, даже если ее размеры небольшие.
Опасность фиброаденомы во время беременности заключается в том, что опухоль может начать быстро расти.
Известно, что во время вынашивания малыша в организме женщины происходят существенные гормональные перестройки, и гормональный баланс нарушается. Это дает толчок для роста новообразования, а также может спровоцировать трансформацию в злокачественный процесс.

Маммологи рекомендуют планировать беременность и проходить тщательное обследование, чтобы удалить новообразование до наступления зачатия.
Даже при условии хирургического удаления фиброаденомы исключать повторное появление заболевания нельзя. Особенно часто возникают рецидивы, если факторы, которые провоцируют заболевание, не устраняются. Поэтому очень важно не только удалять новообразование, но и лечить недуги, которые спровоцировали гормональный дисбаланс.
Отсутствие правильного лечения фиброаденомы может привести к серьезным осложнениям. Коварство заболевания кроется в отсутствии клинической картины недуга, в результате чего опухоль диагностируется поздно и становится причиной онкологических процессов в железе.
Несмотря на свою доброкачественность, фиброаденома может переродиться в злокачественную опухоль, которая несет серьезную угрозу не только для здоровья, но и для жизни женщины.
Чтобы не допустить развития злокачественных процессов, каждая женщина должна хотя бы раз в год проходить профилактические осмотры у маммолога, а также регулярно обследовать грудь самостоятельно.
Может ли фиброаденома перерасти в рак?
В онкологию может трансформироваться листовидная фиброаденома.
В этом случае признаки будут следующими:
- видимая деформация и асимметрия грудной железы;
- эрозия сосков, шелушение;
- кровянистые выделения из сосков;
- покраснение грудной железы в области опухоли;
- формирование подкожного слоя, который напоминает целлюлит;
- наличие болевых ощущений в подмышечной впадине.
Наиболее опасные виды
Самым опасным видом фиброаденомы является листовидная или филлоидная фиброаденома.
Это очень агрессивная и быстро пролиферирующая форма, которая характеризуется очень крупным размерами опухоли. В некоторых случаях диаметр новообразования может достигать 20 см.
Чаще всего листовидная фиброаденома диагностируется в предклимактерическом периоде и в период менопаузы.
Методы лечения
Операция по удалению фиброаденомы – это единственный способ полностью избавиться от патологии. Однако в некоторых случаях врачи выбирают наблюдательную тактику или рекомендуют гормональное лечение.
Если же опухоль достигает 2 см в диаметре, встает вопрос о хирургическом вмешательстве.
Без операции можно замедлить рост опухоли, что делает возможным отложить операционное вмешательство на более поздний срок.
Для этого женщине назначаются следующие группы медикаментозных средств:
- синтетические гормоны;
- витаминные комплексы;
- при необходимости противовоспалительные средства;
- антиэстрогены;
- фитопрепараты;
- оральные контрацептивы;
- гестагены.
Если в течение полугода такое лечение не приводит к положительным результатам, его отменяют и назначают хирургическое вмешательство.
Существует два основных хирургических способа удаления фиброаденомы:
- энуклеация – удаление непосредственно самой опухоли, без затрагивания окружающих тканей;
- резекция – секторальная или полная – в этом случае новообразование удаляется с частью тканей груди или грудная железа удаляется полностью. Чаще всего проводится секторальная резекция, к радикальным методам прибегают при развитии онкологических процессов.
Что касается других способов удаления опухли, они следующие:
- удаление лазером – удаление проводится без наркоза, после лечения шрамов на коже не остается;
- удаления при помощи радиочастот – в молочной железе делается крошечный надрез, куда вводится радионож и опухоль подвергается удалению;
- криоабляция – замораживание опухоли жидким азотом. Это самая популярная процедура по удалению фиброаденомы молочной железы.
Заключение и выводы
Несмотря на свою доброкачественность, фиброаденома – это всегда потенциальная угроза. И, даже если врач не настаивает на операционном вмешательстве, это совершенно не означает, что патологию лечить не обязательно.

В некоторых случаях отложить операцию можно, но при этом необходимо устранять заболевания, которые привели к нарушению гормонального уровня. Если же диагностирована листовидная форма патологии, то медлить с ее удалением категорически не рекомендуется, поскольку имеется риск того, что из нее разовьется злокачественная опухоль.
Что касается профилактики, то каких-то специфических рекомендаций нет, основным профилактическим средством является регулярное самообследование и ежегодное посещение маммолога.
В видео рассказывается, в чем опасность фиброаденомы и может ли данная патология перерасти в рак:
Фиброаденома или рак молочной железы как отличить
Фиброаденома — опухоль молочной железы, носящая доброкачественный характер на ранних стадиях развития и трактуется медицинскими специалистами, как узловая мастопатия.
Фиброаденома развивается из железистой ткани молочной железы и находится в её верхней части.
Имеет чёткие и ровные контуры, засчёт чего по форме, уплотнению груди и рядом других факторов можно определить развивающуюся опухоль.
Опухоль возможно распознать самостоятельно, так как она имеет форму шарика и свойство перекатываться при пальпации, в отличие от злокачественных новообразований. Такой фактор обусловлен отсутствием прикрепления опухоли к кожному покрову.
Фиброаденома — это доброкачественное образование, которому подвержены как девушки в молодом возрасте с 18 лет, так и взрослые женщины до 45 лет. В большинстве случаев лечение не обходится без хирургического вмешательства с частичным удалением молочной железы. Однако по мере увеличения возраста опухоль часто обызвествляется, что дает возможность с точностью определить её наличие.
По мере роста фиброаденомы могут увеличиваться в размерах в основном диаметром от 3-10 миллиметров, а в более поздних стадиях разрастаться до 15 мм и даже нескольких сантиметров.
Различать фиброаденому и рак принято по комплексу симптомов и визуальных изменений.
Основные отличия фиброаденомы от раковой опухоли
Одним из основных признаков фиброаденомы, который отличает её от злокачественного новообразования, является возможность смещаться внутри молочной железы. Однако, отличие фиброаденомы от рака включает в себя ряд и других характеристик:
- Длительное время размеры опухоли не изменяются, независимо от первоначального размера, когда она была диагностирована. Однако, она может увеличиваться по завершении менструального цикла и при беременности.
- Полное отсутствие болезненных ощущений.
- Симптомы не прогрессируют и не усугубляют состояние пациентки.
- В случае нахождения опухоли рядом с соском могут наблюдаться язвочки на ореоле, в редких ситуациях могут появиться прозрачные жидкие выделения из сосков, а симптомы сопровождаются болью при пальпации проблемной зоны.
- Лимфатический узелок при доброкачественной опухоли не увеличивается.
- Наблюдается уплотнение груди, особенно перед месячными, обусловленное эндокринной патологией и чрезмерной выработкой эстрогена.
- Средняя подвижность опухоли под кожным покровом.
- Не рассасывается с течением времени.
Пальпация, УЗИ и маммография не позволяют выявить фиброаденому, пока опухоль находится в состоянии раннего развития и её размеры незначительны. Но любой из симптомов является серьёзной причиной для обследования у врача.
Отличать онкологию от доброкачественного образования представляется возможным для врача-онколога или маммолога.
Только специалист может точно диагностировать заболевание, спрогнозировать дальнейшее развитие и назначить лечение.
Характерные особенности доброкачественных опухолей и фиброаденомы
Доброкачественная опухоль, как правило, не доставляет пациентке существенный дискомфорт. Но при медицинском обследовании часто можно зафиксировать жалобы на тяжесть в груди и ощущение давления на грудину от инородной субстанции.
https://youtube.com/watch?v=FuWas8yCfx0
Фиброаденома не имеет ярко выраженных симптомов и в большинстве случаев не увеличивается после её окончательного формирования, ввиду отсутствия дальнейшей деформации и увеличения лимфатического узла.
Размер опухоли зависит от индивидуальных особенностей организма пациентки и причин появления. Может становиться массивнее и вместе с этим начнут проявляться нежелательные симптомы.
Дальнейшее увеличение опухоли будет свидетельствовать о том, что фиброаденома начинает перерождаться в онкологическое заболевание.
В корне отличаться от злокачественного новообразования фиброаденома может своей эластичностью, чёткими и ровными контурами и границами, поскольку не соединяется с кожей.
На ранней стадии развития опухоль может быть практически незаметна, не выявляется во время УЗИ и маммограмм, а обнаруживается случайно во время пальпации или медицинского осмотра.
Точно определить заболевание представляется возможным при наличии существенного размера лимфатического узелка.
Он имеет плотную и округлую структуру, поэтому визуально распознаётся, как видимый бугорок под кожным покровом. Также посредством маммографии.
Молочные железы приобретают плотную консистенцию, поскольку деформация лимфоузла объясняется, как эндокринная патология. Организм вырабатывает чрезмерное количество гормона эстрогена, отвечающего за регулярный менструальный цикл и лактацию.
Характерные особенности злокачественной опухоли молочной железы
Если фиброаденома перерастает в злокачественное образование, то первым признаком будет существенное уплотнение груди и разрастание опухоли с течением времени.
Данные симптомы сопровождаются в основном болевыми ощущениями, из-за чего у пациентов и врачей может складываться неверное предположение о том, что в этом случае представлены такие болезни, как мастит, мастопатия или фиброаденома в запущенной стадии. Тогда принято выявлять онкологию по следующим факторам:
- При онкологии наблюдается видимая асимметрия. Ровные контуры, как в случае с фиброаденомой, сменяются небрежными деформациями.
- Появляются жидкие прозрачные или кровянистые выделения.
- Шелушение, покраснение и эрозия сосков.
- Образуется подкожный слой, напоминающий целлюлит.
- могут возникать болевые ощущения в подмышечных впадинах, в зависимости от того, на какой груди развивается патология.
Ещё одним отличительным признаком злокачественного образования является отсутствие возможности смещаться при прощупывании и доставлять пациентке болевые ощущения. Опухоль в таком случае изнутри прикрепляется к коже, из-за чего в конечном счёте возможно её лечить будет представляться возможным лишь посредством хирургического удаления.
При наличии симптомов необходимо обращаться к онкологу. Только специалист сможет с точностью выявить злокачественное образование и назначить должное лечение.
Перерождение в рак — реально?
Перерождение в раковую опухоль может осуществляться из фиброаденомы либо в случае, если она имела листовидную форму, либо при отсутствии своевременного лечения. В других ситуациях образование просто не успевает перерасти в злокачественную.
Промежуточной стадией между доброкачественным и злокачественным образованием является филлоидная фиброаденома или иначе её называют листовидной формой фиброаденомы. Встречается в 10 процентах случаев из 100 и может переходить в онкологическое заболевание.
Листовидный тип новообразования считается самой неблагоприятной формой болезни, так как характеризуется стремительным ростом узелка и имеет полициклические контуры. Представляет собой скопление атипичных клеток и часто обнаруживается во время гистологии в процессе проведения операции по удалению фиброаденомы.
В случаях, когда фиброаденома начала перерастать в рак, существенно ухудшается состояние пациентки и наблюдаются следующие симптомы:
- Выделение мутной или кровянистой жидкости из соска.
- Изменение цвета кожи на месте развития патологии.
- Появление трещин и язвочек на ореоле.
Симптомы при наличии раковой опухоли по мере её роста и развития могут начать оказываться слишком болезненными, поэтому необходимо обращаться к врачу, не допуская усугубление состояния болезни.
Фиброаденома и беременность
Само по себе развитие фиброаденомы не влияет на рост плода, однако оказывает воздействие на гормональный фон организма женщины, что может спровоцировать нежелательные последствия.
Медицинские специалисты допускают хирургическое удаление опухоли после третьего месяца беременности, если случай запущенный или близкий к нему. В случае с доброкачественной опухолью, то операция нежелательна, поскольку оказывает стрессовое влияние на организм матери и, соответственно, плода.
Операбельное удаление опухоли можно провести после родов и желательно после того, как прекращается кормление грудью.

Пациентки с фиброаденомой в любых её проявлениях должны проходить обследование у врача-онколога или маммолога, так как в некоторых случаях предсказать характер развития опухоли ввиду индивидуальных особенностей бывает затруднительно. Поэтому лечение народными средствами врачами не рекомендуется, чаще приветствуется хирургическое или медикаментозной лечение.
На многих медицинских сайтах, которые представляют различные медицинские клиники, представлено большое количество отзывов пациенток, вылечившихся или находящихся на стадии выздоровления от фиброаденомы.
Также на сайтах есть фото и видео материалы, показывающие стадии развития опухоли, какой она может быть, как происходит лечение.
Они рассказывают о множестве особенностей различных заболеваний, в частности фиброаденомы.
Фиброаденома молочной железы: рак или не рак?
Фиброаденомы представляют собой доброкачественные опухоли молочной железы, которые чаще всего встречаются у женщин в возрасте от 15 до 35 лет. Это наиболее распространенные новообразования в молочных железах у молодых женщин.
Лечение может включать наблюдение за фиброаденомой для выявления изменений в размерах или ощущениях, биопсию для оценки уплотнения, гормональную терапию или операцию по удалению новообразования.
Симптомы
Фиброаденомы — твердые и безболезненные уплотнения молочной железы, которые обычно имеют четкие и гладкие контуры. При ощупывании образования могут легко перемещаться. В одной или обеих молочных железах могут возникнуть одна или несколько фиброаденом.
У здоровых женщин нормальная ткань молочной железы при прощупывании часто кажется неоднородной (комковатой), но это не значит, что образовалась фиброаденома. На прием к маммологу необходимо записаться, если:
- обнаружено новое уплотнение в груди;
- происходят необычные изменения в молочной железе.
Фиброаденомы различаются по своему размеру, и могут со временем увеличиваться или уменьшаться.
Причины возникновения фиброаденом
Причина образования фиброаденом полностью неизвестна, но доказано, что они могут быть связаны со скачками уровней репродуктивных гормонов.
Фиброаденомы возникают чаще в течение репродуктивного возраста женщины, могут увеличиваться во время беременности или при использовании гормональной терапии. Новообразования часто уменьшаются после менопаузы, когда уровни гормонов в женском организме снижаются.
Типы фиброаденом: опасные и неопасные новообразования
Помимо простых фиброаденом, существуют:
- Сложная фиброаденома. Ее отличает чрезмерный размер клеток (гиперплазия), которые могут быстро расти. Подтверждается диагноз сложной фиброаденомы после обследования ткани новообразования, взятой методом биопсии.
- Ювенильная фиброаденома. Это наиболее распространенный тип уплотнений молочной железы, встречающийся у девочек и подростков в возрасте от 10 до 18 лет. Эти фиброаденомы могут быть большими, но со временем уменьшаются. После нормализации менструального цикла, в большинстве случаев новообразования полностью исчезают.
- Гигантская фиброаденома. Может увеличиваться в размере до 5 сантиметров. Требует хирургического вмешательства, так как разросшееся новообразование усиливает давление на ткани молочной железы.
- Филлоидная фиброаденома. Обычно является доброкачественной, но некоторые филлоидные опухоли могут стать злокачественными. При подтверждении негативного диагноза, требуется срочное хирургическое удаление.
Большинство фиброаденом не влияют на риск развития рака молочной железы.
Диагностика фиброаденом
Фиброаденома при пальпации может быть твердой, гладкой, эластичной и иметь четко выраженную форму. Обычно образование безболезненно и легко перемещается под кожей при осмотре.

Во время клинического осмотра груди проверяются обе груди на наличие уплотнений и других проблем. Если присутствует уплотнение, которое можно почувствовать руками, врач назначит тесты или процедуры, в зависимости от возраста и характеристик уплотнения.
Некоторые фиброаденомы слишком малы, поэтому их можно обнаружить только при помощи диагностических мероприятий. Поэтому женщинам рекомендуется регулярно проходить УЗИ молочных желез в профилактических целях.
Тесты для оценки опухоли груди
- УЗИ молочных желез. Первичная диагностика, выявляющая любые уплотнения. УЗИ не может точно определить, какая именно опухоль развивается, поэтому при обнаружении уплотнений нужно пройти дополнительную диагностику. Для женщин моложе 30 лет, у которых есть уплотнение, всегда сначала назначается УЗИ молочной железы, так как некоторые методики в таком возрасте могут быть опасны.
- Диагностическая маммография. Маммография использует рентгеновское излучение для получения изображения (маммограммы) подозрительных участков ткани молочной железы. Если маммография показывает, что присутствует опухоль в груди или другая аномалия, для дальнейшей оценки опухоли назначается биопсия..
Процедуры по оценке уплотнений молочной железы
- Тонкоигольная аспирационная биопсия. Содержимое грудного уплотнения извлекается через тонкую иглу. Если выходит жидкость, уплотнение, скорее всего, является кистой.
- Толстоигольная биопсия. Во время этой процедуры, тобы точно направлять иглу в нужное место, хирург использует ультразвук. Проводится такая биопсия под местной анестезией.
Образцы ткани из уплотнения направляются в лабораторию для анализа.
Лечение фиброаденом
Во многих случаях фиброаденомы не требуют хирургического лечения. В этом случае маммолог наблюдает за развитием опухоли и, если причина — нарушение гормонального фона, подбирает гормонотерапию.
Отказ от операции возможен, если:
- хирургия может исказить форму и текстуру груди;
- фиброаденома уменьшается;
- в молочной железе наблюдаются множественные фиброаденомы, которые не растут.
Если женщина решила не делать операцию, важно постоянно следить за поведением фиброаденомы, посещая маммолога по графику. Каждый раз нужно будет проходить УЗИ молочных желез, чтобы вовремя обнаружить изменения внешнего вида или размера опухоли.
Когда нужно удалять фиброаденому
Врач назначит операцию, если при клиническом осмотре или биопсии фиброаденома увеличивается в размере.
Современные процедуры по удалению фиброаденомы включают в себя:
- Лампэктомию или эксцизионную биопсию. Хирург удаляет ткани молочной железы и отправляет их в лабораторию для проверки на рак.
- Криоабляцию. Наименее агрессивная процедура, при которой опухоль замораживается внутри тканей и опухолевые клетки погибают. Большинство женщин возвращается к обычному образу жизни уже на следующий день.
После удаления фиброаденомы возможно развитие одной или нескольких новых фиброаденом. Уплотнения в груди должны быть оценены с помощью маммографии, ультразвука и, возможно, биопсии, чтобы определить, является ли опухоль фиброаденомой или начался злокачественный процесс.
ссылкой:
Фиброаденома молочной железы — как отличить от рака?
Фиброаденома молочной железы – распространенное заболевание молочных желез, которое чаще всего диагностируется у женщин в возрасте 15-30 лет или в период менопаузы.
Это доброкачественное новообразование, развивающееся в результате гормональных нарушений в женском организме. Заболевание требует тщательного обследования, точной диагностики и хирургического лечения.
В рамках болезней по МКБ-10 она не числится, то есть специалисты относят ее к доброкачественным, или нераковым образованиям, но при отсутствии адекватного лечения может привести к плачевным последствиям.
Что это такое?
Фиброаденома (фиброма, аденофиброма, англ. fibroadenoma) характеризуется появлением уплотнений, которые состоят из железистых и соединительных тканей. Они имеют разные размеры и чаще всего обнаруживаются с одной стороны в верхней части груди (ЛМЖ или ПМЖ), реже новообразования появляются в обеих молочных железах.

Фиброаденомы обычно единичные, но в некоторых случаях образовываются множественные опухоли, которые локализуются в млечных протоках или за их пределами.
Если в груди наблюдаются многочисленные кистозные образования, врачи говорят о развитии фиброаденоматоза.
Фиброаденоматоз представляет собой процесс разрастания фиброзной и железистой ткани, поэтому это заболевание не стоит путать с фиброаденомой.
От чего образуется?
Точные причины, из-за которых развивается фиброаденопатия, на сегодняшний день неизвестны. Специалисты утверждают, что усиленное действие женских половых гормонов провоцирует очаговый рост железистой и соединительной ткани.
Факторы, которые могут спровоцировать развитие заболевания:
- Генетическая предрасположенность.
- Гормональные нарушения при дисфункции щитовидной железы, сахарном диабете, ожирении.
- Факторы, связанные с репродуктивной системой (поздние или слишком ранние роды, отсутствие лактации, частые нарушения цикла, аборты);
- Воспалительные болезни органов малого таза, печени, желчного пузыря.
- Неконтролируемый прием гормональных контрацептивов.
- Стрессы, курение, злоупотребление алкоголем.
Классификация
Существуют разные формы и виды фиброаденом, которые классифицируются в зависимости от структуры, формы и других особенностей новообразований.
Обычная аденома подразделяется на 3 типа:
- Периканаликулярная опухоль отличается однородным строением, плотной консистенцией и четкими границами. Причина развития аденомы – деформация соединительных тканей возле железистых протоков. Новообразование имеет свойство подвергаться дистрофическим изменениям, из-за чего в нем образуются кальцинаты.
- Интраканаликулярная аденома имеет дольчатое строение, размытые контуры и неоднородную консистенцию. Механизм развития – врастание соединительной ткани в молочный проток.
- Смешанная форма, основные характеристики – дольчатая опухоль с неоднородной структурой и наличием признаков как периканаликулярной, так и интраканаликулярной аденомы.
Реже встречается листовидная (филлоидная) аденома, которая вырастает из внутрипротоковой фиброаденомы. Этот тип новообразования наиболее опасен, так как характеризуется атипией клеток, и именно из него может развиться злокачественная опухоль.
Фиброзная аденома может иметь 2 формы: незрелая (диагностируется в подростковом возрасте) и зрелая (обычно выявляется у женщин после 20 лет):
- В первом случае у новообразования отсутствует внешняя капсула, благодаря чему ее можно вылечить без хирургического вмешательства.
- Зрелая форма имеет внешнюю оболочку, которая делает опухоль невосприимчивой к консервативному лечению.
Как отличить от рака?
Основное отличие от рака в данном случае заключается в том, что фиброаденома, фибробластома, фиброангиолипома и другие доброкачественные опухоли имеют четко очерченные границы и двигается под кожей, тогда как раковые образования тесно связаны с окружающими тканями и практически не перемещаются.
Растут они медленно и не дают дополнительных симптомов – если же, помимо новообразования под кожей, у женщины наблюдается втягивание соска и выделения из него, покраснение кожных покровов, увеличение регионарных лимфоузлов, опухоль может быть злокачественной.
Диагностика
Самый точный способ отличить фиброму от онкологического заболевания – обратиться к врачу и пройти соответствующие исследования.
Для постановки диагноза используют методы:
- Внешний осмотр (пальпация). Позволяет прощупать образования, если они имеют достаточно большие размеры.
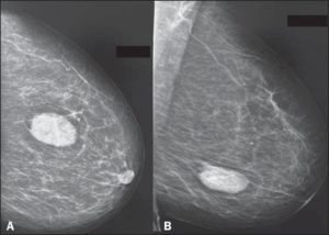
- УЗИ. Данный метод считается одним из наиболее информативных при постановке диагноза, так как на УЗИ можно увидеть даже самые мелкие образования. Эхопризнаки опухолей следующие: четкие ровные контуры, овальная или дольчатая форма, однородная структура.
- Маммография. На маммографии видна не только сама фиброаденома, но и сопутствующий ей явления – например, кальциноз.
- Пункция (биопсия, гистология). Данные исследование определяет тип опухоли, атипичные клетки и степень малигнизации (злокачественности).
Дифференциальная диагностика проводится с такими заболеваниями, как диффузная мастопатия (диффузный фиброаденоматоз молочных желез), фиброаденоз, аденофиброз и т.д.
Чем опасна?
Фиброаденома является доброкачественной опухолью, но относиться к нему легкомысленно не стоит. При фиброаденоме возможна серьезная деформация молочной железы – в некоторых случаях она характеризуется быстрым ростом и занимает практически всю ткань.

Спровоцировать рост новообразования могут любые факторы – в частности, беременность и лактация.
Самый опасный тип опухоли – листовая фиброаденома, которая грозит развитием онкологического заболевания (перерождается в рак примерно в 10% случаев).
Как лечить?
Единственный эффективный метод лечения фиброаденомы – хирургическое удаление новообразований (консервативное лечение неэффективно и нецелесообразно).
Исключение составляют опухоли размером не более 1 см при отсутствии подозрения на онкологию – больные с таким диагнозом должны находиться под строгим наблюдением врача и проходить исследования дважды в год.
Существует 2 способа удаления фиброаденом:
- Вылущивание опухоли используется при небольших образованиях, в ходе операции удаляются только ткани образования.
- Секторальная резекция подразумевает удаление самой опухоли и части молочной железы.
Основной вопрос, который интересует женщин с фиброаденомой – может ли рассосаться новообразование после приема средств альтернативной медицины или в каких-либо других случаях?
В интернете можно найти много историй о том, как фиброаденома рассосалась самостоятельно, но большинство из них являются обычными слухами.
Опухоли могут уменьшиться в размерах или исчезнуть вообще только тогда, когда они не имеют четко сформированной капсулы (незрелые фиброаденомы), причем происходит это крайне редко.
Опытные врачи не рекомендуют больным с подобным диагнозом прибегать к помощи народных средств или гомеопатии – такой подход может привести к быстрому разрастанию опухоли или ее перерождению в рак.
Где лечить?
При выборе клиники для прохождения лечения заболевания лучше предпочесть специализированные мед. учреждения. При этом, в Европе и США оказываются услуги примерно одного качества, что и в России и Азии, только цена за их будет намного выше.
Поэтому и особого смысла ехать на лечение фиброаденомы за границу нет.
Профилактика
Профилактика фиброаденомы заключается в своевременном лечение воспалительных и гинекологических заболеваний, защите от нежелательной беременности и половых инфекций.
Всем женщинам необходимо раз в год (после 40 лет раз в полгода) проходить профилактическое обследование у гинеколога и маммолога, а также контролировать уровень гормонов в организме.
Отзывы пациенток
Ксения, Минск: После планового похода к гинекологу у меня обнаружили целых 4 фиброаденомы. Одну крупную пришлось удалить, за остальными я постоянно наблюдаю, веду здоровый образ жизни и стараюсь не допустить их увеличения.
Инна, Краснодар: Удаление фиброаденомы – нестрашная и несложная операция, которая полностью избавила меня от проблемы. Через несколько лет о пережитых страхах напоминает только небольшой, практически незаметный шрам.



