Особенности инвазивной карциномы
› Злокачественная опухоль
- 1 Общие сведения
- 2 Причины
- 3 Симптомы
- 4 Лечение
Врачи предупреждают, что чем раньше удается диагностировать рак груди, тем выше вероятность излечения. По этой причине нужно знать, как определить проблему на ранних стадиях. К числу распространенных разновидностей онкологического заболевания относится и инвазивная карцинома. Знание симптомов и особенностей этого явления позволит вовремя обратиться за помощью.
Общие сведения
Подобный диагноз ставят в 80 % случаев, когда пациентка сталкивается с раком груди. Инвазивная карцинома — это понятие, которое объединяет целый ряд различных новообразований. Их делят на следующие подвиды:
- Инвазивная протоковая карцинома характеризуется тем, что перерожденные клетки образуются в молочных каналах, откуда распространяются в прилегающие ткани. На следующих стадиях атипичные структуры проникают в систему кровообращения.
- Преинвазивный вид прогрессирует по типу инвазивной протоковой карциномы, протоки затрагиваются заболеванием, но близлежащие ткани остаются здоровыми.
- Инвазивную дольковую карциному отличает локализация. Этот тип распространен меньше предыдущего (15 % случаев). Изначально новообразование захватывает дольчатую структуру железы, позднее переходит на близлежащие ткани.
Также встречаются неспецифические типы, но все подвиды заболевания разделяют на стадии от 0 до IV в зависимости от размера опухоли и наличия метастазов. Другим критерием становится степень дифференцировки:
- при высоком показателе опухоли сохраняют отличительные черты нормальных тканей, а распространение происходит медленно;
- при низком разница выражена ярче, а метастазирование отличается скоростью.
Показатель принято определять латинской буквой g в сочетании с цифрой, и чем больше значение, тем неблагоприятнее прогнозы.
Gx обозначает, что стадию установить не удается, а g1 и g2 определяют высоко- и среднедифференцированные опухоли.
Классификация g3 инвазивной карциномы неспецифического типа подразумевает, что показатель низок; на следующем этапе (g4) клетки утрачивают все свойства нормальных.
Зная, что такое инвазивные карциномы, женщины уделят внимание здоровью.
Причины
Инвазивная карцинома вызывается следующими факторами:
- Важную роль играет наследственность, и при наличии диагноза у родственников необходимо повышенное внимание к состоянию здоровья.
- Если в прошлом человек страдал от онкологического заболевания, риск повышается. Важно и наличие доброкачественных образований: они могут перейти в неинвазивную карциному.
- Сбои в функционировании репродуктивной системы также относятся к негативным факторам. Люминальные типы инвазивной болезни g2 неспецифического вида, как и другие разновидности, возникают при бесплодии, прерывании 1-й беременности, раннем развитии девушки, опережающем возраст. Также играет роль время беременности: если она не наступила в течение всей жизни или женщина родила после 30 лет, риск повышается.
- Пациенткам, принимавшим гормональные контрацептивы в течение 10 лет и больше, нередко диагностируют разные стадии инвазивной карциномы 3 степени злокачественности.
Среди факторов выделяют и повышенное артериальное давление, лишний вес, наличие сахарного диабета. Но эти признаки относятся к числу контролируемых, а при лечении рака прогноз для инвазивной карциномы неспецифического типа g3 зависит от своевременности обращения.
Симптомы
Как инвазивные карциномы неспецифического типа, так и другие виды дают о себе знать следующими проявлениями:
- При пальпации прощупываются уплотнения. В течение менструального цикла они сохраняют изначальные очертания.
- Грудь меняет форму, из соска выделяется кровянистая жидкость. Женщина жалуется на жжение и боли.
- При лобулярной карциноме инвазивного типа кожа на груди меняет внешний вид, сморщиваясь или втягиваясь.
- Поскольку инвазивность неспецифической карциномы подразумевает ее распространение на близлежащие ткани, на запущенных стадиях пациентки отмечают рост лимфоузлов.
Схожие опухоли развиваются не только в молочной железе, ведь врачи выделяют и инвазивную уротелиальную карциному. В любом случае пациент, вовремя отметивший тревожные признаки и обратившийся за медицинской помощью, увеличивает свои шансы на выздоровление.
Лечение
Тип лечения определяется с поправкой на особенности случая, но обычно применяется комплекс мер. Преинвазивную карциному удается остановить путем радио-, гормональной или химиотерапии.
Но и в остальных случаях меры замедляют рост опухоли и уменьшают ее размеры.
Инвазивную инфильтрирующую g2 карциному неспецифического типа, с которой не удалось справиться предыдущими методами, удаляют путем хирургического вмешательства.

Оно бывает следующих типов:
- при лампэктомии железу удается сохранить;
- мастэктомия подразумевает, что удаляется часть жировых тканей и мышц;
- криомаммотомия признана щадящим методом, позволяющим сохранить непораженные участки железы.
Результат зависит от стадии развития болезни, ведь рассчитывать на полное выздоровление можно максимум при инвазивной опухоли 2 степени злокачественности. Но ранняя диагностика проводится редко из-за отсутствия симптомов, а 3-я и 4-я стадии не позволяют добиться равных успехов.
Особенности инвазивной карциномы Ссылка на основную публикацию
Стадии рака и его классификация: 1, 2, 3, 4 степень с примерами
Раковая опухоль — это новообразование злокачественного характера, которое постоянно размножается и быстро растет, выделяя при этом большое количество продуктов жизнедеятельности, и прорастая в здоровые клетки.
Сама жизнь ракового образования разделена на несколько этапов, именно от номера этапа обычно и зависит ее размер, степень повреждения близлежащих тканей, а также характер и тип лечения от онколога.
В основном пациенты боятся 4 степени рака, когда рак начинает метастазировать по всему телу. Но на самом деле и первая стадия не дает 100 % гарантии выздоровления. Все это связано как с видом заболевания, так и со многими факторами, которые влияют на саму опухоль.
Конечно, терапия на начальной стадии дает более положительный результат, чем на других этапах. Рассмотрим все стадии рака и различные классификации, которые помогают определить врачам свойства образования.
Рак молочной железы
Классификация по системе TNM
TNM система определения ракового злокачественного заболевания — это ныне существующая классификация онкологических заболеваний, которая принята национальным комитетом здравоохранения для классификации этапов развития и роста раковой опухоли, по ней более точно определяют образ самого злокачественного образования.
Данная система была разработана Пьером Денуа в 1952 году. С процессом развитии онкологии сама система ежегодно улучшалась и эволюционировала. На данный момент имеет актуальность публикация 2009-го года. В ней собраны стандарты и четкая классификация онкологических заболеваний.
Мы начнем рассматривать саму систему, отталкиваясь от трех компонентов:
T — сокращенно от латинского слова Tumor — опухоль. Данный показатель отражает размер, распространенность, прорастание самого рака вглубь близ лежащих тканей и локализацию опухоли. Каждая опухоль имеет букву и цифру, определяющую градацию и размер рака — от T0 до T4.
N — идет от латинского слова Nodus — узел. Когда раковая опухоль вырастает, она начинает позже накладываться и воздействовать на ближайшие лимфатические узлы. Именно это и показывает данная буква. Если у нас стоит N0 — то раковая опухоль еще не захватывает лимфатические узлы, N3 — уже идет максимальное поражение лимфоузлов.
M — идет от греческого слова Metastasis. Наличие метастазов в другие органы. Как и в предыдущих случаях, цифра будет определять градацию распространенности злокачественных клеток в другие органы. M0 — говорит о том, что раковое образование не дает метастазов.
M1 — есть метастазирование на ближайшие органы. Но тут нужно уточнить маленькую деталь, обычно после M пишут название самого органа, куда идет метастазирование.
К примеру, M(Mar) — раковое новообразование начало метастазирование в костный мозг, а M(Ski) — метастазы распространяются в кожу.
| Символы | Название органа |
| Oth | Остальные органы |
| Pul | Легкие |
| Ski | Кожа |
| Oss | Кости |
| Adr | Надпочечники |
| Hep | Печень |
| Per | Брюшина |
| Bra | Головной мозг |
| Ple | Плевра |
| Lym | Лимфатическая система |
| Mar | Костный мозг |
Рак крови — лейкемия
Дополнительные символы
Помимо использования основных букв TNM используется еще дополнительная маркировка. Она помогает показать, когда именно была обнаружена опухоль.
| Символ | Расшифровка |
| c | Использовались неинвазивные методы диагностики при выяснении стадии рака. |
| p | Стадия была обнаружена и установлена при хирургическом вмешательстве. |
| m | Обнаружено сразу несколько опухолей. |
| y | Определяет опухоль после терапии. |
| r | Оценка рецидивных опухолей (повторяющихся) |
| a | Классификация опухоли после вскрытия человека. |
Рак легкого
Гистологические стадии рака
TNM на данный момент самая подробная классификация, но помимо нее используются и другие. Обычно используется основной символ G, который показывает насколько агрессивна опухоль. Также указывает и на активность опухоли, и ее скорость роста.
| Символ | Расшифровка |
| GX | Нет данных для определения дифференцирования опухоли |
| G1 | Высокодифференцированный рак — неагрессивная и медленная карцинома g2. |
| G2 | Средне — дифференцированная опухоль — Средняя скорость раковых процессов. |
| G3 | Низкодифференцированная опухоль — довольно агрессивная аденокарцинома с высоким темпом роста тканей. |
| G4 | Недифференцированная опухоль — сверх-агрессивная опухоль |
Стадии рака желудка
ПРИМЕЧАНИЕ! В последнее время стали объединять 3 и 4 цифру. Для некоторых онкологических заболеваний используется фраза или термины «высокой или низкой степенью агрессивности». В раке предстательной железы иногда используют пятую стадию или G5.
Обычно гистологическую классификацию используют непосредственно для прогноза роста и времени для больной онкологии. Чем выше агрессивность опухоли, тем, понятное дело, меньше осталось времени на лечение.
https://youtube.com/watch?v=HZDQODUtbrQ
Система TNM наоборот дает больше информации насчет размера и степени погруженности раковых тканей в соседние, а также распространенность самой опухоли. От этого будет зависеть вид и тип лечения. Например, при обширном метастазировании, нет смысла использовать хирургическое вмешательство и обычно лечат радиотерапией, химиотерапией и медикаментами.
Стадии рака матки
Классификация рака по стадиям
Есть так называемая классическая классификация, которая дает информацию непосредственно пациенту. Это 1, 2, 3 и 4 стадия. Но обычно для врачей используется эта же классификация непосредственно в комплексе с системой TNM, чтобы более точно определить характер опухоли на каждой стадии. Рассмотрим таблицу:
| Стадия | Размер опухоли | Поражение лимфатических узлов | Распространенность метастаз |
| 1 | T1 | N0 | M0 |
| 2 | T0-1 | N1 | M0 |
| T2 | N0 | M0 | |
| T2 | N1 | M0 | |
| 3 | T3 | N0 | M0 |
| T3 | N1 | M0 | |
| T-любая | N2 | M0 | |
| 4 | T-любая | N-любая | M1 |
| T4 | N-любая | M-любая |
Обычно стадию обозначают от 0 до 4. Нулевую стадию используют врачи для обозначения предракового состояния или злокачественной опухоли. Плюс используют буквы, которые еще более детально дают информацию. Рассмотрим 4 стадии развития рака.
0 Стадия
Обычно больше обозначают неинвазивную опухоль, когда она является больше не злокачественной, а доброкачественной. При этом сами клетки не злокачественные, но есть риск, что эти ткани могут перерасти в рак. Правда при обнаружении данного состояния шанс вылечиться всегда положительный. Можно сказать, что это начальная стадия рака.
1 Стадия — ранний рак
Рак 1 стадии классифицируется тем, что образуются первые сгустки и узелки, но которые не вылезают за границу самого органа. Нет поражения лимфатических узлов, а также внешние признаки очень малозаметны. Некоторые типы опухолей можно обнаружить на начальной стадии только с помощью анализов на онкомаркеры. Первая стадия рака имеет наиболее высокий шанс вылечиться. Выживаемость — 80 %.
2 Стадия
Рак во второй степени уже имеет размеры побольше, а также прорастает в ближайшие ткани и в конце уже затрагивает лимфатические узлы. Некоторые органы на этом этапе начинают уже давать сигнал в виде симптомов, правда в основном они похожи на обычные болезни и воспаления. Выживаемость — 60 %.
3 Стадия
Рак 3 степени уже глубоко прорастает в органе и задевает все ближайшие лимфатические узлы. При этом может задевать и ближайшие органы. Правда удаленные метастазы еще не распространены, так что еще есть шанс на лечение.
Третья стадия рака уже агрессивно проявляется относительно симптомов. При лечении третьей степени используют более жесткие методы терапии: от хирургии до радиационного облучения, при этом состояние пациента сильно ухудшается.
Выживаемость — 30 %.
4 последняя стадия
Четвертая стадия рака уже имеет огромные размеры, при этом могут возникать внутренние кровотечения, так как сама патология растет быстрее чем кровеносные сосуды. Метастазы уже по крови распространены и воздействуют на любые органы.
Это самая опасная стадия, когда шанс летального исхода в разы увеличивается. Вылечиться от рака в четвертой стадии практически невозможно. Но при правильном лечении есть шанс продлить жизнь на несколько лет. Выживаемость — меньше 5 %.
Сколько живут пациенты с раком?
Тут все зависит от характера самой болезни, и когда ее диагностировали. Чем раньше начали лечить недуг, тем больше шансов на выздоровление и тем дольше проживет сам пациент. Понятно дело, что на 3 и 4 стадии шанс сильно падает.
Излечим рак или нет? Тут все зависит от самого лечения, а также от типа опухоли. Есть много онкологических заболеваний, которые уже никак не лечатся на 4 стадии.
Какие есть методы лечения рака? В основном все зависит от вида онкологии, а также от стадии. В основном применяют:
- Хирургия
- Радиотерапия
- Химиотерапия
- Медикаменты
Как врач до операции определяет стадию? Для этого есть совокупность различных методов обследования: МРТ, УЗИ, КТ, биопсия, анализы на опухолевые маркеры и т.д.
Какие причины возникновения и симптомы рака? Про симптомы вы можете более подробно почитать в этой статье. А причины до сих пор точно не известны. Но ученые выделяют ряд некоторых факторов, которые влияют на шанс появление опухоли:
- Плохая экология.
- Генетика.
- Курение и алкоголь
- Работа с химическими реагентами
- Плохое питание
- Ожирение
- Низкая подвижность и сидячая работа
(4 4,75 из 5)
Загрузка…
Инвазивный рак молочной железы (неспецифического типа, протоковый, дольковый)
Инвазивный рак молочной железы – это патология злокачественного протекания, отличающаяся интенсивным разделением поражённых тканей. Болезнь не выражает симптомы на протяжении долгого времени на начальных стадиях. В последующем отсутствие ярко выраженной и заметной симптоматики затрудняет процесс выбора подходящей терапии.
Прогноз на выздоровление и выживаемость положительный при раннем обнаружении атипичных клеток.
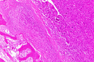
Инвазивная карцинома молочной железы характеризуется агрессивностью поведения и протекания.
Раковая муцинозная опухоль за короткий срок способна прорастать за границы первичного месторасположения и запускает метастазирование, проникая в близрасположенную ткань и орган. Различие инвазивного рака от неинвазивного в наличии конкретных и чётких границ у последнего типа и отсутствие размножения на соседних структурах.
Инвазивный вид опухоли – раковая клетка затрагивает кровеносные сосуды и лимфатический узел. При установлении диагноза в период присутствия метастазов рак именуется как метастатический.
Факторы риска
Существует несколько предрасполагающих факторов:
- Нестабильность гормонального фона. Возникает вследствие нарушения функциональной деятельности коры надпочечников, щитовидной или поджелудочной железы.
- Наличие мастопатии (в том числе, рецидива таковой).
- Резкое прекращение лактации или полный отказ от проведения естественного вскармливания.
- Перенесенное механическое повреждение грудной клетки (независимо от вида, срока давности травмы).
- Наследственная предрасположенность.
Немаловажное значение имеет фактор образа жизни. Если женщина воспринимает аборты, как предпочтительный метод контрацепции – вероятность формирования онкологических проблем возрастает. Регулярная алкогольная интоксикация, пребывание в стрессовой среде, работа во вредных условиях – эти факторы повышают риск развития карциномы груди.
Причины развития аденокарциномы груди
Длительный прием гормональных контрацептивов может спровоцировать аденокарциному молочных желез

Спровоцировать аденокарциному молочных желез могут определенные факторы. К самым существенным относят генетическую предрасположенность, когда болезнь с вероятностью в 50% развивается у женщин, близкие родственники которых перенесли онкологическое заболевание. Также спровоцировать злокачественную опухоль могут такие факторы:
- злоупотребление гормональными средствами, долгий прием контрацептивов;
- врожденные патологии грудных желез;
- значительные или регулярные травмы груди;
- бесплодие разного рода;
- раннее начало менструаций и позднее наступление климакса;
- гормональный дисбаланс; Курящие женщины входят в группу риска онкологических заболеваний
- доброкачественные опухоли молочных желез или онкологические болезни других органов;
- поздние первые роды – старше 35 лет;
- пристрастие к курению или алкоголю;
- отказ от грудного кормления рожденного ребенка;
- проживание или работа в регионах с повышенным радиационным фоном;
- злоупотребление пищей с рафинированными жирами, красителями, консервантами и пестицидами.
Однозначно понять, какая причина вызвала аденокарциному молочной железы, можно только в тех случаях, когда установлено длительное воздействие радиации и канцерогенов на организм женщины.
Формы заболевания
Выделяют 3 формы – инвазивный протоковый, прединвазивный протоковый и инвазивный дольковый рак. Каждый из перечисленных видов имеет особенности – параметров, локализации, клинических проявлений.
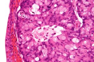
Инвазивный протоковый рак
Наиболее распространённый и опасный вид, выявляют у женщин старше 55 лет. Атипичные клетки возникают в протоках, предназначенных для вскармливания ребёнка. Достаточно быстро проникают в системный кровоток. Инвазивный рак грудных желез классифицируется на несколько форм, каждая из которых имеет определённую симптоматику:
- Высокодифференцированная форма. Характеризуется медленным развитием. Атипичные клетки по своей структуре схожи с доброкачественными.
- Протоковое новообразование средней дифференциации. Внутри протоков появляются некротические элементы.
- Протоковая карцинома низкой степени дифференциации. Достигает крупных размеров, атипичные клетки занимают почти всю внутреннюю часть протока, быстро преодолевает его пределы.
Определить конкретную форму можно посредством прохождения лучевых методов диагностики.
Прединвазивный протоковый рак
Предполагает замещение тканей млечных протоков атипичными клетками. Непродолжительный период времени не распространяется на соседние (здоровые) ткани.
Если на этом этапе выполнить диагностику (в частности, маммографию) и пройти лечение – карцинома с высокой долей вероятности не перейдёт на следующий этап.
Предрасполагающие факторы для отягощения клинической картины – стресс, снижение иммунитета, гормональный дисбаланс.
При отсутствии своевременного, грамотного лечения, клетки, изменённые мутацией, не остаются внутри протока, а охватывают близлежащие ткани. Это означает, что опухолевый процесс принимает агрессивную форму развития. Основной признак, сопровождающий состояние – интенсивная боль и тяжесть в молочной железе.
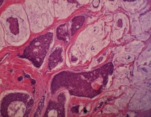
Инвазивный дольковый рак молочной железы
Характеризуется поражением преимущественно верхних долей грудной желез. Встречается в среднем и пожилом возрасте. Зачастую опухолевый процесс принимает двустороннюю локализацию.
Атипичные клетки распространяются одновременно из двух или более очагов. Тяжело поддаётся диагностике, длительное время не обращает на себя внимания.
Пальпируемое уплотнение или выделение секреции из сосков – отсутствует.
Неспецифицированная форма
Инвазивный рак молочной железы неспецифического типа – редкое заболевание. Его особенность – нехарактерная структура атипичных клеток. Иногда на основании гистологического исследования не удаётся установить, как форма рака у пациентки – протоковая или дольковая. В этом случае говорят о развитии неспецифицированной карциномы. Она классифицируется на следующие виды:
- Медуллярный тип. Образуется крупное уплотнение. Охватывает органы медленно, не сразу. Но быстро растёт в пределах собственной структуры.
- Инфильтрирующий протоковый тип. Быстро охватывает близлежащие структуры, в 99% случаев вызывает развитие метастазов.
- Воспалительный тип. Проявления напоминают течение мастита, но не происходит повышения температуры тела.
- Болезнь Педжета. Поражает сосок и ареолу. Изначально проявляется в виде пузырей и корок, затем объединяется в общий конгломерат.
60-70% всех этих опухолей содержат рецепторы к эстрогенам, что позволяет подавлять прогрессирование онкологической болезни гормональными препаратами. Отсутствие указанных структур свидетельствует о появлении карциномы в период перед климаксом.
Симптоматика
На ранних стадиях опухоль не имеет никаких отчетливых признаков. Единственное, что может натолкнуть на мысли о заболевании – это изменение оттенка кожи груди и периодическая отёчность.
При развитии патологии в железе появляются незначительные узелки и уплотнения, которые можно ощутить только при пальпации. Боли или дискомфорта на этой стадии практически нет.
После того как опухоль прорастает в нежелезистые ткани, начинаются изменения с соском. Он втягивается внутрь, опухает, меняет свою форму, могут быть патологические выделения. На этой стадии видна деформация конечного отдела груди, прощупываются инфильтраты, узлы, уплотнения, которые могут быть болезненными при надавливании.
После увеличения опухоли начинается рост лимфатических узлов в самой грудной железе, по ходу грудных мышц и аксилярной области. Узлы могут увеличиваться за счет продуктов распада клеток или при развитии метастазов (4-я стадия).
Все симптомы подкрепляются постоянной интоксикацией и потерей веса. Из-за раковой кахексии можно потерять до 20–30 килограмм за 6–10 месяцев. Чем больше опухоль, тем выраженнее потеря веса.
Характеристика проблемы
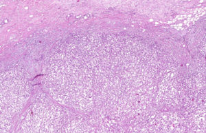
Низкодифференцированный рак – онкологическая патология, которая характеризуется стремительным делением раковых леток.
По своему внешнему виду они напоминают стволовые клетки, что проходят в будущем несколько стадий развития.
Они имеют ядра неправильной формы, поэтому не могут выполнять функции здоровых тканей, но потребляют питательные вещества и энергию, в отличие от высокодифференцированных раковых опухолей.

Данная разновидность рака имеет высокую степень злокачественности, опухоль быстро растет, поражая новые области органа (распространяет метастазы). Она может образовываться в разных органах организма человека.
Обратите внимание! Низкодифференцированные опухолипрактически не чувствительны к химиотерапии, поэтому являются самыми опасными по сравнению со всеми онкологическими заболеваниями.
Самыми часто встречаемыми низкодифференцированными новообразованиями являются плоскоклеточный и аденогенный низкодифференцированный рак.
Стадии заболевания
Существует 4 стадии развития инвазивной карциномы молочной железы:
- Начальная. Размер конгломерата – не более 1-2 см, но опухоль не охватывает другие органы.
- Средней тяжести. Опухолевый процесс прогрессирует, возникают метастазы (преимущественно в подмышечные лимфатические узлы). Атипичные клетки не сращены.
- Тяжёлая стадия. Из-за способности быстро проникать в другие структуры, трудно поддаётся дифференциации. Отдалённые метастазы не возникают.
- Крайне тяжёлая стадия. Рак охватывает практически всю молочную железу. Метастазы направлены в кости и внутренние органы.
Установить конкретную стадию злокачественного процесса без применения методов диагностики – невозможно. Врач учитывает информацию анамнеза пациентки, но эти сведения не первостепенны в постановке диагноза. Определяющее значение имеют ответы обследования.
Что такое инвазивный рак молочной железы
Карцинома груди инвазивного типа отличается очень агрессивным течением. Новообразование за непродолжительное время выходит за пределы первичной локализации и пускает метастазы, прорастая в другие органы. Отличия инвазивной опухоли от неинвазивной в том, что вторая имеет четкие границы и не прорастает в окружающие структуры.
При инвазивном виде рака распространение злокачественных клеток происходит по кровеносным сосудам и лимфотоку. В случаях, когда во время постановки диагноза уже присутствуют метастазы рак называют метастатическим.
Диагностика
Для выявления опухоли, установления её размеров и типа, женщине предстоит пройти ультразвуковое исследование молочных желез. Если указанные виды диагностики подтверждают наличие карциномы, специалист назначает проведение:
- Дуктографии – рентгенологического исследования груди. Метод предполагает использование контрастного вещества. Этот раствор заполняет млечные протоки, после чего удаётся детально визуализировать характеристики уплотнения.
- Пункции поражённой груди с последующей биопсией. Образец ткани направляют на гистологическое исследование – для определения формы рака.
- Иммуногистохимических тестов. Направлены на определение чувствительности новообразования к женским половым гормонам. Благодаря результату этого исследования становится понятно, удастся ли устранить злокачественный процесс гормонотерапией.
Для установления стадии онкологического процесса женщине предстоит КТ органов и структур, которые подвержены поражению метастазами. Если возникает подозрение на наличие опухолевых очагов в перечисленных отделах, показано проведение гистологического исследования. Метод также предполагает предварительное выполнение биопсии – для взятия образца материала.
Инвазивный рак молочной железы – особенности его развития, прогноз и лечение
Рак молочной железы – не приговор, но болезнь, с которой можно и нужно бороться. На современном этапе медицина все больше и больше продвигается в изучении диагностики и лечения онкологических заболеваний. Врачи выделяют несколько видов и стадий рака груди.
Одним из самых распространенных и опасных считается инвазивный рак молочной железы.
При развитии данного онкологического заболевания инвазивность означает, что раковые клетки не просто растут в очаге образования, но и способны выходить за его пределы, поражая другие органы и системы.
Причины инвазивного рака груди
Инвазивная карцинома молочной железы возникает при наличии ряда факторов риска. К ним можно отнести следующие группы.
Факторы, связанные с состоянием репродуктивной функции женского организма. Раннее начало менструаций, преждевременное или запоздавшее наступление менопаузы, поздние первая беременность и роды (после 35 лет), большое количество абортов.

Эндокринные и метаболические факторы, связанные с сопутствующими или перенесенными заболеваниями. Ожирение, сахарный диабет, гипертоническая болезнь, атеросклероз, заболевания печени, гипотиреоз, дисгормональные доброкачественные дисплазии молочных желез.
Генетические факторы в результате мутаций генов BRCA1 или BRCA2, наличие этих генов объясняет семейные случаи опухоли молочной железы, которые составляют до 1 % от общего количества пациентов с этим заболеванием. Семейный рак молочной железы в молодом возрасте чаще возникает у женщин, близкие родственники которых болели онкологическими заболеваниями груди, эндометрия или яичников.
Экзогенные факторы. Длительная гормональная заместительная терапия, проведенное ранее с терапевтическими целями облучение, курение, воздействие канцерогенов.
Выделяют ряд предраковых заболеваний груди. Они значительно увеличивают риск развития инвазивной карциномы молочной железы.
- фиброаденома молочной железы;
- локализованная или узловая мастопатия;
- диффузная мастопатия;
- эктазия крупных протоков с перидуктальным маститом;
- внутрипротоковая папиллома.
Симптомы и внешние признаки
Клинические проявления инвазивного рака молочной железы довольно разнообразны. Симптомы и внешние признаки во многом зависят от стадии заболевания.
Так, пока клетки карциномы не распространились за пределы основного очага, большинство женщин не предъявляет никаких жалоб, некоторые же жалуются на болезненность и ощущение дискомфорта, которые возникают при прощупывании молочных желез. В последующем появляются один или несколько следующих симптомов.
- изменение контура груди;
- выделения из сосков кровянистого или слизисто-гнойного характера;
- боль или жжение в груди и сосковой области;
- уплотнение без определенных границ, которое не меняет размеров и формы в течение менструального цикла;
- кожа грудной железы на каком-то участке может становиться покрасневшей, шелушащейся, бледной или бугристой.
Виды и формы
В медицинской литературе описано несколько вариантов патологий, которые представляют собой инвазивный рак грудной железы.
В зависимости от местоположения, скорости развития, формы и структуры строения опухоли подразделяют на ряд видов.
Некоторые типы злокачественных новообразований груди возникают непосредственно в железах, но большинство – в протоках и каналах, соединяющих дольки с соском.
Дольковая карцинома
Инвазивную дольковую карциному молочной железы также называют лобулярной карциномой. Данное название характеризует опухоль, которая происходит из дольчатых структур груди, ответственных за лактацию у женщины.
Дольковая карцинома молочной железы в дебюте заболевания поражает железистую ткань, а затем захватывает все новые и новые близлежащие ткани. Инвазивный вид опухоли сложно определить во время маммографии.
Чаще женщина во время самостоятельного исследования или врач могут прощупать в верхней внешней части грудной железы плотное образование. Более чем в четверти случаев такое же образование появляется и на второй груди или в нескольких местах на одной груди.
Наиболее явно опухоль проявляет себя на поздних стадиях, когда происходит изменение поверхности кожи над очагом поражения. Вследствие гормональной природы заболевания инфильтрирующая дольковая карцинома молочной железы может распространиться и на внутренние репродуктивные органы – матку и придатки.
Неспецифицированный рак
Данную форму новообразования трудно распознать при морфологическом исследовании. Рак молочной железы неспецифического типа обычно имеет неблагоприятный прогноз. Для определения формы злокачественного образования проводится иммуногистохимическое исследование, с помощью которого определяется дольковый или протоковый характер поражения. К основным видам неспецифического рака относят:
- Медуллярный, который имеет низкую способность к прорастанию, хотя сама опухоль при этом может достигать больших размеров.
- Воспалительный, при котором симптомы очень схожи с маститом, что затрудняет своевременную диагностику онкологического процесса.
- Рак Педжета, который поражает соски и ареолы.
Принципы лечения
Выбор метода лечения рака молочной железы зависит от стадии процесса, его локализации, гормональной формы, морфологических признаков, возраста и общего состояния больного. Существует несколько видов лечения: гормонотерапия, оперативное вмешательство, лучевая терапия и химиотерапия.

Стандартные принципы лечения инвазивного рака груди включают в себя применение гормонов с целью уменьшения объемов опухолевой массы. Следующим этапом следует проведение частичной или полной резекции грудной железы с прилегающими лимфатическими узлами. Затем применяют лучевую терапию и системное воздействие химиопрепаратов.
Прогноз выживаемости
В основном прогноз при инвазивном раке груди зависит от результатов проводимой терапии. Инвазивное поражение молочных желез характеризуется высоким процентом летальных исходов.
Рак молочной железы 1 или 2 степени заболевания в 90% случаев заканчивается выздоровлением. Положительная динамика возможна только при грамотном лечении. Выживаемость при онкологии 3-й степени составляет 47%, а при 4-й – около 16%.
На поздних стадиях инвазивный рак груди с трудом поддается лечению. Прогноз существенно ухудшается при появлении метастазов.



