Лимфоцитоз и нейтропения у взрослых: витамины, как выглядит, лекарства, средства
Многие годы безуспешно боретесь с ГИПЕРТОНИЕЙ?
Глава Института: «Вы будете поражены, насколько просто можно вылечить гипертонию принимая каждый день…
Читать далее »
В организме человека постоянно происходит множество реакций в ответ на внешние условия. Иммунная система – первейший барьер, который встречает чужеродный агент на своем пути. Ее реакция – повышение или снижение определенных компонентов крови.
Лимфоцитоз – это увеличение содержания лимфоцитов в периферической крови свыше 37%. В разных источниках можно встретить разные показатели нормы лимфоцитов, в среднем их количество должно составлять 20-40%. В абсолютных числах лимфоциты составляют 0,8-3,6 грамм клеток в литре периферической крови.
Белые кровяные клетки (лейкоциты) составляют основное звено иммунитета, они могут сами обезвреживать чужеродные частицы, синтезировать специфические защитные белки (иммуноглобулины) и хранить память о встрече с возбудителем десятилетиями и даже всю жизнь.
Лимфоциты составляют до 40% всех белых кровяных телец, различают Т-лимфоциты, участвующие главным образом в клеточных реакциях на «чужое» и В-лимфоциты, вырабатывающие иммуноглобулины. В разные фазы заболевания количество тех или иных фракций лимфоцитов может отличаться, а их общее количество – повышается.
В процессе выздоровления лимфоциты постепенно приходят в норму, но довольно долгое время после перенесенной инфекции показатель может оставаться повышенным. Если лимфоцитоз присутствует постоянно без явной на то причины – это тревожный симптом, который может говорить о злокачественных опухолях и тяжелых нарушениях иммунитета.
Лимфоцитоз не считается самостоятельным заболеванием. Это явление сопровождает самую разную патологию и служит маркером неблагополучия или процесса выздоровления, поэтому при обнаружении повышенного количества лимфоцитов первостепенная задача – выяснить его истинную причину, в соответствии с которой врач будет определять характер лечения и его целесообразность.
Причины и виды лимфоцитоза: относительный, абсолютный
В зависимости от общего числа лимфоцитов в крови различают абсолютный и относительный лимфоцитоз.
Об относительном лимфоцитозе говорят тогда, когда их количество в литре крови остается неизменным, а меняется лишь процентное соотношение с другими фракциями белых клеток крови. Такой лимфоцитоз встречается намного чаще и обычно сопутствует увеличению или уменьшению общего количества лейкоцитов за счет других составляющих формулы белого ростка гемопоэза.
Абсолютный лимфоцитоз означает, что увеличена масса лимфоцитов в объеме крови, то есть абсолютное их число, вне зависимости от концентрации других клеток белого ростка, хотя на фоне роста числа лимфоцитов будет и увеличение общего количества белых клеток.
НАШИ ЧИТАТЕЛИ РЕКОМЕНДУЮТ!
Для лечения гипертонии наши читатели успешно используют ReCardio. Видя, такую популярность этого средства мы решили предложить его и вашему вниманию.
Подробнее здесь…
Относительный лимфоцитоз, как правило, является показателем выздоровления или недавно перенесенной инфекции, часто встречается и у взрослых, и у детей в начальной фазе вирусных заболеваний, поэтому при его обнаружении в анализе не нужно поддаваться панике, а стоит вспомнить, чем в ближайшее время пациент болел и нет ли каких-то новых симптомов начинающейся инфекции.
Если относительный лимфоцитоз в большинстве случаев не требует никакого лечения и является фактически отражением нормальной работы иммунитета при инфекции, то абсолютное увеличение количества лимфоцитов почти всегда считается указанием на серьезные изменения и потому этот показатель игнорировать нельзя.
Не являясь самостоятельной болезнью, лимфоцитоз сопровождает самые разные патологические изменения и особые состояния иммунной системы организма. Причины лимфоцитоза крайне разнообразны, но всегда есть «провоцирующий» агент – вирус, бактерия, клетка раковой опухоли.
Абсолютный лимфоцитоз может сопровождать:
- Острые вирусные респираторные поражения;
- Коклюш;
- Внедрение цитомегаловируса, вируса гепатита;
- Инфекционный мононуклеоз;
- Туберкулез;
- Поражение токсоплазмой;
- Нарушение функции щитовидной железы и надпочечников;
- Злокачественные опухоли, где основной субстрат – белые клетки крови (лимфолейкозы, парапротеинемии).
Относительный лимфоцитоз отражает вирусные инфекции, характерен для процесса выздоровления после них, обнаруживается у пациентов с ревматическими болезнями, увеличением селезенки. Относительный лимфоцитоз считается вариантом нормы у детей первых двух лет жизни.
В педиатрии относительное повышение лимфоцитов встречается довольно часто. Дети больше подвержены всевозможным инфекциям, в первые годы жизни только происходит становление иммунитета и встреча с самыми разными возбудителями.
Лимфоцитоз появляется при респираторных инфекциях, краснухе, кори, скарлатине, ветрянке.
Некоторые специалисты считают, что даже сильные физические нагрузки и частые стрессы у ребенка могут спровоцировать некоторые сдвиги в формуле крови.
У взрослых в числе основных причин лимфоцитоза также фигурируют инфекции, но при абсолютном увеличении числа лимфоцитов высока вероятность злокачественной опухоли системы кроветворения.
Проявления лимфоцитоза
Так как лимфоцитоз – не самостоятельная патология, а отражение других заболеваний, то проявления его не будут отличаться специфичностью. Симптомы зависят от разновидности лимфоцитоза и причины, его вызвавшей.
Если лимфоциты повышены вследствие вирусной инфекции, то признаков этого лабораторного синдрома ожидать не приходится. В клинике на первый план выступят повышение температуры, кашель, боль в горле, насморк сыпь, кишечные расстройства и т. д. При обследовании будет выявлен не только лимфоцитоз, но и другие отклонения в анализах.
В случае, когда меняется формула крови уже у переболевшего какой-то инфекцией взрослого или ребенка, состояние здоровья и вовсе будет близким к норме, симптомы заболевания будут отсутствовать.
Часто по поводу такого относительного лимфоцитоза переживают родители малышей, тщетно пытаясь обнаружить его причину и подвергая чадо бесконечным обследованиям.
Если общее число белых клеток крови близко к норме, а факт перенесенной вирусной инфекции подтвержден, даже если она была месяц-два назад, излишне волноваться не стоит, достаточно лишь наблюдать за состоянием ребенка и через какое-то время анализ переделать.
Абсолютный лимфоцитоз может составить большую проблему. Если количество лимфоцитов повышается вследствие опухоли кроветворной ткани, то симптомы будут указывать на рост неоплазии.
Появятся боли в костях, увеличится селезенка и печень, лихорадка станет постоянной, вероятны признаки нарушения свертываемости крови – кровоточивость, инфекции становятся частыми и более тяжелыми за счет общего снижения иммунитета.
Часто изменения количества лимфоцитов сочетаются с другими отклонениями в анализе крови.
Так, лимфоцитоз и нейтропения очень характерны для вирусных инфекций – ОРВИ, коклюш, дифтерия, сепсис и др. Также в период выздоровления можно выявить эту аномалию.
Некоторые иммунодефицитные синдромы тоже могут давать такую картину крови.
Снижение числа сегментоядерных лейкоцитов приводит к увеличению процентного содержания лимфоцитов, поэтому при нейтропении лимфоцитоз часто носит относительный характер, а симптоматика будет вызвана не столько лимфоцитозом, сколько недостатком нейтрофилов – лихорадка, частые инфекции дыхательных и мочеполовых путей, грибковые поражения и др.
При сильной нейтропении и относительном лимфоцитозе высок риск вторичных инфекционных осложнений. Это явление нельзя считать ни нормой, ни реакцией на перенесенное заболевание, если абсолютное число сегментоядерных лейкоцитов снижается до полутора и менее в литре крови.
Сочетание «лимфоцитоз и моноцитоз», когда увеличивается еще и количество моноцитов, характерно для некоторых детских инфекций – корь, ветрянка, эпидемический паротит, в таких случаях оно не представляет существенной угрозы. При значительном увеличении клеток этих двух групп врач может заподозрить моноцитарный лейкоз, миелодиспластический синдром, которые относят к злокачественным опухолям кроветворной системы.
https://youtube.com/watch?v=Vfq6uKTM2E0
Инфекционный мононуклеоз – вирусная инфекция, сопровождающаяся значительным лимфоцитозом с появлением в крови атипичных мононуклеаров, предшественниками которых являются моноциты. Симптоматика заболевания сводится к катару верхних дыхательных путей, ангине, лихорадке, увеличению всех групп шейных, подчелюстных лимфоузлов, селезенки, возможна желтуха.
Сильные интоксикации и бактериальные инфекции способны вызвать увеличение общего количества лейкоцитов до больших цифр наряду с относительным или абсолютным лимфоцитозом, а в анализе выявится высокий лейкоцитоз.
Такое явление часто встречается у маленьких детей. Присутствуют симптомы вирусной инфекции с повышением температуры в течение 3-5 дней, катаральные явления, возможна сыпь.
Количество лейкоцитов может достигать 50х109 в литре крови, а лимфоцитов в ней будет до 80%.
Длительно существующий, своего рода хронический лимфоцитоз, может быть признаком вялотекущей инфекции, иммунодефицитного синдрома или начинающегося онкологического процесса. Обычно такие пациенты испытывают постоянную слабость, жалуются на длительную лихорадку, частые простуды.
С другой стороны, некоторое повышение лимфоцитов относительно других клеток белого ростка может наблюдаться годами у практически здоровых людей. Вероятно, это можно связать с индивидуальными особенностями организма, ведь показатели нормы, хоть и определены, все же могут быть индивидуальны для каждого из нас.
Диагностика и лечение лимфоцитоза
Для того, чтобы выявить увеличение числа лимфоцитов, нет необходимости проходить сложные и многочисленные анализы, достаточно сдать общий анализ крови и посмотреть на лейкоцитарную формулу. При изменениях в числе клеток врач может назначить повторное исследование с подсчетом абсолютных цифр лимфоцитов.
В норме лимфоциты составляют примерно 20-40% от всего количества клеток белого ростка костного мозга или 0,8-3,6 грамм в литре крови. Отклонения сопоставляются с особенностями клинической картины и жалобами пациента.
Таблица: нормы лимфоцитов и других лейкоцитов для детей по возрасту
В неясных случаях, при подозрении на опухоли может быть проведено иммунофенотипирование, определение некоторых групп антител, поиск вирусных или бактериальных антигенов. Диагностический поиск будет зависеть от предполагаемой причины лимфоцитоза.
Лечения как такового сам по себе лимфоцитоз не требует. Его целесообразность и вид определяются первопричиной. Если пациент выздоравливает после инфекции и жалоб не предъявляет, то лишь лабораторный показатель лечить не стоит. Через несколько месяцев он точно придет в норму, а может и раньше.
Когда лимфоциты свидетельствуют об острой инфекции, врач назначит противовирусные препараты или антибиотики, противогрибковые средства, обильное питье, жаропонижающие средства и т. д.
Если при знакомых всем ОРВИ лечение примерно одинаковое для большинства больных, то в случае подтверждения злокачественной опухоли появится необходимость в назначении цитостатиков, иммунодепрессантов, дезинтоксикационной терапии, а для профилактики инфекций будут использованы антибактериальный средства и фунгициды.
Вопрос профилактики лимфоцитоза – это, скорее, предупреждение появления его причин. Так, чтобы избежать колебаний числа лимфоцитов, следует укреплять иммунитет здоровым образом жизни и закаливанием, в холодное время года, когда вероятность заражения респираторными вирусами очень высока, нужно избегать мест большого скопления людей, принимать витамины и микроэлементы.
Если инфекция настигла, и в крови диагностирован лимфоцитоз – паниковать не стоит, ведь после выздоровления показатели крови вернутся в норму. Это же касается и малышей, особенно склонных к частым простудам.
В случае, когда появляется немотивированная слабость, длительная лихорадка и другие ничем необъяснимые симптомы, стоит сдать общий анализ крови, и если в нем будет значительный прирост лимфоцитов, то врач никогда не оставит его без внимания, назначив тщательное обследование и необходимое лечение.
: когда это опасно? Лимфоцитоз и онкология
Причины повышенных лимфоцитов и пониженных нейтрофилов в крови
Лимфоциты и нейтрофилы относятся к группе белых клеток крови — лейкоцитов. Каждый вид выполняет определенную функцию по защите организма от болезней.
В анализе крови оценивают не только общий уровень лейкоцитов, но и относительное содержание каждого вида белых клеток. Оно отображается в лейкоцитарной формуле.
Нередко общее количество лейкоцитов остается неизменным, при этом меняется соотношение элементов в лейкоцитарной формуле.
Нейтрофилы — самая многочисленная группа, которая составляет у взрослого более половины всех лейкоцитов (от 45 до 72%). их задача — борьба с бактериальными инфекциями. Они очень быстро реагируют на проникновение чужеродных микроорганизмов, сразу же устремляются в место внедрения, поглощают бактерии, переваривают их и погибают вместе с ними.

Лимфоциты в ответе за иммунитет. Основная их задача — борьба с вирусными инфекциями и уничтожение раковых клеток. Для борьбы с вредными агентами они вырабатывают антитела к ним.
Чтобы узнать, почему лимфоциты в крови повышены, а нейтрофилы понижены, нужно иметь представление о функциях этих клеток и возможных причинах изменения их уровня.
Почему могут быть понижены нейтрофилы?
Советуем вам почитать:Почему понижены нейтрофилы в крови?
Низкое их содержание в крови характерно для некоторых заболеваний и таких состояний:
- инфекции вирусного происхождения (ветрянка, гепатиты, грипп);
- воспалительные процессы;
- лучевая болезнь;
- прием некоторых препаратов (как правило, цитостатиков или иммунодеперссантов при лечении аутоиммунных болезней или злокачественных опухолей, а также антимикробных — пенициллина, цефалоспорина, сульфаниламида);
- химиотерапия при онкозаболеваниях;
- агранулоцитоз;
- анемия (апластическая и гипопластическая);
- воздействие радиации.
Почему повышаются лимфоциты?
Лимфоциты считаются главными иммунными клетками. Они вырабатывают антитела против чужеродных микроорганизмов, формируют гуморальный иммунитет. Они составляют порядка 25-40% от всех лейкоцитов. Повышение их в крови происходит в следующих случаях:
- при вирусных заболеваниях;
- при туберкулезе;
- при остром и хроническом лимфолейкозе;
- при лимфосаркоме;
- при гипертиреозе.
О повышенном уровне этих клеток говорят, если их абсолютное количество превышает 3,6х109 на литр. Нейтрофилы в крови при таких патологиях могут быть понижены.
Причины повышенных лимфоцитов и пониженных нейтрофилов
Более важное диагностическое значение имеет лейкоцитарная формула, поскольку чаще всего изменения происходят именно в ней, в то время как общее количество лейкоцитов не меняется.
Так, при вирусных инфекциях абсолютный уровень лейкоцитов в крови остается в пределах нормы или слегка повышен, в то время как в лейкограмме лимфоциты повышены, а нейтрофилы понижены.
Как было сказано выше, это происходит в основном при вирусных инфекциях, злокачественных опухолевых заболеваниях, при воздействии радиации, после приема некоторых лекарств. Такие изменения в лейкограмме говорят о том, что организм борется с болезнью.
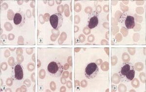
Так выглядит лимфоцитоз в крови под микроскопом
Снижение гранулоцитов при повышенных лимфоцитах может наблюдаться, если человек недавно перенес ОРВИ или грипп. Как правило, показатели крови приходят в норму не сразу, а спустя некоторое время после выздоровления. Таким образом, нейтропения на фоне лимфоцитоза свидетельствует о том, что инфекция идет на убыль, наступает выздоровление.
Следует сказать, что повышенные лимоциты и пониженные нейтрофилы — это нормальное состояние для детей. Дело в том, что нормы для взрослых отличаются. Так, количество нейтрофилов у детей меньше, чем у взрослых, и составляет в разные годы жизни от 30 до 60%, у взрослых этот показатель — 45-72%. Лимфоцитов у детей, наоборот, больше, чем у взрослых — 40-65%.
Расшифровка анализов
При расшифровке анализа крови оцениваются все показатели в совокупности. При диагностике уделяется особое внимание лейкоцитарой формуле, которая отражает соотношение всех видов белых клеток крови.
При заболеваниях содержание одних лейкоцитов может изменяться из-за повышения или понижения других.
По лейкоцитарной формуле можно судить о развитии осложнений, о том, как протекает патологический процесс, а также прогнозировать исход заболевания.
По данным лейкограммы можно отличить вирусное заболевание от инфекционного. При вирусном общее число всех лейкоцитов не меняется или повышено незначительно, но есть изменения в лейкоцитарной формуле: лимфоциты повышены, нейтрофилы снижены.
При этом СОЭ (скорость оседания эритроцитов) повышается незначительно, за исключением острых выраженных процессов вирусного происхождения. Что касается бактериального поражения, уровень лейкоцитов растет за счет роста гранулоцитов, относительное содержание лимфоцитов падает.
СОЭ при бактериальных инфекциях достигает очень высоких значений.
В заключение
Таким образом, можно сделать вывод: если повышены лимфоциты и понижены нейтрофилы, то в организме присутствует очаг инфекции, скорее всего вирусной. Однако результаты анализа крови нужно сопоставлять с клинической картиной.
Если какие-либо признаки заболеваний отсутствуют, возможно, речь идет о носительстве вируса.
При понижении уровня гранулоцитов с одновременным повышением лимфоцитов требуется полное обследование, поскольку не исключены такие опасные патологии, как гепатиты, ВИЧ.
О чем это говорит, если у взрослого нейтрофилы понижены, а лимфоциты повышены
С самого рождения человек защищён от болезнетворных микроорганизмов силами естественного иммунитета.
Первая линия защиты представлена иммунными клетками, реагирующими не на конкретный вид антигена, а на сам факт наличия чужеродного биоматериала (раковые клетки, вирусы, бактерии, микроскопические грибы).
Клеточный тип врождённого иммунитета представлен 5 видами лейкоцитов, из которых нейтрофильные гранулоциты и лимфоциты наиболее остро реагируют на инфекцию.
Количество всех видов лейкоцитов определяется в рамках расширенного клинического анализа крови или лейкоцитарной формулы. Важно понимать, на что указывает дисбаланс соотношения клеток крови у взрослых и детей, особенно низкий уровень нейтрофилов и высокий лимфоцитов.
Нормы и функции иммунных клеток
Несмотря на общую разнородность лейкоцитов, их функционал сведён к реализации клеточного и гуморального иммунитета в ответ на инфекционное заражение клеток.

Нейтрофилы – преобладающий вид лейкоцитов в системном кровотоке человека. У взрослых людей их количество находится в пределах от 45 до 75 %, в то время как содержание лимфоцитов не должно превышать 35 %.
Исключение составляют груднички до 1 года, для них норма лимфоцитов от 55 до 75 %, а нейтрофилов – от 15 до 35 % от суммарного числа лейкоцитов. Такое соотношение необходимо для обеспечения усиленной защиты организма ребёнка от инфекции пока иммунная система недостаточно сформирована и отсутствует приобретённый иммунитет.
Функции лейкоцитов
Лимфоциты представлены тремя субпопуляциями:
- Т-клетки, различают 2 типа: цитотоксические (уничтожают заражённые внутриклеточными паразитами и раковые клетки) и регуляторные (определяют степень выраженности и длительность иммунного ответа);
- В-клетки – ответственны за реализацию гуморального иммунитета. После взаимодействия с чужеродными антигенами (на поверхности вирусов или бактерий) превращаются плазмоциты. После чего начинают активно выделять антитела, способные останавливать рост микроорганизмов и нейтрализовать их ядовитые вещества;
- натуральные киллеры – разрушают заражённые (ВИЧ, папилломавирус) и раковые клетки, на поверхности которых отсутствует МНС 1 (главный комплекс гистосовместимости). Так как подобное состояние делает их недоступными для распознавания и уничтожения другими типами лимфоцитов.
Читайте далее: Что такое лимфоциты в анализе крови, норма и отклонения
Функции нейтрофилов
Нейтрофильные лейкоциты реализуют защитную функцию несколькими путями. Фагоцитоз – процесс поглощения и дальнейшее уничтожение относительно мелких чужеродных частиц. Гибель нейтрофилов сопровождается выходом из них в межклеточное пространство активных молекул, обладающих антигрибковой и противобактериальной активностью.
Механизм действия антимикробных пептидов основан на нарушении целостности мембраны клетки, что объясняет преимущественное воздействие на бактерии и микроскопические грибы. Следует отметить, что нейтрофильные лимфоциты не проявляются выраженной активности при борьбе с раковыми клетками и гельминтами.
В начале XXI века установлена роль нейтрофилов в процессе нетоза – запрограммированное разрушение клеток путём создания сети из ДНК нейтрофилов, белков и противомикробных веществ. Сеть удерживает болезнетворные бактерии, и они погибают.
О чем это говорит, если нейтрофилы понижены, а лимфоциты повышены у взрослого?
Такие показатели могут наблюдаться при острой вирусной инфекции, однако в отдельности лабораторные показатели не позволяют установить окончательный диагноз. Для диагностики их применяют в сочетании с инструментальными методами обследования и данными о клинической картине каждого пациента.
Расшифровкой результатов анализа должен заниматься исключительно специалист. Не следует самостоятельно пытаться установить диагноз и выбирать лечение. Результатом отсрочки назначения адекватных методов терапии может стать ухудшения состояния больного, вплоть до летального исхода.
В медицинской практике понижение количества сегментоядерных нейтрофилов обозначается термином нейтропения, а повышение уровня лимфоцитов у взрослых и детей носит название лимфоцитоз.
Пониженные нейтрофилы и повышенные лимфоциты в крови у взрослого могут наблюдаться при инфекционном (вирусами, бактериями) заражении.
Особую опасность представляет обширное заражение, сопровождающееся проникновением возбудителя в системный кровоток.
При этом костный мозг не успевает синтезировать достаточное количество нейтрофилов, гибнущих после контакта с возбудителем в большом количестве. Состояние сопровождается симптомами общей интоксикации организма:
- резким повышением температуры;
- слабостью;
- помутнением сознания;
- тахикардией;
- учащением дыхания до 20 и более в минуту;
- падением артериального давления.
В случае если у человека отмечаются признаки острого инфекционного заражения или сепсиса, то следует немедленно обратиться за помощью врача. Пациента госпитализируют для круглосуточного наблюдения мед. персонала. Такие меры необходимы для предотвращения септического шока, который у каждого второго пациента заканчивается летально.
Читайте далее: Если у взрослого повышены лимфоциты,каковы причины и что делать?
Онкология – другая причина дисбаланса иммунных клеток
В-лимфоциты и нейтрофилы – клетки иммунной системы вырабатываются и дифференцируются в костном мозге. Поэтому при онкологических патологиях, затрагивающих его работу, наблюдаются низкие нейтрофилы и высокий уровень лимфоцитов, например:
- апластическия анемия – замедление или полная остановка созревания и дифференцировки клеток иммунной системы в костном мозге. Клиническая картина: слабость, головокружение, быстрая утомляемость, бледная кожа, кровоточивость, проникновение нейтрофилов из кровотока в межклеточное пространство. Опасность заболевания – возможность длительного бессимптомного протекания, последствия – лейкоз. Длительная ремиссия при правильном подборе методов лечения достигается у половины пациентов;
- хронический лимфоцитарный лейкоз – избыточное депонирование В-лимфоцитов в костном мозге, лимфатической системе и печени. Считается наследственным заболеванием. Самая распространённая онкогематологическая патология. Как правило, первые признаки проявляются после 50 лет. В 55 % случаев медленно прогрессирует, позволяя пациенту прожить более 10 лет;
- неходжкинская лимфома – гетерогенная группа всех злокачественных лимфом за исключением лимфогранулематоза (лимфомы Ходжкина). Для каждой из них характерна специфичная клиническая картина, степень тяжести и прогресса. В среднем пятилетняя выживаемость людей превышает 70 %.
Читайте далее: Какие показатели анализа крови говорят о раке?
Снижение лимфоцитов
Отдельно следует выделить причины изменения количества лейкоцитов в крови в меньшую сторону. Подобное состояние характерно для острой стадии инфекции бактериальной природы. Защищая организм человека, клетки быстро гибнут, при этом достаточное количество не успевает синтезироваться. В то время как хронический инфекционный процесс сопровождается стабильно высокими значениями лимфоцитов.

Пониженное содержание лимфоцитов может быть результатом длительного приёма лекарственных средств. Особенно препаратов, обладающих протусудорожным и противоэпилептическим воздействием на человека.
В анализе пациентов с ВИЧ-положительным статусом, аутоиммунными патологиями, а также при врождённой аплазии тимуса и паращитовидных желёз нередко отмечается снижение количества лимфоцитов.
Самое важное
Следует выделить важные моменты:
- запрещено изолировано от других диагностических методов применять результаты анализа с целью постановки окончательного диагноза;
- незначительное отклонение от нормы (в пределах 5 %) не представляет диагностической значимости. Оно может быть результатом пренебрежения пациента к правилам подготовки к анализу (кровь сдавалась не натощак, после физического или эмоционального стресса, применялись различные лекарственные препараты);
- длительность получения результатов анализа не превышает 24 часов;
- стабильно низкие нейтрофилы в сочетании с высокими лимфоцитами, как правило, признак инфекционного заболевания. Однако при его исключении целесообразно провести масштабный скрининг с применением лабораторных (онкомаркеры) и инструментальных (КТ, МРТ, УЗИ) методов на предмет наличия онкопатологий.
Читайте далее: Что такое лимфоциты в анализе крови, норма и отклонения
Лимфоцитоз: причины, виды, лечение, симптомы и диагностика
Лимфоцитоз – это физиологическое состояние организма, когда увеличивается количество лимфоцитов в крови, которая циркулирует по сосудам (периферический кровоток). Лимфоцит – это клетка, которая является разновидностью лейкоцитов агранулоцитного типа – белых кровяных телец. Функции лимфоцитов:
- Иммунный, защитный характер – выработка антител к чужеродным белкам – иммунитет гуморального типа;
- Регуляторный характер – разрушение атипичных клеток, таких как клетки с выраженной онкологией, клетки с мутациями;
- Клеточный иммунитет – контактное взаимодействие с клетками-жертвами – бактериями, вирусами, грибками.
- Норма содержания лимфоцитов относительно общего количества лейкоцитов в крови выглядит так:
- Взрослый человек – 21-38%;
- У детей – от 15% – 35 % (новорождённые) до 30% – 50% (с 6 до 15 лет).
У женщин отмечается отклонение от нормы до 49%-55% в период критических дней или наступления беременности.
Лимфоцитоз у взрослых наблюдается, когда повышается процентное содержание лимфоцитов на 15%. Повышение возникает как ответная реакция на аллерген, стресс или инфекцию. Также своё влияние имеет тип питания и качество окружающей среды.
У детей, возраст которых не превышает 1 год, активно формируется собственная иммунная система. Поэтому содержание лимфоцитов в крови ребёнка доходит до 70%.
Функционально лимфоциты делятся на три группы:
| Т-лимфоциты | В-лимфоциты | NK-лимфоциты | |
| Локализация | Тимус – вилочковая железа. | Костный мозг. В период эмбрионального развития ещё и в печени. | Костный мозг. В малом количестве в селезёнке и лимфатических узлах. |
| Функция | Обеспечивают иммунный ответ через активацию В-лимфоцитов и NK-лимфоцитов. | Обеспечивают гуморальный иммунитет. Распознают чужеродные белки и вырабатывают против них антитела. | Натуральные киллеры. Токсичны для онкологических клеток, собственных клеток организма, которые перенесли мутацию. |
Виды лимфоцитоза
Лимфоцитоз имеет код по МКБ-10 (международная классификация болезней 10-го пересмотра) – D72.8.
Относительный лимфоцитоз
Относительный лимфоцитоз – это явление, при котором лейкоциты находится в пределах нормы в единице объёма крови. При этом количество лимфоцитов в пропорциональном отношении к клеткам того же класса повышено.
Такая картина может встречаться как вариант нормы, если анализ сдавал ребёнок в возрасте до двух лет. У детей в процессе развития иммунной системы происходит изменение числа лимфоцитов и нейтрофилов.
Это явление носит физиологический характер и называется нейтрофильно-лимфоцитарный перекрёст.
У взрослых такой показатель часто говорит об истощении иммунной системы и является признаком затяжной гнойно-воспалительной болезни – фурункулёза или затяжной пневмонии. При этом количество нейтрофилов падает относительно лимфоцитов, потому что большая часть нейтрофилов уходит в гной и не успевает восстанавливаться. Нейтропения – резкое падение количества нейтрофилов крови.

Если количество лимфоцитов понижено до критического уровня, это лейкопения. Может проявиться при генетическом дефекте, нарушении обмена веществ с недостатком фолиевой кислоты, витаминов группы В и меди, поражениями костного мозга, работой с химическими реактивами – пестицидами, бензолами и т.д.
Если количество лимфоцитов повышено, такая клиническая картина может говорить о:
- спленомегалии – увеличении селезёнки;
- гипертиреозе – выделение гормонов щитовидной железы больше, чем того требует организм;
- болезни Аддисона – надпочечники не вырабатывают необходимое количество гормонов, особенно кортизола.
Гранулопения – пониженное содержание гранулоцитов в кровяном русле. Гранулоцит – это белое кровяное тельце с большим сегментированным ядром. Обеспечивает клеточный иммунитет. Производство угнетается при брюшном тифе и туляремии.
Относительный лимфоцитоз встречается чаще, чем абсолютный.
Абсолютный лимфоцитоз
Абсолютный лимфоцитоз – абсолютное повышение количества лимфоцитов в крови. По типу действия – реактивный лимфоцитоз. Возникает как реакция на другое острое заболевание:
- острые инфекции – ветряная оспа, корь, гепатиты различного генеза, коклюш;
- туберкулёз;
- онкологические болезни – лимфосаркома, лимфолейкоз;
- аутоиммунное заболевание – СПИД.
После устранения причины болезни проходит через 1-2 месяца.
Инфекционный лимфоцитоз
Инфекционный лимфоцитоз появляется при формировании острого поражения организма
Т-лимфотропным вирусом. Т-лимфотропные вирусы – это вирусы из рода дельтаретровирусов, которые вызывают у человека злокачественные образования кроветворной – Т- клеточный лейкоз и лимфоидной тканей – Т- клеточную лимфому. Поражает взрослых людей. Встречается редко.
Онкологический (злокачественный) лимфоцитоз
Злокачественный лимфоцитоз проявляет себя как самостоятельное заболевание лимфопролиферативного профиля – хронический или острый лейкоз.
Причины появления лимфоцитоза
Лимфоциты преимущественно локализуются в костном мозге. Но кроме костного мозга депо лимфоцитов находится также в селезёнке, тонком кишечнике, миндалинах горла, в группах лимфоузлов. При попадании чужеродного патогена в организм следует иммунный ответ – количество белых клеток крови увеличивается.
Лейкоцит в крови человека
Инфекции вирусного и бактериологического происхождения – самые распространённые причины лимфоцитоза. К ним также относятся:
- Вирусные инфекции – инфекционный мононуклеоз (болезнь Филатова), гепатит А, острый вирусный гепатит, корь, ОРВИ, ВИЧ, цитомегаловирусная инфекция.
- Бактериальные инфекции – туберкулёз, стафилококки, сифилис, сальмонелла, брюшной тиф, коклюш. Также бруцеллёз – мальтийская лихорадка.
- Болезни, вызванные паразитами – токсоплазмоз.
- Болезни эндокринной системы – гипертиреоз, болезнь Аддисона.
- Ревматические заболевания – подагра, ревматический артрит.
- Болезни лимфатической системы – лимфома, макроглобулинемия Вальденстрема, хронический лимфолейкоз.
- Болезни онкологического происхождения злокачественного и доброкачественного характера, в том числе поражение кроветворных органов.
Среди причин увеличения лимфоцитов в крови не только заболевания. Лимфоцитоз вызывает также:
- Длительное курение табака. У курильщиков уровень лимфоцитов повышен.
- Стресс, провоцирующий гормональные всплески. Сюда относятся критические дни у женщин, тяжёлые физические нагрузки. Если при стрессовой ситуации возникает подсознательная реакция «бей либо беги», то в крови повышается уровень клеток «естественных киллеров». Если такой стресс длится долго и переходит в хроническую форму, появляется обратный эффект – лейкопения. Лимфоцитоз временный, проходит сам.
- Отравление организма тяжёлыми металлами или химическими веществами – свинцом, дисульфидом углерода, мышьяком.
- Удаление селезёнки.
- Лечение некоторыми препаратами – левомицетином, фенитоином, леводопом, глюкокортикоидные лекарства. Или передозировка анальгетиками.
- Истощение организма может характеризоваться упадком сил, вялостью, пониженной температурой.
Симптомы лимфоцитоза
Самостоятельной болезнью не является, кроме инфекционной формы. В большинстве случаев это дополнительный симптом к заболеванию. Поэтому признаками лимфоцитоза выступают симптомы основной болезни, которая вызвала сдвиг в лейкоцитарной формуле.
Назначить лечение может только квалифицированный специалист после полного обследования и установления диагноза.
К симптомам вероятного лимфоцитоза относят:
- Увеличение печени – гепатомегалия, селезёнки – спленомегалия.
- Увеличенные лимфатические узлы – лимфаденопатия.
- Усиленная работа потовых желёз.
- Слабость и утомляемость.
- Резкое изменение температуры тела, которое сопровождается истощением и ознобом.
- Нарушения в работе пищеварительной системы – рвота, тошнота, диарея, запор чередование стула.
- Гипертермия слизистой зева, кашель, насморк, другие симптомы заболевания дыхательных путей.
- Нервное расстройство, отсутствие аппетита, нарушения сна.
- Почти белый кожный покров.
- Увеличение миндалин горла на фоне высокой температуры тела до 40 градусов.
- Увеличен уровень лимфоцитов в костном мозге.
У детей к общим симптомам добавляются вздутие живота, нестабильный стул, приступообразная рвота, высыпания на коже (редко), вялость и плаксивость.
Диагностика
При обращении к терапевту диагностика начинается с физического осмотра и сбора анамнеза. Определить наличие лимфоцитоза можно только с помощью исследований в клинических условиях. Для этого пациент сдаёт кровь на общий клинический анализ крови.
Забор материала производить в утренние часы. Перед анализом пациент должен проинформировать лечащего врача о том, какие препараты он принимал в течение суток.
Эта информация имеет значение, так как приём некоторых препаратов влияет на уровень лейкоцитов и может исказить результат.
Кроме общего развёрнутого клинического анализа, проводят исследования:
- на наличие антител;
- иммунофенотипирование лимфоцитов для определения структуры клеток и профиля лимфобластов;
- цитологическое исследование тканей лимфоузлов – чтобы исключить злокачественные опухоли;
- миелограмма костного мозга для сравнения с клинической картиной, которую даёт анализ периферической крови;
- если моноциты и лимфоциты превышают нормальные значения, то это даёт повод предположить у пациента миелодиспластический синдром или моноцитарный лейкоз.
Постановка диагноза происходит на основании следующих позиций:
- Рост кровяной лимфоцитарной формулы и уменьшение количества тромбоцитов – тромбоцитопении, говорит о гиперспленизме и аутоиммунной тромбоцитопенической пурпуре. Гиперспленизм – это когда селезёнка быстро утилизирует омертвевшие или отслужившие клетки крови вместе со здоровыми клетками. Тоже является сопровождающим симптомом болезней печени, крови, травм селезёнки и некоторых видов лимфом и лейкозов.
Селезёнка в теле человека
- Лейкопения, которая является симптомом осложнения вирусного заболевания, в том числе туберкулёза.
- Одновременное повышение уровня эритроцитов и лимфоцитов. Наблюдается при бактериальных и вирусных инфекциях, которые сопровождаются обезвоживанием организма – жидкий стул, рвота, повышенная температура тела, лихорадка.
- Дисбаланс при одновременном понижении лимфоцитов и лейкоцитов.
Поскольку лимфоцитоз часто сопровождает заболевания онкологического характера, если отсутствуют клинические симптомы инфекционных болезней, врач назначает дополнительное обследование:
- анализ крови на онкомаркеры;
- томография – компьютерная или магниторезонансная;
- ультразвуковое исследование органов брюшной полости и малого таза;
- рентгенологическое обследование;
- фиброгастродуоденоскопия;
- при обнаруженных образованиях показана биопсия тканей.
Лечение
Лечить следует не сам лимфоцитоз, а заболевание, которое его вызвало. Поскольку, как выше сказано, патология не является самостоятельной болезнью.
Терапии не требует детский физиологический лимфоцитоз. В других случаях лечение назначит врач после диагностики.
При инфекционных болезнях, в зависимости от показаний, назначают антибиотики, противовирусные и противовоспалительные лекарства, сульфаниламиды, при вирусных инфекциях – препараты на основе блокаторов канала-М2 и интерфероне. Возможно назначение противогрибковых лекарств. Показано обильное питье и приём препаратов, которые снимают интоксикацию, устраняют болевой синдром и снижают температуру тела.

При туберкулёзе – специальная специфическая терапия ДОТС + терапия.
При злокачественной опухоли – фунгициды, иммунодепрессанты, антибиотики и цитостатические препараты, химиотерапия, в некоторых случаях пересадка костного мозга.
Профилактика
В качестве профилактики возникновения лимфоцитоза необходимо систематически проводить мероприятия по укреплению иммунитета:
- нормализация режима работы и отдыха;
- отказ от чрезмерного употребления табака и алкоголя;
- соблюдение правил личной гигиены;
- систематические физические нагрузки;
- правильное питание, богатое селеном, цинком, калием, магнием, витаминами;
- ежегодные профилактические осмотры;
- в период сезонных заболеваний нужно избегать мест массового скопления народа, мыть руки после каждого посещения таких мест, пройти курс витаминных препаратов.
Если при медосмотре анализ крови показал сдвиг лейкоцитарной формулы, обнаружился один или комплекс симптомов со слабостью, которую человек не может объяснить, постоянной температурой, следует обратиться к врачу. Вовремя обнаруженное заболевание увеличивает шансы на быстрое выздоровление.
Кроме того, врач может исключить заболевания в принципе и назначить профилактические процедуры, и уровень лимфоцитов сам придёт в норму.
Выберите город, желаемую дату, нажмите кнопку «найти» и запишитесь на приём без очереди:



