Что такое метастазы?
Из-за распада, распространения и активации клеток злокачественного новообразования появляются метастазы при раке. Такие очаги затрудняют лечение основного источника опухолевого процесса и крайне опасны для здоровья.
В организме они распространяются через кровеносные сосуды и лимфатические узлы. Расположение первичной опухоли определяет нахождение метастазов. Признаки метастазирования зависят от типа онкологии. Больные лечатся у врача-онколога.
Лечение метастазов включает медикаментозные способы и хирургическое вмешательство.
Метастазы: особенность развития
Метастазирование — это процесс возникновения второстепенных очагов заболевания, которые поражают ткани соседствующих органов.
При развитии рака, кроме первичной опухоли, формируются и второстепенные источники онкологии. Очаги болезни — не единичный случай, их количество в теле с развитием онкологического процесса постепенно возрастает, возникают множественные метастазы. На первых стадиях рака новообразования поражают близлежащие органы (регионарное заражение).
На последних этапах распространение клеток опухоли можно обнаружить на периферических тканях (отдаленное). Размер очага варьируется от 2 мм до 20 см. По строению метастазы сходные с материнской опухолью. Зачастую раковые клетки поражают лимфоузлы, печень и легкие. Не так часто — почки, кости, нервную систему. Их распространение усложняет излечение больных.
Нередко метастазы выявляют раньше, чем саму опухоль. Это частое явление для таких типов рака:
- груди;
- кожи;
- шейки матки;
- простаты;
- поджелудочной железы.
Виды очагов
Одним из путей распространения метастаз по организму является гематогенный, то есть с потоком крови.
Отделение и распространение злокачественных клеток происходит 4 способами. В онкологии выделяют такие пути метастазирования:
- гематогенные;
- лимфогенные;
- имплантационные;
- смешанные.
Гематогенные пути проникновения в ткани органов характерны разным видам сарком. Злокачественные клетки поступают в сосуды и продвигаются дальше вместе с кровью. Лимфогенным способом распространяются клетки карциномы.
В процессе развития онкологии лимфа теряет способности естественного барьера от вредоносных бактерий и вирусов. Под действием рака клетки в лимфе изменяются и не могут противостоять метастазированию, которое распространяется по всему организму.
Имплантационный путь возможен при контакте пораженных тканей органа со здоровыми тканями. Так онкология брюшной полости может поразить печень.
В таблице представлены основные разновидности или варианты метастазирования:
| Метастазы | Основное место локализации |
| Крукенбергские | Распространяются в яичниках |
| Вирховские | Развиваются при онкологии желудка и появляются около шеи |
| Шницлеровские | Рак с метастазами возле прямой кишки |
| Солитарные | Большие скопления в легких и головном мозге |
| Остеобластические | Появляются в костных тканях и провоцируют появление остеобластов |
| Остеолитические | Поражают кости и активизирует появление остеокластов |
Стадии патологии
Вторичные опухоли определяют стадию онкологического заболевания и проявляются на поздних стадиях.
Метастазы при раке появляются на разных этапах. Например, гематогенные клетки свидетельствуют о 4 степени развития онкологии. В основном аномальные клетки начинают распространяться на 3—4 этапе заболевания.
Человек может прожить долгое время, не зная о диагнозе. Иногда, только выявив второстепенные источники болезни, находят и первоисточник. Именно развитием вторичных очагов определяются стадии рака, а не наоборот. Приблизительное время появления метастазов невозможно определить.
Существуют «дремлющие очаги», которые могут быстро расширяться.
Причины развития
Основной причиной метастазирования считается развитая сеть сосудов и капилляров около источников онкологии. Такая система дает благоприятные возможности для развития и питания метастазов от основной опухоли.
Врачи отмечают, что вторичные очаги быстрее проявляются у более молодых людей. Это связано с быстрым метаболизмом. Кроме этого, сама опухоль часто находится в месте, которое способствует размножению аномальных клеток.
А также было отмечено, что метастазы при раке инфильтративного типа появляются и растут быстрее, чем при других типах.
Как образовываются?
Процесс отделения и распространения злокачественных клеток проходит в 4 этапа:
- Формирования метастатических клеток.
- Отделение от первичной онкологии.
- Распространение.
- Прикрепление и развитие опухоли.
Быстрота распространения атипичных клеток зависит от состояния иммунной системы пациента и его возраста.
Попадают вредоносные клетки на другие органы через лимфу, кровь и непосредственный контакт тканей одного органа с другим.
При попадании через жидкости организма в другие ткани клетки метастазов начинают делиться и развиваться. Различают активный и замедленный тип метастазирования.
Скорость поражения зависит от иммунитета и возраста пациента, кровоснабжения пораженного органа и уровня злокачественности процесса.
Локализация
Различные виды онкологии образовывают второстепенные очаги на разных органах. Гематогенные пути распространяют раковые клетки по организму на большие расстояния.
Если они перемещаются по лимфе, то сначала могут поразить один орган, а затем продолжить распространение дальше. В зависимости от первичного очага рака возможно установить место скопления метастазов.
Таблица показывает зависимость первичной опухоли и вторичных очагов поражения:
| Онкология | Вторичные очаги |
| Рак молочной железы, предстательной, щитовидной и почек | Легкие, кости, печень |
| Рак желудка, яичников, печени, толстой кишки, матки, поджелудочной | Печень, брюшная полость, легкие |
| Рак прямой кишки | Печень, легкие, надпочечники |
| Меланома | Кожа, мышцы |
Признаки болезни
Симптомы метастазов зависят от расположения очагов.
Симптомы зависят от расположения рака, например, очаги в костях приводят к их ломкости, даже при легких повреждениях.
Новообразования в костях не болят, но кости становятся хрупкими и ломаются от легких повреждений. Для рака легких характерны боли в груди с кашлем и одышкой. Вторичные очаги рака печени характеризуются тошнотой, резким снижением веса и ухудшением аппетита.
При развитии новообразований в мозге возникает головокружение и мигрени. Метастазы рака кожи видны, их можно увидеть или прощупать на поверхности тела. Они выглядят как припухлости. Признаки рака матки — сильные спазмы, боли внизу живота, кровянистые выделения.
Методы диагностики
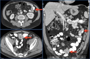
Можно выявить МТС или метастазы на УЗИ. С его помощью определяют степень развития и злокачественность онкологии. Рост, распад источника рака видно на компьютерной томографии (КТ). А также часто проявляют раковые клетки с помощью позитронно-эмиссионной томографии (ПЭТ), магнитно-резонансной томографии (МРТ), обзорной рентгенографии и радиоизотопной диагностики.
Продолжительность жизни
Многие пациенты после выявления наличие метастаз хотят узнать: сколько осталось жить. Прогнозы и продолжительность жизни зависят от типа рака. Если выявить заболевание еще на первых стадиях, то шансы на выздоровление намного выше.
Если рак был выявлен в брюшной полости, то возможность смерти составляет 5%. Рак надпочечников характеризуется высоким количеством вторичных очагов. Когда пошли метастазы в печени, то врачи дают около 1—1,5 года жизни. Если вовремя выявили метастазы при раке средостении, то прогнозы врачей положительны.
На поздних стадиях избавиться от такого типа онкологии сложнее.
Лечение заболевания
Чтобы устранить метастазирование применяют хирургическое вмешательство. Когда метастазы распространяются по организму, в процессе операции удаляется сначала первичная опухоль, далее — вырезают дочерние очаги.
Врач убирает лимфатические узлы, через которые проходила связь между опухолью и метастазами. Нередко удаляются и здоровые ткани органа, так как в них могут находиться злокачественные клетки.
Удаление нетронутых тканей пораженного органа поможет остановить дальнейшее развитие болезни. После такой операции пациенты живут без рецидивов.

Лечить метастазы можно благодаря радиочастотной абляции. Это метод температурного воздействия на опухоль. Электроды разрушают очаги заболевания, а здоровые ткани срастаются и образовывают рубцы.
Чтобы приостановить рост опухоли и метастазов, применяют медикаментозные препараты. Вылечить и бороться с проблемой помогают химиотерапия, иммунотерапия и гормональная терапия. Практика показывает, что онкология дополнительно лечится народными средствами.
Принимают отвар из календулы, корня барбариса, пиона или лопуха.
Метастазы: что это такое
Метастазы – это отдаленные вторичные очаги патологического процесса, возникающие из-за перемещения опухолевых клеток из первичного очага сквозь ткани организма. Каждый вид опухоли локализуется в определенных органах. К примеру, рак почки метастазируется в легкие, печень и кости, а рак толстой кишки – в печень, легкие и брюшину.
Считается, что метастазы возникают почти в одно время со злокачественным новообразованием. От опухоли отделяются некоторые клетки и потоком крови или лимфы переносятся в новое место, где образуют метастазы и растут. Рак, который имеет не только первичный очаг, но и вторичные, называется метастатическим.
А способность метастазирования (распространения) клеток – это один из главных признаков злокачественного образования.
Подобрать лечение
Опасность метастазов
Равно как и материнская опухоль, они нарушают работу организма. Они способны выделять токсины и другие вещества, которые вмешиваются в регуляционные системы органов, разрушают ткани вокруг них, а их продукты распада отравляют организм. Метастазы опасны тем, что способны поразить сразу несколько органов.
Также они уменьшают вероятность благоприятного исхода заболевания, так как возникают на поздней стадии, которую трудно вылечить даже без вторичных образований. Кроме того, чем больше клеток возникает в метастазе, тем больше они выделяют факторов роста.
Факторы роста – это особые вещества, стимулирующие образование капиллярной сети и обеспечивающие опухоль всеми необходимыми питательными веществами в ущерб здоровым тканям.
Скорость распространения
Время, которое необходимо для проявления первых метастазов, зависит от вида новообразования и степени дифференцировки его тканей. Высокодифференцированная опухоль метастазирует реже, чем низкодифференцированная.
Тогда как у последней клетки практически полностью теряют черты здоровых тканей и болезнь более агрессивна. Метастазы могут появиться почти сразу после основной опухоли. Но могут проявиться через один или два года.
Реже метастазы в «спящем» состоянии можно обнаружить спустя годы после иссечения рака.
Пути перемещения раковых клеток
Оторвавшиеся от материнской опухоли клетки могут распространиться по организму несколькими путями:
- Гематогенный, то есть они попадают в кровь сквозь сосуды, вены и капилляры.
- Лимфогенный. Перемещение происходит через лимфатические сосуды. Однако в лимфе большинство раковых клеток нейтрализуется, ведь лимфатическая система представляет собой барьер для инфекций, то есть защита – это ее прямая функция. Когда клеток становится слишком много, лимфосистема может не справиться и пропустить несколько.
- Интраканаликулярный – это путь передвижения по естественным физиологическим пространствам (синовиальные влагалища и прочие). К данному пути метастазирования относится также периневральный, где перемещение происходит по ходу нервного пучка.
- Имплантационный, то есть клетка проникает в серозную оболочку, являющуюся мембранной поверхностью полостей организма. Так опухолевые образования находятся в прямом контакте с поверхностью органов.
Причины возникновения
Отдельные клетки отрываются от основной опухоли в любом случае, но формирование метастазов происходит не всегда. Существуют примеры, когда метастазы возникали уже после удаления ракового образования. Иммунная система способна защищать организм от интенсивного развития опухолевых клеток продолжительное время. Вероятность появления метастазов зависит от нескольких факторов:
- Возникновение и развитие у первичной опухоли собственной кровеносной сети.
- Поздняя стадия заболевания.
- Ослабление иммунной системы.
- Локализация, способствующая развитию вторичных новообразований.
- Возраст больного – в молодом организме болезнь проходит сложнее, а метастазы образовываются быстрее.
Выбор места метастазирования
Метастазы возникают в тех или иных органах не просто так: все зависит от вида рака и типа ткани, куда может попасть опухолевая клетка. Важную роль в данном вопросе играют экзосомы – это мембранные пузырьки, которые выделяет раковая клетка в межклеточное пространство.
Экзосомные пузырьки – различные регуляторные молекулы, способные настраивать и подготавливать биохимию и физиологию ткани к приходу раковых клеток. Контактируют экзосомы со здоровыми тканями при помощи интегринов.
Их задача состоит в том, чтобы, находясь на наружной клеточной мембране, связывать одни клетки с другими и принимать сигналы из окружающей среды. Контактные белки интегрины и обеспечивают контакт здоровых тканей с раковыми клетками.
Опухоль распространяет свои агенты по всему организму, но укорениться может только в предварительно подготовленных экзосомами органах с благоприятными физиологическими условиями.
Характерные места метастазирования
Типичной локализацией для метастазов являются лимфатические узлы, печень, легкие. Реже их можно обнаружить в сердечной мышце, поджелудочной железе, селезенке или коже. Со средней частотой встречаются в костях, почках и надпочечниках, а также в центральной нервной системе. У каждого вида рака есть типичное месторасположение вторичных новообразований:
- рак молочной железы – печень, кости и легкие;
- желудка – брюшина, печень и легкие;
- легкого – печень, надпочечники и соседнее легкое;
- кожи – печень, легкие, кожный покров и мышечные ткани;
- яичников – брюшина, печень, легкие;
- прямой кишки – надпочечники, легкие и печень;
- тела матки – легкие, брюшина и печень;
- предстательной железы – печень, кости и легкие;
- почки – кости, легкие и печень;
- толстой кишки – брюшина, печень и легкие;
- щитовидной железы – легкие, кости, печень и центральная нервная система.
Подобрать лечение
Диагностика
Узнать о появлении метастазов можно методами диагностики рака. К ним относится:
- биопсия;
- ультразвуковое исследование;
- компьютерная томография;
- обзорная рентгенография;
- магнитно-резонансная томография.
Методики помогают уточнить размер, характер роста, распространенность, распад и прорастание метастазов в соседние ткани и органы. Диагностика проходит в два этапа: первичное исследование и постановка диагноза, а затем обследование после лечения. Наблюдение у онколога даже после успешного проведения процедур является обязательным, потому что вероятность рецидива всегда есть.
Лечение
Лучевую и химиотерапию применяют на ранних стадиях рака. Они необходимы для предупреждения возникновения метастазов. Но данные методы применимы и при наличии вторичных новообразований.
Лечение метастазов считается сложной процедурой, так как метастазирующая опухоль снижает или полностью исключает вероятность успешного лечения. Если обнаружены множественные новообразования, то приоритет отдается лекарственной терапии (гормоно-, химио- и иммунотерапия, таргетная терапия).
Однако при присутствии угрозы жизни пациента возможно оперативное или же радиохирургическое лечение. При единичных метастазах врачи дают благоприятный прогноз и используют сочетание разных факторов: совмещают лекарственную и лучевую терапию, а также хирургическое иссечение.
Параллельно с основными процедурами специалисты проводят поддерживающую терапию, способную уменьшить побочное действие химиотерапии.
Хирургическое лечение
Иссечение применимо, если есть одиночные метастазы. Данный вид воздействия делится на несколько типов, которые применяются в зависимости от размеров злокачественного новообразования и степени пораженности внутренних органов:
- Лазерное – опухолевые клетки разрушаются посредством лазера.
- Криохирургическое – для удаления метастазов используют низкую температуру.
- Фотодинамическое – разрушение клеток происходит в результате применения специального вещества и последующего облучения светом.
- Хирургическое – метастазы удаляются из организма.
Химиотерапия
Данный способ воздействует на раковые клетки при помощи химических веществ. Метод необходим для предупреждения метастазов на ранних стадиях рака. Но при уже возникшем новообразовании его также применяют.
Химиотерапия повышает результативность других способов лечения, облегчает болевой синдром и уменьшает вероятность рецидива.
Также может устранить оставшиеся после хирургического вмешательства фрагменты злокачественного образования.
Лучевая терапия
Облучение применяют и как дополнительное лечение для большей эффективности избавления от рака, и как основное. До операции лучевая терапия способна уменьшить размер метастаза, во время операции помогает избежать облучения кожи, а после – как средство устранения сохранившихся раковых клеток.
Таргетная терапия
Доказана возможность использования специальных таргетных препаратов для лечения как опухоли, так и ее метастазов. Вещества не повреждают здоровые клетки и при этом воздействуют только на опухолевые: делают их чувствительнее к химио- и лучевой терапии, стимулируют отмирание и могут заблокировать сигналы, которые нужны для роста и развития клеток рака.
Иммунотерапия
Иммунологическая терапия повышает защитные силы организма при помощи вакцин и прочих препаратов, то есть заставляет иммунитет бороться с патологией. Специальный состав минимизирует вредное воздействие на человеческий организм и в то же время угнетает метастазы.
Эмболизация артерий
При проведении данной операции перекрывают кровеносные артерии, через которые происходит питание новообразования. Закрывают эмболизирующим материалом, и в опухоль начинает поступать специальный препарат вместо питательных веществ.
Радиохирургия
Процедура заключается в однократном облучении опухоли высокой дозой ионизирующего излучения. Осуществляется так, чтобы лучи из нескольких точек сходились в области новообразования. Именно так разрушаются раковые клетки, а здоровые ткани облучаются значительно меньше.
Вывод
Онкологические заболевания и их метастазы – это не полностью изученные заболевания, поэтому ученые постоянно проводят исследования, узнают новые аспекты возникновения или развития опухолей, а также пытаются создать лекарство.
Все существующие на данный момент способы имеют свои недостатки и побочные эффекты. Но случаи полного излечения есть. Поэтому, несмотря на то, что злокачественные новообразования требуют длительного и сложного лечения, правильно подобранный комплекс процедур может привести к положительному результату.
Профилактики данное заболевание не предполагает, но придерживаться здорового образа жизни и следить за здоровьем никогда не будет лишним. Получить квалифицированную помощь можно на информационном портале «Врачи онлайн».
Мы предоставляем услугу бесплатной консультации с онкологом, а также медицинского сопровождения пациентов в лучшие учреждения России с онкологическим профилем.

Подобрать лечение
Метастазы: вся правда, или есть ли шанс выжить?
Одной из стадий развития любого онкологического заболевания выступает процесс распространения раковых опухолей в другие части организма. Большая часть разновидностей рака способствует появлению аномальных очагов в лимфатических узлах, позвоночнике, внутренних органах.
Современная медицина не может объяснить, почему появляются метастазы при раке. Иногда они появляются сразу после появления первичного злокачественного новообразования, в других случаях их обнаруживают спустя два года после постановки диагноза.
Бывает и так, что метастазы формируются через много лет после проведения хирургического вмешательства и удаления первичной опухоли.
Метастазы – это вторичные раковые опухоли, которые формируются после образования первичного злокачественного новообразования. Клетки, что отрываются от опухоли, а происходит это всегда, сначала попадают в кровеносный или лимфатический сосуд, переносятся с током крови или лимфы и оседают в новом месте.
Эти аномальные клетки выделяют вещества, которые способствуют их росту и появлению капиллярных сетей вокруг них. Это приводит к возникновению возможности получать все необходимые питательные вещества для развития за счет здоровых тканей. Количество времени, за которое происходит данный процесс, зависит от вида раковой опухоли и состояния иммунитета человека.
Частота развития не зависит от разновидности лечения, биопсии, удаления части новообразования.
Обратите внимание!Метастазы при ракеявляются очень опасными, так как чаще всего они образуются в то время, когда резервы организма исчерпаны, поэтому нередко у больного наблюдается смертельный исход.
Метастазы – это раковые клетки, которые отрываются от первичной опухоли. Они могут иметь различный вид в зависимости от места их расположения:
- Легкие. В этом органе метастазы имеют правильную круглую форму, плотную структуру и нежный розовый оттенок. Особенностью этих раковых опухолей является четкий легочный рисунок, сохраняющий свою природную форму. Попадая в организм через лимфатические железы в легкие, они за непродолжительное время захватывают всю поверхность органа. Размер раковой опухоли может составлять от одного до шести сантиметров.
- Печень. Здесь метастазы могут иметь простое или сложное строение. В первом случае очаги имеют ровные очертания. Иногда метастазы имеют темный ободок. При сложном строении образование будет внутри плотным с неоднородной текстурой.
- Лимфатические узлы. В данном случае опухоли выглядят как множественные бугристые узловые уплотнения больших размеров, которые можно увидеть невооруженным глазом, так как они выступают над поверхностью кожного покрова.
Обратите внимание! Легкие, печеньи лимфатические узлы являются самыми распространенными органами, где распространяется метастазирование при различных онкологических заболеваниях.
- Позвоночник. Опухоль имеет среднюю плотность и нежный оттенок, со временем они выступают на поверхность межпозвоночных отделов, располагаясь в центральной части органа. Распространение раковых опухолей происходит быстро, при этом разрушается костная ткань.
- Кости. Те участки кости, где располагаются наши побочные продукты, имеют темный цвет, нечеткие границы, они выступают над поверхностью на два миллиметра. Консистенция их рыхлая и мягкая, величина колеблется от пятидесяти миллиметров до пяти сантиметров.
- Голова. Здесь метастазы рака имеют светлый цвет, бугристую поверхность, неоднородную структуру, они могут быть множественными или единичными. Величина метастаз варьируется от пятидесяти миллиметров до восьми сантиметров.
- Кожный покров. В этом случае имеют вид темных синюшных ли черных пятен круглой формы с плотной структурой, которые могут стремительно распространяться и увеличивать свои размеры.
Обратите внимание! На коже могут выделять кровоточащую жидкость, которая имеет неприятный запах.
- Брюшина. На органах брюшной полости раковые опухоли размещаются на их внутренней стороне и остаются неподвижными. Здесь они имеют большие размеры и вытянутую форму.
- Кишечник. Здесь опухоли крупные, они имеют черный цвет и эластичную консистенцию. Со временем они распространяются на поверхность, прорывая кишечник.
- Молочная железа. Метастазы могут находиться как в самой железе, так и в кожном ее покрове. Они имеют вид узловых уплотнений, которые можно увидеть невооруженным глазом. Иногда могут появляться складки или язвы на кожном покрове груди. Опухоли в молочной железетребуют незамедлительной операции.
В онкологии принято выделять несколько путей их распространения:
- Гематогенный – раковые клетки распространяютсяпо кровеносным сосудам, поражая внутренние органы и ткани. Гематогенные метастазы развиваются при саркомах, гипернефромах и прочих заболеваниях.
- Лимфогенный — раковые клетки распространяются по лимфатическим сосудам. Это происходит в случае наличия огромного количества патологических клеток. Лимфогенные метастазы образуются при онкологических заболеваниях шеи, желудка, толстой кишки, гортани, матки и яичников.
- Имплантационный – аномальные клетки распространяются по серозной оболочке. Прорастая в стенки органов, они попадают в брюшину или грудную клетку.
Обратите внимание! Рост метастаз происходит намного быстрее, чем увеличение первичной опухоли.
Причины
Причинами распространения выступают осложнения онкологического заболевания на поздних стадиях его развития. Появляются они тогда, когда в опухоли формируется большое количество патологических клеток.

Развитие могут остановить хороший иммунитет больного человека и высокая сопротивляемость тканей. Месторасположение зависит от локализации раковой опухоли, а частота распространения – от структуры и роста новообразования, возраста пациента.
Обратите внимание! Метастазы являются более опасными, чем первичное злокачественное новообразование.
Отвечая на вопрос о том, на какой стадии появляются метастазы, нужно отметить, что чаще всего они появляются на третьей и четвертой стадии развития рака. Иногда они могут появляться на ранних стадиях, но в этом случае будут иметь микроскопические размеры и находиться в лимфатических узлах.
Обратите внимание! Любой осмотр у врача-онколога начинается с изучения состояния лимфатических узлов, так как именно здесь чаще всего начинается процесс метастазирования.
Большое количество аномальных клеток, которые образуются при метастазировании, устраняются иммунной системой человека. Некоторые из них задерживаются в капиллярах и обрастают тканью, поэтому иммунитет не справляется с ними должным образом.
Первичная раковая опухоль способствует появлению метастаз на поздних стадиях своего развития. Этот процесс является поэтапным и достаточно активным.
Сначала раковая клетка отрывается от опухоли, затем перемещается к стенке сосудов, проникает в их просвет и с током крови или лимфы перемещается дальше к соседним органам, прикрепляясь там также в стенке сосуда.
Дальше она проникает в ткань и начинает активно расти, образуя узел. В разных анатомических областях по-разному происходит процесс метастазирования.
Симптомы и признаки появления
Симптоматика зависит от того, какой орган поражается метастазами. Онкология брюшины способствует появлению асцита, костей и позвоночника – болевой синдром во всем теле, частые переломы. Если метастазы появляются в головном мозге, это приводит к головным болям, нарушению сознания, развитию судорог.
Вторичные опухоли в легких проявляются такими признаками и симптомами, как кашель с выделениями крови, затрудненность дыхания. Если новообразования распространились в печень, у пациента происходит увеличение органа, развивается желтуха.
В лимфатических узлах, расположенных на шее, метастазы проявляются в виде хриплости, изменения голоса.
Лечение вторичных опухолей
Если произошло метастазирование, можно ли его вылечить, устанавливает лечащий врач. Эффективность лечения зависит от объема пораженных участков, точности постановки диагноза, так как в этом случае обнаружить все вторичные опухоли не всегда оказывается возможным.
Оперативное вмешательство в этом случае не даст положительного результата. Если метастазы поразили всю площадь органа, возможно его полное удаление. Например, может проводиться операция по резекции толстой кишки или мочевого пузыря.
Делают это в том случае, если пораженный орган не выполняет свои функции, и нет возможности удалить метастазы иным способом. В частых случаях используется лучевая терапия.
Обратите внимание! Лечение патологии у тяжелобольных в некоторых центрах происходит с использованием современных методик, например, метод кибер-ножа (радиохирургия), который способствует уничтожению раковых опухолей без повреждения здоровых тканей.
Лучшая выживаемость онкобольных наблюдается при использовании комбинированных методов терапии. В этом случае применяется лучевая и химиотерапия, что способствует предотвращению дальнейшего разрастания и распространения метастаз. Нередко врачи используют системную терапию для облегчения симптоматики заболевания и продления жизни пациента.
Прогноз
Традиционно, прогноз выживаемости зависит от месторасположения вторичных опухолей, их объема и размера, а также типа первичной опухоли, возраста и состояния пациента.
(1 5,00 из 5)
Загрузка…
Метастазы: что это такое? На какой стадии рака появляются метастазы, симптомы, признаки метастаз при раке
Метастазы рака – это вторичные очаги, которые появляются на определенном удалении от первичной опухоли. Для каждого вида рака существуют «излюбленные» органы для метастазирования. В большинстве случаев поражается печень, легкие, брюшина, кости, надпочечники.
Современные концепции развития метастазов основаны на том, что метастазы развиваются практически сразу, как только появляется сама злокачественная опухоль.
Отдельные оторвавшиеся от нее клетки сначала проникают в просвет кровеносного (гематогенный путь диссеминирования) или лимфатического (лимфогенный путь диссеминирования) сосуда, а затем переносятся с током крови или лимфы, останавливаются на новом месте, выходят из сосуда и растут, образуя метастазы. Вначале этот процесс идет медленно и незаметно, поскольку раковые клетки из материнского очага подавляют активность вторичных очагов.
С момента, когда возникают вторичные очаги, рак называют метастатическим. Процесс распространения раковых клеток называют метастазированием.

Способность к метастазированию — один из ключевых признаков злокачественных опухолей, который отличает их от доброкачественных новообразований.
Из-за чего возникают метастазы?
Будут ли отдельные клетки отрываться от материнской опухоли и формировать метастазы? Опухолевые клетки отрываются и будут отрываться всегда.
Местные факторы иммунной системы очень долгое время защищают организм от быстрого роста опухолевых клеток.
Вопрос лишь в вероятности возникновения метастазов, а она зависит от типа опухоли, скорости ее роста, степени дифференцировки клеток (насколько они отличаются от нормальных), стадии, на которой был диагностирован рак, и других факторов.
Распространившись, опухолевые клетки долго, на протяжении ряда лет, могут оставаться неактивными или расти очень медленно. Точные механизмы запуска быстрого роста метастазов в организме не изучены.
Важен другой факт: по мере увеличения числа клеток в метастазе, они начинают выделять особые вещества — факторы роста. Эти факторы роста стимулируют образование капиллярной сети, что обеспечивает клетки раковой опухоли всеми питательными веществами в ущерб остальным тканям организма.
Можно выделить несколько стадий распространения рака по организму:
- Проникновение опухолевых клеток в ближайший кровеносный или лимфатический сосуд;
- Распространение с током крови или лимфы по различным частям тела;
- Затем раковая клетка останавливается в одном из мелких сосудов и проникает через его стенку в ткани;
- Какое-то время она неактивна или размножается, но очень медленно;
- Бурный рост, разрастание капиллярной сети.
Многие опухолевые клетки погибают на одной из этих стадий. Те, которым удалось выжить, дают начало метастазам.
От чего зависит скорость распространения метастазов по организму?
Время, необходимое для клинического проявления первых метастазов, во многом определяется видом опухоли и степенью дифференцировки её тканей.
- Высокодифференцированные опухоли, как правило, метастазируют гораздо реже и позднее, чем низкодифференцированные опухоли.
- В низкодифференцированных опухолях клетки практически утрачивают черты нормальной ткани. Такой рак ведет себя агрессивнее.
Иногда метастазы появляются очень быстро, вслед за возникновением первичного опухолевого узла. У многих пациентов метастазы выявляются через 1–2 года. Иногда латентные или «дремлющие метастазы» обнаруживаются через много лет после хирургического удаления опухоли.
Вероятность метастазирования можно снизить при помощи разных методов лечения:
- Химиотерапия. Например, адъювантная химиотерапия проводится после операции и помогает уничтожить раковые клетки, которые, возможно, остались в организме.
- Лучевая терапия.
Могут ли метастазы возникнуть из-за того, что врач «повредил» опухоль во время операции или биопсии?
Существует такое заблуждение, что метастазы возникают из-за проведенных процедуры. Однако, удаление части опухоли или ее биопсия (взятие ткани опухоли на исследование) не повышают частоту развития метастазов.
Как метастазируют различные виды рака?
Наиболее часто метастазы обнаруживаются в лимфатических узлах, печени, легких, существенно реже — в мышце сердца, скелетных мышцах, коже, селезенке, поджелудочной железе. Промежуточное место по частоте обнаружения метастазов при различных видах рака занимают центральная нервная система, костная система, почки, надпочечники.
У некоторых опухолей есть излюбленные места для метастазирования. Такие метастазы имеют свои «имена» — специальные термины:
- Метастаз Крукенберга — в яичники;
- Метастаз сестры Марии Джозеф — в пупок;
- Метастаз Вирхова — в лимфоузлы над левой ключицей.
Часто встречаемые виды рака и типичные места обнаружения метастазов
- Рак молочной железы: легкие, печень, кости.
- Рак яичников: брюшина, печень, легкие.
- Рак желудка: печень, брюшина, легкие.
- Рак кишечника (толстой кишки): печень, брюшина, легкие.
- Рак прямой кишки: печень, легкие, надпочечники.
- Рак предстательной железы: кости, легкие, печень.
- Рак матки: печень, легкие, брюшина.
- Рак почек: легкие, печень, кости.
- Рак легкого: надпочечники, печень, второе легкое.
- Меланома: легкие, кожа/мышечные ткани, печень.
- Рак поджелудочной железы: печень, легкие, брюшина.
- Рак щитовидной железы: легкие, печень, кости.
Метастазы всегда называют по первичной опухоли. Например, если рак легкого распространился в надпочечники, то опухоль в надпочечниках называют «метастатический рак легкого».
Однако, на молекулярно — генетическом уровне метастазы могут отличаться от материнской опухоли. Это явление называется гетерогенностью.

Получить стоимость и план лечения
Чем опасны метастазы?
Метастазирование, как правило, происходит в случаях, когда исчерпаны резервы организма в борьбе с опухолью. Метастазы существенно нарушают функционирование всех жизненно важных органов и систем. В подавляющем большинстве смерть онкологических пациентов обусловлена именно метастазами.
Кроме того, метастазы существенно ухудшают общее состояние, нередко сопровождаясь нестерпимыми болями, требующими постоянного обезболивания.
Как проявляются метастазы?
Клиническая картина метастатического рака определяется местом расположения метастазов:
- Поражение брюшины (канцероматоз брюшины) приводит к возникновению асцита, что требует проведения лапароцентеза;
- Поражение плевры (канцероматоз плевры) вызывает развитие экссудативного плеврита, который требует выполнения торакоцентеза;
- Поражение костей и позвоночника ведет к болям в разных частях тела, переломам;
- Поражение легких проявляется в виде одышки;
- Метастазы головного мозга приводят к головным болям, головокружениям, судорогам, нарушению сознания;
- Поражение печени приводит к механической желтухе.
Кроме того, высвобождающиеся в ходе постоянной гибели опухолевых клеток токсины вызывают раковую интоксикацию организма.
Как диагностируются метастазы?
Обзорная рентгенография, ультразвуковое исследование, радиоизотопное исследование, компьютерная томография, магнитно — резонансная томография, позитронно — эмиссионная томография, — все эти методики имеют существенное значение в распознавании метастазов.
Эти методики дают возможность уточнить величину, распространенность и характер роста метастазов, их распад, нагноение, прорастание в соседние органы и ткани.
Кроме того, эти же методики диагностики позволяют контролировать эффективность лечения по степени регресса метастазов.
Условно можно выделить два этапа диагностики метастазов:
- Первичное обследование, когда только диагностирована основная опухоль;
- Наблюдение у онколога после пройденного лечения. Если изначально метастазы обнаружены не были, а лечение прошло успешно, в будущей все равно придется периодически проходить обследования — есть риск рецидива.
Можно ли вылечить метастазы, и что это дает?
Основной целью активной химиотерапии и лучевой терапии является профилактика возникновения метастазов рака на максимально ранней стадии. Лечение основано на общих принципах лечения опухолей, включая химиотерапию, лучевую терапию, оперативное лечение (при одиночных метастазах).
Лечение метастазов рака имеет определенные сложности. Поэтому в ряде случаев мы проводим лечение метастазов с целью облегчения симптомов и продления жизни.
Мы используем системную терапию (химиотерапия, гормонотерапия, таргетная терапия), и местные виды лечения (хирургия, радиотерапия). Лечение тормозит рост опухоли, уменьшает ее размеры, замедляет процесс метастазирования.
Это помогает подарить пациенту лишние месяцы, а иногда и годы.
Параллельно проводят поддерживающую терапию, которая помогает справиться с симптомами и побочными эффектами химиотерапии. При болях назначают сильные обезболивающие средства.
За рубежом при метастатических очагах в печени часто используют чрескожную чреспеченочную радиочастотную аблацию. Данная методика доступна нашим пациентам в Европейской клинике.
Как говорилось выше, лечение в таких случаях является средством облегчения состояния пациента. Вероятность достижения ремиссии очень мала.
Мы в Европейской клинике также используем такую методику как эмболизация артерий, питающих крупные метастазы в различных органах.
Где лучше лечить рак с метастазами — в Москве, в Израиле или в Германии?
Для того чтобы получить наиболее современное и эффективное лечение при раке с метастазами, российскому пациенту не обязательно ехать за границу. В Европейской клинике применяются те же препараты и технологии, что и в ведущих онкологических центрах мира.

Даже если вероятность ремиссии мала, лечение нужно продолжать. Врачи-онкологи Европейской клиники знают, как облегчить страдания пациента, продлить жизнь.
Для этого мы используем наиболее современные методики и препараты.
Если вы проходите курс лечения в другой клинике, у нас всегда можно получить второе врачебное мнение: иногда подходы разных врачей к лечению метастатического рака сильно различаются.
Выберите врача и запишитесь на приём:
Записьна консультациюкруглосуточно+7 (495) 151-14-538 800 100 14 98



