Что это такое конхотомия (резекция) носовых раковин?
С нарушением носового дыхания сталкивается почти каждый человек. Такое состояние определяется интенсивным разрастанием в полости носа слизистой оболочки, что происходит в результате какого-то заболевания, например простуды или вследствие деятельности патогенной флоры, образованию полипов и других доброкачественных опухолей.
Определение конхотомия носовых раковин и главное отличие от вазотомии
Конхотомия нижних носовых раковин представляет собой распространенное хирургическое вмешательство, в результате которого проводят полное или частичное удаление разросшейся слизистой поверхности носа с помощью специальных ножниц или режущей петли.
Такая процедура может применять в любом возрасте и назначается даже в детском возрасте. Главными показаниями к ее проведению считаются инфекционные заболевание, микробоносительство, частые переохлаждения организма, снижение иммунитета и хронический вазомоторный либо аллергический ринит.
Основной отличительной особенностью конхотомии от вазотомии является то, что 1-ая процедура характеризуется резекцией нижней носовой раковины отчасти либо целиком, а в процессе вазотомии уменьшают объём носовой раковины.
Назначение операции подслизистая конхотомия
Конхотомию нижних носовых раковин назначают в следующих случаях:
- Наличие предшествующих инфекционных патологий — гайморит, синусит, фронтит, ринит.
- Длительная заложенность носа.
- Развитие полипов.
- Врожденные аномалии в развитии носовой перегородки.
- Травмы носа.
- Нарушение трофики слизистой оболочки.
При обширном разрастании слизистой поверхности носа пациенту назначают двухстороннюю конхотомию нижних носовых раковин.
Подготовка к операции
Перед тем как назначить больному конхотомию, врач направляет его на полноценное медицинское обследование, которое включает в себя:
- Общий анализ крови и мочи.
- Биохимический анализ крови и ее свертываемость.
- ЭКГ.
- Эндоскопическое обследование полости носа — позволяет оценить состояние слизистой и определится с действиями во время операции.
- Рентгенографическое исследование.
- Компьютерная томография.
Ход операции конхотомия
Резекция нижних носовых раковин проводится под местным или общим наркозом в условиях стационара. Ход процедуры определяется следующими действиями:
- Слизистую поверхность носа смазывают обезболивающим раствором и затем вводят анестезирующий препарат.
- В процессе операции врач используют специальные ножницы и режущую петлю.
- На область резекции по обе стороны накладывают прищепки для снижения кровотечения и с помощью хирургических инструментов производят удаление слизистой.
Заключительным этапом станет наложение повязки и инструктаж о правильном уходе за прооперированной областью.
Разновидности конхотомии
Лазерный метод конхотомии нижних носовых раковин является самым распространенным хирургическим вмешательством. Такая операция считается современной и представляет собой воздействие лазерного луча на поверхность слизистой.
Главным преимуществом такого способа является безболезненность, отсутствие крови и быстрая реабилитация.
- Радиочастотная конхотомия
Представляет собой использование специального аппарата, который излучает ультразвуковые волны. Перед началом процедуры носовую поверхность обрабатывают обезболивающим средством для снижения чувствительности.
Такой вид вмешательства характеризуется незначительной травматизацией, отсутствием боли и успешно переносится больными.
- Эндоскопическая конхотомия
Это современный метод лечения людей с заболеваниями верхних дыхательных путей.
Особенно часто данную процедуру назначают при осложнении ринитов, вследствие длительной заложенности носа.Обуславливается такой способ терапии применением специального прибора, в котором встроена камера.
Благодаря ей удается грамотно провести процедуру с минимальной травматизацией.

Является самым современным оперативным вмешательством. Шейверная конхотомия определяется применением специального эндоскопического оборудования. В ходе операции врач применяет шейвер, который оснащен дополнительными приспособлениями, и благодаря ему проводится резекция слизистой.
Шейвер имеет камеру, по которой хирург следит за своими действиями и оценивает состояние слизистой.
Последствия и восстановление после конхотомии
Правильный уход минимизирует последствия операции
В том случае, если в ходе операции произошли непредвиденные ситуации или она была неправильно проведена, могут образоваться последствия конхотомии.
На их возникновении также немаловажное влияние оказывает правильный уход и обработка носа.
После конхотомии заложен нос
Нарушение дыхания в результате проведения конхотомии — это частое явление, которое развивается в результате повреждения слизистой оболочки. Если операция проведена грамотно, то через несколько суток заложенность сходит и дыхание восстанавливается.
Когда начинают отходить корки?
Как правило, после конхотомии на месте резекции слизистой поверхности образуются корочки, которые в дальнейшем заменяются новой тканью. Сходят они у каждого пациента по-разному, что зависит от регенерационных способностей организма. Но чаще к концу недели поле процедуры они должны уйти.
Обработка носа Фибрином
Для предупреждения тромбообразования в прооперированной области носа пациенту назначают лекарство Фибрин. В таком случае его применяют местно в виде геля. При приеме следует внимательно соблюдать дозировку, чтобы не спровоцировать осложнения. Частоту и длительность приема, а также дозу препарата определяет врач.
Сосудосуживающие капли после конхотомии
Для облегчения носового дыхания и снижения отечности слизистой оболочки, после операции могут назначить сосудосуживающие капли. Но применять их стоит только по показанию врача. Популярными средствами, которые обладают такими фармакологическими свойствами, являются:
- Тизин.
- Нафтизин.
- Санорин.
- Риназолин.
- Имидин.
Тампонада
Чтобы остановить кровотечение после удаления слизистой, врач вводит в каждый носовой ход по тампону, который необходимо периодически менять и смазывать в лекарственном средстве для быстрого заживления тканей.
Фотогалерея после конхотомии
Цена операции конхотомия
| Москва | «МедлайН-Сервис» | 3000 рублей |
| Санкт-Петербург | MedSwiss | 5800-8200 рублей |
| Волгоград | Да Винчи | 2500 рублей |
конхотомии
Конхотомия: когда проводится, методы, ход операции, реабилитация
Все материалы на сайте подготовлены специалистами в области хирургии, анатомии и профильных дисциплинах.
Все рекомендации носят ориентировочный характер и без консультации лечащего врача неприменимы.
Аверина Олеся Валерьевна, к.м.н., врач-патолог, преподаватель кафедры пат. анатомии и патологической физиологии, для Операция.Инфо ©
Конхотомия – это операция, цель которой – резекция (частичное или полное удаление) патологически увеличенных носовых раковин. Является одним из видов операций по восстановлению нормального носового дыхания.
Носовые раковины – это костные выступы в латеральной стенке носа, покрытые слизистой оболочкой.
Вследствие того, что площадь поверхности слизистой оболочки увеличивается, носовые раковины помогают выполнять основную функцию носа: согревать, увлажнять и очищать вдыхаемый нами воздух.
В области нижней и средней носовых раковин содержится кавернозная ткань, которая также выполняет защитную роль: при поступлении очень холодного или очень загрязненного воздуха эта ткань увеличивается в размерах, носовые ходы при этом сужаются.
строение носовых раковин
Почему иногда носовые раковины нужно удалять?
Носовые раковины – совсем не лишние структуры в нашем организме, однако иногда они могут стать причиной стойкого нарушения носового дыхания, а также различных других хронических патологий.
Основная причина для конхотомии – это гипертрофический ринит, то есть избыточное разрастание носовых раковин до такой степени, что они полностью перекрывают носовой ход и свободное дыхание носом становится невозможным.

Гипертрофия носовых раковин возникает:
- В случае хронического воспаления слизистой носа.
- При деформированной перегородке носа (компенсаторная гипертрофия).
- При длительно текущем вазомоторном рините.
При этом гипертрофии подвергается как слизистая оболочка, так и надкостница и кость носовых раковин.
Гиперплазия может быть диффузной и очаговой (могут быть гипертрофированы только передние или только задние концы раковин).
В начальных стадиях гипертрофический ринит вполне поддается консервативным методам.
В случаях средней степени тяжести возможно применение различных малоинвазивных процедур (прижигание слизистой склерозирующими веществами, электрокоагуляция, криодеструкция, ультразвуковая и механическая вазотомия кавернозной ткани).
В случаях же истинной гипертрофии, когда в процесс вовлечена не только слизистая оболочка, но и костная структура, без хирургического вмешательства бывает не обойтись.
Затрудненное носовое дыхание не только снижает качество жизни, но и является причиной целого ряда осложнений.
В подавляющем большинстве случаев резицируется нижняя носовая раковина, реже – средняя.
Основные показания для конхотомии
Конхотомию проводят:
- Стойкое длительное нарушение носового дыхания.
- Хронический синусит, обусловленный нарушение оттока из пазухи вследствие перекрытия естественного соустья увеличенной носовой раковиной.
- Хронический отит или тубоотит, причиной которого является нарушение оттока из слуховой трубы.
- Как один из этапов ринопластики – операции по исправлению формы носа.
Основные принципы конхотомии
- Операция должна быть максимально щадящей. Очень редко приходится удалять всю раковину полностью. В основном удаляется только часть ее, передний или задний конец (щадящая конхотомия).
- Операция должна быть малотравматичной, с применением современного оборудования и щадящих микрохирургических инструментов.
- Предпочтение отдается подслизистым резекциям (подслизистая остеоконхотомия).
- Обычно сочетается с другими вмешательствами в полости носа (исправлением искривленной носовой перегородки, санацией придаточной пазухи, удалением полипов).
Основные виды конхотомии
щадящая нижняя конхотомия
По объему вмешательства:
- Щадящая передняя конхотомия (удаление переднего конца раковины).
- Щадящая задняя конхотомия.
- Двусторонняя нижняя конхотомия.
- Подслизистая конхотомия.
- Высокая резекция средней носовой раковины.
- Конхэктомия – удаление всей носовой раковины вместе с костью.
По способам проведения конхотомия может быть:
- Конхотомия с помощью режущих инструментов.
- Шейверная эндоскопическая конхотомия.
- Лазерная конхотомия.
- Радиоволновой метод.
Обследование перед конхотомией
Кроме обычного предоперационного обследования (анализы крови, мочи, свертываемость крови, биохимический анализ, ЭКГ, исследование антител к гепатитам, ВИЧ, сифилису, флюорография), проводится еще специальное обследование у отоларинголога:
- Эндоскопическое исследование полости носа для уточнения степени поражения. Помогает выявить наиболее гипертрофированные участки и определить объем операции.
- Рентгенография полости носа и придаточных пазух.
- При необходимости – компьютерная томография придаточных пазух.
Противопоказания к операции
Операцию не проводят в следующих случаях:
- Острые инфекционные заболевания.
- Острые воспалительные процессы в полости носа (операция возможна после консервативного лечения).
- Гемофилия и другие нарушения свертывания крови.
- Декомпенсация хронических заболеваний сердца, печени, почек, эндокринных органов.
- Беременность.
- Эпилепсия.
Ход операции конхотомии
Операция проводится в основном под общим наркозом, но может быть применена и местная анестезия с премедикацией. Требует, как правило, нахождения в стационаре.

Положение пациента – лежа на спине. Слизистая оболочка в носу сначала смазывается местными анестетиками, а затем проводится инфильтрация в слизистую оболочку растворов новокаина, лидокаина, ультракаина или артикаина.
Инструменты для конхотомии: носовая режущая петля, а также ножницы для носовых раковин.
На границе иссекаемого участка на несколько минут накладывается зажим для уменьшения кровотечения. После снятия зажима (а иногда и без снятия его) производится непосредственно удаление раковины.
Удаление производится ножницами, продвигая их спереди назад, или носовой петлей.
Но чаще – это комбинированное применение этих инструментов: производится надрез ножницами, затем полное удаление с помощью режущей петли.
Подслизистая остеоконхотомия
Выполняется, когда гиперплазии подвергается преимущественно костная составляющая раковины при относительно нормальном состоянии слизистой оболочки. Суть операции – производится разрез слизистой в области нижней раковины, слизистая отсепаровывается от подлежащих тканей.
С помощью костных кусачков производят резекцию кости, слизистая оболочка укладывается на место и прижимается тампоном.
Конхэктомия
Вся носовая раковина удаляется при очень узком носовом ходе, или когда после обследования становится ясно, что щадящая резекция не даст положительных результатов.
Показания к такой операции должны быть очень строгие, при выраженной атрофии слизистой она не проводится. Противопоказана она также детям до 14 лет.
Удаление носовой раковины вместе с ее костной основой производится щипцами Штруйкена, раковина срезается до основания, продвижением инструмента спереди назад.
После операции
Операция длится около часа.
Сразу после удаления носовой раковины в нос вставляется марлевая турунда, пропитанная гемостатическим средством и смазанная индифферентной мазью.
Тампон обычно удаляется через сутки, удаление тампона может быть достаточно болезненным. Существуют гелевые тампоны, с воздуховодами внутри, их применение гораздо комфортнее.
После операции обычно назначаются антибиотики и обезболивающие препараты.
Несколько дней пациент находится в стационаре, затем при отсутствии осложнений он может быть отпущен домой.
В течение нескольких дней в носу будут образовываться кровяные корки, какое-то время наблюдаются усиленные слизистые выделения.
В нос назначают закапывать масляные капли, через несколько дней можно промывать нос физиологическим раствором.
В течение 2-х недель не рекомендуется находиться в зоне повышенных температур, принимать горячую и острую пищу, выполнять тяжелые физические работы.
Окончательное заживление наступает через 2-3 недели, к этому же времени обычно наступает и нормализация носового дыхания.
Для восстановления носового дыхания рекомендуются специальные дыхательные упражнения. Иногда пациенту приходится заново учиться дышать носом.
Современные методы конхотомии
Конхотомия носовой петлей и конхотомом имеет свои недостатки:
- Высокая травматичность, большой риск кровотечений.
- Длительный реабилитационный период и дискомфорт после операции.
- Риск образования спаек.
Существует много более современных способов выполнения данной операции: конхотомия с помощью эндоскопа и шейвера, радиоволновая и лазерная конхотомия.
Шейверная конхотомия под эндовизорным контролем
Этот метод относится к современным способам хирургического лечения гипертрофического ринита. Проводится с помощью эндоскопической техники, изображение видно на экране в многократно увеличенном размере.
Шейвер – это инструмент, представляющий собой наконечник с вращающимся лезвием, подключенный к отсосу. Лезвие как бы «сбривает» подлежащую удалению ткань, измельчает ее, с помощью отсоса она тут же удаляется.
С помощью этого метода можно проводить как щадящую переднюю или заднюю конхотомию, так и подслизистую резекцию.

Этот метод является менее травматичным по сравнению с классическим, срок реабилитации при нем занимает меньше времени.
Лазерная конхотомия
Лазерное излучение давно и успешно используется в медицине. Его можно легко сфокусировать в нужном месте, с минимальным риском повреждения окружающих тканей. С помощью лазера ткани как бы «выпариваются», тем самым достигается основная цель любой операции – удаление ненужных участков.
Удаление избыточно разросшейся ткани носовых раковин с помощью лазера набирает все большую популярность. Это имеет свое объяснение:
- Лазерную конхотомию можно проводить в амбулаторных условиях под местной анестезией.
- Лазер коагулирует сосуды, после такого воздействия кровотечения практически не бывает.
- Лазер обладает антисептическими свойствами, минимален риск инфекционных осложнений.
- Реабилитационный период составляет несколько дней.
По отзывам пациентов, перенесших лазерную конхотомию, никаких неудобств после операции они практически не испытывали. Не требовались даже внутриносовые тампоны. Дыхание восстанавливается через 2-3 дня.
Если предстоит двусторонняя конхотомия, лучше выполнить ее лазерным методом.
Радиоволновая хирургия носовых раковин
Удаление избыточных участков слизистой выполняется петлей, на которую подается высокочастотный ток с помощью аппарата «Сургитрон». Операция эта проходит почти без крови и без боли, может проводиться амбулаторно. Период восстановления 3-5 дней.
Осложнения после конхотомии
- В раннем послеоперационном периоде – кровотечения.
- Гнойные воспаления – ринит, синусит, отит.
- Образование спаек, сращений в полости носа.
- Деформации носа (редко).
- Развитие атрофического ринита.
- Рецидив патологии.
Основные выводы
Подведем основные итоги:
- Гипертрофия носовых раковин – довольно частая причина затруднений носового дыхания, консервативные методы при этом малоэффективны, и в определенной стадии развития этой патологии возникает необходимость в операции.
- При правильных показаниях конхотомия дает вполне удовлетворительные результаты. Отзывы пациентов в основном положительные. Качество жизни улучшается.
- На практике представлено довольно много способов конхотомии, но не один не является «золотым стандартом». Выбор метода зависит от предпочтений врача и пациента, возможностей, в том числе и финансовых.
- После любого из методов конхотомии не исключается рецидив – образование грануляций и новое разрастание тканей.
- Для уменьшения риска рецидива рекомендуется полный отказ от сосудосуживающих капель, обследование и лечение у аллерголога, регулярное наблюдение у отоларинголога.
: подборка обучающих роликов по конхотомии и вмешательствам на носовых раковинах
Конхобуллёз (гипертрофия носовых раковин): что это такое?
Гипертрофия (конхобуллёз) носовых раковин является одной из основных причин долго не проходящего течения из носа и его постоянной заложенности. Для правильного и свободного дыхания очень важна нормально расположенная носовая перегородка и симметричное развитие обоих носовых половинок.
Проявления этой патологии похожи на симптомы аллергического или хронического ринита, поэтому их легко спутать.
Что такое конхобуллёз?
Носовые раковины — это три попарно расположенных костных выроста, находящиеся на боковой стенке полости носа. Они подразделяются на верхнюю, среднюю и нижнюю и предназначены для выполнения различных функций, одной из которых является направление воздушного потока и его регулирование в носовых ходах.
Наибольшая нагрузка при дыхании ложится на передние края средних раковин и задние участки нижних раковин. Именно их и называют слабыми местами, которые под воздействием ударов воздушной струи разрастаются до больших размеров, что, в свою очередь, приводит к затруднению носового дыхания.

Спровоцировать ассиметричное развитие слизистых оболочек и носовых раковин могут заболевания аллергической и вирусной этиологии, а также механические травмы носа.
Конхрбуллёз носовых раковин — это аномальное утолщение и разрастание слизистых оболочек носа с увеличением количества выделяемой слизи. Чаще всего отмечается конхобуллёз нижних носовых раковин.
Гипертрофия слизистой носа: какой она бывает?
Особенности анатомического строения носа и направления воздушных потоков в его полости способствуют наибольшей уязвимости переднего участка средней раковины и заднего края нижней раковины. Именно в этих местах больше всего возникают аномалии гипертрофического типа.
Конхобуллёз носовых раковин разделяется на следующие виды:
- Гипертрофия переднего конца раковин встречается не так часто. Вызвана эта патология вялотекущим синуситом.
- Гипертрофия заднего конца носовых раковин — явление не такое уж редкое. Возникает на фоне перенесённого аллергического или хронического ринита.
При визуальном осмотре специалист наблюдает новообразования в виде полипов, которые перекрывают просвет носового отверстия. Хотя процесс и развивается по обеим сторонам носовых пазух, но он не симметричен. Слизистая оболочка в нормальном состоянии, не имеющая повреждений, легко справляется с потоком вдыхаемого воздуха.
Развитие хронического воспалительного процесса и ассиметричное состояние носовых проходов приводит к нарушению движения воздушных масс. Возросшее давление на слизистую оболочку создаёт повышенную нагрузку, в результате чего происходит разрастание эпителия.
То же самое наблюдается и при искривлении перегородки носа.
Ассимитричное строение носовой перегородки создаёт препятствие для прохождения воздушного потока в одной половине носа, при этом на вторую половину ложится двойная нагрузка.
Постепенно слизистая оболочка в этом месте разрастается и утолщается, что со временем приводит к затруднению дыхания с изменённой стороны. При искривлённой носовой перегородке наблюдается разрастание раковины носа с неповреждённой стороны.
Гипертрофия носовых раковин может быть вызвана изменениями в общем состоянии здоровья и некоторыми внешними факторами. Самыми распространёнными причинами недуга являются употребление гормональных препаратов, трудовая деятельность в задымлённом и загрязнённом помещении, запылённость воздуха, курение.
Симптомы заболевания, как распознать конхобуллёз?
Изменение толщины слизистой оболочки носовых пазух является характерным симптомом многих патологий. Нередко утолщение слизистой происходит при полипах, ринитах, попадании в нос инородных частиц. При ринитах очаги воспаления локализуются в области глотки, гортани, верхнечелюстных и лобных пазухах. При этом изменения слизистой различны при каждом недуге.
Наиболее часто утолщение соединительных тканей встречается при хроническом гайморите, который может носить некротический, гнойный или пристеночно-гиперпластический характер. Нередко патологические изменения в носу свидетельствуют о развитии аллергии.
Как правило, хроническая форма развивается на фоне острого воспалительного процесса. Воспаление, продолжающееся более 1,5 месяца уже считается хроническим. В таких случаях наблюдаются регулярные обострения.
Диагностика конхобуллёза
Самым распространённым и популярным методом диагностики является риноскопия. Эта процедура применяется с целью постановки правильного диагноза, а также используется во время оперативного вмешательства для осуществления контроля.
Существует три варианта риноскопии: передняя, средняя, задняя.
Передняя риноскопия
Врач и больной располагаются друг напротив друга, освещение падает справа от уха пациента.
Больной должен сидеть прямо, такое положение даёт специалисту возможность осмотреть носовые перегородки, передний отдел, а также нижние и общие назальные проходы.
Голова фиксируется и врач осторожно вводит в полость носа назальное зеркало. Расстояние составляет 3-20 мм, в зависимости от возраста больного.
Затем щелчки на зеркале аккуратно раздвигаются. При необходимости используется зонд. Если у больного широкие ноздри, а также в случае применения сосудосуживающих средств, у доктора есть возможность осмотреть и заднюю стенку носоглотки.
Средняя риноскопия
Для осмотра решетчатого пузырька, среднего отдела носовой перегородки, средней раковины и среднего назального прохода пациент должен запрокинуть голову назад.
Задняя риноскопия
При помощи задней риноскопии врач производит осмотр труднодоступных участков полости носа, поверхности нёба и сводов глотки.
Для проведения процедуры используют риноскоп, представляющий собой сложное устройство, которое состоит из двух трубок. Аппарат представлен в различных модификациях, различающихся диаметром и длиной трубок.
Для проведения риноскопии малышам до двух лет используют ушные воронки. Для исследования носовой полости у детей постарше применяются специальные зеркала.
Лечение гипертрофии нижних носовых раковин
Как правило, самостоятельно справиться с таким заболеванием, как конхобуллёз носовых раковин практически не удаётся.
Лечение назначает только специалист, после проведения необходимых исследований и определения причины патологии.
Кроме того, консервативная терапия даёт лишь непродолжительный эффект и при такой болезни пациентам обычно показано оперативное вмешательство, при помощи которого можно навсегда избавиться от гипертрофии.
Оперативные методы лечения конхобуллёза
Существуют следующие методы оперативного вмешательства:
- Конхотомия (удаление слизистой). При проведении процедуры разросшийся участок слизистой оболочки удаляется с помощью проволочной петли. Лишние наросты срезают, не задевая костную ткань раковины, и удаляют из назального прохода.
- Гальванокаустика. Суть метода состоит в том, что после применения местного наркоза в полость носа вводится электрод. Его нагревают и проводят вдоль слизистой. В результате гальванокаустики происходит ещё большее увеличение слизистой и последующее отмирание лишних участков, с образованием рубца, после отторжения которого оставшаяся часть раковины восстанавливается, и носовое дыхание нормализуется.
- Подслизистая резекция костных пластин носовых раковин. Результатом операции становится удаление хряща или костной ткани.
- Коррекция перегородки носа. При гиперплазии, сочетающейся с искривлением носовой перегородки, хирургическое вмешательство поможет нормализовать размер назальных раковин.
- Пластика назальных раковин. В этом случае проводится удаление части слизистой оболочки или костной ткани. В результате проведения процедуры размер носовой ткани уменьшается и препятствие для продвижения воздуха устраняется.
- Высокочастотный ультразвук. С помощью этой процедуры удаляют кавернозную ткань, располагающуюся под слизистой оболочкой нижних раковин. Перед использованием высокочастотного ультразвука проводится эндоскопия носоглотки и назальной полости, а также рентгеновское исследование. Во время операции сохраняется целостность слизистой оболочки, кровотечение отсутствует, поэтому в носовой полости не образуется корочек. Результатом процедуры является уменьшение отёчности и восстановление носового дыхания.
- Прижигание трихлоруксусной кислотой. Слизистую оболочку предварительно обезболивают. На специальный зонд наматывают вату, смоченную в кислоте, и прижигают гипертрофированную слизистую.
Народные способы лечения
В качестве дополнительной терапии при лечении конхобуллёза также используют народные средства.
- Необходимо закапывать в ноздри сок чистотела по 2 капли 3 раза/день. при этом закапывание должно быть двойным, то есть сначала две капли и спустя 2 минуты — ещё две.
- Промывание носа раствором календулы или эвкалипта. Соотношение ингредиентов — одна чайная ложка раствора на 0,5 л воды. Втягивать следует носом, а выливать через рот. Процедуру проводят 2 раза/день.
- ингаляции из отваров мать-и-мачехи, календулы, коры дуба, листьев малины.
- Также можно вставлять в ноздри тампоны, смоченные в настое травы подорожника. Время проведения процедуры составляет 10-15 минут.
Конхобуллёз — неприятное и весьма серьёзное заболевание, которое требует обязательного лечения. Благодаря современным достижениям медицины проблему удаётся решить оперативно и навсегда. Не стоит игнорировать симптомы патологии и при их появлении следует немедленно обратиться к врачу.
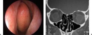
Киста в носу: разновидности и варианты лечения
Схема и фотография кисты в полости носа
Одной из распространенных патологий полости носа и придаточных пазух является образование кист. Киста в носу может быть бессимптомной диагностической находкой, а может иметь различные проявления. Эта статья о видах кист, их различиях, диагностике и лечении.
Как развиваются кисты
Носовая полость и придаточные пазухи изнутри выстланы многослойным плоским эпителием, который содержит многочисленные бокаловидные клетки и слизистые железы. Эти образования производят слизь, которая участвует в очищении, согревании воздуха.
Причина возникновения большинства кист — закупорка протока слизистой железы из-за различных неблагоприятных причин. Чаще всего это происходит в результате воспалительной или аллергической реакции. Просвет железы закрывается, отделяемое не находит выхода и образуется пузырек, заполненный внутри жидким секретом. На фото вы видите, как выглядят кисты в носу:
Разновидности кист
Все кистозные образования в полости носа можно разделить на:
- Истинные;
- Ложные;
- Буллезные носовые раковины;
- Дермоидные кисты.
Истинные кисты образуются по описанному механизму: закупорка — накопление секрета — выпячивание слизистой. При этом стенкой кисты является слизистая оболочка полости носа. Она чаще всего растянута, лишена сосудов и нервов. Внутри кисты находится содержимое, по составу подобное секрету железы.

Ложные кисты имеют другую структуру, слизистая оболочка не участвует в образовании ее стенки. Ложной кистой, например, являются везикулезные элементы на слизистой носа при ветряной оспе.
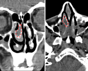
Буллы носовых раковин
Буллезная деформация средней или нижней носовой раковины встречается достаточно часто, но редко диагностируется. Это состояние чаще всего сопровождает хронический гипертрофический или аллергический ринит и не выявляется при обычных методах осмотра.
Буллезная трансформация средней носовой раковины — образование в толще слизистой оболочки носа воздушного пузырька — буллы. Гистологически, эти образования не являются кистой, так как заполнено воздухом, а не жидкостью.
Причины образования булл:
- Повреждение структуры носовых раковин из-за хронического отека и воспаления;
- Злоупотребление сосудосуживающими каплями;
- Усиленное сморкание способствуют образованию микроразрывов слизистой полости носа и формированию воздухоносных полостей.
Буллезные раковины клинически проявляются как хронический ринит:
- заложенность носа;
- затруднение носового дыхания;
- прозрачное отделяемое из носа, особенно при переходе из тепла в холод.
Компьютерная томография, стрелкой указана воздухоносная полость (булла) в средней носовой раковине
Врожденные кисты
Дермоидные кисты носа — явление достаточно редкое. Что это такое: врожденное опухолевидное образование из эпителиальных эмбриональных зачатков. Оно располагается чаще всего на спинке носа ближе к корню, представляет собой округлое образование различной плотности.
Размеры варьируют, от горошины до голубиного яйца. Стенка дермоидной кисты образована соединительной тканью, она достаточно плотная. Внутри кисты находятся структуры из эпидермального зачатка: волосы, жировые (сальные) включения и даже зубы.
Дермоидная киста в холодном периоде доставляет пациенту преимущественно косметические неудобства. При воспалении и нагноении формируется свищ, через который наружу выделяются некротические массы.
Свищ редко закрывается самостоятельно, может образоваться рубец или постоянный свищевой ход. Во избежание неблагоприятных последствий, рекомендуется удалить дермоидную кисту целиком.
Дермоидная киста носа у ребенка
Клиническая картина
О кистах в придаточных пазухах носа Вы более подробно узнаете из соответствующих статей, здесь речь пойдет преимущественно о кистозных процессах в полости носа. Изменения слизистой оболочки носа (в том числе и полипы в носу) могут длительное время оставаться незамеченными.
Жалобы возникают при выраженном увеличении кисты:
- Нарушение носового дыхания. Большие кисты, расположенные в носовых ходах, могут перекрывать просвет и затруднять носовое дыхание. Кроме того буллы носовых раковин могут достигать значительных размеров и также нарушать циркуляцию воздуха.
- Частые заболевания околоносовых пазух. Непосредственно кисты полости носа не вызывают гайморит или фронтит, но закупорка естественного соустья, нарушение оттока отделяемого создает благоприятную среду для различных микроорганизмов.
- Заложенность носа, выделения из носа. Кроме того, что кистозные процессы чаще всего бывают как результат длительного воспаления или аллергической реакции, они значительно увеличивают площадь поверхности слизистой оболочки, что ведет к увеличению объема слизистого отделяемого. Кроме того, киста может самопроизвольно разорваться. Если киста лопнула, в полость носа изливается ее содержимое.
- Боль в носу. Болезненные ощущения возникают при частой травматизации кисты или ее воспалении. Нагноение — одно из состояний, чем опасна киста в носу. Гнойно-воспалительный процесс может отграничиться пределами образования, либо, при неблагоприятных условиях распространиться на другие отделы полости носа. Боль под глазом около носа говорит об осложнении кисты воспалением в пазухе.
- Носовое кровотечение. Это редкое, но неприятное осложнение кистозных процессов в носу. Из-за травматизации слизистой, истончения ее растущей кистой, могут быть периодические носовые кровотечения. На месте источника кровотечения может сформироваться язва.
Боль в носу как признак осложнения кисты полости носа.
Отдельное внимание следует уделить дермоидным кистам. В отличие от истинных ретенционных кист, эти образования располагаются на спинке носа, даже при бессимптомном течении являются косметическим дефектом. Операцию по удалению такой кисты лучше всего проводить в детском возрасте. Нагноение и самостоятельная деструкция дермоидной кисты может привести к образованию свищей и рубцов.

Кисты не склонны к перерождению в злокачественные новообразования, поэтому при отсутствии жалоб, кистозное образование можно не удалять.
Лечение: консервативное и хирургическое
Выбор метода, как правильно лечить кисту, зависит от вида, локализации образования и причин, которые привели к ее образованию.
Безоперационное лечение
Лечение кисты без операции эффективно в некоторых случаях:
- Кисты как результат дегенерации слизистой при «аспириновой триаде». Кистозно-полипозные образования хорошо поддаются терапии местными стероидными препаратами (Назонекс, Авамис, Морис и другие), которые подавляют дальнейший рост патологических структур, уменьшают признаки воспаления и способствуют уменьшению ее объема. Определенным положительным эффектом обладают препараты из группы блокаторов лейкотриеновых рецепторов (монтелукаст, зафирлукаст). Они подавляют воспалительно-аллергические изменения в подслизистом слое, что предотвращает рост и появление новых кист.
- Буллезные раковины. Все хронические процессы в носу лечатся местными гормональными средствами. Буллы как проявление хронического ринита также положительно реагируют на применение гормонов.
Терапия народными средствами разнообразна:
- Картофельные ингаляции;
- Закапывание в нос лукового сока;
- Закапывание сока клубней цикламена;
- Промывание носа солевым раствором;
- Прогревание носа солевой грелкой, яйцом, синей лампой.
Могут ли быть положительные изменения в результате «народного лечения»?
Регулярное промывание носа изотоническим солевым раствором оказывает хорошее влияние на состояние слизистой. Доказано временное уменьшение симптомов кисты в носу, например при лечении соком цикламена, но злоупотребление луковым соком и другими агрессивными жидкостями может привести к ожогу и атрофии слизистой оболочки.
На основе сока цикламена создан препарат «Синуфорте», который позиционируется как альтернатива оперативному лечению.
Препарат на основе экстракта цикламена — Синуфорте, как возможная альтернатива хирургическому лечению
Можно ли при кисте греть нос? Распространенное мнение, что тепловые процедуры полезны при болезнях носа несколько ошибочное. При повышении местной температуры усиливается кровоток, киста может увеличиться, разорваться, нагноиться. Можно принимать общие тепловые процедуры (сауна, баня, хаммам), обладающие общим оздоровительным действием.
Большой интерес среди пациентов имеет фитодренажный спрей. Название фитодренажного спрея при кисте носа: Синумикс, Синумикс Форте, Синумикс Алоэ и другие.
Согласно инструкции, эти средства способствуют:
- Раскрытию естественных соустий;
- Выведению секрета из носа;
- «Подсушиванию» кисты и удалению оболочек;
- Восстанавливает местный тканевый иммунитет и другие.
Купить фитодренажный спрей при кисте носа можно только в интернете. Средство не зарегистрировано в официальном реестре лекарственных средств и врач не может рекомендовать его для лечения. Это средство призвано заменить собой хирургическое лечение, но эффективность его официально не доказана.
Виды фитодренажного спрея
Хирургическое лечение
Все методы хирургического воздействия можно разделить на полуконсервативные (прокол) и радикальные.
Полноценную операцию можно выполнить несколькими способами:
- Открытая классическая операция;
- Вмешательство под эндоскопическим контролем;
- Удаление кисты лазером.
Прокол кисты, в полости носа или в пазухе — простая процедура, которая улучшит состояние пациента на некоторое время. Оболочки кисты спадаются, носовое дыхание улучшается. Манипуляция производится через нос под местной анестезией. Отзывы о проколе кисты неоднозначны, ведь после некоторого облегчения оболочки снова наполняются и симптомы возвращаются.
Удаление образований полости носа под эндоскопическим контролем
Как проходит классическая операция: под местной анестезией, под контролем зрения удаляется киста со всеми оболочками. Обязательно нужно тщательно удалить все фрагменты стенок, чтобы избежать рецидива.

Операция под эндоскопическим контролем более предпочтительна, так как можно тщательно рассмотреть все отделы полости носа, даже труднодоступные участки. Особенно актуален этот метод при кистозных изменениях внутри пазухи. Стоимость эндоскопического удаления варьирует в зависимости от клиники и сложности вмешательства.
Лазерная операция может быть самостоятельным способом удаления либо входить в комплекс совместно с другими вариантами хирургического лечения. С помощью лазерного луча иссекаются оболочки, и прижигается ложе кисты. Цена на лазерное удаление кисты также разнится в различных клиниках, зависит от сложности операции и локализации образования.
| Открытая операция | Доступность | Неполный контроль полноты исполнения |
| Лазерное удаление | Быстрая, бескровная операция | Не все лор-кабинеты оборудованы лазерной установкой. |
| Эндоскопическое удаление | Тщательный контроль в процессе вмешательства | Дорогостоящее оборудование, необходимость обучать специалистов. |
Заключение
Опасна ли киста в носу? Это зависит от размеров, природы и локализации кистозного образования. Она может находиться в полости носа (преимущественно по боковой стенке или дну носа) либо внутри придаточных пазух. Кистозная деформация может быть в правой или левой половинах носа, образованию кисты способствует, например, искривление перегородки носа.
Киста может иметь скрытое течение, либо сопровождаться заложенностью носа, затруднением носового дыхания, гнойным/слизистым/кистозным отделяемым из носа и другими симптомами.
Что делать, если киста беспокоит? Следует определить причину заболевания, а затем прибегнуть к консервативному или хирургическому лечению. Перед хирургическим лечением следует изучить все возможные операции, отзывы о них.
При правильной подготовке, полноценном предоперационном лечении и качественном послеоперационном уходе — вероятность рецидива кисты минимальна.



