Гипоэхогенное образование в молочной железе
Грудь женщины состоит из молочной железы и жировой клетчатки. Если она здорова, вся ее структура будет однородной. В некоторых случаях на УЗИ отмечаются некие черные пятна. Их называют гипоэхогенными образованиями.
Многих пугает такое явление. Но важно знать, что это не симптом болезни и не заболевание, а лишь описание картины, которую видит перед собой врач.
Для более точной постановки диагноза пациентку отправляют на дополнительное обследование.
Особенности гипоэхогенных уплотнений
Гипоэхогенное образование – это участок ткани, обладающий относительно низкой плотностью по сравнению с остальной тканью груди. Такое патологическое явление достаточно распространенно среди представительниц слабого пола. Чаще всего диагностируется к 45 годам. Но если у женщины не выявлялось патологии до наступления менопаузы, после она уже вряд ли возникнет.
О чем свидетельствует патологическое образование?
Когда доктор сообщает женщине о возникшем в ее груди гипоэхогенном уплотнении, она зачастую начинает паниковать, подразумевая под этим названием рак молочной железы. Но это не совсем так. Причин возникновения такого образование не мало. Выделяют следующие:
- Обыкновенная киста. Новообразование гипоэхогенного характера, имеющее четкую форму.
- Атипичная киста. Гипоэхогенное уплотнение в молочной железе с точными контурами. Обладает множеством кальцинатов, увеличивающих свое количество с прогрессированием заболевания, и толстую капсулу.
- Железистая карцинома. Представляет собой неоднородную структуру с акустической тенью. Не имеет четкого контура.
- Фиброаденома. Очаговое гипоэхогенное уплотнение с четкой формой. В редких случаях схоже с онкологией при ограниченном расположении.
- Аденоз. Новообразование с размытыми границами, не имеющее определенной формы.
- Фиброзно-кистозная мастопатия. Множественное однородное уплотнение гипоэхогенного характера. Обладает гормональной этиологией.
- Опухоль доброкачественная. Аваскулярное гипоэхогенное образование без сосудистой сетки.
Важно помнить, что гипоэхогенность присутствует и у структур молочной железы (молочные протоки, сосуды).
Симптоматика патологического явления
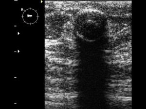
Первым признаком наличия такого образования является затемненная его структура в отношении другой ткани молочной железы. Здесь и движение ультразвуковых волн замедляется. Это характерно больше для полостей с жидкостью, которые потом диагностируются как кисты с жидким содержимым.
Сразу диагностировать кисту врачи не могут. Для этого необходим ряд других исследований, сдача лабораторных анализов. Ведь УЗИ только предположительно показывает наличие образования. В результате уплотнение округлой формы способно оказаться как кистой, так и галактоцеле, опухолью или эхинококковым поражением. При смытых границах образования может выявиться раковая опухоль или фиброаденома.
Причин, вызывающих формирование гипоэхогенных новообразований в молочной железе, множество. Условно их подразделяют на такие группы:
- половая принадлежность (женщины подвержены заболеванию в 100 раз больше, чем представители сильного пола);
- возраст (опухоли возникают в среднем и пожилом возрасте);
- генетическая предрасположенность (если близкие родственники сталкивались с подобной проблемой, человек попадает в зону риска);
- масса тела (женщины крупного телосложения болеют чаще худых);
- сбой метаболического процесса (замедление или нарушение обменного процесса влечет развитие болезней груди);
- репродуктивные нарушения (если женщина не рожала, у нее было раннее половое развитие, шансы формирования уплотнения значительно возрастают);
- внутренние факторы (заболевания молочной железы развиваются в результате злоупотребления спиртными напитками, постоянных стрессов, нервных перенапряжений);
- внешние факторы (негативно воздействует на грудь плохая экология, травмы, радиационное излучение, переохлаждение организма).
Исходя из перечня причин, из-за которых возникают заболевания молочной железы, можно сделать вывод: изменив свой образ жизни можно уберечь здоровье.
Особенности проведения ультразвукового исследования
Перед проведением УЗИ особой подготовки не нужно. Достаточно провести гигиеническую процедуру груди и подмышечных впадин. Для получения более точных данных манипуляцию назначают на первую половину менструального цикла. Длительность обследования не более 15 минут.

Гипоэхогенное образование на мониторе ультразвукового аппарата выглядит как затемненное пятно. Его форма различна, зависит от типа уплотнения. Контур может быть смыт или четко виден.
Подобная патология в большинстве случаев выявляется случайно, при плановых профилактических осмотрах. Показания к проведению процедуры:
- вынашивание ребенка;
- диагностика заболеваний: мастит, мастопатия, лактостаз, увеличенные лимфатические узлы, выявление кисты;
- дополнительное обследование для постановки диагноза.
Возможные осложнения подобных новообразований
Последствия гипоэхогенных образований могут быть самыми различными и зависят от его структуры. Самое опасное осложнение – это малигнизация, то есть перерастание в злокачественную опухоль. Например, бывают случаи перерождения фиброаденомы в саркому.
Мастопатия фиброзно-кистозного вида способна перерасти в рак. Но в большинстве случаев, когда причина развития патологии не ясна или установлена ошибочно, она рецидивирует. Это происходит, даже не смотря на проведение терапии.
Любое гипоэхогенное новообразование способно развить нежелательные последствия, если не проводить его лечение. В обратном случае женщина может полностью выздороветь.
Выявление отклонений в груди
При выявлении на ультразвуковом исследовании гипоэхогенного образования в молочной железе, доктор в обязательном порядке назначает пациентке рад дополнительных диагностических методик. Они включают в себя такие манипуляции:
- Общий анализ крови. Он показывает наличие анемии и воспалительного процесса.
- Исследование крови на гормоны и на онкомаркер СА-15-3.
- Маммографию. Обследование показывает грудь в разных проекциях, позволяя рассмотреть уплотнение со всех сторон.
- Пункционную биопсию ткани новообразования.
- КТ или МРТ.
- Маммосцинтиграфию.
Дополнительно назначается проведение дифференциальной диагностики. Она проводится между различными видами уплотнений. Самыми распространенными считаются опухоли злокачественного и доброкачественного характера, кисты.
Лечение гипоэхогенного новообразования
Полноценное лечение назначается после проведения комплексного обследования пациента и постановки диагноза. Медикаментозная терапия проводится при обнаружении кистозных или доброкачественных образований.
В состав лечения входят препараты растительного происхождения, противовоспалительные лекарства и гормональные средства.
К первой группе относят Индинол (устраняет фиброзно-кистозные образования) и Фитолон (применяют при всех видах опухолей грудной железы).
Из гормональных лекарств самым часто назначаемым является Эстрожель (эстрогенное средство), Утрожестан (гестаген), Дуфастон (гестаген). Ибупрофен и Вобэмзин – препараты, назначающиеся в случае развития воспалительного процесса. Последний часто выписывают при развитии мастопатии.
Все лекарственные препараты должны назначаться доктором после проведения полного обследования, и изучения полученных результатов, постановки диагноза.
Самые полезные витамины – это фрукты и овощи, то есть натуральные. Для насыщения организма витамином группы А можно есть персики, морковь, крыжовник, а еще помидоры и абрикос.
Микроэлемент усиливает рост клеток, помогает печени работать правильно и облегчает продукцию гормонов. Витамин С способствует нормализации окислительно-восстановительных реакций, выводит из организма токсины, и улучшает функцию энергосбережения.
Аскорбиновая кислота содержится практически во всех растительных продуктах.
Токоферолом (витамин Е) богаты яйца, молоко, растительное масло. Его особенностью является устранение отклонений в выработке протеинов. Выполняет защитную функцию: оберегает клетки от воздействия свободных радикалов.
Когда в молочной железе женщины обнаружили гипоэхогенное образование, рекомендуется употреблять по 100 миллилитров свежевыжатого сока из фруктов или овощей ежедневно. Перед сном же советуют пить стакан компота из сухофруктов или молочной продукции.
Физиотерапия
Для того чтобы начать применять физиотерапевтические методы, необходимо дождаться точной постановки диагноза. Ведь при определенных видах новообразований подобное лечение противопоказано. Например, при онкологии или при большой возможности перерастания опухоли в злокачественную, физиотерапевтический метод становится катализатором для начала процесса озлокачествления.

Поэтому очень опасно предпринимать такого рода действия до выяснения природы образования.
Народные средства
Бабушкины рецепты тоже способны усугубить ситуацию, если начинать лечения без точного диагноза. Если диагностировали гипоэхогенное образование, вредно париться в сауне, бане, ставить горячие компрессы, а еще намазывать пораженную зону греющими мазями, использовать ванночки и примочки на спирту.
Безопаснее всего для здоровья будет дождаться результатов обследования, узнать диагноз, и после совместно с доктором составить возможное лечение с помощью средств народного производства. Существует несколько вариантов народной терапии, способных помочь при болезни груди:
- Перед сном приложите лист мать-и-мачехи или лопуха к месту поражения. Утром, после пробуждения, протрите молочную железу влажной салфеткой, и нанесите небольшое количество репейного масла.
- Приготовьте смесь из меда, корня лопуха и касторового масло. Из полученного средства сделайте компресс и оставьте на всю ночь. Для этого же используют натертую мякоть тыквы.
- Еще одним вариантом компресса на ночь служит капустный лист. На него наносится немного сливочного масла и посыпается солью. После можно прикладывать к больному месту.
Бабушкины рецепты включают в себя и различные отвары, настои из лекарственных трав. Являются достаточно эффективными при соблюдении дозировки.
Гомеопатическая терапия
Препараты гомеопатии применяются как вспомогательные лекарства. Не могут заменить все лечение груди. Циклодинон принимается каждый день по одной пилюле на протяжении трех месяцев. Мастодинон пьют два раза в день по таблетки в течение 12 недель.
Мастопол употребляют за 30 минут до приема пищи три раза в сутки по одной пилюле. Курс лечения составляет два месяца. Мастиол-Эдас 127 – это капли. Их в количестве 5 штук разводят в ложке воды, и принимают такую дозу три раза в день.
В некоторых случаях доктор назначает другую схему терапии.
Особенностью гомеопатических препаратов является отсутствие побочных эффектов. В редких ситуациях может наблюдаться аллергия на компоненты лекарства.
Хирургическое лечение
Операция проводится в случае, когда диагностировали онкологическую опухоль. Здесь доктора решают, нужно ли дополнительно проводить облучение и химеотерапию. Но комплексное лечение позволяет вылечить человека настолько, насколько это вообще возможно. Поэтому злокачественные образования лечат именно по такому принципу.
Доброкачественные опухоли, которые не вылечились медикаментозно, удаляются самостоятельным оперативным методом.
Существуют противопоказания к проведению хирургического вмешательства: наличие болезней сердечной мышцы и сосудов, преклонный возраст, рак на запущенной стадии с массой метастаз.
Профилактические мероприятия
Для здоровья молочной железы очень важен здоровый образ жизни. Нужно заниматься спортом, полноценно отдыхать, правильно питаться, и ограждать свою психику от нервных перенапряжений, стрессов. Бюстгальтер для груди не должен давить. Лучше всего, если он будет просторным, но хорошо поддерживать.
Способствует развитию различных патологий молочной железы вредные привычки, такие, как курение, злоупотребление спиртными напитками. Негативно воздействует на здоровье груди работа на вредном производстве, радиация и проживание вблизи автострад.
Не пренебрегайте профилактическими визитами к гинекологу, маммологу. Своевременно выявленная патология лечится быстрее и эффективнее.
Если у женщины выявили гипоэхогенное образование, говорить о наличии злокачественной патологии рано. Стоит пройти дополнительные диагностические процедуры для постановления диагноза.
Подобная картина на УЗИ может сигнализировать и о других, но не менее опасных для здоровья, болезнях. Важно следовать всем рекомендациям лечащего врача, и исход будет положительным.
Ведь образование может оказаться всего лишь кистой, которая рассасывается после проведения несложного лечения, не оставляя за собой и следа.
Анэхогенное образование с включениями и без в молочной железе
Здравствуйте, дорогие читатели! Сегодня мы работаем с вашими вопросами, связанными с УЗИ исследованием молочных желез. И на повестке дня вердикт врача УЗ-диагностики: анэхогенное образование в молочной железе. Что это такое, нужно ли опасаться, и как лечится такое образование?
Узи признаки и классификация образований в груди
Итак, вы должны понимать, что любое включение в ткани железы, описанное врачом УЗ-диагностики — это не диагноз. Исследование основано на способности тканей (здоровых и измененных) по-разному отражать ультразвуковые волны. Описание степени отражения УЗ-волны и дает врач.
Что касается анэхогенных включений в ткани бюста, обычно речь идет о кистах. Само слово означает:
- «ан» — не;
- «эхо» — это звук;
- слово «ген, генный» — обозначает образование, образованный.
В результате получаем структуру или образование, не отражающее звук, в данном случае ультразвук. Слово «образование» подразумевает нетипичное включение. Нечто, что появилось (образовалось) в железе, но чего там быть не должно.
Понятие эхогенности
При осмотре молочных желез с помощью аппарата УЗИ в В-режиме мы получаем черно-белую картинку, демонстрирующую структуры органа с разной способностью отражать ультразвуковой сигнал:
- анэхогенные структуры — это буквально черные пятна на УЗ-снимке;
- гипоэхогенные — темно-серые образования с большой гидрофильностью;
- средней эхогенности или эхопозитивные структуры дают на снимке серый цвет;
- образования повышенной эхогенности — светло-серые на снимке ткани высокой плотности;
- гиперэхогенные образования — ярко-белые, УЗ-сигнал от таких структур полностью отражается, за ними обычно есть акустическая тень.
Черные пятна на снимке говорят о наличии в тканях бюста кисты. При этом кисты бывают очень разными, как и их классификации.
Классификации образований молочной железы
По степени склонности к озлокачествлению, виду, размеру, количеству и форме новообразования существенно разнятся.

Таблица № 1
| По форме | По размеру | По степени риска малигнизации | По количеству кист |
| Округлые | Мелкие до 10 мм | Низкой | Единичные |
| Овальные | Средние — 10-20 мм | Средней | |
| С нечеткими и неровными контурами (опасны в плане озлокачествления) | Крупные — до 60 мм и больше | Высокой | Множественные |
Есть несколько вариантов, основанных как на УЗИ, так и на лучевых методах диагностики:
- Гусейнова А.З;
- Рожковой Н.И.;
- BIRADS;
- Заболотской Н.В.
- Берга (приведена в таблице №2);
- C-D классификация, разработанная группой отечественных ученых (приведена в таблице № 3).
Таблица № 2
| Тип кисты | Описание |
| I | Простая киста |
| II | Кластерные миникисты |
| III | Кисты с тонкими перегородками |
| IV | Сложные кисты с густым однородным содержимым |
| V | Кисты с толстой капсулой / толстыми неровными внутрикистозными перегородками / внутрикистозные разрастания |
| VI | Со смешанным тканевым и жидкостным содержимым |
Таблица № 3
| Тип кисты | Описание | Описание УЗИ-картины | Рекомендации по дообследованию | Онкологическая настороженность |
| C1 | Простая киста | Анэхогенное образование в тонкой капсуле с усилением дорзальной тени | Тонкоигольная аспирация при диаметре образования более 1 см с проведением цитологического исследования материала | Низкая |
| C2 | Кластерные миникисты | Множественные анэхогенные образования | Тонкоигольная аспирация при диаметре образования более 1 см с проведением цитологического исследования материала | Низкая |
| C3 | Кисты с тонкими перегородками | Анэхогенные образования с тонкими внутриполостными перегородками. Без усиления кровотока на режиме светового допплеровского картирования (ЦДК) | Тонкоигольная аспирация при диаметре образования более 1 см с проведением цитологического исследования материала | Низкая |
| C4 | Сложные кисты (с густым однородным содержимым) | Образование с четкими контурами, густым содержимым/ Без усиления кровотока на режиме ЦДК | Тонкоигольная аспирация. При густом содержимом необходимо промывание полости. Цитологическое исследование материала | Средняя |
| C5 | Кисты с толстой капсулой / толстыми неровными внутрикистозными перегородками / внутрикистозные разрастания | Анэхогенное образование с утолщенной, неравномерной капсулой или перегородкой, внутриполостные разрастания. Усиление кровотока на режиме ЦДК. | Тонкоигольная или core- биопсия при наличии разрастаний. Цитологическое или гистологическое исследование материала | Высокая |
| C6 | Со смешанным тканевым и жидкостным содержимым | Гипоэхогенное образование с несиметричными жидкостными включениями. Усиление кровотока на режиме ЦДК | Тонкоигольная или core- биопсия при наличии разрастаний. Цитологическое или гистологическое исследование материала | Высокая |
| D1 | Эктазия протоков | Расширение протоков более 0,4 см. Без визуализации стенок протока | Контроль за выделениями из соска. Цитологическое исследование выделений. Дуктография по показаниям | Низкая |
| D2 | Псевдокисты (кистозные расширения протоков) | Анэхогенное образование в тонкой капсуле со связью с протоком | Тонкоигольная аспирация при диаметре образования более 1 см с проведением цитологического исследования материала | Низкая |
| D3 | Внутрипротоковые разрастания со снижением тонуса в протоке | Утолщение стенок протока или внутрипротоковые разрастания | Контроль за выделениями из соска. Цитологическое исследование выделений. Дуктография по показаниям.При отсутствии выделений из соска — тонкоигольная или core- биопсия. Цитологическое или гистологическое исследование материала. | Высокая |
Согласно C-D классификации, если в расшифровке УЗ-снимка вы видите слово «анэхогенные» однородные образования и оборот «с дорзальным усилением» (точнее усилением дорзальной/дорсальной тени) речь идет о простой кисте (полостном образовании заполненном жидкостью) с минимальным риском озлокачествления. Но чтобы удостовериться в доброкачественности «мешочка с жидкостью» в вашей груди и определить его вид (киста, галактоцеле) нужно взять кистозную жидкость на анализ.

Галактоцеле или жировая киста, заполненная молокоподобным содержимым, выявляется при беременности, во время ГВ (грудного вскармливания) и в постлактационном периоде, реже у девочек во время полового созревания. Простые кисты могут диагностироваться в любом периоде жизни женщины.
Кисты могут содержать участки обызвествления, включение взвеси, способные в незначительной степени отражать звуковой УЗ-сигнал. Тогда врач указывает в расшифровке, что образование заполнено гиперэхогенной взвесью. Если обызвествляется стенка кисты, врач указывает, что видит гипоэхогенный участок тканей.
Внимание! Смешанное тканево-жидкостное содержимое кисты, включение известковых элементов — повод для core-биопсии. При обызвествлении риск обнаружения раковых клеток в кисте высок! Однако не паникуйте. Взвесь может быть признаком воспаления. В этом случае белковое содержимое новообразования выпадает в «осадок». Разница будет видна во время гистологии.
Если анэхогенное образование разделено перегородкой или имеет неровные края (двухкамерная, многокамерная киста) с нечеткими контурами — нужно срочно проводить core-биопсию, гистологическое и цитологическое исследование. Риск обнаружения атипичных (раковых) клеток в таком новообразовании очень велик. Такие опухоли следует удалять, как и воспаленную кисту.
А вот страшное слово «аваскулярное» при уже знакомом нам округлом анэхогенном новообразовании, напротив, хороший признак в смысле возможности малигнизации опухоли. «Аваскулярный» — означает участок, не проросший сосудами.
Злокачественные же опухоли обычно активно прорастают сосудами и в их зоне заметен повышенный кровоток. Агрессивные опухоли заставляют ваше тело «кормить» их интенсивно, в ущерб собственных тканей организма, как кукушата в чужом гнезде (выбросим родного птенца, чтобы кормили меня).
Если врач написал, что образование в ваших железах изоэхогенное. Это означает, что его структуры отражают сигнал на уровне нормальных тканей. Такое новообразование может быть, как доброкачественным (фиброаденома, нормофолликулярная аденома), так и злокачественным. Для уточнения диагноза нужна биопсия. Для этой опухоли УЗИ может рассматриваться лишь как скрининг.
Лечение
Лечение новообразований может быть консервативным и оперативным. Однородные анэхогенные округлые множественные новообразования (мастопатия) могут лечиться консервативно:
- гомеопатические пероральные препараты (Мастодинон, Галиум-Хеель);
- растительные средства (Кламин);
- энзимы (Вобэнзим);
- НПВС (противовоспалительные, например, Диклофенак);
- витаминные препараты (Элевит).
При гормонозависимых опухолях маммологи рекомендуют гормоны (Дюфастон). Если рост новообразования связан с патологией щитовидной железы рекомендуют препараты йода (Йодомарин). Если рост кистозного образования сопровождается болью и дискомфортом, вы нервничаете, врач может назначить легкие седативы (Фитосед, Пион, Пустырник).
Новообразования с низким риском озлокачествления, небольшого размера, не склонные к росту могут просто наблюдаться. Включения с высоким риском малигнизации, быстро растущие или крупные — удаляются оперативно. После операции обязательно проводить контрольные обследования УЗИ. Женщины должны находиться на учете у маммолога.
На этом мы завершаем отвечать на ваши вопросы по этой теме. Надеемся, вы получили нужную информацию, и, значит, остались довольны. Приглашайте на этот сайт друзей через соцсети и заходите сами за новой информацией. Если у вас остались вопросы, пишите комментарии, мы постараемся охватить ваши интересы в следующих статьях.
На обследовании молочной железы обнаружено гипоэхогенное образование: повод для тревоги?
Проблема новообразований в молочной железе может коснуться любой женщины в любом возрасте, вне зависимости от ее социального статуса.
Для того, чтобы вовремя обнаружить заболевание молочной железы, очень важно своевременно начать диагностику. Гипоэхогенное новообразование означает, что его структура не отличается от структуры ткани.
Обычно такое заключение УЗИ говорит о том, что для уточнения диагноза нужно дополнительное исследование.
Особенности гипоэхогенного образования
В большинстве случаев разновидности рака молочной железы являют собой гипоэхогенные формирования. Эхоструктура опухоли бывает разной и зависит от многих факторов: наличия участков омертвения, фиброза, кальцинатов и проч.

Нужно знать, что это еще не заключительный диагноз, а только лишь описание структуры новообразования.
Оно обнаруживается только во время ультразвукового исследования. Во время такой процедуры ультразвуковой датчик образует высокочастотные звуковые колебания. Прибор также и улавливает отраженные сигналы.
Процедура УЗИ груди
Оценка волн ультразвука, исходящих от датчика, очень субъективна. Она зависит от многих факторов:
- частоты волн;
- некоторых анатомических особенностей человека;
- уровня квалификации врача;
- полноты сведений о признаках того или иного заболевания у пациента.
Гипоэхогенность объекта в молочной железе зависит от акустической плотности ее ткани. На снимке он будет выглядеть как область с темным цветом. В этом участке высокочастотный звук движется гораздо медленнее, чем в любом другом пространстве. Эти характеристики чаще всего имеет объект, наполненный жидкостью.
Что значит, если обнаружено отклонение в молочной железе
фиброаденомы молочных желез
Наличие на изображении гипоэхогенного образования свидетельствует о таких заболеваниях.
- Карцинома молочной железы. Она имеет нечеткие контуры, а также акустическую тень. Кроме того, она неравномерна по своей структуре.
- Аденоз. Эта патология имеет подобные признаки – нечеткость границ и гипоаллергенность.
- Типичная киста. У нее понижена эхогенность. Типичная киста имеет правильные и четкие контуры.
- Атипичная киста имеет очень толстые стенки. Внутри нее заметно разрастание.
- Фиброаденома характеризуется наличием четких и ровных контуров. Она похожа на злокачественный объект с медленным ростом.
Виды опухолей молочной железы
Диагностика молочных желез помогает обнаружить также изменения в лимфоузлах. С помощью ультразвука определяется наличие болезненных явлений в молочной железе, гипоэхогенных ободков и проч.
О каких патологиях говорит это образование
Наличие гипоэхогенного объекта в молочной железе заставляет думать о развитии рака. Опухоли, дающие звездчатый вид рисунка, имеют скиррозный тип строения.
В центре опухоли визуализируется один или несколько участков фиброзной ткани. По периферии такой ткани располагаются участки опухолевых клеток, образовавшихся из эпителиальной ткани.
На ультразвуковом исследовании молочной железы может быть обнаружен инфильтративный протоковый вид рака.
Гипоэхогенное содержимое характерно и для медуллярных и коллоидных раковых опухолей. Медуллярный рак имеет круглую или долькоподобную форму. Дольки очень четко разграничены друг от друга и не имеют внутри капсулы. С ростом такой опухоли обнаруживаются омертвевшие участки с отсутствием эхогенности.
Иногда анэхогенные участки могут свидетельствовать о наличии в молочной железе зоны активного роста злокачественной опухоли. Такие виды рака редко наблюдаются после менопаузы.
Коллоидный рак растет очень медленно. Его клетки вырабатывают большое количество слизистого секрета. Коллоидное образование в молочной железе характеризуется пониженной эхогенностью.
Достаточно редко встречается и внутриполостной рак. Полостное гипоэхогенное образование с утолщенными стенками и разрастаниями часто бывает у пожилых пациенток. Трудность диагностики состоит в том, что их нелегко дифференциировать с доброкачественными образованиями.
Гипоэхогенные структуры в молочной железе также свидетельствуют о развитии отечно-инфильтративной формы злокачественного новообразования. Клинически этот рак характеризуется покраснением, а также утолщением кожи.
В отдельных случаях она становится похожей на корку лимона. На изображении заметно утолщение покровов кожи, повышение эхогенной способности жировой клетчатки, а также наличие гипоэхогенных структур трубчатой формы.
При метастазах в молочную железу визуализируется гипоэхогенное образование с неоднородной структурой. Его форма – круглая, имеет определимые контуры. Метастазы могут располагаться и в зоне под кожей.
Эхогенность доброкачественных опухолей
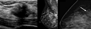
Среди всех доброкачественных опухолей наиболее часто встречается фиброаденома. Она, как правило, образуется в результате неправильного развития железы. Размеры фиброаденомы могут быть разными. Изредка – не чаще, чем в 20 процентах случаев, они бывают множественными.
Эхографически это образование с четкими и ровными краями. Сдавливание фиброаденомы датчиком приводит к эффекту соскальзывания, то есть опухоль смещается в окружающих тканях.
Если размер опухоли меньше одного сантиметра в диаметре, у такого образования имеется правильная структура и форма. Чем больше размер фиброаденомы, тем чаще обнаруживается ее гипоэхогенный ободок.
В одном из четырех случаев визуализируются микрокальцинаты.

Фиброаденома более 6 см в диаметре является гигантской. Она характеризуется выраженностью акустической тени. Гипоэхогенная фиброаденома обычно плохо определяется, если молочная железа имеет много жировой ткани.
Филлоидная опухоль встречается очень редко. В одном из десяти случаев она может перерождаться в саркому. Доброкачественность или злокачественность такой опухоли можно определить только гистологическим способом.
УЗИ-картина липомы также гипоэхогенна, однородна. При наличии в ней гиперэхогенных включений иногда выделяется ободок. Иногда на УЗИ бывает достаточно трудно определить из-за высокого содержания в молочной железе жировой ткани.
Дальнейшая диагностика молочной железы
Допплерография молочной железы.Огибающий кровоток фиброаденомы
Как уже было сказано, наличие гипоэхогенного образования в молочной железе является показанием для дальнейшей диагностики с целью уточнения диагноза. Так, обнаруживает вновь образовавшиеся опухолевые структуры.
Допплеровское картирование, а также энергетическая допплерография являются высокоинформативными видами исследований. Благодаря им можно обнаружить намного большее количество опухолевых образований.
Кроме того, для диагностики молочной железы используются такие методы:
Маммография рак молочной железы
Женщинам надо помнить, что после достижения сорокалетнего возраста всем женщинам необходимо регулярно проходить маммографию. Компьютерная и магнито-резонансная томография дают наиболее точные диагностические результаты.
Маммосцинтиграфия является одним из самых новых видов исследования молочных желез. Врач определяет природу ракового образования в железе с помощью радиоактивных веществ. Женщинам не надо бояться применения таких веществ, так как они безвредны.
Ну и конечно же, каждая женщина должна уделить особое внимание самообследованию молочных желез. В большинстве случаев женщины обращаются к врачу, уже заметив у себя подозрительное новообразование.
Заключение
Гипоэхогенное образование молочных желез еще не указывает на злокачественность процесса. Однако оно может являться признаком многих заболеваний.
Только всесторонняя диагностика может точно определить болезнь.
Женщинам не стоит опасаться дальнейших диагностических мер после ультразвукового исследования.
В большинстве случаев они способствуют постановке правильного диагноза и назначению результативного лечения.
Ультразвуковое исследование при раке молочной железы (часть 2)
» УЗИ для женщин » 2018 » Май » 13 » Ультразвуковое исследование при раке молочной железы (часть 2)
|
Слизистый, или коллоидный, рак — это не часто встречающаяся на УЗИ, медленно растущая опухоль, клетки которого вырабатывают слизистый секрет. Атипичный слизистый рак считается как протоковый со слизистым компонентом, а его прогрессирование и прогноз отвечает неспецифическому. Обычно он начинается в возрасте 50—60 лет имеет благоприятный прогноз.При УЗИ молочной железы форма опухоли в типичных случаях бывает округлой или овальной, границы — от хорошей дифференциации до размытых. Возможно определение кальцинатов, при этом вторичные изменения не характерны. Геморрагические проявления для внутренней структуры образования нетипичны. Полостной или внутриполостной рак является редкой формой злокачественной опухоли грудной железы. Гистологически это папиллярный рак, начинающийся из стенки кисты.
Цитологическое изучение аспирата приносит значимый результат, когда его достают из области, содержащей солидный компонент, так как количество атипичных клеток в жидкостном компоненте может быть крайне малым. Полостная форма, как и солидная папиллярная карцинома, обычно обнаруживается у пожилых женщин. В типичном случае рак, как правило, характеризуется обнаружением гипоэхогенных образований, но находки на УЗИ могут лимитироваться обычными неоднородными изменениями архитектоники без явного образования. При эхографии эти опухоли нельзя хорошо дифференцировать с их доброкачественными аналогами. |
Инфильтративный, инвазивный рак грудной железы является наиболее частой злокачественной опухолью у женщин. В группах женщин, где не делался маммографический скрининг, смертность, вызванная инвазивным раком грудной железы, остается высокой, невзирая на проводимое лечение.
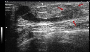
Инвазивный рак грудной железы является основной причиной смертности среди женщин в возрасте 39—58 лет.Раки, в виде звездчатого рисунка, независимо от формы (инфильтративный, протоковый, дольковый) имеют скиррозное строение. Наиболее часто в центре таких опухолей преобладают участки фиброзной, иногда гиалинизированной стромы.
По периферии опухоли располагаются комплексы опухолевых клеток эпителиальной природы. Нечасто имеется равномерное разделение паренхимы и стромы в узле опухоли.При инфильтративном росте опухоль обычно имеет аномальную форму, отмечается неровность ее контуров за счет вовлечения в патологический процесс многих структур молочной железы на УЗИ.
Контуры опухоли делаются все более неровными при присоединении десмоплазии (вторичным фиброзом) окружающих тканей.
Десмоплазия является ответной реакцией на процессы опухолевой инфильтрации окружающих тканей и характеризуется повышением эхогенности окружающей жировой клетчатки в виде неровного гиперэхогенного ободка вокруг опухоли, стягиванием фиброзных волокон и стромы. Границы опухоли при эхографии всегда нечеткие из-за выраженной ин-фильтрации окружающих тканей.
Звездчатость формы определяется выраженным давлением опухоли на связки Купера.Довольно долго дистальное ослабление считалось как наиболее постоянный признак злокачественности опухоли. Однако доказано, что возникновение акустических эффектов позади опухолей обусловливается наличием и количеством соединительной ткани.
Акустическая тень определяется в 30—65% случаев. Установлено, что преобладание соединительно-тканного компонента в опухоли способствует большему затуханию ультразвуковых волн, вследствие чего ухудшается визуализация тканей, расположенных позади опухоли. Для скиррозной формы раков характерно большое содержание (до 75%) соединительной ткани.
Акустическая тень один из часто встречаемых ультразвуковых признаков скиррозных формах рака.Позади злокачественной опухоли грудной железы дополнительных акустических эффектов может не быть либо может отмечаться дистальное усиление, как при медуллярной и муцинозной формах рака. Дистальное усиление может также наблюдаться позади злокачественных опухолей, растущих в полости кист, а также позади некоторых инфильтративных протоковых раков.
Выделяют еще один вид инвазивного, или инфильтрирующего, злокачественного процесса в грудных железах, которым является инфильтративный протоковый рак.
Он растет в области терминального протоково-долькового сегмента и не имеет специфической гистологической дифференцировки.
Рак может расти в паренхиме, образуя гнезда, аналогично внутрипротоковой карциноме, вдоль протоковых структур, проникая сквозь базальную мембрану. Иногда выявляется фиброзный компонент, в ткани может присутствовать компоненты карциномы in situ.
Инфильтративный протоковый рак на ультрасонографии
Инфильтративный протоковый рак имея обширное внутрипротоковое распространение, не всегда может быть определено во время операции и впоследствии может дать локальные рецидивы. В данной ситуации очень существенно, чтобы граница оперативного вмешательства проходила вне опухолевой инфильтрации.
Однако главным в нахождении опухолевой инфильтрации протоков является морфологическое заключение.Протоковый рак чаще всего имеет звездчатую и дольчатую структуру с неровными краями. При ультразвуковом исследовании диффузно растущий рак может не визуализироваться, поскольку раковые клетки прорастают через паренхиму или жировую ткань и не об разуют опухоль как таковой.
Диффузные опухоли становятся видимыми, когда имеются сопутствующие фиброзные изменения, приводящие к уплотнениям. В узловых формах фиброз наиболее выражен в центре. Цветовое допплеровское картирование может быть использовано для дифференциации сосудов от протоков, так как и те и другие имеют вид тубулярных гипоэхогенных структур.

Микрокальцинаты нередко комбинируются с раками грудной железы в 42% и легко выявляются при рентгеновской маммографии. Рентгеновская маммография имеет хорошие прогностические возможности в определении распространенности внутрипротоковых опухолей.
Рентгеновская дуктография ведущий метод диагностики внутрипротокового рака грудной железы, благодаря выявлению микрокальцинатов, которые являются подозрительными на злокачественность опухолевого процесса. Косвенными признаками непальпируемых раков являются микрокальцинаты, которые лучше выявляются при рентгеновской маммографии.
Поскольку микрокальцинаты являются одним из патогномоничных признаков злокачественности опухолевого процесса их обнаружение имеет существенную роль.
При применении высокоразрешающей ультразвуковой аппаратуры с правильно сфокусированными датчиками можно обнаружить крохотные эхогенные точки внутри образования, которые соответствуют маммографическому изображению кальцинатов. Почти всегда небольшие кальцинаты не дают акустической тени.
На УЗИ молочных желез микрокальцинаты сложно дифференцировать на фоне эхогенной железистой ткани или тканей со значительным количеством отражающих поверхностей.
Рак Педжета при ультразвуковом исследовании
Одним из вариантов локализации рака грудной железы является сосок и позадисосковая зона (ареола), который именуется еще раком Педжета. Клинически он проявляется воспалительной реакцией и изъязвлением. Рак Педжета может быть вызван инвазивной карциномой или карциномой in situ. Опухоль растет из субареолярных протоков и распространяется на сосок и ареолу.
Необходимо помнить, что он может локализоваться в различных отделах железы, а вовлечение соска вызвано распространением этой опухоли. Диагноз рака Педжета подтверждается цитологическим исследованием экземы соска или при открытой биопсии.
Эхографически объем опухоли может колебаться от нескольких миллиметров до крупных размеров в виде гипоэхогенного участка неправильной формы в соске или позадисосковой зоне. При небольших размерах он может обнаруживаться при сравнении обоих сосков с помощью высокочастотных датчиков.
Раковый узел, расположенный в субареолярной зоне, при рентгеновской маммографии диагностируется лучше.Для оценки характера и степени кровоснабжения выявленных в грудной железе патологических образований на УЗИ часто применяют шкалу васкуляризации опухолей слюнных желез по Мартиноли.
Согласно этой классификации, степень внутриопухолевой васкуляризации оценивалась визуально по четырем уровням: 0 — бессосудистые опухоли — цветные сосудистые сигналы не определяются ни в центре, ни по периферии очагового образования; I — слабо васкуляризированные опухоли — выявляются случайные пиксели цвета в паренхиме опухоли и/или виден одиночный питающий сосуд; II — патоло-гические образования со средней степенью васкуляризации — когда определяются множественные сосудистые ножки, входящие в опухоль и/или видны хорошо визуализируемые сосуды; III — патологические образования с высокой степенью васкуляризации, когда в опухоли легко определяются большие питающие сосуды и большое количество цветных сигналов.
Изучение качественных характеристик спектра допплеровского сдвига частот при исследовании кровотока в опухолевых сосудах молочной показало, что спектральная кривая в них бывает одного типа — монофазная, при этом на допплеровском спектре отчетливо выявляются пиковая систолическая и конечная диастолическая скорости.
Саркома молочной железы при ультрасонографии
Саркома грудной железы на УЗИ встречается редко и составляет лишь 1 % всех злокачественных образований этого органа.
Образуется образование чаще всего из мезенхимальных элементов доброкачественной опухоли, такой, как филлоидная фиброаденома, или из стромы грудной железы.
По данным литературы, липосаркома составляет от 0,001 до 0,03% случаев среди злокачественных опухолей грудной железы.
Различают различные гистологические типы сарком грудной железы:
- злокачественная гистиоцитома;
- фибросаркома;
- стромальная саркома;
- липосаркома;
- ангиосаркома;
- лейомиосаркома;
- рабдомиосаркома;
- остеохондросаркома и хондросаркома;
- постмастэктомическая ангиосаркома;
- саркома, индуцированная лучевой терапией.
Частота сарком зависит от гистологической классификации. Ангиосаркомы являются опухолями с формированием сосудов, характеризуется неблагоприятным прогнозом.
Большинство саркомы имеет узловую форму роста, форма их чаще округлая, овальная, с наличием псевдокапсулы, с четким неровным контуром. Эхоструктура чаще мелкодольчата, васкуляризация умеренная или выраженная.
На рентгеновской маммограмме саркома определяется как округло-овальной формы образования с ровным контуром.
Метастазы рака молочной железы на УЗИ
Метастазы грудной железы имеют место от 1 до 6% от всех злокачественных новообразований молочной железы. Первичный опухолевый очаг может образоваться в легких, желудочно-кишечном тракте, органах малого таза, мочевом пузыре или контрлатеральной грудной железе.
Метастатические опухоли в грудной железе могут быть единичными, но намного чаще множественными. Они могут пальпироваться или нет. Поражение может быть односторонним или двусторонним, с вовлечением лимфатических узлов или без него.
При ультразвуковой маммографии определяется образование неоднородной структуры, гипоэхогенное, округлой формы с довольно ровными и четкими контурами. Появление гиперэхогенной капсулы (участков десмоплазии) на УЗИ молочной железы нетипично.
Как правило метастазы, в отличие от первичных опухолей, зачастую располагаются в подкожной зоне. Метастазы могут быть основным ультразвуковым проявлением онкологического заболевания у пациентки без первично выявленного очага или регистируются в грудной железе на поздних стадиях заболевания.
В обоих случаях важно сделать аспирацинную биопсию для подтверждения заболевания, так как маммографические и эхографические находки не специфичны. Например, при рентгеновской маммографии определяются хорошо очерченные многочисленные округлые затемнения, которые плохо дифференцируются с кистами.



