Что такое билиарный сладж и как его вылечить
Билиарный сладж – это осадок в желчном пузыре (скопление кристаллов) из холестерина, пигментов билирубина, солей кальция, муцина и других составляющих.
Благоприятные условия для его образования появляются при нарушении оттока желчи.
На начальной стадии сладж-синдром протекает без клинических признаков, в дальнейшем возможно появление болей под правым ребром и диспепсических расстройств. Подтверждается диагноз на УЗИ, лечение преимущественно медикаментозное.
Определение
В медицине термин «сладж» появился одновременно с введением в практику ультразвукового исследования. Точный перевод английского слова «sludge» — густая грязь, ил, осадок, тина. Билиарным сладжем (БС) принято называть мелкую взвесь, напоминающую песок, которую обнаруживают при эхографическом исследовании в желчном пузыре и его протоках.
Во врачебной среде нет однозначного мнения о сладж-синдроме. Часть специалистов считает его проходящим состоянием, не требующим специальной терапии. Другие называют появление осадка начальной стадией желчнокаменной болезни на фоне повышенной литогенности желчного секрета и снижения двигательной функции стенок полого органа.
Классификация
С учетом природы происхождения билиарный сладж делят на первичный (без патологических причин) и вторичный, когда гранулы осадка образуются под влиянием провоцирующих факторов. Химический состав осадка непостоянный, различают:
- холестериновые кристаллы с включением муцина;
- взвесь с преобладанием солей кальция;
- образования с пигментами билирубина.
По состоянию моторики полого органа, патология может протекать с сохранением функции сокращения, со снижением или полным отключением двигательной активности стенок органа.
На УЗИ желчного пузыря различают несколько форм билиарного сладжа:
- эховзвесь – начальные признаки сладжированной желчи;
- билиарные сладж-сгустки – наличие мелких образований;
- особые формы – полипы из холестерина, замазкообразная желчь при атонии полого органа, конкременты до 0,1-0,2 см.
По сочетанию с холелитиазом: патология может протекать без появления твердых включений или с формированием мелких камней до 4-5 мм.
Процесс образования
В медицине феномен образования сладжа в полом органе связывают с расстройством метаболизма, вследствие которого изменяется химический состав желчи. Процесс протекает на фоне застойных явлений, в результате чего наблюдается преобладание литогенных свойств.
Желчь концентрируется и насыщается холестерином, излишки которого постепенно превращаются в микрокристаллы. Со временем они соединяются и образуют микролиты (мелкие песчинки), из которых постепенно формируются желчные камни. Катализатором реакции является нарушение отхождения и выведения желчи.
Причины появления
Чаще всего толчком к образованию сладжа в желчном может стать:
- возраст – пожилые люди старше 60 лет входят в группу риска;
- пол – у женщин сладжированная взвесь диагностируется чаще;
- наследственность – в анамнезе у близких родственников есть ЖКБ;
- перенесенные операции по шунтированию желудка или его удаление.
Помимо постоянных факторов, существуют временные предпосылки. У женщин это гормональные нарушения в сторону увеличения выработки эстрогенов. Литогенность желчи усиливается во время беременности, когда повышается синтез прогестерона. Сладж в резервуаре для накопления желчи диагностируют у пациенток, которые принимают оральные контрацептивы и другие гормональные препараты.
К другим непостоянным факторам относят:
- наличие лишних килограмм;
- неправильное питание – преобладание в рационе пищи с большим количеством калорий и низким содержанием растительной клетчатки;
- отказ от пищи (голод);
- пристрастие к диетам с потерей веса более 200 г в неделю;
- употребление некоторых лекарственных препаратов (Цефтриаксон, Циклоспорин и другие);
- воспалительные заболевания билиарной системы – холангит, холецистит;
- нарушение сократительной способности сфинктера Одди и желчного пузыря;
- вирусный и хронический гепатит;
- пересадка внутренних органов или костного мозга;
- анемия, вызванная нарушением строения белка гемоглобина.
Появление признаков сладжа замечают больные, которые питаются через зонд или капельницу. Сладжированный осадок у них просматривается уже через 1,5-2 месяца после перехода на парентеральный прием пищи.

В группу риска входят больные с перекрытием просвета желчевыводящих путей камнем, опухолью, после травмы, спазмом сфинктера Одди на фоне панкреатита. Особенно часто взвеси появляются при алкогольном циррозе печени, а также у людей с дискинезией желчевыводящих путей по гипокинетическому типу.
Клинические проявления
Наличие симптоматики обусловлено степенью изменений в желчной среде. Если появляется песок или жидкость становится замазкообразной с включением сгустков, больной может не подозревать о наличии БС. Патология протекает латентно, без характерных симптомов.
Появление типичных признаков наблюдается, если мелкая взвесь и сгустки присутствуют в полости пузыря одновременно. В этом случае билиарный сладж может беспрепятственно мигрировать по желчным путям, раздражая рецепторы. У таких пациентов появляются основные симптомы дисфункции билиарного тракта:
- тошнота, рвота;
- горький привкус во рту;
- дискомфорт после приема пищи, запор;
- механическая желтуха (при обтурации протоков).
У больных с высокой степенью поражения развивается состояние, напоминающее колику. Чувство тяжести и ноющая боль в правом подреберье, отдающая под лопатку, присутствует у 70 % пациентов. Выраженность болевого синдрома зависит от степени тяжести заболевания.
Проявления у детей
Феномен неоднородности желчи в виде осадка кристаллического происхождения у ребенка может развиться с младенческого возраста. Одной из причин синдрома билиарного сладжа является физиологическая желтуха, появляющаяся у многих детей после рождения. Билирубин, в избытке содержащийся в жидкости, кристаллизуется и превращается в осадок.
Другая причина кристаллизации у маленького ребенка – кормление молочными смесями. У школьников негативное влияние на работу билиарной системы оказывают стрессовые и умственные нагрузки.
Отказ от завтрака провоцирует появление симптомов билиарного сладжа. Это объясняется утренним застоем жидкости, скопившейся за время ночного сна.
Такие дети жалуются на приступы тошноты и болевые ощущения в области печени.
Возможные осложнения
Значимость раннего выявления сладжа в желчи высока. Длительное течение патологии может привести к тяжелым последствиям:
| Осложнение | Описание |
| Холангит | Воспаление желчевыводящих путей вследствие регулярного раздражения слизистой образовавшимися гранулами. При присоединении вторичной инфекции возникает риск появления гнойного содержимого в протоках |
| Желчная колика | Наличие сладжированного песка в большом количестве вызывает интенсивную боль в правом подреберье, диспепсию |
| Панкреатит | Воспалительный процесс в поджелудочной железе, сопровождается болью в животе, расстройством пищеварения |
| Стеноз сфинктера Одди | Билиарный сладж в желчном пузыре приводит к дисфункции запирающего устройства, в результате которой нарушается отток желчи и проходимость сока поджелудочной железы |
| Хронический холецистит | Воспаление желчного пузыря без образования камней |
| «Отключенный» желчный пузырь | Нефункционирующий орган не накапливает и не выбрасывает ее порционно в кишечник |
| Эмпиема желчного пузыря | Тяжелая патология появляется при инфицировании застойной жидкости |
| Стенозирующий папиллит | Сужение протоков в результате появления рубцов |
| Дуоденит | При тяжелой степени поражения, осложнению подвергается начальный отдел кишечника, находящийся за пределами билиарной системы. Воспаление вызывает изжогу, тошноту, отрыжку, рвоту, боли в эпигастральной области |
Самым распространенным осложнением билиарного сладжа в желчном является формирование крупных конкрементов.
Методы диагностики
Обследованием и лечением пациента занимается гастроэнтеролог или гепатолог. Самостоятельная диагностика сладжа из-за отсутствия симптоматики практически невозможна. В большинстве случаев феномен обнаруживают при диагностике заболеваний печени или пузыря.

Сладж желчного пузыря выявляют с помощью:
- УЗИ печени, поджелудочной железы;
- дуоденальное зондирование с последующим биохимическим и микроскопическим исследованием желчи;
- холецистография: внутривенная или пероральная;
- сцинтиграфия — визуализация изменений путем введения радиоактивных изотопов;
- компьютерная томография – для исключения онкологических разрастаний в билиарной системе.
Хорошей информативностью обладает клинический анализ крови. Увеличение количества лейкоцитов сигнализирует о развитии воспаления. В копрограмме обнаруживают небольшое количество нейтрального жира с умеренным содержанием жирных кислот. Кал становится блестящим, у больного появляется склонность к запорам.
Обострение холецистита выдает повышение билирубина, щелочной фосфатазы. Для контроля количества холестерина в жидкости, вырабатываемой в пузыре, высчитывают холестериновый индекс. По результатам полного обследования и дифференциации болезни, врач назначает схему лечения билиарного сладжа.
Как лечить
Сладж синдром желчного пузыря: развитие, признаки, диагностика, лечение
Сладж синдром — название особого патологического состояния, которое характеризуется застоем и кристаллизацией желчи. В переводе с латинского языка этот медицинский термин означает «грязь в желчном». Синдром встречается среди женщин в 3-5 раз чаще, чем среди мужчин. Обычно он развивается ближе к 40 года, но может выявляться и у детей.
Билиарный сладж — начальная стадия усиленной кристаллизация органических и неорганических соединений, а также процесса камнеобразования.
Заболевание проявляется характерными клиническими признаками, которые позволяют заподозрить недуг. Важно их не пропустить и вовремя определить.
У больных возникают тяжесть, дискомфорт и болезненные ощущения в правом подреберье и эпигастрии, усиливающиеся после еды.
Диагностика сладж синдрома основывается на данных УЗИ или гастродуоденального зондирования желчного пузыря.
Несвоевременная и неадекватная терапия патологии приводит к развитию серьезных патологий — воспалительных процессов в органах гепатобилиарной зоны.
Адекватная терапия заболеваний этой системы позволяет добиться их обратного развития. В запущенных случаях недуг прогрессирует и неизменно приводит к камнеобразованию.
По этиопатогенезу выделяют два вида синдрома:
- Первичный или идиопатический — самостоятельная нозология, причина которой не выяснена;
- Вторичный — недуг, возникающий на фоне различных заболеваний гепатобилиарной зоны, беременности, редкого похудения, эндокринных расстройств.
Этиопатогенез
Густой осадок в желчном пузыре образуется в результате застоя желчи — холестаза, изменения ее состава — дисхолии, развития воспаления – холецистита.
Это основные этиопатогенетические факторы синдрома, возникающие при следующих патологических и физиологических состояниях:
- Цирроз печени,
- Обтурация желчного протока камнем,
- Панкреатит,
- Снижение иммунитета,
- Резкое и стремительное похудение, обусловленное стрессом или длительными диетами,
- Операции на кишечнике или желудке,
- Длительное лечение антибиотиками и цитостатиками, прием препаратов кальция, противозачаточных средств и липолитиков,
- Анемия,
- Пересадка внутренних органов,
- Длительное парентеральное питание,
- Вирусное воспаление почек,
- Алкогольная интоксикация организма,
- Инсулинзависимый сахарный диабет,
- Психоэмоциональное перенапряжение,
- Злоупотребление соленой, жирной и жареной пищей,
- Вредные привычки — прием алкоголя, курение, сидячая работа,
- Генетическая отягощенность и врожденные аномалии,
- Хронические заболевания внутренних органов, манипуляции и операции,
- Беременность, климакс, гиподинамия.
У здоровых людей компоненты желчи находятся в коллоидном состоянии. Когда изменяется соотношение желчных кислот и холестерина, последний осаждается и кристаллизуется.
Сгущение и застой желчи способствует инфицированию желчного пузыря гематогенным, лимфогенным или восходящим путем.
Воспаление органа сопровождается утолщением его стенок и нарушением динамики опорожнения, что приводит к эвакуационной дисфункции и застою желчи.

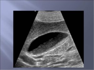
примеры билиарного сладжа
Сладж синдром обычно развивается у женщин старше 55 лет, имеющих лишний вес и наследственную предрасположенность, пренебрегающих правильным питанием и употреблением в пищу полезных продуктов – овощей, фруктов, круп.
У детей раннего возраста образование осадка в желчи связано с повышением уровня свободного билирубина, которое наблюдается при физиологической желтухе, невозможности кормления грудью и раннем введении прикорма. У детей постарше развитие синдрома обычно связано со стрессовым фактором, выраженной дисфункцией ЖКТ, недостатком микроэлементов в крови и желчегонных продуктов в рационе.
Под воздействием этиологического фактора возникает гипертонус сфинктера Одди и гипотония мускулатуры желчного пузыря.
Патогенетические звенья сладж синдрома:
- Избыточное содержание холестерина в желчи,
- Формирование крупных конгломератов из кристаллов холестерина,
- Их осаждение на стенках желчного пузыря и повреждение органа,
- Постепенное укрупнение камней.
Билиарный сладж в желчном пузыре — негомогенная по составу взвесь, сигнализирующая о начинающейся желчнокаменной болезни.
Симптоматика
Клиническая картина патологии часто смазана и напоминает таковую при хроническом воспалении желчного пузыря, особенно на ее начальных этапах.
Кристаллизации холестерина ускоряет процесс загустения желчи, что клинически проявляется более выраженными симптомами.
Когда густого осадка в пузыре становится больше, чем нормальной желчи, состояние больных резко ухудшается и значительно возрастает риск образования камней.
Основные проявления патологии можно объединить в следующие синдромы:
- Болевой синдром проявляется тяжестью, дискомфортом и неприятными ощущениями в подреберьи справа. Боль имеет тянущий, покалывающий или давящий характер и часто усиливается до желчной колики, отдавая в поясницу, надплечье, под лопатку, в шею. Устойчивый абдоминальный синдром возникает спонтанно или усиливается на протяжении длительного времени.
- Интоксикационный синдром. Застой желчи — частая причина общей интоксикации, проявляющейся лихорадкой, утомляемостью, цефалгией, сонливостью.
- Желтуха. Пожелтение кожи и слизистых оболочек связано с нарушением оттока желчи из-за камня, перекрывающего проток, или его сильного спазма. Кал у больных обесцвечивается и содержит много жира, моча темнеет.
- Диспепсический синдром проявляется горечью во рту, резкой потерей аппетита, отрыжкой, изжогой, тошнотой и рвотой после еды, запором или поносом, метеоризмом и урчанием в животе. Подобные признаки появляются, когда в 12-ти перстную кишку поступает мало желчи.
Диагностика
Самостоятельно выявить сладж синдром практически невозможно, поскольку он не имеет каких-либо специфических симптомов.
Специалисты собирают анамнез жизни и болезни, выслушивают жалобы, проводят общий осмотр. В анамнезе жизни важное значение имеет прием каких-либо лекарств, наличие хронических заболеваний ЖКТ, злоупотребление спиртными напитками. Во время физикального осмотра выявляют болезненность при пальпации живота.
- В гемограмме определяются признаки воспаления, а в биохимическом анализе – изменение активности печеночных маркеров и количества протеинов, гипербилирубинемия и гиперхолестеринемия.
- УЗИ желчного пузыря позволяет определить анатомические параметры и оценить состояние органа, выявить холестаз, холестероз, фиброз, сгустки, конгломераты, хлопьевидный осадок в желчи, определить ее количество. До сих пор ученые-медики не определили, является ли сладж синдром самостоятельным заболеванием или только УЗИ-симптомом. Это связано с отсутствием прогноза патологии, эффективных лечебных схем и тактики ведения пациентов.
- Дуоденальное зондирование проводят с целью получения желчи из 12-перстной кишки, которую направляют в лабораторию для ее дальнейшего исследования под микроскопом с целью определения состава клеток и химических элементов.
Лечебные мероприятия
Лечение сладж синдрома желчного пузыря сложное и многокомпонентное, включающее диетотерапию, воздействие лекарственных препаратов и фитосредств, оперативное вмешательство.
Чтобы улучшить состояние больных и восстановить функции желчного пузыря, необходимо вывести из желчи кристаллы и конгломераты, нормализовать ее состав, сделать более жидкой.
Это поможет уменьшить выраженность симптомов и снизить риск развития осложнений.
Выполнение врачебных рекомендаций позволит ускорить процесс выздоровления. Больным необходимо соблюдать щадящую диету, пить достаточное количество жидкости в день и принимать назначенные медикаменты.
Всех больных с дисфункцией желчного пузыря условно делят на 3 группы:
- Пациентам не проводится медикаментозное и хирургическое лечение, показана диетотерапия.
- Пациентам дополнительно требуется лекарственная терапия.
- Пациенты нуждаются в операции – холецистэктомии и соблюдении диеты после неё.
Лечение сладж синдрома начинают с диетотерапии. Больным назначают диету № 5, запрещающую жирные продукты, копчености, кислые овощи и фрукты, алкоголь, острые и жареные блюда.
Пищу следует варить, тушить или готовить в пароварке. Необходимо пить как можно больше жидкости — не менее 2 литров в день.
Это может быть чистая негазированная вода, ягодные морсы, ромашковый или любой другой травяной чай, отвар шиповника.
В ежедневный рацион больных должны быть включены белковые продукты и блюда, богатые клетчаткой и стимулирующие работу системы пищеварения. Принимать пищу необходимо дробно – небольшими порциями, 5-6 раз в сутки. Ежедневный рацион должен быть сбалансирован по количеству основных нутриентов с ограничением холестерина.
: о диете при обнаружении осадка в желчном пузыре у ребенка
Медикаментозное лечение:
- Гепатопротекторы, оказывающие желчегонное, холелитолитическое, гиполипидемическое, гипохолестеринемическое и иммуномодулирующее действие – «Урсосан», «Урсофальк», «Урсодез».
- Спазмолитики, обладающие миотропным и нейротропным действием – «Но-шпа», «Дюспаталин», «Папаверин».
- Анальгетики, оказывающие обезболивающее действие – «Спазган», «Кеторол», «Анальгин».
- НПВС, обладающие обезболивающим, жаропонижающим и противовоспалительным эффектами – «Нимесулид», «Ибупрофен».
- Желчегонные препараты с холекинетическим и холеретическим действием – «Холензим», «Аллохол», «Холосас».
- Противорвотные средства применяются при различных состояниях, сопровождающихся тошнотой и рвотой – «Церукал», «Мотилиум».
- Для борьбы с обезвоживанием — коллоидные и кристаллоидные растворы: «Цитроглюкосолан», «Реополиглюкин», «Ацесоль».
- Несолевые слабительные оказывает сильное желчегонное действие – «Бисакодил», «Фитолакс».
- При наличии воспаления – антибактериальные средства широкого спектра действия, чаще из группы фторхинолонов, аминогликозидов, цефалоспоринов, макролидов.
Когда больному не помогает компенсирующая терапия, назначается удаление желчного пузыря – достаточно частое хирургическое вмешательство.
Существует два метода холецистэктомии: лапаротомический – путем проведения полостной операции и лапароскопический – через прокол в брюшине.
Этот способ оперативного вмешательства применяется в последнее время намного чаще, что связано с его минимальным травматизмом, быстрой реабилитацией, отсутствием осложнений.
результат игнорирования сладж синдрома – развитие желчекаменной болезни и других осложнений, требующих оперативного лечения (удаления желчного пузыря)
Средства народной медицины, активно применяемые для лечения синдрома:
- Настой или отвар песчаного бессмертника оказывает мощное желчегонное и противовоспалительное действие.
- Морковный сок или отвар из морковных семян помогает справиться с симптомами болезни.
- Свежие ягоды брусники и отвар из сушеных ягод обладают холелитическим действием.
- Травы, улучшающие состав желчи и разжижающие ее: арника, девясил, аир, крапива, одуванчик, расторопша, пижма, чистотел, полынь, тысячелистник.
- Мятный и ромашковый чай оказывает спазмолитическое и тонизирующее действие на мускулатуру пузыря и желчевыводящих протоков.
- Инжир расщепляет избыточный холестерин и активизирует гладкую мускулатуру желчного пузыря.
- Настой кукурузных рыльцев и березовых листьев оказывает желчегонное действие.
Средства народной медицины являются вспомогательными и могут лишь дополнить базовое лечение синдрома. Применять их можно только после консультации с лечащим врачом.
Профилактика и прогноз
Первичная профилактика патологии заключается в устранении негативного воздействия эндогенных и экзогенных факторов, способствующих застою желчи – сопутствующих заболеваний и погрешностей в питании.
Чтобы предупредить развитие сладж синдрома, необходимо выполнять следующие правила:
- при необходимости похудеть без применения строгих диет и голодания,
- правильно питаться,
- вовремя лечить заболевания гепатобилиарной зоны — гепатит, панкреатит,
- ограничить эмоциональные и физические перегрузки,
- отказаться от приема лекарств, которые могут спровоцировать развитие сладж синдрома,
- вести здоровый образ жизни с отказом от вредных привычек,
- гулять на свежем воздухе,
- оптимизировать режим дня.
Если вовремя не обнаружить синдром и не начать его лечение, могут возникнуть неприятные последствия. Осложнения развиваются и в тех случаях, когда больные не проходят весь курс лечения и бросают прием препаратов.
При этом осадок в желчи становится все гуще и превращается в камни, которые перекрывают желчевыводящие протоки. Развивается калькулезный холецистит, острый панкреатит, желчные колики, холестаз, острый холангит.
Крупные камни с неровными краями застревают в желчных путях и повреждают стенки желчного пузыря, что нередко приводит к разрыву органа.
Что такое билиарный сладж и как его вылечить — Печеночка не болей!
11.07.2019
Появляющийся осадок в желчном пузыре носит название билиарный сладж (БС). Сам осадок обычно бывает разнохарактерным по составу, и его присутствие служит сигналом о начале желчнокаменной болезни.
До сегодняшнего дня нет однозначного мнения, считать ли билиарный сладж (БС) отдельным заболеванием или лишь УЗИ-симптомом.
Но согласно статистическим данным, подобный осадок можно обнаружить у 4% людей, имеющих желчнокаменную болезнь, и у 8%, жалующихся на проблемы с органами желудочно-кишечного тракта.
Но все же, большинство специалистов относят эту патологию к ранней форме желчнокаменной болезни, если нет лечения, данный осадок «дорастает» до камней. Данная аномалия называется сладж-синдром.
Для полной ясности картины разберем симптомы, признаки заболевания, виды диагностики и лечения.
Предпосылки появления и факторы риска
Сухой порошок в желчном пузыре (ЖП) бывает замечен при застаивании желчи, в его составе присутствуют:
- Белки желчи;
- Холестерин;
- Желчные пигменты;
- Соли кальция;
- Муцин.
- Вышеперечисленные составляющие собираются в полости, но УЗИ его легко диагностирует.
- Выделяется несколько факторов риска, способствующих быстрому формированию билиарного сладжа:
- Часто распространенная болезнь – хронический холецистит – способствует появлению осадка в ЖП. В период заболевания стенки пузыря делаются значительно толще, и желчь выходит медленнее, образуя осадок, приводящий к билиарному сладжу. Холецистит — заболевание цикличное, билиарный сладж может исчезать в пору ремиссии заболевания;
- Беременность так же бывает одним из факторов риска. Статистика говорит, что эховзвесь находят у 20% женщин в положении. Механизм возникновения прост – матка поднимается вверх, стесняя внутренние органы, из-за этого понижается моторика желчного пузыря. После родов, обычно, все приходит в норму, а взвесь, как правило, выводится;
- Диеты, как ни странно это звучит, являются тоже причиной накопления осадка. А проблема в том, что при перемене питания, мы получаем меньше питательных веществ, а внутренние органы пытаются изменить ход своей деятельности, как следствие — опять снижается деятельность желчного пузыря, и желчь застаивается. Из-за этого возможен хронический холецистит или желчнокаменная болезнь, но переход на правильный рацион питания заставляет билиарный сладж отступить. Случается и другая крайность – перенасыщенность потребляемой пищи жирами, солью и другими вредными продуктами. Проблема решается изменением рациона питания — заменой нежелательных блюд полезными;
- При употреблении некоторых лекарств также есть шанс приобрести билиарный сладж. Отдельные препараты содействуют излишнему насыщению желчи холестерином, а это делает ее вязкой, и способной оседать в пузыре. К лекарствам, обладающим такими свойствами, можно отнести противозачаточные таблетки, лекарственные препараты с кальцием, липолитики, цефалоспорины третьего поколения;
- Некоторые болезни (патологии) напрямую влияют на моторику пищеварительных органов, тем самым, нарушают обмен веществ, приводя к возникновению застоев в желчном пузыре.
К числу факторов риска можно отнести и проведенные операционные вмешательства на органах ЖКТ, алкоголь в излишнем количестве, сахарный диабет, панкреатит, последствия гепатита, избыточный вес.

По статистике женщины больше подвержены этому заболеванию.
Есть опасность возникновения билиарного сладжа у детей. Этому феномену способствует неподходящее по возрасту кормление, употребление вредной пищи, психологические нагрузки. При обнаружении осадка в желчном пузыре у ребенка, обязательно скорректируйте питание. Часто эта болезнь развивается на фоне желтухи у младенцев из-за повышения билирубина.
Билиарный сладж нередко бывает первопричиной появления хронического холецистита, желчнокаменной болезни, панкреатита. А продолжительный застой желчи провоцирует даже возникновение острого холецистита, что предполагает хирургическое вмешательство.
Диагностика заболевания
Назначение оптимального лечения требует провести обследование. Гастроэнтеролог должен обнаружить аномалию на ранней стадии. Первым назначаемым обследованием обычно бывает УЗИ, где определяется тип сладжа (осадка). Состав и классификация осадка условно разделяет взвеси на три типа:
- Микролитиаз (эхогенная взвесь) – эта взвесь состоит из небольших частиц (хлопьев), легко перемещающихся;
- Замазкообразная желчь – здесь наблюдаются сгустки различной плотности с отчетливыми очертаниями, которые также легко перемещаются;
- Микролитиаз с густой желчью (гиперэхогенная взвесь) – эта взвесь состоит из сгустков желчи, сладжей, обнаруживается обычно в задней части ЖП (сочетает в себе признаки первых двух групп).
- По мнению отдельных врачей, мелкодисперсная взвесь бывает предвестницей камней, хотя эта связь точно не доказана.
- Гепатизация органа начинается, когда желчный пузырь полностью заполнен сладжем, здесь типична ситуация, когда концентрация холестерина повышена и в пузыре, и в желчевыводящих путях.
- Состав сладжа подразделяет его на три вида:
- Билирубиновый сладж;
- Выпадение в виде осадка кристаллов холестерина;
- Осадок из соединений кальция.
После получения данных УЗИ назначают более тщательную диагностику, состоящую из:
- Установления клеточного и биохимического состава желчи (дуоденальное исследование желчного пузыря);
- Биохимического анализа крови (рассматривается содержание билирубина, холестерина, трансаминазы);
- МРТ и компьютерной томографии, чтобы увидеть послойную картину желчного пузыря.
Назначение других видов обследования и диагностических методов зависит от фазы заболевания и наличия осложнений.
Симптомы заболевания
Сладж-синдром причисляют к таким видам заболеваний, когда протекание болезни у взрослых и у детей не сопровождается очевидной симптоматикой. Признаки заболевания могут смешиваться с общими симптомами болезней, свойственными холециститу, желчнокаменной болезни. Поводом для обращения к специалисту может служить отсутствие в анамнезе подобных болезней.
Общие же проявления образования осадка бывают:
- Довольно сильные болевые ощущения в районе крайнего ребра справа (боль может быть острой или ноющей);
- Интоксикация (возникновение слабости, появление головной боли, повышение температуры);
- Желтуха (ее появлению способствует плохой отток желчного секрета);
- Метеоризм (если воспаление распространилось на поджелудочную железу);
- Изжога, рвота, нарушение стула.
При наличии каких-либо из этих симптомов назначают УЗИ и определяют причины выпадения взвеси в осадок (обычно билиарный сладж рассматривается как база для развития других заболеваний).
Симптоматика и причины возникновения:
- Болевой синдром вероятен в начале образования холецистита или при передвижении взвесей в ЖП, но наличие самого осадка не вызывает боль;
- Интоксикация случается при панкреатите и холецистите, считается основным симптомом воспалительного процесса;
- Желтуха вызывается спазмом протока, вызванным болевым синдромом или камнем, закрывшим проток, одним словом, когда происходит срыв выхода желчи;
- Метеоризм бывает, когда начинается воспаление поджелудочной железы;
- Синдром диспепсии (рвота, тошнота, изжога, диарея) появляется при нехватке поступившей желчи в двенадцатиперстную кишку, идет сбой в пищеварении.
Лечение
Главными направлениями во время терапии билиарного сладжа являются снижение густоты (разжижение) и оптимизация состава желчи, освобождение от боли и предупреждение осложнений. Лечение включает такие этапы:
- Диета при билиарном сладже. Она должна быть постоянной — это важная составляющая не только лечения, но и предупреждения заболевания. Обязателен отказ от жирной, жареной, острой пищи, алкоголя. В меню должна присутствовать пища с большим содержанием клетчатки для стимулирования моторики кишечника, а значит, и деятельности ЖКТ, в общем.
- Питье. Надо потреблять большее количество жидкости — для свободного вывода осадка.
- Лекарства. Для лечения билиарного сладжа необходимо применение прописанных лекарственных препаратов. Лекарство «Холудексан» нормализует состав и густоту желчи, обладает защитными свойствами для печени и нормализует ее деятельность. Различные спазмолитики («Нош-па», «Папаверин») избавляют от болевого синдрома, убирают спазм желчных проток, помогают восстановлению оттока желчи. Таблетки анальгетиков («Спазмалгон», «Кетанов») выписывают при сильном болевом синдроме.
Народные средства
При подобной патологии имеет право на существование лечение народными средствами. Чтобы эти методы были эффективны, надо применять их по согласованности с лечащим врачом.
Для вывода желчи используются следующие лекарственные травы:
- Бессмертник песчаный. Он обладает противовоспалительными и желчегонными свойствами, используется в виде настоев или отваров;
- Перечная мята. Используется в виде чая для снятия спазма желчного протока и улучшения вывода желчи;
- Дягиль лекарственный. Настой с ним нормализует работу пищеварительной системы и используется как желчегонное лекарство.
Хотя лечение народными способами дает хороший эффект при использовании, но такое лечение может быть лишь дополнением. Оно, все же, не заменит медикаментозных назначений.
Лечить или не лечить?
Билиарный сладж – частое явление. Он бывает следствием патологии или симптоматикой заболевания. Во всяком случае, его ранее диагностирование поможет быстрому избавлению от неприятных симптомов и выявлению патологий на первых стадиях, а своевременное взятие под контроль болезни поможет вылечить щадящими методами и избавит от этой патологии.

При отсутствии лечения могут сформироваться серьезные патологии, когда медикаментозное лечение и диета уже не дадут хорошего результата. При запущенных формах — делают операцию по удалению желчного пузыря.
Билиарный сладж в желчном пузыре: симптомы и способы лечения, отличие от сладж-синдрома
Болезни желчного пузыря
04.06.2018
3.7 тыс.
2.5 тыс.
7 мин.
Билиарный сладж — предкаменная стадия формирования желчнокаменной болезни (ЖКБ), которая не имеет яркой симптоматики и выявляется с помощью инструментальных методов исследования.
В этом заключается ее отличие от сладж-синдрома, который формируется на фоне застоя желчи и имеет большое количество клинических проявлений. Билиарный сладж лечится с помощью диетического питания и медикаментов.
Сладж
Патологии желчного пузыря
Лечение сладжа в желчном пузыре проводится консервативно, хирургическим путем, или при помощи диеты.
Часто эта патология проходит сама по себе, без лечения.
Что такое сладж?
При синдроме сладжа в желчном пузыре наблюдаются застойные процессы с образованием внутри органа взвесей, которые могут иметь различный состав. Опасность синдрома заключается в его бессимптомном протекании.
Часто патологический процесс в желчном пузыре обнаруживают случайно, во время обследования методом УЗИ.
Сладж-синдром, или билиарный сладж является тревожным сигналом о начале развитии желчнокаменной болезни.
Симптомы
На начальной стадии образования какие-либо симптомы отсутствуют.
Тем не менее, заподозрить о наличии патологического процесса в организме можно по таким признакам:
- Ухудшение аппетита.
- Нарушение стула.
- Приступы тошноты или рвоты. Возникновение последней может быть обусловлено нарушением режима питания и употреблением противопоказанных продуктов.
Практически у всех больных наблюдаются такие симптомы сладжа в желчном пузыре, как изжога и болезненные ощущения в правом боку.
Особенность болей заключается в их неинтенсивном проявлении. Иногда они усиливаются после еды, иногда — беспокоят постоянно. При этом характер болей может быть приступообразным, давящим или как бы тянущим.
Формы
Различают несколько форм сладжа. Все они классифицируются в зависимости от состава взвеси, находящейся в пузыре, характера этого состава, а также принципа развития патологии.
Характер состава взвеси
- Микролитиаз — при данной форме в желчном обнаруживают небольшие частички, которые смещаются при поворотах положении тела больного в процессе обследования.
- Замазкообразная желчь, формирующаяся в сгустки.
- Смешанная форма сгустков с микролитиазом.
Состав взвеси
В содержимом желчного пузыря могут быть обнаружены:
- Холестериновые кристаллы.
- Кальциевые соли.
- Муцин.
- Желчные белки.
- Билирубиновые пигменты.
Механизм развития
Различают первичную и вторичную формы сладж-синдрома.
- Первичная развивается как самостоятельная болезнь, при которой отсутствуют какие-либо сопутствующие заболевания.
- Развитие вторичного обусловлено наличием у пациента других болезней или состояний, к примеру, алкогольный панкреатит, резкое похудение, камни в желчном.
Причины
Образование сладжа обусловлено продолжительным застоем желчи в пузыре. Это состояние вызывают самые разные причины.
Холецистит
Сегодня холецистит, который протекает хронически, наблюдается у очень многих людей. Особенность хронической формы болезни заключается в вялом, практически незаметном протекании воспалительного процесса.

Поражение стенок желчного приводит к их утолщению и замедлению эвакуации желчи.
Это становится причиной застоя желчи и образования билиарного сладжа. Из-за хронического протекания хронического холецистита в периоды ремиссий возможно полное исчезновение осадка в полости пузыря.
Обострение заболевания вызывает повторное образование взвеси.
Беременность
Согласно статистике 200% всех беременных женщин страдают этим заболеванием. Причиной тому служит поднятие матки и сдавливание внутренних органов. У некоторых женщин при этом снижается моторика желчного пузыря.
После рождения ребенка его функция восстанавливается, вследствие чего происходит выведение осадка из организма естественным путем.
Прием лекарств
Некоторые лекарственные средства способствуют чрезмерному насыщению желчи холестерином. Это вызывает сгущение желчи и образование осадка на дне пузыря.
Злоупотребление диетами
Когда в организм поступает недостаточное количество питательных веществ, происходит изменение работы внутренних органов. Моторика желчного ослабевает, и возникает застой желчи. На фоне этого зачастую формируется билиарный сладж.
Возобновление полноценного питания позволяет избавиться от этой болезни. Однако в некоторых случаях в желчных протоках могут сформироваться конкременты или развиться хронический холецистит.
Существуют также и друге причины возникновения сладжа. Так, его может спровоцировать операция по дроблению камней в желчных протоках, сахарный диабет, хирургическое лечение кишечника, ЖКТ, трансплантация органов, наследственность.
Методы диагностики и терапии
Основной метод обнаружения осадка — УЗИ. Главными показаниями к обследованию пациента служат болезненные ощущения в животе, а также анализы печеночных проб и крови.
Методику лечения врач подбирает в зависимости от тяжести состояния больного. Лечение проводят при помощи следующих методов:
- Диета без применения каких-либо лекарственных препаратов.
- Медикаментозная терапия, при которой назначаются препараты с урсодезоксихолевой и желчной кислотами. Эти лекарственные средства имеют гетатопротекторное действие и способствуют выведению токсинов из клеток печени, что предотвращает образование взвеси. При наличии существенных болей пациентам назначают спазмолитики.
- К хирургической операции прибегают при возникновении угрозы жизни, вызванной острым панкреатитом, желчной коликой, холестазом, холециститом.
Диета
Поскольку основной составляющей желчных камней является холестерин, пациентам в первую очередь рекомендуется снизить количество потребляемых насыщенных жиров, углеводов и продуктов с холестерином. К таким относятся яичные желтки, печень, жирное мясо.
Больным не следует употреблять мучное и каши. Показаны продукты, богатые витамином А, и ежедневное обильное питье. Очень полезны при сладж-синдроме отвары, приготовленные из таких растений, как полынь, зверобой, земляника, шиповник.
Для предупреждения развития тяжелых осложнений и вторичной формы заболевания необходимо придерживаться правил профилактики.
При наличии осадка в желчном следует отказаться или снизить дозировки лекарственных средств, которые вызвали холестаз. Также необходимо уделять особенное внимание лечению основных заболеваний — цирроза, гепатита и т. д.



