Ребенок проглотил монету, что делать? Когда копилка – это плохо
В жизни ребенка происходит столько интересного, что только успевай следить. И долгое время в основном мир он познает через осязание. Ну и, соответственно, все тянет в рот, стремясь попробовать на вкус.
Думаем, что в арсенале каждого из нас есть история о том, как он или кто-то из близких стал маленьким ходячим деньгохранилищем. Родители волнуются, бабушка хватается за сердце и только малыш спокоен: был кружок, ам — и нету его.
И чего все расстраиваются?
статьи
1. Симптомы2. Чего не слудует делать3. Как помочь?4. Меры предосторожности5. Что нужно запомнитьНа самом деле, все было бы смешно, если бы не было так грустно. Занимаясь домашними делами, отвлекаясь на бытовую рутину, взрослые могут не проследить и не убрать из поля зрения маленького исследователя интересные мелкие предметы.
Это могут быть и монеты, и батарейки, и пуговицы, и бусины и мелкие детали от игрушек. Любой из перечисленных предметов, будучи проглоченным, вызывает панику и множество смешанных эмоций у родителей.
В этой статье мы подскажем вам, как вести себя в этой не самой приятной ситуации, когда ребенок проглотил монету и что делать.
Симптомы
Каковы симптомы, если ребенок проглотил монетку?Попав в область пищевода, предмет вызовет беспокойство и плаксивость. Причиняемый дискомфорт заставит отказаться от еды и срыгнуть предложенную пищу. Малыш начнет икать и будет течь слюна.
Возможен кашель и одышка, если крупная монета будет давить на дыхательные пути, проходя пищевод. Пищевод ребенка – очень ранимая система. В нем находятся группы мышц, сокращение которых приведет к спазму и последующим осложнениям при раздражении.
Обращайте внимание, когда при попытке проглотить что-либо дитя пожалуется на боль, показывая при этом в область груди.
Обязательно в кратчайшие сроки обратитесь к врачу.
Возможна перфорация пищевода, сопровождаемая кровотечением, и прочие крайне неприятные для здоровья последствия вплоть до летального исхода.
Чего не следует делать
Понимаем и разделяем ваше желание оперативно отреагировать и решить проблему.
Но, во-первых, запомним, что делать запрещается:
- Не пользуйтесь клизмой или слабительным для организации быстрого стула у ребенка, возможно травмирование кишечника краями проглоченного предмета или даже своими руками созданная непроходимость.
- Не поите и не кормите малыша, чтобы протолкнуть предмет дальше,
- Не пытайтесь вытряхнуть монетку или мелкую деталь из ребенка.
Как помочь?
Если возможно, то постарайтесь установить монету какого размера проглотило чадо. Это повлияет на степень вашего беспокойства — проглоченная монетка в 5 или 10 копеек вызовет меньше волнения, чем 2 рубля или особенно 5 или 10 рублей.
Обязательно удостоверьтесь, что монетка не застряла в дыхательных путях. В принципе, это видно сразу — если дыхание не нарушено, малыш активен и продолжает свою обычную жизнь, то все в порядке.
Здесь можно посоветовать подождать, чтобы денежка вышла из тела натуральным путем — через горшок.
И во время ожидания будьте спокойны, кормите малыша продуктами богатыми клетчаткой (каши, фрукты и овощи, добавление отрубей в пищу), чтобы естественным образом стимулировать пищеварительный процесс. И откажитесь от слабительных — принудительная стимуляция прохождения мелкого предмета через кишечник может спровоцировать множество проблем.
Следите за тем, чтобы не появилось тревожных признаков. Если ребенок проглотил монету, к таким симптомам можно отнести:
- болит живот и боль не утихает, а только усиливается.
- малыша тошнит и рвет.
- в стуле ребенка появилась кровь, сходить «по-большому» ему просто больно.
Если вы заметили у своего ребенка такое – сразу обращайтесь к врачу!
Как действовать если ребенок проглотил монетку в целом понятно. Но вопрос в том, что не всегда понятно, что именно проглотил малыш.
Если есть сомнения, безусловно, нужно обратиться к специалисту.
Монетка или шарик из металла
Находясь в кишечнике ребенка, могут окислиться и вызвать воспаление и аллергическую реакцию. Если в течение примерно трех дней вы не обнаружили в кале малыша искомый предмет — срочно обратитесь к врачу, даже если самочувствие ребенка на первый взгляд нормальное и не вызывает опасений.
Очень опасны батарейки-таблетки
Практически все движущиеся и озвученные игрушки сделаны с их помощью. В их состав входит электролит и широко известна их способность врастать в ткани, разрушая и разъедая их. Если есть подозрения на употребление именно этого предмета — не медлите и не рассчитывайте на то, что обойдетесь проверкой выходящих из ребенка фекалий. Немедленно к врачу!!
Острые предметы различного рода
Начиная от иголок и заканчивая деталями игрушек и маленькими обломками пластмассы.
Обратите внимание на конструкторы из магнитных шариков
Казалось бы, всего парочка проглоченных мелких кругляшей должна спокойно пройти к выходу не вызвав проблем. В корне неверное мнение! Эти два шарика, притянувшись друг к другу в кишечнике провоцируют его прободение, сильное кровотечение и речь идет уже о спасении жизни и счет на минуты.
Не советуем дарить подобные игрушки ребенку лет до семи, а если у вашего старшего есть такая – соберите в коробку и уберите в шкаф подальше, подобрав достойную альтернативу для брата или сестрыСкорее всего, врач для определения местонахождения металлического предмета посоветует рентген, для понимания тактики дальнейших действий.В настоящее время оптимальная тактика такова, что если есть жалобы и предмет дает ощутимый дискомфорт для психики и здоровья — нужно немедленное извлечение.Основываясь на данных рентгенографии и видя, что монетка вышла из пищевода, родителям остается просто ждать ее выхода с калом. Безусловно, в этот период важно следить за самочувствием ребенка: повысилась температура, не хочет есть, ему больно — все вместе повод для повторного визита к врачу и еще одного исследования.
Не всегда в первые сутки есть возможность попасть к врачу — отсрочка в 12-24 часов, конечно, если ребенок ни на что не жалуется, видится достаточно безопасной.
Что нужно запомнить
Резюмируя можно сказать, что мы понимаем ваше вполне обоснованное беспокойство. Это как раз та ситуация, когда лучше сделать, чем корить себя, что выжидал. Мы имеем в виду базовое в подобном случае исследование — рентген.
Понимаем, что педиатры и рентгенологи видели на своем веку много таких случаев и у большинства из них есть свой мини-музей предметов, извлеченных из детских пищеводов, ушей и носов. Но лучше быть спокойными и держать все под контролем. Вы имеете право на уверенность и знание.
- Получайте самые свежие мнения на почту Получить
Ребенок проглотил монету — как правильно поступить
Любопытный малыш, активно познающий мир, может проглотить какой-либо предмет небольших размеров за несколько секунд. Родители в этот момент, даже находясь рядом, упускают из виду ситуацию, которая угрожает жизни юного члена семьи.
Если ребенок проглотил монету, что делать с подобной ситуацией? Прежде всего, взрослые люди должны знать основные признаки присутствия мелких предметов в организме малыша.
От их осведомленности и внимательности зависит безопасность и здоровье сына или дочери.
Основные признаки
Наиболее удачным сценарием описываемой проблемы станет выход проглоченного предмета естественным путем во время дефекации. Но часто случается так, что круглая монета попадает в дыхательные пути. В таком случае бездействие взрослых людей влечет большую опасность, их поступки должны быть оперативными и последовательными.

Когда инородное тело находится в органах дыхания, у пострадавшего присутствуют определенные симптомы. Это характерный хрип, после которого кожа на лице становится синюшной. Данный фактор является опасным, поскольку у малыша может случиться асфиксия. И чем младше возраст пострадавшего, тем меньше времени у взрослых для решения проблемы.
Ребёнок проглотил монету, что при этом делать. Когда крупный железный предмет попадает в желудочно-кишечный тракт, у малыша ухудшается настроение и общее самочувствие, он становится капризным, вялым. Опасно, когда описываемая ситуация случается с пациентом в возрасте до 1 года, он не может что-либо сказать, разъяснить родителям, которые самостоятельно должны догадаться о случившемся.
Когда ребенок проглотил копейку, нарушающую пассаж содержимого ЖКТ, дают о себе знать следующие характерные симптомы:
- Ноющая боль в животе, усиливающаяся и нарастающая со временем.
- Рвота с тошнотой без каких-либо причин.
- Болезненные ощущения в области грудной клетки.
- Кровянистая примесь в каловых массах.
К косвенным признакам можно отнести следующие:
- Малыш ведет себя плаксиво, неспокойно.
- Кашель и одышка — последствия надавливания застрявшей в пищеводе монеты на дыхательные пути.
- Регулярная икота с сильным слюноотделением, полный или частичный отказ от пищи.
В некоторых случаях дети, заглотнувшие монету, ведут себя нормально, не жалуются на ухудшение самочувствия, их поведение остается стандартным. Такая ситуация не должна остаться без внимания со стороны родителей.
Необходимо проследить, чтобы инородный железный предмет вышел из организма малыша и не навредил его здоровью в будущем.
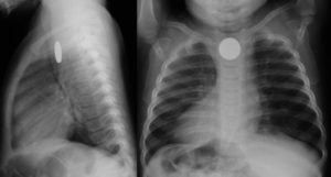
Монета на обзорной рентгенографии ребенка
Пищевод является чувствительной частью организма человека.
Он полностью состоит из мышечных волокон, которые при обнаружении подозрительных предметов, материалов (а железо имеет свойство окисляться) сразу же реагируют спазмами.
Более того, твердое железное тело может повредить, ранить стенки пищевода, вызвав при этом внутреннее кровотечение, что обернется нежелательными последствиями, угрожающими жизни.
Чего не стоит предпринимать
Что делать, если ваш ребенок проглотил монету? Молодые родители часто не могут ответить на данный вопрос. Однако существует перечень действий, прибегать к которым строго запрещено, т.к. они могут привести к экстренной и опасной ситуации.
Визуально сложно определить, где располагается проглоченный малышом металлический предмет.
Поэтому запрещено ставить в таких ситуациях клизму. Активная стимуляция работы кишечника часто приводит к его непроходимости, сильным повреждениям, ранениям.
Нельзя насильно заставлять ребенка кушать. Таким способом многие взрослые пытаются скорее продвинуть инородный предмет по ЖКТ, что небезопасно. Не стоит трясти малыша вниз головой, пользы от таких действий мало, а испуг пострадавшему гарантирован. Крайне нежелательно давать обезболивающие препараты, которые помешают определить точное месторасположение проглоченной монеты.
Действия родителей
Если ребенок проглотил монету, и она, скорее всего, попала в дыхательные пути, незамедлительный вызов скорой помощи – единственный выход из ситуации. Во время ожидания помощи следует действовать следующим образом. Младенца расположить на предплечье так, чтобы его лицо было внизу. Далее следует произвести несколько похлопывающих движений по средней части спины.
Так можно предотвратить удушье проглоченной монетой.
Если пострадавшему ребенку исполнилось 3 года и более, с ним рекомендуется провести спокойную беседу, разъяснить, с какой целью приедут доктора. Уместным станет отвлечение от неприятных ощущений, которые только усиливают беспокойство пострадавшего.
Обычно уже в условиях стационара малышу назначаются такие процедуры, как рентген или эндоскопия ЖКТ, все зависит от результатов предварительного осмотра и возраста пациента. Исследования подобного рода помогут максимально быстро определить, в каком именно месте расположена проглоченная монета.

По завершении процедур доктор определяется с дальнейшей тактикой.
Встречаются сложные случаи, когда при заглатывании крупного предмета требуется хирургическое вмешательство для его извлечения. Если состояние малыша ухудшается, он жалуется на боли, до изъятия или самопроизвольного выхода инородного предмета из организма пациент должен находиться под присмотром медперсонала.
Как помочь
Когда произошла неприятность, необходимо определиться, предмет каких размеров был проглочен.
Так снизится степень беспокойства взрослых. Действительно, монета в 50 копеек скорее выйдет из организма малыша, чем монета номиналом в 5 или 10 рублей. Если ребенок ничем не обеспокоено и при этом подвижно, не стоит паниковать. Это значит, что инородное тело не попало в дыхательные пути и не приведет к удушью.
Если предмет небольших размеров, стоит подождать его выхода естественным путем. При этом рекомендовано введение в рацион ребенка продуктов, содержащих большое количество клетчатки. Это могут быть свежие овощи, фрукты, различные каши, отруби, добавляемые в пищу.
Таким способом стимулируется естественный пищеварительный процесс, способствующий быстрому выходу монеты. В этот период стоит следить за проявлением тревожных признаков, которые станут поводом для незамедлительного вызова бригады скорой помощи.
Малыш может начать жаловаться на боли в животе, ему крайне трудно нормально «сходить» на горшок, т.к. этот процесс также является болезненным.
О мерах безопасности
Если в доме появляется малыш, все взрослые члены семьи должны придерживаться определенных мер безопасности. Мелкие предметы, которые кроха без труда сможет попробовать на вкус, должны храниться в недоступном месте.
Играющийся малыш всегда должен оставаться под присмотром, чтобы в случае опасности можно было оказать первую помощь.
Когда случившаяся ситуация не вызывает подозрительных симптомов, можно подождать 1-2 суток, непрерывно контролируя состояние малыша. Проглоченная монета может и не выйти на протяжении 24 часов, но это не означает, что она застряла в кишечнике. Поэтому процедура по выходу монеты естественным путем может затянуться.
В любом случае стоит оградить юного члена семьи от описываемой ситуации. Максимальные меры предосторожности, бдительность, наблюдение за малышом, регулярное проведение бесед и соответствующее воспитание – те факторы, которые предотвратят опасные для жизни случаи проглатывания монет.
Что делать, если ребенок проглотил монету?
Дети узнают о мире, рассматривая, трогая и пробуя на вкус предметы вокруг себя. Попытка распробовать инородное тело — их способ познания мира.
Проглатывание мелких предметов, таких как кнопки, батарейки или монеты – очень распространенный инцидент. Монетки легко доступны для малышей, их сияющий металлический блеск привлекает маленькие глазки.
Им нравится пробовать все, что попадается под руку, и вот уже монетка отправляется прямо в рот. Читайте, как отучить малыша пробовать на вкус все вокруг.
Детки считают, что все предметы вокруг них могут быть потенциально съедобными. Их мозг выстраивает последовательность действий – коснуться, попробовать, пожевать, проглотить. Даже, если это несъедобно.
Если предмет маленький и помещается в рот, малыш обязательно его попробует, а потом, возможно, проглотит. Почти все родители сталкиваются с тем, что малыши регулярно глотают пуговицы, монеты, песок или крошечные съемные части игрушек.
Ребенок с радостью проглотит посторонний предмет и даже не будет переживать по этому поводу. Родители же в ужасе задают один вопрос: “Что теперь делать?”.
Какие симптомы у малыша, который проглотил монету?
Если ваш ребенок случайно проглотил монетку, нужно внимательно наблюдать за его поведением.
Если проглоченная монета попадет в желудок, есть огромная вероятность, что она пройдет через толстую кишку и выйдет со стулом.
Однако, если монетка попадает в ловушку при проходе в желудок, необходимо будет принимать меры. Если проглоченная монетка застрянет в пищеводе, она может вызвать характерные симптомы:
- У малыша может появиться повышенное слюноотделение;
- Ему может быть трудно глотать, и поэтому он может отказываться от пищи и питья, даже если он голоден;
- Возможна рвота;
- Ребенок жалуется на боли в шее или груди;
- Повышается температура.
Если монетка застрянет в кишечнике и повредит его стенки, могут проявляться различные побочные симптомы, такие как кровь в стуле. Кроме того, может появиться боль в животе и рвота.
Если монетка застрянет, ребенок не сможет нормально глотать. В такой ситуации ребенок будет постоянно кашлять.
Застрявшая монетка может вызвать воспаление и раздражение тканей пищевода, что может привести к дальнейшему разрыву пищевода, потенциально это очень опасно.
Сколько времени монетка может пробыть в организме ребенка?
Не стоит паниковать, если ребенок проглотил монету или другой посторонний предмет. Скорее всего, монетка спокойно пройдет по пищеводу и выйдет со стулом. На это может уйти до двух дней. В это время необходимо внимательно следить за своим ребенком. Стоит немедленно обратиться к врачу, если у наблюдаются следующие симптомы:
- Ребенок не может говорить или плакать, у него затруднено дыхание;
- У малыша повышенное слюноотделение, и не может глотать пищу, пить воду;
- Ваш ребенок кашляет или шумно дышит;
- Он задыхается;
- Он теряет сознание или его непрерывно рвет. Также наблюдается расстройство стула.
Мой ребенок проглотил монетку, и она застряла!
Если монетка попала в желудок, она должна выйти из организма не позднее, чем через 4-5 дня, обычно этот процесс занимает до 2 дней. Монетка, которая застряла, вызовет боль в животе или груди, слюноотделение, проблемы с глотанием, рвоту и лихорадку. В любом из этих случаев как можно раньше доставьте ребенка в больницу и проконсультируйтесь с врачом.
Первая помощь ребенку, который проглотил монетку
Ошибки, которые совершают родители, заметившие, что ребенок проглотил монетку:
- Попытка вызвать рвоту;
- Попытка накормить или напоить ребенка.
Правильное поведение родителей, если ребенок проглотил что-то гладкое и потенциально не ядовитое:
- Проверяйте его стул следующие два-три дня. цель – убедиться, что посторонний предмет вышел, и нет необходимости беспокоиться дальше;
- Кормите ребенка мягкой и волокнистой пищей, например, увеличьте количество бананов в рационе;
- Увеличьте количество жидкости, которую пьет ребенок. При должном количестве жидкости в организме, у малыша не возникнет проблем со стулом.
Извлечение монетки
Если монетка не выходит даже после выполнения всех вышеперечисленных действий и остается в организме более 48 часов, самое время отправиться в больницу, даже если у вашего ребенка нет никаких симптомов. Обратитесь за медицинской помощью. Врач может попросить вас подождать еще немного или предложит лекарства.
Доктор также поможет определить точное положение монеты в вашем ребенке с помощью рентгена, и вы можете быть уверены, что объект, который проглотил ваш ребенок, — это просто монетка и ничего больше.
Однако, если проглоченный предмет не монетка, а что-то острое, что может повредить или проколоть желудочно-кишечный тракт вашего ребенка (ЖКТ), врач может предложить эндоскопию.
Ребенок проглотил монету — что делать (по Комаровскому) и симптомы, последствия если ребенок 2, 4 или 5 лет проглотил монетку
В процессе активного познания мира на определенном этапе своего развития ребенок может проглотить монету разного наминала. Что делать, если ребенок проглотил копейку или 5 и 2 рублевую монету? Когда вызывать скорую помощь? И какие возможны последствия, если ребенок проглотил монетку? Об этом и многом другом вы прочитаете в нашей статье.
Симптомы проглоченной монеты
Симптоматика проглатывания разнообразных инородных предметов не является специфичной и зависит от возраста малыша, размеров и форм объекта, специфики его проникновения в организм. Наибольшую опасность для ребенка представляет непосредственное проникновение монетки в дыхательные пути. Типичные симптомы того, что ребенок проглотил монету:
- Сильный лающий кашель с кратковременными промежутками;
- Посинение кожных покровов на лице;
- Существенное ухудшение дыхания с формированием свистящих шумов в легких;
- Паническое состояние.
При достаточно большом размере монеты, а также её проникновении с перекрытием дыхательных каналов, спустя непродолжительный период времени ребёнок начинает задыхаться и может потерять сознание.
Если монета не попала в дыхательные пути, а прошла через пищевод и желудок, то мгновенных признаков патологического процесса не наблюдается. Однако спустя некоторое время могут проявиться следующие симптомы:
- Нарушение пищеварения;
- Лёгкие или умеренные боли в области желудка;
- Формирование рвоты;
- Появление кровяных сгустков в каловых массах, сильный запор.
Что делать если ребенок проглотил монетку
Немедленная доврачебная помощь нужна ребенку в том случае, если инородный предмет попал в дыхательные пути. Возможная схема мероприятий, если монетку проглотил ребенок до 1 года:
- Откройте ребенку рот и убедитесь, что монету невозможно достать прямым путем с помощью пинцета;
- Уприте живот малыша в предплечье руки, поддерживая спину и подбородок;
- Опустите голову ребёнка под углом 60°, после чего ребром ладони наносите лёгкие удары по спине между лопатками. При отсутствии эффекта после нескольких серий процедур, переходите к следующему пункту;
- Сядьте на стул и уложите ребёнка спиной на свои колени;
- Производите толчки пальцами рук в область грудины ребёнка (умеренной интенсивности). Повторяйте мероприятия в 3-4 подхода.
Что делать, если монетку проглотил ребенок от 2 — 4 лет и старше:
- Станьте сзади ребёнка и обхватите его за талию, взяв руки в замок;
- Плавно нажимайте ладонями на живот ниже пупка;
- Каждые 5 секунд осуществляйте несколько сильных толчков в той же локализации.
Если производимые процедуры не дает эффекта, ребёнок задыхается и теряет сознание, то немедленно вызовите домой бригаду скорой помощи.
Приступите к ручным реанимационным мероприятиям, включающим в себя искусственное дыхание и при необходимости непрямой массаж сердца. Если монета не попала в дыхательные пути, а прошла через горло и пищевод в желудок, то специфических мероприятий оказание первой помощи не предусмотрено.

Необходимо отслеживать состояние ребёнка и при появлении признаков диспепсических расстройств, кишечного кровотечения, иных тревожных симптомов – посетить врача.
Нерекомендуемые действия при оказании помощи
Если ребенок проглотил монету, в первую очередь – старайтесь не паниковать. Неадекватное поведение дополнительно испугает ребёнка, у которого может начаться истерика.
Даже при наличии умеренных признаков патологического процесса, они значительно усилятся по субъективным причинам.
Не кричите на малыша, успокойте его и последовательно проводите необходимые доврачебные действия при необходимости.
Что нельзя делать, если ребенок проглотил монетку:
- Кормить и поить. До выяснения специфики патологического процесса запрещено давать ребёнку есть и пить, в особенности, если есть подозрение на попадание монетки в дыхательные пути.
- Проталкивать инородный предмет. В ряде случаев монета, застрявшая в горле, не перекрывает дыхательные пути, но причиняет сильный дискомфорт малышу. Если монета расположена в непосредственной близости от выхода в ротовую полость, то его можно попытаться достать пинцетом. В противном случае каким-либо образом проталкивать изделие, например, давая употреблять твёрдые продукты, хлеб – строго запрещено.
- Вытряхивать и выбивать монету. Нанесение ударов в проекции прямого расположения монеты, переворачивание ребенка вверх тормашками с попыткой ее вытряхнуть не дает никакого положительного эффекта, однако может усугубить течение патологического процесса.
- Давать слабительное или делать клизму. Если монета успешно прошла горло, пищевод и попала в желудок, то индуцировать процесс ее выведения с помощью слабительного и клизмы не разрешается. Необходимо дождаться естественного процесса дефекации или обратиться к врачу.
Когда необходима срочная медицинская помощь
Если ребенок проглотил монету, то вызов на дом бригады скорой помощи или проведение экстренной госпитализации в ближайший стационар собственными силами рекомендуется в следующих случаях:
- Попадание монеты в дыхательные пути. Проявляется характерная острая симптоматика, требующая немедленной квалифицированной помощи;
- Остановка инородного предмета в горле. Если монета достаточно большая, то есть шансы её остановки между ротовой полостью и пищеводом без попадания в дыхательные пути. Предмет приносит сильный дискомфорт ребенку, его необходимо вытащить, используя профессиональный инструмент и навыки опытного врача;
- Формирование явной патологической симптоматики в отношении желудочно-кишечного тракта. Если монета проникла в пищевод или желудок, однако не выходит естественным путем, то с большой долей вероятности через некоторое время у ребёнка сформируется диспепсические патологические признаки в виде умеренного или сильного болевого синдрома, рвоты, запора, иногда кишечного кровотечения. При появлении таких симптомов следует незамедлительно обратиться к врачу.
Сколько можно ждать, когда монетка выйдет самостоятельно?
Современные эндоскописты и иные профильные специалисты рекомендуют не ждать самостоятельного выхода монеты, а в обязательном порядке обратиться к врачу для прохождения диагностики и выявления точного местоположения монетки в организме.
Даже если у ребёнка не сформировалась патологическая симптоматика, через некоторое время признаки могут появиться внезапно.
При отсутствии возможности немедленного обращения при хорошем самочувствии ребенка максимальный период ожидания составляет 1-2 суток. При этом следует внимательно наблюдать за ребёнком и явно идентифицировать момент выхождения предмета вместе с каловыми массами.
Опасность проглатывания монет разного номинала
Монета монете рознь и потенциальная возможность самостоятельного выхода инородного предмета зависит не только от физиологических особенностей организма ребенка, но и физического размера изделия. Чем оно больше – тем выше вероятность остановки монеты в горле, ЖКТ. Возможные последствия, если ребенок проглотил монету:
- Дыхательные пути. Патология развивается сразу после проглатывания, если изделие попало в данную область;
- Горло. Предметы большого размера часто останавливаются там и причиняют большой дискомфорт;
- Пищевод. Визуально без оборудования рассмотреть монету в пищеводе невозможно. Даже непродолжительное нахождение в этом участке монеты с её прилипанием к стенке провоцирует тяжёлые последствия – отёки, пролежни, септические реакции;
- Желудок. Инородный предмет может находиться там достаточно долго без симптомов, однако металлические изделия под действием кислотного содержимого органа выделяют окислы и прочие соединения, патологически влияющие на весь организм. Вторичные последствия – гастрит, язва, иная хроническая патология;
- Кишечник. Иногда монета останавливается в кишечнике на пути изгибов и провоцирует перфорацию органа.
Как показывает практика, если монета успешно прошла горло, пищевод и желудок, то с вероятностью 90% она выйдет естественным путем с процессом дефекации.
Если ребенок проглотил монету, то в зависимости от ее номинала возможны следующие потенциальные проблемы:
- Монеты номиналом 5 и 10 копеек. Имеют диаметр 15,5 и 17,5 миллиметров соответственно. Высокие риски попадания в дыхательные пути. Если они пройдены успешно, то с большой долей вероятности предметы покинут организм естественным путем;
- Монета номиналом 1 рубль. Имеет диаметр 20,5 миллиметров. Невысокие риски попадания в дыхательные пути из-за увеличенного размера. Иногда останавливается в пищеводе, желудке или прямой кишке;
- Монеты номиналом 2 и 10 рублей. Имеют диаметры 23 и 22 миллиметра соответственно. Скорее всего, не попадут в дыхательные пути, однако с большой вероятностью застрянут в горле или пищеводе. При успешном прохождении этих частей покидают тело естественным путем;
- Монета номиналом 5 рублей. Диаметр изделия в 25 миллиметров практически гарантирует непопадание в органы дыхания из-за больших размеров. Однако с высокой долей вероятности, самостоятельно из желудочно-кишечного тракта она не выйдет.
Что делать если монета не вышла самостоятельно
Для начала необходимо удостовериться, что инородный предмет не вышел с каловыми массами. Достаточно часто, монета находится в толще фекалий, поэтому при регулярном мониторинге состояния ребенка и процедуры его дефекации, желательно осуществлять промывание биологического материала либо его расслоение с целью поиска металлического предмета.
Если по истечению 2 суток результат негативный, и вы уверены в том, что монета не вышла, то следует обратиться к гастроэнтерологу, эндоскописту или хирургу. Он назначает следующие процедуры:
- Рентген. Позволяет обнаружить местонахождение монеты;
- Эндоскопия. Альтернатива рентгену, также визуализирующая нахождение инородного предмета в желудочно-кишечном тракте. При этом с помощью эндоскопа он извлекается нехирургическим путем;
- Операционное вмешательство. Назначается в тех случаях, если самостоятельный выход монеты невозможен, процедура эндоскопии не дает результата, у пациента формируется патологический симптомакомплекс, а достать инородный предмет иным другим путем не получается.
Советы доктора Комаровского
Доктор Комаровский в первую очередь рекомендует явно идентифицировать тип инородного предмета, попавшего через ротовую полость ребенка в пищевод и желудок. Так, особую опасность представляют батарейки, острые и длинные изделия. Монеты относятся к промежуточному варианту, обладают обтекаемой формой и могут выйти самостоятельно, если их размер не превышает 2-2,5 сантиметров.
Немедленно обращаться к врачу или предпринимать какие-либо первичные доврачебные экстренные действия следует при наличии признаков инородного предмета в дыхательных путях.
Если патологическая симптоматика отсутствует более 1 суток, но монета не вышла из организма, то дольше ожидать не стоит. Лучше в течение суток посетить гастроэнтеролога, хирурга или иного профильного специалиста, после чего пройти обследование. Больше подробностей от доктора Комаровского о том, что делать, если ребенок проглотил монету смотрите на видео:
Рекомендации родителям
Базовым рекомендациям относят:
- Регулярная уборка помещений. Не оставляйте на полу мелкие предметы, которые ребенок может засунуть в рот, нос;
- Создание безопасного пространства для игр. Активно передвигающиеся малыши находят монеты, иные объекты на диване, в шкафу и так далее. Оптимизируйте детскую комнату и игрушки таким образом, чтобы не допускать потенциально возможных рисков;
- Присмотр. Если малыш всё же добрался к потенциально небезопасному предмету, проглотил его, то существуют риски быстрого формирования удушья, из-за которого ребёнок попросту не успеет просигнализировать о проблеме. Необходимо регулярно заходить в комнату, чтобы удостовериться, что все в порядке.
Виктор Системов — эксперт сайта 1Travmpunkt
С этой статьей часто читают… Частые вопросы Что делать если в нос ребенку попало инородное тело Частые вопросы Что делать если ребенок проглотил шарик Частые вопросы Что делать если ребенок съел батарейку Частые вопросы Необходимые меры когда проглотил кусочек стекла
Ребенок проглотил монету симптомы. Маленький ребенок проглотил монету — что делать?
Научившись самостоятельно передвигаться, дети начинают активно исследовать мир, в том числе и пробуя разные предметы на вкус. Зачастую в ходе таких экспериментов случаются непредвиденные ситуации, когда ребенок осознанно или случайно глотает попавший в рот инородный предмет.
В хит-параде проглоченных вещиц уверенно лидируют монеты – чаще копейки, реже рубли. Разберемся, что делать родителям, если такая неприятность произошла с их любознательным карапузом.
В зоне риска
Наиболее внимательными нужно быть родителям 2-4-летних малышей. Это тот возраст, когда ребенок начинает охотно играть самостоятельно или со старшими детьми. Бдительность родителей ослабевает, ведь малыш вроде бы при деле и не нуждается в постоянном присмотре. Однако это не совсем верно.
Понятно, что ни один здравомыслящий родитель не даст ребенку играть с потенциально опасными предметами, будь то винтик или батарейка. Если в доме тщательно поддерживается порядок, то такие вещи точно не будут валяться на полу.
Вероятность же обронить монету и не заметить этого, скажем, перекладывая сдачу из кармана в кошелек, значительно выше. Вы не заметите, а ребенок в силу своей любознательности обязательно интересную вещицу подберет.
Наверное, именно поэтому монетка – самая распространенная находка в детском желудке.

Рассчитывать на сознательность старших братьев или сестер тоже не стоит, особенно если они еще дошкольники. Вот вполне реальный случай: брат с сестренкой играли во врача, и в ходе этой увлекательной игры малышка проглотила три «таблетки» – плоские батарейки, которые вывалились из какой-то игрушки. А это куда опаснее, чем проглотить ту же монетку.
Вывод из вышесказанного можно сделать только один – смотрите, с чем играет ребенок, каким бы разумным он вам ни казался.
Правильная реакция
Даже маленькие дети совершенно точно знают, что посторонним предметам во рту не место. Зачем же они тогда засовывают их в рот?
- из любопытства;
- показывают характер.
Ни в том, ни в другом случае ребенок не собирается что-либо глотать. В первой ситуации у крохи может просто не получиться самостоятельно выплюнуть монету, тогда он обратится за помощью ко взрослым, во второй – малыш демонстративно подойдет к родителям с открытым ртом, чтобы насладиться произведенным эффектом.
В таком случае родителям важно отреагировать правильно – не кричать, не паниковать, не делать резких движений. Нужно максимально спокойно подойти к ребенку, чтобы тот не дернулся от неожиданности и не проглотил случайно монету, и осторожно извлечь изо рта инородное тело.
Гортань и трахея
Это самый неблагоприятный вариант развития событий. Монета, попавшая в гортань или трахею, может стать причиной удушья. Если ребенок кашляет без остановки, ему сложно сделать вдох и у него синеет кожа – необходимо срочно вызвать скорую помощь, а лучше реанимацию.
Для спасения ребенка в данной ситуации чаще всего применяется ларингоскопия или трахеобронхоскопия под общим наркозом.
Бронхи
Если монета попала в бронхи, то ребенка также может беспокоить кашель, рвота или одышка, но симптомы будут менее выраженными, а иногда и вовсе не заметными до поры до времени.
Попавшее в бронхи инородное тело опасно тем, что со временем в дыхательных путях начинается воспаление.
Для извлечения монеты применяется бронхоскопия, которая делается под общим наркозом с искусственной вентиляцией легких.
Рассчитывать на то, что ребенок сумеет выкашлять монету из дыхательных путей самостоятельно, не стоит, хотя такое тоже бывает. Однако куда больше вероятность того, что при попытке выкашлять инородное тело произойдет его ущемление между ыми связками и ребенок начнет задыхаться.
Полная непроходимость дыхательных путей
Если у ребенка полная непроходимость дыхательных путей, то есть у него не получается ни говорить, ни кашлять, то стоит попытаться оказать первую помощь самостоятельно.
Для этого нужно наклонить корпус ребенка вперед более чем на 90 градусов и несколько раз ударить открытой ладонью между лопаток.
Но это только в том случае, когда вы понимаете, что нужно действовать, не дожидаясь приезда бригады врачей.
Монета в пищеварительной системе
Если монета миновала дыхательные пути, считайте, что вам уже повезло. Однако расслабляться еще рано и обратиться ко врачу желательно в любом случае.
В отличие от пластмассовых деталей монету легко отследить на рентгене.
Для правильного выбора тактики лечения важно выяснить, где именно она находится, поэтому родителям нужно либо вызвать скорую помощь, либо самостоятельно отправиться в приемное хирургическое отделение детской больницы (с проглоченными металлическими предметами нужно обращаться именно в хирургию, а не в отоларингологию) для проведения необходимых мероприятий.
Пищевод
Если рентгеновское исследование покажет, что монета находится у ребенка в пищеводе, то, скорее всего, вам предложат немедленно её удалить при помощи ФГДС. Инородное тело, застрявшее в пищеводе, может привести к разрыву его стенки – а это серьезное состояние, угрожающее жизни маленького человечка.
Заподозрить, что монета находится именно в пищеводе, можно по следующим признакам:
- непрекращающийся плач или беспокойное поведение ребенка;
- отказ от еды и питья;
- рвота сгустками слизи;
- жалобы на боль в грудной клетке.
Ориентироваться только на эти признаки нельзя, потому что поведение некоторых детей не меняется вовсе. Точное местоположение монеты можно увидеть только на рентгене.

Пытаясь помочь ребенку, некоторые родители совершают ряд грубых ошибок, которые могут усугубить ситуацию:
- пытаются вызвать у ребенка рвоту, чтобы инородное тело вышло само – это может привести к попаданию монеты в дыхательные пути и удушью;
- наклоняют ребенка вниз головой и стучат по спине – есть риск получить тот же результат, что и в первом случае;
- дают твердую пищу, чтобы протолкнуть монету из пищевода в желудок – такие действия могут привести к перфорации (разрыву стенки) пищевода;
- предлагают ребенку обильное питье – если вы планируете ехать в больницу на рентген, то лучше не поить и не кормить ребенка, ведь вполне возможно, что монету придется доставать, а делается это под общим наркозом.
Желудок
Если рентген показал, что монета, которую проглотил малыш, покинула пищевод, избирается выжидательная тактика. Врачи дают ребенку от 2 до 5 дней на то, чтобы инородное тело вышло самостоятельно. В стационар малыша не кладут, однако предупреждают, что при появлении болей в животе необходимо немедленно обратиться в больницу.
Если монета уже попала в кишечник, то через 2 дня она совершенно точно окажется в горшке. Чтобы не упустить ценную находку, рекомендуется размывать стул водой до полностью жидкого состояния.
Важно! Не нужно давать ребенку слабительное, делать клизмы или ставить свечки, чтобы ускорить выход инородного тела.«Ускорившаяся» монета способна повредить желудок или кишечник. Вместо таких кардинальных мер кормите ребенка продуктами, богатыми клетчаткой – тертой морковью, яблоками, тушеными овощами. Не нанесет вреда и некрепкий компот из чернослива.
Примерно в 30% случаев монета не выходит за отведенное время. Тогда следует повторно обратиться в больницу и сделать еще один снимок. Врачи сравнят этот снимок с предыдущим и посмотрят динамику.
Если монета находится в нижнем отделе кишечника, то малыш снова отправится домой – находка не заставит себя долго ждать.
Если же инородное тело остается на уровне желудка, требуется госпитализация в стационар.
Почему не стоит ждать дольше? Монета, находящаяся в желудке продолжительное время, имеет мало шансов выйти из него без постороннего вмешательства. Под воздействием желудочного сока она активно окисляется, что, в свою очередь, приводит к повреждению стенки желудка.
В больнице
В стационаре маленького глотателя ожидает следующий план лечения:
- Если кроха проглотил относительно безопасную по сравнению с магнитами и батарейками монету, предпочтение отдается консервативным методам лечения, поэтому для начала ребенку будет предложено выпить бариевую взвесь – контрастное вещество, которое позволяет более точно отследить на рентгене положение инородного тела и динамику его продвижения по ЖКТ. Надо сказать, что барий хотя и безвкусный, но пьется детьми тяжело, поэтому иногда допустимо смешать его с соком или кефиром – эти подробности стоит сразу уточнить у лечащего врача.
- На следующий день делают рентген. Если выясняется, что монета находится в желудке и движение отсутствует, то принимается решение о проведении ФГДС (гастроскопии) для удаления инородного тела.
- ФГДС проводится в тот же день, что и рентген. Маленьким детям эту манипуляцию делают под общим наркозом – сначала масочным, потом внутривенным. Если монета обнаружена, то при её извлечении возможно подключение искусственной вентиляции легких.
Сразу возникает вопрос: почему монеты может не оказаться в желудке, если рентген показал, что она именно там? Во время наркоза происходит расслабление сфинктеров желудка, в частности того, который находится в привратниковом отделе (самом нижнем) и отделяет желудок от кишечника, поэтому вероятность того, что под воздействием наркоза инородное тело двинется дальше в нужном направлении, достаточно велика.
Итак, если во время ФГДС монета обнаружена, то она извлекается, и на следующий день ребенок выписывается из стационара.
- Если инородное тело прошло в кишечник, то придется подождать еще пару дней, пока оно не выйдет естественным путем. Между прочим, бариевая взвесь обесцвечивает стул, поэтому не надо пугаться – светлый кал после приема бария – абсолютно нормальное явление.
И в заключение: дети имеют свойство находить самые неожиданные вещи в самых непредсказуемых местах. Монеты, пожалуй, – самое безобидное из того, что проглатывают малыши. В недра желудка попадают также гвозди, саморезы, батарейки, магниты, скрепки. Об этом следует помнить и приложить все усилия, чтобы предотвратить возможную беду.




