Признаки и лечение арахноидальной ликворной кисты головного мозга
Арахноидальная киста – объемное образование, расположенное в головном мозге, преимущественно заполненное спинномозговой жидкостью.
Стенки новообразования формируются из структур паутинной (арахноидальной) оболочки или соединительной ткани. Полости локализуются в зоне между мозговым веществом и паутинной оболочкой.
Типичное расположение – в области ликворных цистерн, задней ямки черепа, височных долей. Чаще выявляются у мужчин и в детском возрасте.
Характеристика заболевания
Ликворная киста – это такое образование в тканях головного мозга, которое не является опухолью, что подтверждается морфологическим строением. Представляет собой изолированную от других структур мозга полость с жидким содержимым и плотными стенками.
Клинически значимыми считаются крупные кистозные образования, которые вызывают механическое сжатие, компрессию, деформацию окружающих тканей – мозгового вещества, путей оттока цереброспинальной жидкости, элементов кровеносной системы, снабжающей мозг.
Арахноидальные кисты – это такие образования, доля которых по результатам прижизненной инструментальной диагностики равна 1% от всех объемных процессов, протекающих в головном мозге, что меньше, чем выявляется в ходе аутопсий (5 случаев на 1000 больных). В норме у взрослых и детей арахноидальные ликворные кисты отсутствуют в тканях головного мозга, при их наличии степень влияния на здоровье определяют размеры. В зависимости от объема кистозной полости различают виды образований:
- Малые (объем не превышает 30 мл).
- Средние (объем не превышает 70 мл).
- Крупные (объем превышает 70 мл).
Крупные образования почти всегда ассоциируются с дислокацией (смещением) мозговых структур, что приводит к возникновению неврологического дефицита.
Супрасселярная (разрастающаяся вглубь черепа) форма считается наиболее опасной, потому что практически всегда вызывают окклюзию или гидроцефалию.
Лечение только гидроцефального синдрома в этом случае недостаточно из-за существенного сдавливания мозговых структур с появлением очаговой симптоматики.
Классификация патологии
Арахноидальные кисты бывают первичными и вторичными. В первом случае они появляются как врожденная аномалия развития. Во втором – как результат патологических процессов, затронувших ткани мозга. Стенки новообразования вторичной формы образованы коллагеновой, рубцовой тканью.
В 88% случаев наблюдаются единичные кистозные образования, в 12% случаев – множественные. Местоположение множественных в 5% случаев охватывает оба полушария. Арахноидальные изменения классифицируются в зависимости от локализации и характера разрастания кистозного образования. Выделяют формы:
- С локализацией в Сильвиевой (латеральной) щели (34% случаев). Врожденная аномалия. Симптомы зависят от диаметра полости и степени дислокации (смещения) близлежащей мозговой ткани. Чаще проявляется чувством распирания в зоне головы, которое сопровождается пульсацией, возникновением шума в ушах при сохранении функции слуха. Нередки судорожные приступы и зрительные расстройства.
- Супрасселярная (2% случаев). Врожденная форма. Полость чаще локализуется на участке перекреста, образованного зрительными нервами. Проявляется головокружением, зрительной дисфункцией, нарушением двигательной координации.
- С локализацией в зоне бокового желудочка (2% случаев). Врожденная или приобретенная форма. Клиническая картина представлена двигательными и зрительными нарушениями, ухудшением слуха (нейросенсорная тугоухость), шумом в ушах, дисфагией (расстройством функции глотания).
Церебеллярная (с локализацией в области мозжечка) киста, образовавшаяся в головном мозге, встречается с частотой 32% случаев. Проявляется нарушением двигательной координации, изменением мышечного тонуса (гипотония), нистагмом (чаще горизонтальным). У больного наблюдается изменение походки, которая становится неустойчивой, шаткой.

Арахноидальная ликворная киста с локализацией в задней черепной ямке сопровождается глазодвигательными нарушениями (косоглазие, выпадение полей зрения, паралич глазных нервов). Кистозное образование в области правой или левой лобной доли проявляется характерной симптоматикой – ухудшение когнитивных способностей, изменение походки, речевая дисфункция (афазия).
Причины возникновения арахноидальной кисты
Точные причины возникновения не выявлены. Субарахноидальная киста – чаще врожденная патология системы циркуляции ликвора. Стенки объемного новообразования представлены тканью арахноидальной оболочки, содержимое – цереброспинальная или близкая по составу жидкость.
Врожденная арахноидальная киста, сформировавшаяся в головном мозге, считается истинной, относится к первичной форме патологии. По результатам УЗИ-диагностики в перинатальный период кистозные полости в мозге плода формируются в период 20-30 неделя развития. Ликворные кисты вторичной формы появляются в голове вследствие разных причин:
- Перенесенные заболевания инфекционной этиологии (менингит, энцефалит).
- Оперативное вмешательство в зоне головы.
- Черепно-мозговые травмы.
- Агенезия (утрата способности к полноценному развитию) мозолистого тела.
- Синдром Марфана. Генетически наследуемое заболевание, для которого характерна дисплазия (неправильное формирование) соединительной ткани.
Арахноидальные изменения ликворокистозного характера – это такой патологический процесс, который не сопровождается изменением структуры ткани на клеточном уровне, что подтверждает неопухолевую природу новообразования. Хирургическое удаление кистозного образования или его содержимого показано при наличии неврологической симптоматики и отсутствии терапевтических результатов после проведенного консервативного лечения.
Симптоматика
Симптомы арахноидальной кисты, образовавшейся в головном мозге у новорожденных, зависят от локализации, степени обособленности от пространств, где находится цереброспинальная жидкость, удаленности от путей циркуляции ликвора. Ликворные кисты чаще протекают бессимптомно, выявляются в детском или молодом взрослом возрасте. Обычно обнаруживаются случайно в ходе инструментального диагностического исследования, назначенного по другой причине.
Неврологическая симптоматика появляется как результат разрастания кистозного образования, когда возникает масс-эффект – ощутимое воздействие на близлежащие интракраниальные структуры. Симптомы появляются у 20% пациентов с диагностированной патологией. Чаще проявления заболевания связаны с гидроцефальным синдромом, что провоцирует появление общемозговой симптоматики:
- Боль в области головы.
- Тошнота, приступы повторной рвоты.
- Атаксия, двигательные нарушения.
- Гемипарезы, судорожный синдром.
- Расстройства психо-эмоционального фона.
Реже наблюдаются признаки очагового поражения тканей мозга, что часто связано с разрывом стенки кисты. К основным симптомам у грудничков добавляются специфические признаки:
- Деформация костей черепа.
- Расхождение черепных швов.
- Выпирание родничка.
- Вялость, апатия, сонливость.
- Отсутствие аппетита.
- Признаки поражения пирамидных путей (патологические рефлексы, парезы, параличи).
- Задержка психо-моторного развития.
Субарахноидальная киста, сформировавшаяся в головном мозге, у детей протекает в 4 вариантах клинической картины. В зависимости от особенностей проявления симптоматики течение арахноидальной кисты, возникшей в головном мозге у ребенка, бывает:
- Молниеносным (2% случаев).
- Острым (6% случаев).
- Хроническим (28% случаев).
- Ремиттирующим (2% случаев).
Симптомы могут появляться через несколько недель после рождения или в позднем детском и взрослом возрасте. Для патологии характерно псевдотуморозное (напоминающее опухолевый процесс) течение и отсутствие следов воспаления в мозговых оболочках.
Диагностика
Показана консультация педиатра (для детей), невролога, офтальмолога. Анализ крови показывает наличие или отсутствие инфекционных возбудителей, признаки аутоиммунных заболеваний, уровень холестерина и других структурных компонентов, свертываемость. Ведущий метод инструментального исследования – МРТ в области головного мозга.
Нередко дополнительно проводится исследование в формате КТ. Нейровизуализация позволяет точно установить месторасположение кистозной полости, определить степень влияния на близлежащие участки здоровой ткани. Другие методы инструментального исследования:
- Рентгенография.
- Ангиография.
- УЗИ-диагностика.
- Нейросонография (назначают новорожденным).
- Электроэнцефалография.
Для точного выявления каналов сообщения между кистозной полостью и путями циркуляции ликвора используют методы: КТ- миелоцистернография и КТ- вентрикулография с введением контрастного вещества.
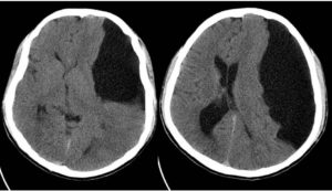
Картина арахноидальных изменений ликворокистозного характера в ходе исследований МР и КТ показывает наличие очагов с плотностью цереброспинальной жидкости, что подтверждает кистозную, неопухолевую природу образования.
В ходе инструментального исследования чаще наблюдается расширение желудочков и экстрацеребральных (изолировано расположенных в мозге) пространств, содержащих ликвор. Электроэнцефалография проводится до и после оперативного вмешательства. Во втором случае с целью определения результатов лечения и правильного подбора противосудорожных препаратов.
В ходе офтальмологического осмотра часто выявляется частичная атрофия диска зрительного нерва. В случае расположения арахноидальной кисты в области ЗЧЯ по результатам эхографии (ультразвуковое исследование) выявляются изменения, характерные для кистозных образований мозжечковой локализации. Дифференциальная диагностика проводится в отношении патологий и аномалий развития мозжечка.
Методы лечения
Тактику лечения арахноидальной кисты, образовавшейся в головном мозге, врач выбирает индивидуально с учетом характера течения заболевания и выраженности неврологической симптоматики. В некоторых случаях проводится симптоматическая консервативная терапия, в других показана операция. Оперативные методы лечения арахноидальной кисты, образовавшейся в головном мозге, включают:
- Шунтирование. Искусственное отведение содержимого кисты при помощи дренажной системы.
- Эндоскопическая фенестрация. Иссечение части или всей кисты вместе со стенками через небольшой разрез в черепной кости или носовой проход.
- Дренирование (игольная аспирация).
Оперативное вмешательство проводится методом краниотомии (вскрытия черепной коробки) или эндоскопическим методом, посредством введения традиционных или бесклапанных шунтов для отвода содержимого кистозной полости.
Во втором случае уменьшается травматическое влияние на структуры головного мозга.
Краниотомия с полным иссечением стенок кистозного образования проводится, если наблюдается объемное воздействие на прилегающие мозговые структуры на локальном участке.
Операция шунтирования предполагает имплантацию шунта (искусственный сосуд для отвода ликвора) в полость кисты или в систему желудочков.
Эндоскопические операции выполняются с целью формирования соустья между кистозной полостью и цистернами желудочковой системы.
В числе осложнений стоит отметить кровоизлияния (4,5% случаев), инфицирование, повреждение сосудисто-нейральных тканей, облитерацию (закупорку) вентрикулярных катетеров, что требует повторного хирургического вмешательства. Показания к проведению операции:
- Увеличение размеров желудочков (по результатам МРТ исследования).
- Отек мозга перивентрикулярной локализации (по результатам нейровизуализации).
- Гидроцефальный синдром (рвота, интенсивные боли в зоне головы, плохо поддающиеся купированию традиционными обезболивающими препаратами, существенное увеличение диаметра головы и набухание родничка у младенцев).
- Нарастание неврологического дефицита.
После хирургического вмешательства у более 80% пациентов наблюдается регресс клинической симптоматики. Противопоказания к хирургическому лечению ликворной кисты, образовавшейся в головном мозге, включают:
- Воспалительный процесс независимо от локализации, протекающий в стадии обострения или частичной ремиссии.
- Выраженная анемия – пониженный уровень гемоглобина.
- Тяжелое функциональное состояние организма (нестабильная гемодинамика, затруднение дыхания, кома, истощение).
Основные задачи операции: восстановление нормальной циркуляции цереброспинальной жидкости, уменьшение диаметра кистозной полости, снижение показателей внутричерепного давления.
Последствия и прогноз
Прогноз и продолжительность жизни при обнаруженной в головном мозге ликворной кисте зависит от диаметра объемного образования и степени влияния на близлежащие мозговые структуры. Кистозные полости малого размера чаще не представляют угрозы для здоровья и жизни пациента.
В 20% случаев, когда объем новообразования превышает 70 мл, возникает масс-эффект, что требует оперативного лечения. Прогноз в этом случае зависит от успешности операции (устранение компрессии, уменьшение размеров новообразования, отсутствие послеоперационных осложнений).
Профилактика включает здоровый образ жизни матери в период беременности. Необходимо организовать полноценное питание, обеспечить продолжительный отдых и сон (не меньше 7 часов в сутки), избегать интоксикаций и бесконтрольного приема лекарственных средств. Большое значение имеет защита от инфекционных заболеваний в период вынашивания плода.
Арахноидальная киста чаще выявляется в раннем детском возрасте, обычно протекает бессимптомно. При увеличении размеров кистозной полости, повышается вероятность появления прогрессирующей неврологической симптоматики и гипертензионно-гидроцефального синдрома, что требует неотложного хирургического лечения.
Арахноидальная киста головного мозга: виды, причины и признаки
Головной мозг состоит из трех оболочек: твердой, арахноидальной и мягкой. Арахноидальная киста головного мозга образуется посередине мягкой и твердой составляющей – в паутинной оболочке.
Процесс образования кисты происходит в несколько этапов: сначала появляется уплотнение, затем оно утолщается и разделяется на несколько слоев.
В этих слоях образуются в карманы, которые заполняются ликвором – мозговой жидкостью.
Ликворная киста головного мозга обладает разными размерами. Если она небольшая, то симптомы заболевания незначительные или никак не проявляются. При увеличении размера возникает давление на клетки других тканей, что приводит к нарушению мозгового кровообращения.
Арханоидальные изменения ликворокистозного характера при постоянном прогрессировании приводят к симптомам, которые часто путают с признаками других болезней. Кроме арахноидального новообразования регистрируется субарахноидальная киста головного мозга. Оба типа патологии чаще встречаются у мужчин.
Формы арахноидальных новообразований
Разделить кисты можно на несколько типов:
- Церебеллярная киста головного мозга
В медицинской практике патология носит название ретроцеребеллярной кисты и диагностируют в области массовой гибели серых клеток мозга. Внутри пузыря кисты обнаруживается спинальная жидкость и остатки отмерших тканей. Арахноидальные кисты представленного характера входят в группу самых опасных скоплений клеток в головном мозге.
Новообразование возникает в сером веществе, и даже незначительное увеличение приводит к давлению на соседние ткани. Церебеллярная киста головного мозга примерно в 90% случаев возникает в результате сложного течения сердечно-сосудистых патологий. Часто диагностируется у людей в пожилом возрасте в результате атеросклероза.
- Ликворная киста головного мозга
Развивается на другой части – в полостях между структурами мозга, не затрагивает серое вещество, но может оказывать на него давление при росте. Образуется патология в результате кровоизлияний и оперативных вмешательств. Врачи назначают симптоматическое лечение, хирургическое вмешательство требуется редко.
Ликворные арахноидальные изменения практически никак не проявляются, в большинстве клинических случаев не обнаруживаются в течение всей жизни. Если патология возникает у ребенка, то голова при взрослении становится увеличенной, на лбу может появиться ямка.
- Врожденная арахноидальная киста головного мозга
Входит в категорию первичных патологий, развивается на стадии эмбрионального взросления. Причиной патологии считается генетическая аномалия черепа, а также воздействие посторонних химических или физических факторов.
Под последними двумя признаками подразумевают: медикаменты, радиацию, токсические воздействия. В ряде случаев опухоль формируется при кислородном голодании в результате тяжелых родов.
- Субарахноидальное лекворокистозное изменение
Образуется в период формирования эмбриона по тем же причинам, что и простая форма. Вызывает у человека по мере взросления аномалии в походке, непонятные пульсации в черепе и мышцах.
В отличие от арахноидальной, церебеллярная киста головного мозга образуется всегда внутри серого вещества, а простая форма – только в промежуточной ткани. Обычные арахноидальные кисты не нуждаются в оперативном вмешательстве.
Ретроцеребеллярное новообразование разрушает ЦНС, так как всегда увеличивается и приводит к гибели окружающих клеток.
Новообразования, поражающие оболочку, отличаются друг от друга по месту возникновения: арахноидальная киста турецкого седла, арахноидальная киста задней черепной ямки, образование в поясничном отделе или спинномозговом канале.
Причины развития
Образуются арахноидальные изменения ликворокистозного характера еще в период вынашивания ребенка, они называются первичными:
- злоупотребление медикаментами, применение нескольких групп препаратов в один период времени;
- облучение во время беременности (КТ, МРТ, рентген);
- внутриутробные инфекции: герпес, токсоплазмоз, краснуха;
- вредные привычки;
- постоянный перегрев тела матери;
- генетические мутации (синдром Марфана);
- плохая экологическая обстановка.
Вторичная арахноидальная ликворная киста образуется в ответ на воспалительные процессы, которые затрагивают мозг. Чаще всего к ним относят: энцефалит, менингит, арахноидит. Может возникать в ответ на кровоизлияния, хирургические вмешательства, гематомы и инсульты. Нередко провоцирует образование кисты сотрясение мозга.
Существует еще один фактор, из-за которого арахноидальная киста головного мозга начинает расти, — это вторичные травмы и сильные инфекции.
Клиническое проявление заболевания
Арахноидальные ликворные кисты проявляются по-разному, и часто симптомы не дают поставить диагноз. Вот лишь несколько общих признаков:
- врожденные патологии начинают проявлять себя ближе к 15-20 годам, но не позже;
- на характер симптомов влияет размер опухолевых образований;
- полушарное расположение приводит к проблемам с координацией, рвоте, тошноте и постоянным головным болям;
- арахноидальная киста задней черепной ямки, а также очаговые повреждения приводят к симптомам в зависимости от области, на которые давят опухоли;
- общемозговые симптомы сопровождаются высоким давлением, проблемами со зрением, эпилепсией и заторможенным психомоторным развитием.
Часто у больных отмечается общая слабость, выраженный тремор рук, необычная походка. Судороги и припадки приводят к тому, что арахноидальные кисты нередко путают с другими заболеваниями нервной системы.
Диагностика патологии
Диагностируются арахноидальные изменения ликворокистозного характера несколькими путями:
- Компьютерная томография. Определяет положение и параметры опухоли.
- Магнитно-резонансная томография. МРТ картина арахноидальных изменений ликворокистозного характера отражает тип опухоли – злокачественная или доброкачественная.
- ЭКГ, Эхо-КГ. Назначают для определения состояния сердца, его ритма.
- УЗДГ. Отображает параметры кровообращения мозга, сосудистой проходимости.
- ОАК. Тест дает правдивую информацию о причинах новообразования.
- Контроль верхнего давления. Наблюдение необходимо для определения предрасположенности больного к инсульту.
- Контрастный рентген сосудов. Проводят для исключения онкологических процессов.
- Измерение холестерина. Необходимо для определения риска сосудистых патологий.
Методы помогают установить точный размер новообразований и назначить соответствующее лечение арахноидальной кисты.
Влияние новообразования на здоровье
Размер напрямую влияет на симптоматику болезни. Чем меньше карман с жидкостью, тем незначительнее симптомы. Стабильные образования, которые не увеличиваются, не требуют вмешательства. Особенно это касается кист, расположенных между оболочками.
Оперативное удаление опухоли назначают в случаях, когда патологическое скопление клеток постоянно увеличивается в размерах. Даже если оно располагается между оболочками.
Растущая арахноидальная киста головного мозга, размеры и норма которой в этом случае не имеют никакого значения, может приводить к постоянному травмированию окружающих тканей.
Это стимулирует отмирание клеток, которые при длительном патологическом факторе начинают обращаться в злокачественные новообразования.
Медикаментозная терапия назначается до оперативного вмешательства. Но продолжают её только в том случае, если есть эффект замедления роста или его обращения вспять.
Арахноидальная киста – это неоднозначная патология, которая требует подробной, точной диагностики. Постоянное отслеживание состояния новообразования поможет определить верный путь лечения болезни.
Арахноидальные изменения ликворокистозного характера на МРТ головного мозга
Довольно часто, пройдя МРТ головного мозга, вы получаете заключение врача: «МР картина ликворокистозных арахноидальных изменений». Многие спрашивают, что это такое и очень ли это страшно.
Ответим на эти вопросы.
Сначала разберемся с таким понятием, как арахноидит. Считается, что различные перенесенные в детстве заболевания головного мозга (черепно-мозговые травмы, микрокровоизлияния, скрытые менингиты) могут вызывать хроническое воспаление мягкой и паутинной мозговых оболочек – так называемый арахноидит.
- Арахноидит вы в зоне риска
- 01Черепно-мозговые травмы
- 02Микрокрово- излияния
- 03Скрытые минингиты
…если вам поставили диагноз арахноидит, всегда нужно иметь в виду, что большого смысла он в себе не несет
Диагноз «арахноидит головного мозга» ставится врачами-невологами клинически, на основании жалоб на головные боли, утомляемость, приступы тошноты и рвоты, нарушения памяти и т.п.
Но сложность в том, что все эти симптомы являются неспецифическими и могут иметь разные причины, и поэтому в современной медицине диагноз хронический арахноидит является очень спорным. Хотя бы потому, что мы не можем достоверно доказать, есть или нет хроническое воспаление мозговых оболочек.
У нас просто нет никаких методов, которые могли бы достоверно выявить это воспаление. Поэтому, если вам поставили диагноз арахноидит, всегда нужно иметь в виду, что большого смысла он в себе не несет.
Почему точный диагноз трудно поставить?
- Симптомы не являются специфическими
- Трудно выявить хроническое воспаление
- Характер арахноидальной кисты трудно установить
На МРТ головного мозга арахноидит чаще всего не имеет достоверных признаков, но иногда может приводить к формированию кист, расположенных в субарахноидальном пространстве, то есть между мозгом и костью черепа. Это так называемые арахноидальные кисты. Арахноидальные кисты имеют четкие признаки на МРТ. Но, к сожалению, чаще всего мы не можем сказать, возникли эти кисты вследствие арахноидита, или они имеют врожденный характер. Поэтому в современной неврологии понятия «арахноидит» и «арахноидальная киста» различаются, и путать их не стоит.
Мр картина арахноидальных изменений ликворокистозного характера — что это?
…ликворокистозные арахноидальные изменения — это чаще всего просто выдумка рентгенологов…
Чаще всего диагноз «арахноидальные изменения ликворокистозного характера» пишется тогда, когда на МРТ достоверно не видно никаких кист, а имеется просто неравномерное расширение субарахноидального пространства, то есть увеличение количества спинномозговой жидкости (ликвора) между мозгом и костью черепа.
К арахноидальным кистам это расширение не имеет никакого отношения, поэтому ликворокистозные арахноидальные изменения — это чаще всего просто выдумка рентгенологов, не имеющая достоверной морфологической основы. В научной литературе этот термин отсутствует.
На англоязычных сайтах, например на главном мировом сайте радиологов Radiopaedia, вы его также не встретите.
Что делать, если поставили диагноз «Картина умеренных арахноидальных изменений ликворокистозного характера»?
Прежде всего, советуем вам разобраться в вопросе, действительно ли у вас выявили на МРТ арахноидальные кисты, или никаких кист на самом деле нет. Путаница в таком вопросе недопустима, так как некоторые арахноидальные кисты требуют оперативного вмешательства нейрохирурга!
Поэтому лучше всего показать результаты МРТ другому специалисту-рентгенологу, который сможет правильно их расшифровать. Можно получить второе мнение по МРТ головного мозга в различных сервисах, например – в системе Национальная телерадиологическая сеть. Здесь вы получите подробную расшифровку МРТ головного мозга от врачей Института мозга человека РАН.
Если поставили диагноз, нужно:
Действовать быстро
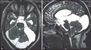
Ретроцеребеллярная киста на МРТ, вызывающая сдавление мозжечка и окклюзию четвертого желудочка с развитием гидроцефалии: опасное состояние
Разобраться в вопросе
Как сказано выше путаница в таком вопросе недопустима, так как некоторые арахноидальные кисты требуют оперативного вмешательства нейрохирурга!
Получить второе мнение
Можно получить второе мнение по МРТ головного мозга в системе Национальная телерадиологическая сеть. Здесь вы получите подробную расшифровку МРТ головного мозга
Узнайте больше о Национальной Телерадиологической сети, из видео ниже
Читать подробнее о Втором мнении
Читать подробнее о телемедицине
Арахноидальные изменения ликворокистозного характера эпилепсия. Арахноидальные изменения ликворокистозного характера на мрт головного мозга Народные средства и травы
Арахноидальные кисты головного мозга, или, как их еще называют, арахноидальные изменения ликворокистозного характера, – это доброкачественные образования паутинной оболочки головного мозга. Слово “доброкачественные” подразумевает, что такие патологии не склонны к неудержимому росту и метастазированию, но не означает, что они безвредны.
Человеческий мозг последовательно покрыт тремя оболочками – твердой, паутинной и мягкой. Паутинная оболочка (mater arachnoidea) находится между твердой и мягкой и выполняет функцию создания и проведения спинномозговой жидкости (ликвора).
Между ней и мягкой мозговой оболочкой есть пространство, называемое субарахноидальным, в котором находятся кровеносные сосуды, обеспечивающие кровоснабжение мозга, и ликворные цистерны (расширения подпаутинного пространства) над самыми важными участками мозга.
Кистой называется образование в виде пузыря, которое находится под паутинной оболочкой и заполнено ликвором. Она может долгое время никак не проявлять себя или стать причиной серьезных неврологических осложнений.
Образуется при расслоении паутинной оболочки избыточным количеством ликвора. При этом образуется полость, заполненная жидкостью.
Она может иметь постоянный размер, а может медленно увеличиваться со временем, вызывая повышение внутричерепного давления и механическое сдавление близлежащих отделов мозга.
Причины возникновения кисты
Киста может быть врожденной или стать следствием перенесенных заболеваний.
- Стенки врожденной (первичной) кисты состоят из клеток арахноидальной оболочки, которые выделяют спинномозговую жидкость. Она образуется до рождения ребенка, как правило, не вызывает никаких симптомов и оказывается случайной находкой, когда при МРТ для выявления других заболеваний видна картина арахноидальных изменений ликворокистозного характера.
- Вторичная киста может иметь разнообразные причины: перенесенный менингит, операции на головном мозге, воспалительные и аутоиммунные заболевания. Такая киста тоже может длительно себя не проявлять, первые симптомы могут появиться только через несколько лет после ее возникновения. Стенки такой кисты состоят из рубцовой ткани.
[]JUSC9MFJPyM[/]
Симптомы заболевания
Если арахноидальная киста вызывает какие-либо неврологические симптомы, то они зависят от ее расположения. Они связаны с тем, что крупная киста оказывает механическое давление на расположенные рядом с ней области мозга.
- Чаще всего она находится в средней черепной ямке, и вызванное ей повреждение среднего мозга проявляется в нарушениях слуха и зрения, галлюцинациях, сильных головных болях, головокружении и тошноте. В более тяжелых случаях возможны нарушения координации, параличи, парезы и гемипарезы, приступы судорог и нарушение умственной деятельности.
- Патология в задней черепной ямке, если она находится в области ствола мозга, вызывает повышение давления в спинномозговом канале и внутри черепа, из-за чего возникают межпозвонковые грыжи и вторичная гидроцефалия. Она же может стать причиной нарушений в работе пищеварительной, сердечно-сосудистой и дыхательной систем, нарушения терморегуляции. В области мозжечка она вызывает нарушение походки, координации, непроизвольное дрожание глаз (нистагм), снижение тонуса мышц.
- В височной области патология, как правило, не дает никаких симптомов. Если она проявляется, то редкими нарушениями слуха и координации, могут возникнуть нарушения устной и письменной речи.
- Если она находится в передней черепной ямке, то возникает так называемая лобная симптоматика – снижение уровня интеллекта, мотивации, эмоциональное оскудение, нечленораздельная речь. Один из ярких маркеров поражения лобной области – характерно вытянутые губы в форме трубочки.
Вне зависимости от локализации патология может вызывать повышение внутричерепного давления, головные боли, головокружения, нарушения координации, повышенную утомляемость и сонливость, возможно развитие эпилептического синдрома.
Диагностические методы
Поставить диагноз арахноидальной кисты, основываясь только на симптомах, невозможно.
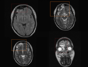
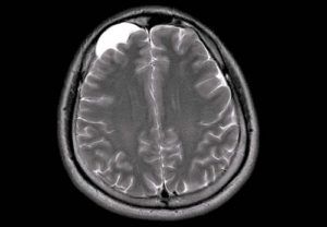
Основным методом ее диагностики является МРТ. На снимках арахноидальные изменения ликворокистозного характера выглядят как образования темного цвета, с четко ограниченными контурами, чаще всего округлой формы.
Также назначаются исследования, позволяющие выявить признаки нарушения кровоснабжения головного мозга, инфекционных или аутоиммунных заболеваний. Проводят неврологическую диагностику с целью выявления глубины неврологических нарушений.
Как проводится терапия патологии
Когда выявлена МР-картина арахноидальных изменений ликворокистозного характера, решается вопрос о лечении кисты. Показаниями для хирургического вмешательства являются:
- наличие неврологических нарушений;
- крупная или увеличивающаяся киста;
- киста в области ствола головного мозга.
При отсутствии симптомов нет необходимости в лечении, так как операция на головном мозге может спровоцировать воспалительные заболевания мозга и его оболочек.
При арахноидальной кисте проводят несколько видов операции:
- Эндоскопическое или микрохирургическое шунтирование кисты. Суть операции в том, что в полость кисты вводится шунт, который служит для отведения ликвора из кисты (чаще всего во внутреннюю яремную вену). У этого метода есть два существенных преимущества: шунт позволяет постоянно отводить ликвор из кисты, стенки которой выстланы ликворопродуцирующим эпителием; эндоскопическое вмешательство позволяет снизить травматичность операции до минимума. Единственным недостатком является то, что шунт функционирует за счет разницы давлений, и возможно попадание в него крови, образование сгустков и закупорка шунта, что ведет к резкому ухудшению состояния пациента. Тем не менее этот метод лечения считается основным.
- Удаление спинномозговой жидкости. Однократная операция, позволяющая очистить полость кисты. В настоящее время практически не применяется, так как однократное удаление ликвора не обеспечивает постоянного эффекта.
- Иссечение кисты. Самая радикальная операция, позволяющая устранить причину заболевания. Для этого проводится трепанация черепа и иссекается часть паутинной оболочки вместе с кистой. Преимущества метода в том, что киста удаляется полностью и не может рецидивировать, недостаток – его большая травматичность и риск развития послеоперационных осложнений.
Если оперативное лечение невозможно (например, из-за положения кисты, не позволяющего провести операцию), то проводят медикаментозную терапию. К ней относятся препараты, влияющие на течение основного заболевания, которое может стать причиной кисты: иммуномодуляторы, при необходимости – противовирусные препараты и антибиотики, препараты, улучшающие кровоснабжение головного мозга.
[]6Gc6ilLsqm4[/]
Лечебный режим при болезни
Главным условием хорошего самочувствия при наличии арахноидальной кисты головного мозга (оперированной или неоперированной) считается соблюдение лечебного режима. Пациенту необходимо придерживаться распорядка дня и особенно – режима труда и отдыха, воздерживаться от алкоголя, крепкого кофе, энергетиков и препаратов, повышающих тонус нервной системы.
Прием любых препаратов, влияющих на нервную систему и тонус сосудов, должен быть согласован с неврологом. Не рекомендуются экстремальные и опасные виды спорта, вождение автомобиля, деятельность, связанная с работами на высоте или вблизи движущихся механизмов.
Арахноидальные изменения ликворокистозного характера на МРТ головного мозга
Довольно часто, пройдя МРТ головного мозга, вы получаете заключение врача: «МР картина ликворокистозных арахноидальных изменений». Многие спрашивают, что это такое и очень ли это страшно.
Ответим на эти вопросы.
Сначала разберемся с таким понятием, как арахноидит. Считается, что различные перенесенные в детстве заболевания головного мозга (черепно-мозговые травмы, микрокровоизлияния, скрытые менингиты) могут вызывать хроническое воспаление мягкой и паутинной мозговых оболочек – так называемый арахноидит.
- Арахноидит вы в зоне риска
- 01Черепно-мозговые травмы
- 02Микрокрово- излияния
- 03Скрытые минингиты
…если вам поставили диагноз арахноидит, всегда нужно иметь в виду, что большого смысла он в себе не несет
Диагноз «арахноидит головного мозга» ставится врачами-невологами клинически, на основании жалоб на головные боли, утомляемость, приступы тошноты и рвоты, нарушения памяти и т.п.
Но сложность в том, что все эти симптомы являются неспецифическими и могут иметь разные причины, и поэтому в современной медицине диагноз хронический арахноидит является очень спорным. Хотя бы потому, что мы не можем достоверно доказать, есть или нет хроническое воспаление мозговых оболочек.
У нас просто нет никаких методов, которые могли бы достоверно выявить это воспаление. Поэтому, если вам поставили диагноз арахноидит, всегда нужно иметь в виду, что большого смысла он в себе не несет.
Ликворная киста головного мозга: признаки, симптомы, лечение — Извилина
Арахноидальная киста – объемное образование, расположенное в головном мозге, преимущественно заполненное спинномозговой жидкостью.
Стенки новообразования формируются из структур паутинной (арахноидальной) оболочки или соединительной ткани. Полости локализуются в зоне между мозговым веществом и паутинной оболочкой.
Типичное расположение – в области ликворных цистерн, задней ямки черепа, височных долей. Чаще выявляются у мужчин и в детском возрасте.



