Болезнь кастлемана википедия
- Вирус герпеса 7 типа
- Вирус герпеса 8 типа
- Вирус иммунодефицита человека
- Гипергаммаглобулинемия
- Интерлейкин – 6
- Компьютерная томография
- Лимфоузел
- Магнитно-резонансная томография
- Миопатия
- Мультицентричность
- Образование
- Острофазовые маркеры
- Полисерозит
- Уницентричность
- Эндокринопатия
Подтипы болезни Кастельмана отражают число лимфатических узлов регионов с увеличением лимфатических узлов и известными причинами заболевания. В unicentric болезни, один или несколько увеличенные лимфатические узлы присутствуют в одной области лимфатических узлов. В многоцентровой болезни, увеличенные лимфатические узлы присутствуют в нескольких областях лимфатических узлов.
В unicentric болезни Кастельмана (UCD) один или несколько увеличенные лимфатические узлы присутствуют в одной области лимфатических узлов.
Это является наиболее распространенным подтипом заболевания Кастельмана и по сравнению с ВГЧ-8-ассоциированной MCD и IMCD, симптомы , как правило , мягче, дисфункции органов редко, и хирургическое удаление увеличенных лимфатических узлов является методом выбора.
В идиопатической болезни мультицентрического Кастельмана (IMCD), увеличенные лимфатические узлы присутствуют в различных регионах лимфатических узлов и не известно , причина заболевания не выявлена.
Это менее распространено , чем unicentric заболевание Кастельмана (UCD) и по сравнению с UCD, симптомы , как правило , более тяжелым, лабораторные отклонения должны присутствовать для диагностики и лечения используются для лечения , как хирургическое вмешательство неэффективно.
В человеческом герпесвирус 8 ассоциированного мультицентрическим заболевания Castelman (ВГЧ-8-ассоциированный MCD), увеличенные лимфатические узлы присутствуют в различных регионах лимфатических узлов и инфекции с человеческим вирусом герпеса 8 присутствует. Она встречается реже , чем unicentric заболевания Кастельмана и диагностируется чаще у пациентов , инфицированных вирусом иммунодефицита человека (ВИЧ) .
— уницентрический вариант;
— мультицентрический вариант.
— гиалиново-васкулярный тип;
— плазмоклеточный тип;
— смешанный тип.
Список литературы
АЛАТ- аланинаминотрансфераза.
АСАТ –аспартатаминотрансфераза
БК – болезнь Кастлемана
ВГЧ 7 типа – вирус герпеса человека 7 типа
ВГЧ 8 типа – вирус герпеса человека 8 типа
Д.м.н. – доктор медицинских наук
ИЛ6 – интерлейкин 6
КТ – компьютерная томография
ЛДГ – лактат дегидрогеназа
МРТ – магнитно-резонансная томография
ТГСК — Трансплантация гематопоэтических стволовых клеток
ТТГ – тиреотропный гормон
ЦФ –циклофосфан
-
Детская гематология. Клинические рекомендации / Под ред. А.Г. Румянцева, А.А. Масчана, Е.В. Жуковской. Авторы: Айзенберг В.Л., Балашов Д.Н., Биккулова Д.Ш., Вдовин В.В., Володин Н.Н., Демихов В.Г., Демихова Е.В., Евдокимова М.А., Жарков П.А., Журина, О.Н., Зозуля Н.И., Инякова Н.В.
, Карачунский А.И., Клипинина Н.В., Копылов К.Г., Кузминова Ж.А., Кумирова Э.В., Кумскова М.А., Лазарев В.В., Луговская С.А., Лукина Е.А., Лунякова Е.А., Масчан М.А., Морщакова Е.Ф., Мякова Н.В., Новичкова Г.А., Орлов А.Б., Панкратьева Л.Л., Полевиченко Е.В., Птушкин В.В., Румянцева Ю.В.
, Самочатова Е.В., Свирин П.В., Сигарева И.А., Скворцова Ю.В., Скобин В.Б., Сметанина Н.С., Спиридонова Е.А., Стефаненко Е.А., Тарасова И.С., Хаин А.Е., Хамин И.Г., Харькин А.В., Хачатрян Л.А., Цветаева Н.В., Цыпин Л.Е., Чернов В.М., Щербина А.Ю., Щукин В.В. — М.: ГЭОТАР-Медиа, 2015.
— 656 с.
-
Casper C. The aetiology and management of Castleman disease at 50 years: translating pathophysiology to patient care. Br J Haematol. 2005 Apr;129(1):3-17.
-
Dispenzieri, A. Castleman disease. In: Rare Hematologic Malignancies (ed. by S.M. Ansell), pp. 293–330. 2008 Springer Science Business Media, LLC, New York, NY.
-
Dispenzieri A, Armitage JO, Loe MJ et al. The clinical spectrum of Castleman»s disease. Am J Hematol. 2012 Nov;87(11):997-1002.
-
El-Osta HE, Kurzrock R. Castleman»s disease: from basic mechanisms to molecular therapeutics. Oncologist. 2011;16(4):497-511.
-
van Rhee F, Stone K, Szmania S et al. Castleman disease in the 21st century: an update on diagnosis, assessment, and therapy. Clin Adv Hematol Oncol. 2010 Jul;8(7):486-98.
-
Talat N, Schulte KM. Castleman»s disease: systematic analysis of 416 patients from the literature. Oncologist. 2011;16(9):1316-24.
-
Talat N, Belgaumkar AP, Schulte KM. Surgery in Castleman»s disease: a systematic review of 404 published cases. Ann Surg. 2012 Apr;255(4):677-84.
-
Dham A, Peterson BA. Castleman disease. Curr Opin Hematol. 2007 Jul;14(4):354-9.
-
Jongsma TE, Verburg RJ, Geelhoed-Duijvestijn PH. Castleman»s disease: A rare lymphoproliferative disorder. Castleman»s disease: A rare lymphoproliferative disorder.
-
Dispenzieri A, Gertz MA. Treatment of Castleman»s disease. Curr Treat Options Oncol. 2005 May;6(3):255-66.
патология
Болезнь Каслмна определяются целым рядом характерных особенностей , замеченных на микроскопический анализе ( гистология ) ткань из увеличенных лимфатических узлов. Гистологические признаки , совместимые с болезнью Кастельмана подразделяются на общие закономерности:
- Гиалиновый сосудов — регрессировал зародышевые центры , фолликулярную дендритные клетки известности или дисплазию, гиперваскуляризацию в межфолликулярных регионах, склеротических сосудах, видных зонах мантии с «луковой кожей» внешним видом.
- Plasmacytic — увеличение числа фолликулов с большими гиперпластическими зародышевыми центрами и листообразного плазмацитозом (увеличение числа плазматических клеток ).
- Гиперва — аналогична гиалиновые сосудистые функции, но видели в IMCD , а не UCD. Включает регрессировала зародышевые центры , фолликулярную дендритные клетки известности, гиперваскуляризацию в межфолликулярных регионах, а также видные зоны мантии с «луковой кожей» внешним видом.
- Смешанное — наличие комбинации гиалиновых сосудистый, plasmacytic, и / или гиперваскуляризированных функции
UCD, наиболее часто демонстрирует гиалиновые сосудистые функции, но plasmacytic признаки или сочетание признаков может также рассматриваться.
IMCD чаще демонстрирует plasmacytic особенности, но гиперв функция или сочетание функций также видела.
Все случаи HHV-8-ассоциированной MCD, как полагает, чтобы продемонстрировать plasmablastic особенности — аналогичную plasmacytic функции, но с plasmablasts присутствующим.

Окрашивание с задержкой ассоциированного ядерного антигена (LANA-1) , маркер для ВГЧ-8 — инфекции, является положительным только в ВГЧ-8-ассоциированной MCD.
Термины и определения
- POEMS (polyneuropathy, organomegaly, endocrinopathy, monoclonal gammopathy, and skin changes) – развитие синдрома при мультицентрическом варианте течения БК, характеризующегося полинейропатией, органомегалией, эндокринопатией, повышением моноклональной гамма фракции, кожными изменениями.
- Блок COP – химиотерапия в состав которой входит циклофосфамид, винкристин, преднизолон.
- Блок R-CHOP – химотерапия в состав которой входит моноклональное антитело к CD20 (ритуксимаб), циклофосфамид, доксорубицин, винкристин, преднизолон.
Болезнь Кастлемана (БК, ангиофолликулярная узловая гиперплазия, ангиофолликулярная лимфоидная гиперплазия) — поликлональное лимфопролиферативное заболевание, которое может поражать отдельные лимфоузлы или располагаться мультицентрично и сопровождаться системными проявлениями воспаления [1,2].
история
Болезнь Unicentric Каслмны была впервые описана в серии случая к д — р Benjamin Castleman в 1956 г. К 1984, ряду клинических случаев были опубликованы описаниями многоцентрового варианта заболевания и с некоторыми данными , описывающих ассоциацию с саркомой Капоши . В 1995 году ассоциация между HHV-8 и болезнь Кастельмана была описана у пациентов с ВИЧ .
Всемирный день Castleman Болезни был основан в 2018 году и проводится каждый год 23 июля Этого день был выбран для начальной серии случаев Бенджамина Кастельмана описывающего болезни Кастельмана, который был опубликован в июле 1956 года, а также диагностические диагностические критерии для идиопатической болезни многоцентрового Кастельмана, который были опубликованы в журнале Blood 23 марта 2017 года.
организации
Castleman Болезнь Collaborative Сеть была основана в 2012 году и является самой крупной организацией, которая будет сосредоточена на болезнь Кастельмана. Это глобальная сеть сотрудничества участвует в научных исследованиях, повышение осведомленности и поддержки пациентов.
Болезнь Кастлемана у детей сопровождается следующими явлениями:
- Лимфопролиферация;
- Слабость, вялость, снижение массы тела;
- Повышение уровня острофазовых белков крови, маркеров вспалительной активности (С-реактивный белок, СОЭ, ИЛ6);
- Полисерозиты с развитием асцита, перикардита;
- Органомегалия;
- Аутоиммунные проявления (васкулит);
- Эндокринопатии;
- Злокачественные новообразования.
Заболевание требует лечения, а также семейного консультирования.
Причина заболевания в настоящее время не ясна, роль наследственного фактора не установлена
Рекомендации
Целевая аудитория данных клинических рекомендаций:
-
Онкологи 31.08.57;
Болезнь Кастлемана у детей. Клинические рекомендации
- Вирус герпеса 7 типа
- Вирус герпеса 8 типа
- Вирус иммунодефицита человека
- Гипергаммаглобулинемия
- Интерлейкин – 6
- Компьютерная томография
- Лимфоузел
- Магнитно-резонансная томография
- Миопатия
- Мультицентричность
- Образование
- Острофазовые маркеры
- Полисерозит
- Уницентричность
- Эндокринопатия
АЛАТ- аланинаминотрансфераза.
АСАТ –аспартатаминотрансфераза
БК – болезнь Кастлемана
ВГЧ 7 типа – вирус герпеса человека 7 типа
ВГЧ 8 типа – вирус герпеса человека 8 типа
Д.м.н. – доктор медицинских наук
ИЛ6 – интерлейкин 6
КТ – компьютерная томография
ЛДГ – лактат дегидрогеназа
МРТ – магнитно-резонансная томография

ТГСК — Трансплантация гематопоэтических стволовых клеток
ТТГ – тиреотропный гормон
ЦФ –циклофосфан
1.1 Определение
Болезнь Кастлемана (БК, ангиофолликулярная узловая гиперплазия, ангиофолликулярная лимфоидная гиперплазия) — поликлональное лимфопролиферативное заболевание, которое может поражать отдельные лимфоузлы или располагаться мультицентрично и сопровождаться системными проявлениями воспаления [1,2].
1.2 Этиология и патогенез
Патогенез заболевания на сегодняшний день остается нерасшифрованным. Важную роль в развитии болезни играет избыточная продукция интерлейкина 6 (ИЛ6), который в опытах индуцировал у мышей развитие подобной лимфаденопатии.
У пациентов с ВИЧ-инфекцией было показано, что вирус герпеса 8 типа (HHV8) экспрессирует вирусный белок, гомологичный ИЛ6, и вызывающий аналогичные человеческому ИЛ6 эффекты. Он индуцирует ангиогенез и гемопоэз с последующеими системными проявлениями и приводит к развитию мультицентрической болезни Кастлемана.
Роль HHV8 у людей без иммунодефицита остается спорной. Повышенная продукция ИЛ6 приводит и к легочной артериальной гипертензии, которая встречается у пациентов с БК [1-3].
1.3 Эпидемиология
Распространенность заболевания не установлена; предположительно, частота заболевания 1 на 100 000 жителей. Локализованная форма встречается наиболее часто, в литературе содержится описание около 400 больных.
Тип наследования не определен, убедительных данных за наследственный характер заболевания нет.
БК встречается в любой возрастной группе, 70% больных моложе 35 лет, средний возраст 40 лет, одинаково часто отмечается у лиц обоего пола [1-3].
1.4 Кодирование по МКБ-10
Другие иммунодефициты (D84):
D84.8 – Первичный иммунодефицит уточненный.
Другие новообразования неопределенного или неизвестного характера лимфоидной, кроветворной и родственных им тканей (D47):
D47.7 – Другие уточненные новообразования неопределенного или неизвестного характера лимфоидной, кроветворной и родственной им тканей.
1.5 Классификация
По клинической картине:
— уницентрический вариант;
— мультицентрический вариант.
По гистологической картине:
— гиалиново-васкулярный тип;
— плазмоклеточный тип;
— смешанный тип.
2.1 Жалобы и анамнез
Основным проявлением БК является гипертрофия лимфатических узлов различных локализация, на которую могут жаловаться пациенты или их родители. Часто увеличение лимфоузлов присутствует как единственная жалоба.
Тем не менее, нередко имеются системные признаки заболевания, в виде астения, снижение массы веса тела, периодической лихорадки. Больных периодически беспокоят боли в грудной клетке или в органах брюшной полости. Могут быть нарушения чувствительности за счет нейропатии.
Нередко заболевания протекает с обострениями и эпизодами относительного благополучия.
2.2 Физикальное обследование
При осмотре некоторые больные имеют признаки гипотрофии за счет резкой потери веса.
Визуально и пальпаторно отмечается увеличение лимфоузлов различных групп, которые бывают любой консистенции — от очень мягкой до каменной твердости. Всегда обнаруживается массивная спленомегалия.
В большинстве случаев также обнаруживаются гепатомегалия (70%), кашель и крепитирующие хрипы в легких (65%) и отеки за счет гипоальбуминемии (55%) [4,6-10].
2.3 Лабораторная диагностика
- Рекомендуется клинический анализ крови и СОЭ [6-10].
Уровень убедительности рекомендаций А (уровень достоверности доказательств – 2)
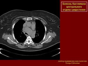
Кт и мрт диагностика болезни кастлемана
- У ВИЧ-инфицированных повышен риск мультицентрической формы заболевания.
- Болезнь Кастлемана наблюдается у лиц молодого возраста
- Мужчины и женщины болеют одинаково часто
- Болезнь Кастлемана это доброкачественная гиперплазия лимфатических узлов.
- Хронический воспалительный процесс, вызываемый неустановленным антигеном (мультицентрическая форма заболевания ассоциирована с ВИЧ и герпесвирусом типа 8)
- У 90% больных с болезнью Кастлемана выявляют гиалиновососудистый тип ограниченной формы заболевания, характеризующийся ангиофолликулярной пролиферацией
- У 10% больных отмечается плазмоцитарный тип, при котором васкуляризация пораженных лимфатических узлов менее выражена и образуются межфолликулярные тяжи из плазматических клеток.
- Опухолевидные массы в средостении и/или прикорневой области.
Гиалиново-сосудистый тип:
- характерно выраженное гомогенное контрастное усиление пораженных лимфатических узлов (гомогенность нарушается при некрозе, фиброзе и дистрофии);
- может присутствовать питающий сосуд
- Изменения отмечаются преимущественно в среднем и заднем средостении и в прикорневой области (переднее средостение поражается редко)
- В 5—10% случаев выявляют очаги обызвествления.
Плазмоцитарный тип:
- Контрастное усиление выражено в значительно меньшей степени.
- помимо внутригрудных лимфатических узлов поражаются также лимфатические узлы брюшной полости и забрюшинного пространства, реже — шеи
Что покажут снимки МРТ грудной клетки при гиперплазии лимфоузлов
- На Т1-взвешенных изображениях сигнал от пораженных лимфатических узлов изоинтенсивен мышечной ткани
- На Т2-взвешенных изображениях интенсивность сигнала понижена.
Отличительные признаки гиперплазии лимфатических узлов
- Лимфомы средостения с выраженным феноменом контрастного усиления.
Болезнь Кастлемана у женщины 30 лет.
На обзорной рентгенограмме грудной клетки видна опухоль с четко очерченными полициклическими контурами, локализующаяся в воротах правого легкого, которая не беспокоила больную и была выявлена случайно. Рентгенологически опухоль невозможно отличить от лимфомы и опухолей другой этиологии.
При гиалиново-сосудистом типе болезни Кастлемана выраженное контрастное усиление пораженных лимфатических узлов на КТ может помочь установлению типа лимфомы.
Клинические проявления
Типичные симптомы:
Гиалиново-сосудистый тип:
- обычно бессимптомное течение,
- реже — симптомы, обусловленные масс-эффектом
Плазмоцитарный тип:
- лихорадка, повышенная утомляемость, анемия.
Тактика лечения гиперплазии лимфатических узлов
Гиалиново-сосудистый тип:
- полное иссечение или лучевая терапия
Плазмоцитарный тип:
- химиотерапия,
- противовирусная терапия,
- лечение антителами к СО20-антигену (ритуксимаб).
Течение и прогноз
Гиалиново-сосудистый тип:
- если удается полностью иссечь опухоль, прогноз благоприятный
Плазмоцитарный тип:
- прогноз менее благоприятный.
Что хотел бы знать лечащий врач
- Диагноз и дифференциальный диагноз.
Какие патологии имеют симптомы, схожие с болезнью Кастлемана
Лимфома или лейкоз
— Контрастное усиление менее выражено
— Проявляются клинически
— Характерные изменения в крови
Нейрогенные опухоли
— Иная локализация (в заднем средостении)
— Контрастное усиление незначительное
Опухоли тимуса
— Иная локализация: верхний отдел переднего средостения
— Контрастное усиление незначительное
Параганглиомы
— Локализуются преимущественно в области шеи
Саркоидоз
— Контрастное усиление незначительное
— В процесс вовлекаются легкие
Саркома Капоши
— Поражаются бронховаскулярные структуры
— Почти всегда поражается также кожа
Полезные советы и предостережения
- Дифференциальная диагностика иногда затруднительна, особенно при плазмоцитарном типе заболевания
- Может быть ошибочно принята за злокачественную лимфому.
Лечение болезни Кастлемана в Израиле
Современное лечение болезни Кастлемана в Израиле. Комплексное лечение болезни Кастлемана БК за рубежом в медицинском центре Tel Aviv CLINIC.
Болезнь Кастлемана представляет собой редкое заболевание лимфатических узлов и связанных с ними тканей, также известное как гиперплазия лимфатических узлов.
Болезнь Кастлемана не имеет онкологический характер, но наблюдается лимфопролиферативный рост клеток лимфатической системы, который во многом похож на лимфомы и рак лимфатических узлов, особенно мультицентрическая форма.
У многих людей с этим заболеванием в конечном итоге развивается лимфома. И, как лимфому, Болезнь Кастлемана за рубежом часто лечат с помощью лучевой и химиотерапии.
Лимфатическая ткань является основной частью иммунной системы. Она образована различными типами клеток, которые работают вместе, чтобы помочь организму бороться с инфекциями.
Основные клетки в лимфоидной ткани представляют собой лимфоциты.
Существует 2 основных типа лимфоцитов: В- и Т-клетки.
Лимфатические ткани встречается во многих местах по всему телу, в лимфоузлах, тимусе, селезенке, миндалинах, аденоидах, костном мозге и желудочно-кишечном тракте.
Основной способ классификации болезни Кастлемана БК основан на степени распространённости. Существует 2 основных формы: локальная и распространённая. Они воздействуют на людей совершенно по-разному
Локализованная болезнь Кастлемана БК встречается чаще, влияет только на одну группу лимфатических узлов и не имеет широкого распространения в организме. Чаще всего страдают лимфатические узлы в грудной клетке или брюшной полости.
Увеличенные лимфоузлы в грудной клетке могут оказывать давление на трахею и бронхи, вызывая проблемы с дыханием. Иногда увеличенные узлы находятся в таких местах, как шея, пах или подмышечной области.
При локализованной форме, болезнь Кастлемана в Израиле можно вылечить хирургическим путем.
Распространённая болезнь Кастлемана может поражать несколько органов, содержащих лимфоидную ткань. Эта форма иногда встречается у людей, инфицированных вирусом иммунодефицита человека (ВИЧ). Данное состояние является более серьезным, чем локализованный тип, особенно у людей с ВИЧ-инфекцией.
У пациентов часто наблюдаются такие проблемы, как острые инфекции, лихорадка, потеря веса, утомляемость, ночная потливость, слабость и онемение. Анализы крови часто показывают очень низкий уровень красных кровяных клеток (анемия) и высокие уровни антител в крови (гипергаммаглобулинемия).
Увеличивается риск развития лимфомы и рака лимфоузлов, которые часто трудно лечить.
Как лечится болезнь Кастлемана БК в Израиле
Диагностика болезни Кастлемана в Израиле начинается с изучения симптомов и медицинской истории. Врач проводит осмотр лимфатических узлов в разных участках тела, которые могут быть вовлечены, в том числе печени и селезенки.
Если врач подозревает БК, обследование может включать полный анализ крови, уровень интерлейкин-6 (ИЛ-6), скорость оседания эритроцитов (СОЭ), уровень С-реактивного белка (CRP).
Поставить правильный диагноз помогают рентген, компьютерная томография (КТ), магнитно-резонансная томография (МРТ), УЗИ, позитронно-эмиссионная томография (ПЭТ), биопсия лимфатических узлов.
Хирургическое лечение болезни Кастлемана в Израиле
Хирургия часто используется для получения образца ткани в процессе диагностики. Биопсия лимфатических узлов, как правило, не сложная процедура и пациенты часто могут вернуться домой после этой процедуры. Хирургическое лечение болезни Кастлемана в Израиле очень эффективно, когда нужно удалить локализованный очаг заболевания.

Тип операции зависит от его местоположения. Если пораженный лимфоузел находится в месте, куда легко добраться, например, в подмышечной впадине, то операция обычно не вызывает затруднений. Во многих случаях, после лимфаденэктомии, человек может быть в состоянии вернуться домой в тот же день.
Когда увеличенные лимфатические узлы находятся в месте, куда трудно добраться, глубоко в грудной клетке или брюшной полости, хирургическое вмешательство является более сложным и может потребовать госпитализации в больнице в течение нескольких дней после операции. Хирургия в Израиле также используется и при лечении мультицентрическиого типа болезни Кастлемана, а иногда врачи могут рекомендовать и удаление селезенки — спленэктомию.
Лучевая терапия болезни Кастельмана
Лучевая терапия VMAT используется для лечения локализованной болезни Кастлемана БК, особенно, если пораженные лимфатические узлы не могут быть полностью удалены хирургическим путем.
Облучение может быть частью лечебного плана и при мультицентрическом типе заболевания. Радиолог определяет правильные углы облучения и его оптимальную дозу. Каждая процедура длится несколько минут.
Чаще всего, лучевая терапия делается 5 дней в неделю в течение нескольких недель.
Кроме хирургии и радиотерапии, лечение болезни Кастлемана БК в Израиле включает кортикостероидные препараты, химиотерапию, иммунотерапию, противовирусные лекарства.
Исходя из предполагаемых вариантов лечения болезни Кастлемана БК за рубежом, независимо от характера заболевания, в процессе медицинской помощи участвуют такие специалисты Tel Aviv CLINIC как: хирург, гематолог, онколог и радиолог.
Медицинский консилиум выбирает наиболее эффективный вариант лечения индивидуально для каждого больного, на основании чего международный отдел расчитывает стоимость.
Запрос на лечение болезни Кастлемана в Израиле
Заполните контактную форму, поля * — обязательны.
Castleman болезнь: симптомы, причины и многое другое · allhealth.pro — Медицинская информация и медицинские консультации вы можете доверять
25 April 2017
Болезнь Castleman (CD) является редким заболеванием, которое затрагивает ваши лимфатические узлы и связанные с ними ткани.
Заболевание возникает, когда есть разрастание клеток в лимфатической системе. Лимфатическая система является частью иммунной системы.
Это избавляет организм от токсинов и других отходов в целях борьбы с инфекциями и держать вас здоровыми.
Около 200 новых случаев диагностируются в Соединенных Штатах каждый год.
Болезнь Unicentric Castleman является наиболее распространенной формой. Это происходит , когда только область узла один лимфы влияет. Многоцентровое болезнь Каслмен развивается , когда область узла более одного лимфатического влияет. Она также может поражать и другие органы , содержащие лимфоидную ткань.
Хотя подобный процесс роста клеток происходит при лимфомах , или рака лимфатических узлов, болезнь Каслмен не является формой рака. Тем не менее, люди , которые имеют многоцентровую болезнь Кастельмана являются более вероятно , развивать лимфом и других виды рак крови позже.
Продолжайте читать, чтобы узнать о том, что вызывает болезнь Кастельмана, варианты лечения, и многое другое.
Болезнь Unicentric Castleman обычно поражает лимфатические узлы в груди или животе. Болезнь Castleman может вызвать эти узлы расти. Болезнь Unicentric Castleman обычно не вызывает никаких симптомов, если ваши лимфатические узлы становятся достаточно большими, чтобы мешать другим органам.
Если узлы в груди увеличиваются, могут возникнуть трудности с дыханием.
Если узлы в брюшной полости увеличены, могут возникнуть:
- боль
- чувства сытости
- трудность еды
В некоторых случаях, вы можете заметить, комок под кожей в области шеи, паха или подмышки.
болезнь Многоцентровое Castleman
Эта форма болезни Кастельмана более серьезно, потому что она затрагивает более чем одну группу лимфатических узлов. Это также может вызвать расширение некоторых органов, таких как печень и селезенка.

Другие симптомы включают в себя:
- усталость
- лихорадка
- потеря веса
- ночные поты
- общая слабость или онемение
Люди, которые имеют многоцентровую болезнь Кастельмана также более склонны к серьезным инфекциям и анемии.
Точная причина заболевания Кастельмана не ясна.
Заболевание характеризуется разрастанием как В-клетки и плазматические клетки, которые являются клетки иммунной системы, называемые лимфоциты. Ученые не знают точно, почему иммунная система сбоев.
Тем не менее, по- видимому, тесная связь между мультицентрическим болезнью Кастельмана и инфекции , вызванной вирусом герпеса человека 8 (HHV-8). HHV-8 часто встречаются в лимфатических узлах людей , которые имеют как многоцентровую болезнь Кастельмана и ВИЧ .
Вирус ВГЧ-8 также связан с саркомой Капоши , злокачественной опухолью , которая формирует в стенках кровеносных сосудов. Саркома Капоши может развиваться как осложнение ВИЧ или СПИДа.
HHV-8 не присутствует во всех мультицентрических случаев заболевания Кастельмана. Кроме того, unicentric болезнь Castleman не имеет сильную связь с каким-либо определенным вирусом. Исследователям еще предстоит установить, что вызывает болезнь Кастельмана у людей без ВГЧ-8.
Болезнь Unicentric Castleman является гораздо более распространенным, чем многоцентровое. Болезнь Unicentric Castleman может повлиять на детей и взрослых. В среднем, unicentric диагноз поставлен по возрасту 35. Эта форма, как правило, чаще встречается у женщин.
Многоцентровое болезнь Castleman в основном развивается у взрослых в их 50 — х и 60 — х годов. Мужчины несколько чаще , чем женщины развивать эту форму заболевания.
В целом, люди, у которых ВИЧ или СПИД наиболее подвержены риску развития любого типа заболевания Кастельмана.
Во многих случаях, больной или увеличенный лимфатический узел будет оставаться незамеченным, пока вы не обращаетесь за другую болезнь.
Но если вы испытываете симптомы, обратитесь к врачу. Они будут оценивать размер и консистенцию лимфатических узлов.
Оттуда, врач может назначить один или несколько из следующих действий:
- Анализы крови и мочи: Они могут помочь исключить другие инфекции, а также определить, существуют ли какие — либо нарушения , которые могут обозначающие болезни Кастельмана.
- Тесты отображения: КТ или МРТ может выявить увеличенные лимфатические узлы в области шеи, груди, живота или таза. Они могут также определить , будет ли увеличена печень или селезенка. ПЭТ — сканирование также может быть использован.
- Биопсия: Ваш доктор может удалить небольшой кусочек ткани из пораженного узла или органа для проверки.
Лечение болезни Кастельмана будет зависеть от типа у вас есть.
Поскольку unicentric болезнь Каслмна локализуются, как правило, можно вылечить хирургическое удаление пораженного лимфатического узла. Эта операция может быть незначительной или более обширна в зависимости от местоположения узла.
Если узел находится в месте , которое не может быть удалена хирургическим путем, или если вы в противном случае неподходящими для работы, вы можете получить лекарства , чтобы помочь уменьшить лимфатический узел. В некоторых случаях, лучевая терапия может быть использована для разрушения пораженной ткани.
Хирургия не вариант для многоцентрового болезни Кастельмана, поскольку она затрагивает несколько частей тела. Вместо этого, лечение фокусируется на управлении разрастание клеток через лекарства или другие виды терапии.
Вы можете быть предписаны один или несколько из следующих действий:
- моноклональные антитела, такие как ритуксимаб (Rituxan) или силтуксимаб (Sylvant), чтобы помочь остановить разрастание клеток
- химиотерапия, которая также может помочь уменьшить рост клеток
- кортикостероиды, такие как преднизон (Deltasone), чтобы уменьшить воспаление
- талидомид (Thalomid), пероральный препарат рака , который может помочь индукции ремиссии болезни Кастельмана
- противовирусная терапия для борьбы с HHV-8 или ВИЧ
Ваш индивидуальный прогноз будет зависеть от типа заболевания Кастельмана вы с диагнозом и любые другие условия, лежащие в основе вы можете иметь.

Болезнь Unicentric Castleman часто можно успешно лечить с хирургией. Вы, однако, должны идти на частые последующие экзамены для обеспечения болезни не вернулись. Когда это происходит, это называется рецидив. Если вы испытываете какие-либо симптомы, очень важно, чтобы сообщить о них своему врачу как можно скорее.
Многоцентровое болезнь Castleman может быть более сложным, часто потому , что заболевание возникает наряду с ВИЧ или СПИДом. Даже если болезнь Castleman лечится успешно, болезнь иногда возвращается в течение года.
Последующий уход особенно важен, потому что это состояние может привести к лимфомам неходжкинских , потенциально опасной для жизни формы рака. Это также связано с другими системы крови рака , включая саркомы Капоши.
Не ясно, можно ли предотвратить болезнь Castleman, потому что это не ясно, что именно вызывает болезнь Кастельмана. Одна вещь, которую вы можете сделать, чтобы снизить риск заболевания Кастельмана, чтобы защитить себя от ВИЧ-инфекции.
Практикуя безопасный секс с использованием презервативов и зубных плотин может значительно снизить риск ВИЧ-инфекции. Получение регулярно тестирование передаваемых половым путем, включая ВИЧ, увеличит вероятность того, что вы получаете раннее лечение для любой инфекции. Вы должны также гарантировать, что любой половой партнер у вас есть был протестирован, а также.
Узнайте больше о ВИЧ и СПИДе, в том числе дополнительные шаги по профилактике »
опухоли Здоровье
Читать дальше
Болезнь Кастлемана: причины, симптомы, лечение и прогноз
Под термином «болезнь Кастлемана» понимается патологический процесс лимфопролиферативного характера. Клиническая картина недуга и его исход напрямую зависят от локализации пораженных лимфоузлов и его гистологического типа. Болезнь Кастлемана (фото части тела над пораженным участком представлено ниже) — это крайне редкая патология.
Она диагностируется у 2-х человек из ста тысяч. Впервые о заболевании стало известно в 1956 году. Злокачественность не характерна для начального этапа развития патологии. Однако с течением времени недуг может переродиться в онкологическое заболевание. В настоящее время существуют и консервативные, и хирургические методы лечения недуга.
Патогенез и этиология
На сегодняшний день ученые не располагают информацией относительно механизма развития и причин болезни Кастлемана. После проведения многочисленных исследований можно сделать вывод только о том, что, возможно, непосредственное участие в возникновении патологии принимает вирус герпеса 7 и 8 типа. Это возбудитель, который также ассоциируется с развитием саркомы Капоши.
В Международной классификации болезней (МКБ-10) болезни Кастлемана присвоен код D47.7.
Данная форма недуга наиболее часто диагностируется у молодых людей. Она характеризуется поражением лимфоузлов средостения. В некоторых случаях дегенеративные изменения затрагивают и периферические участки.
Болезнь Кастлемана гиалиново-васкулярного типа носит, как правило, изолированный характер поражения. Течение патологии в большинстве случаев не сопровождается возникновением системных проявлений. Недуг нередко сочетается с образованием опухолей.
Чаще всего гиалиново-васкулярный тип болезни Кастлемана протекает бессимптомно. Как правило, патология выявляется случайным образом при прохождении планового медицинского осмотра.
Проявления болезни Кастлемана данного типа неспецифичны. Основные симптомы недуга:
- Болезненные ощущения в области грудной клетки или в эпигастральной зоне.
- Повышенная степень утомляемости.
- Уменьшение массы тела.
- Лихорадка, выраженная умеренно.
- Увеличение в размерах периферических лимфатических узлов. Кожа над ними не изменяется, они плотные, безболезненные и малоподвижные.
Для данной формы характерен только локализованный вариант течения.
Плазмоклеточный тип болезни
Диагностируется у лиц всех возрастов. Наиболее часто данный тип болезни Кастлемана проявляется в форме лимфаденопатии с поражением как одного, так и целой группы лимфатических узлов. В данном случае клинические проявления носят системный характер.
Симптомы болезни Кастлемана плазмоклеточного типа:
- Полинейропатия (неконтролируемое дрожание конечностей, крайне болезненные мышечные крампи, фасцикуляции, ощущение «мурашек» на коже).
- Органомегалия (под данным термином понимается аномальное увеличение внутренних органов в размерах).
- Эндокринопатия (резкое уменьшение массы тела, ухудшение состояния кожи, вялость, апатия, нарушения аппетита, тошнота, артериальная гипотензия, ухудшение зрения, мигрень, психические расстройства).
- Моноклональная гаммапатия (потеря костной массы).
Кроме того, существенно изменяются и лабораторные показатели. Во время исследования крови выявляется анемия и повышенный показатель СОЭ.
Смешанный тип
О нем принято говорить в том случае, если не удается четко определить форму патологии. Другими словами, у пациентов проявляются симптомы и гиалиново-васкулярного, и плазмоклеточного типа.
Уницентрический вариант течения
Иными словами, это локализованная форма недуга. На ее долю приходится 90% всех случаев. У лиц до 30 лет диагностируется преимущественно плазмоклеточный тип. У людей от 30 до 40 лет наиболее часто выявляется гиалиново-васкулярный тип болезни Кастлемана.
Основные клинические проявления локализованной формы патологии:
- Увеличение лимфатических узлов в размерах в области брюшной полости и средостения.
- Анемия.
- Увеличение внутренних органов в размерах.
В некоторых случаях патология протекает бессимптомно. Больного лишь изредка беспокоит дискомфорт в области груди или эпигастральной зоны. Иногда пациенты отмечают, что внутренние ткани их организма как будто сдавливаются пораженными лимфатическими узлами.
Особенностью данного варианта течения также является то, что он не ассоциируется у медиков с ВИЧ. Крайне редко у больных в крови выявляется вирус герпеса.
Мультицентрический тип
Данный вариант течения диагностируется преимущественно у лиц, возраст которых составляет от 50 до 60 лет. Мультицентрический тип считается наиболее опасным. В большинстве случаев патология представляет угрозу не только для здоровья, но и для жизни пациента.
Основные клинические проявления недуга:
- Увеличение в размерах печени и/или селезенки.
- Пониженная степень работоспособности.
- Лихорадочное состояние.
- Постоянное чувство усталости.
- Анемия.
- Избыточное потоотделение, особенно в ночные часы.
- Резкое уменьшение массы тела.
К счастью, мультицентрический тип встречается только у 10% пациентов. Для него характерно поражение как центральных, так и периферических лимфатических узлов.
Треть пациентов с мультицентрическим типом болезни Кастлемана страдают от ВИЧ. При этом у всех выявляется вирус герпеса.
Течение заболевания характеризуется частыми рецидивами. Стойкого периода ремиссии добиться крайне сложно. Кроме того, со временем недуг может трансформироваться в лимфому злокачественного характера. Прогноз в большинстве случаев неблагоприятный.
Лабораторная диагностика
При возникновении тревожных симптомов (самым специфическим из них является увеличение лимфатических узлов) необходимо обратиться к инфекционисту. При необходимости он направит на консультацию к онкологу, фтизиатру или хирургу.
Первичная диагностика подразумевает сбор анамнеза и физикальный осмотр пациента. Во время пальпации врач выявляет увеличенные лимфоузлы, оценивает их локализацию и консистенцию. Во всех случаях обнаруживается выраженная спленомегалия.
На основании результатов первичной диагностики, врач направляет пациента в лабораторию для сдачи биоматериала. Необходимые исследования:
- Клинический анализ крови. Как правило, в нем выявляется лейкоцитоз, тромбоцитоз, анемия, повышение показателя СОЭ.
- Анализ жидкой соединительной ткани методом полимеразной цепной реакции. Цель исследования — подтверждение или исключение наличия в крови вирусов герпеса 7 и 8 типа. В настоящее время ученые полагают, что они и являются истинными триггерами развития болезни Кастлемана.
- Биохимический анализ крови. Клинически значимыми являются следующие показатели: альбумин, общий белок, билирубин, мочевина, креатинин, АСАТ, АЛАТ, ЛДГ, ГГТ, глюкоза, щелочная фосфатаза, С-реактивный белок.
- Исследование крови на иммуноглобулины классов А, М и G. Чаще всего их повышение наблюдается на фоне мультицентрического варианта течения патологии.
- Анализ крови на гормоны. Наиболее значимыми являются следующие показатели: кортизол, ТТГ, Т3 и Т4.
- Определение группы крови и резус-фактора.
- Анализ жидкой соединительной ткани на ВИЧ.
- Общее исследование мочи. Клинически значимые показатели: удельный вес, глюкоза, белок. Кроме того, проводится исследование осадка урины под микроскопом.
На основании результатов лабораторных анализов врач может поставить предварительный диагноз. Для его уточнения необходимо оценить итоги комплексного обследования.
Как правило, врачи назначают:
- Термометрию.
- Регулярное измерение показателя артериального давления на периферических сосудах.
- Бронхоскопию.
- Диагностическую лапароскопию.
- Торакоскопию.
- Эзофагодуоденоскопию.
- УЗИ органов брюшной полости, лимфатических узлов, почек, мягких тканей щитовидной железы.
- МРТ костных структур.
- ЭКГ.
- ЭХоКГ.
- Рентгенологическое исследование.
- КТ.
- Биопсию лимфоузлов.
- Позитронно-эмиссионную томографию.
На основании результатов комплексной диагностики врач составляет максимально эффективную схему лечения болезни Кастлемана.
Консервативная терапия
В настоящее время она эффективна только в отношении пациентов, страдающих от мультицентрического течения патологии. Схема лечения состоит из следующих пунктов:
- Внутривенное введение «Циклофосфамида». Это противоопухолевый препарат, оказывающий также иммуномодулирующее действие.
- Введение «Винкристина». Также является противоопухолевым средством.
- Введение «Доксорубицина». Это антибиотик, который оказывает не только антипролиферативное, но и антимитотическое действие.
- Внутривенное или капельное введение «Этопозида». Это противоопухолевый препарат, оказывающий цитотоксическое воздействие.
- Введение «Винбластина». Противоопухолевое средство растительного происхождения.
- Введение «Тоцилизумаба». Активным компонентом является антитело к человеческому рецептору ИЛ-6.
- Введение «Бортезомиба». Это ингибитор активности 26S протеасомы.
- Введение «Руксолитиниба». Это противоопухолевый препарат, который также является ингибитором протеинкиназы.
- Введение «Ондасетрона». Данное средство является противорвотным. Активный компонент препарата препятствует появлению тошноты, являющейся побочным эффектом химиотерапии.
- Введение «Преднизолона». Данный препарат благотворно влияет на работу органов эндокринной системы.
- Прием «Фуросемида». Данный препарат является мощным диуретиком.
При необходимости врач назначает введение электролитов и растворов в качестве сопутствующей терапии. Кроме того, он может порекомендовать прием НПВС, антибиотиков, противовирусных и противогрибковых средств.
Хирургическое вмешательство
Если болезнь Кастлемана носит локализованный характер, консервативные методы лечения не приведут к положительному результату. В этом случае показано проведение операции. В процессе хирургического вмешательства осуществляется резекция пораженного лимфатического узла. Иссеченные ткани после этого отправляются в лабораторию на гистоморфологический и иммуногистологический анализ.
В некоторых случаях врач может назначить лучевую терапию и трансплантацию стволовых клеток.
Прогноз
Болезнь Кастлемана — это крайне серьезная и опасная патология. Ее исход напрямую зависит от формы недуга и своевременности обращения к врачу.
На начальной стадии развития заболевание носит доброкачественный характер. При отсутствии грамотного лечения оно может переродится в лимфому. Это актуально для всех пациентов с любой формой недуга.
При мультицентрической патологии прогноз самый неблагоприятный. Согласно статистическим данным, летальный исход наступает через несколько месяцев с момента развития заболевания. Это обусловлено тем, что данная форма недуга чаще всего диагностируется у лиц с ВИЧ. Кроме того, она нередко приводит к развитию полиорганной недостаточности и онкологическим заболеваниям.
При уницентрическом варианте течения недуга прогноз более благоприятный. Как правило, выздоровление наступает у большинства пациентов после удаления пораженного лимфатического узла. Но при этом сохраняется риск развития лимфомы.
Профилактика
В настоящее время не существует мер, осуществление которых значительно снижает вероятность возникновения опасного заболевания. Кроме того, не разработаны и профилактические схемы для пациентов с ранее диагностированной патологией. Таким лицам необходимо лишь регулярно (1 раз в полгода на протяжении 3-х лет) посещать врачей.
Пациентам, у которых в прошлом уже была диагностирована болезнь Кастлемана, важно своевременно ходить на консультации к онкологу, неврологу и офтальмологу. Кроме того, им необходимо регулярно сдавать кровь и следить за показателем артериального давления.
В заключение
Болезнь Кастлемана — это серьезная патология лимфопролиферативного характера. Она характеризуется поражением одного или целой группы лимфатических узлов. Заболевание может носить локализованную или мультицентрическую форму.
В первом случае прогноз более благоприятный, у большинства пациентов после проведенного хирургического вмешательства наступает выздоровление. Продолжительность жизни при мультицентрической форме составляет всего несколько месяцев.
В МКБ-10 болезни Кастлемана присвоен код D47.7.



